Abstract
The endothelial receptors that control leukocyte transmigration in the postischemic liver are not identified. We investigated the role of junctional adhesion molecule-A (JAM-A), a receptor expressed in endothelial tight junctions, leukocytes, and platelets, for leukocyte transmigration during hepatic ischemia-reperfusion (I/R) in vivo. We show that JAM-A is up-regulated in hepatic venular endothelium during reperfusion. I/R-induced neutrophil transmigration was attenuated in both JAM-A-/- and endothelial JAM-A-/- mice as well as in mice treated with an anti-JAM-A antibody, whereas transmigration of T cells was JAM-A independent. Postischemic leukocyte rolling remained unaffected in JAM-A-/- and endothelial JAM-A-/- mice, whereas intravascular leukocyte adherence was increased. The extent of interactions of JAM-A-/- platelets with the postischemic endothelium was comparable with that of JAM-A+/+ platelets. The I/R-induced increase in the activity of alanine aminotransferase (ALT)/aspartate aminotransferase (AST) and sinusoidal perfusion failure was not reduced in JAM-A-/- mice, while the number of terminal deoxynucleotidyl transferase-mediated deoxyuridine triphosphate nick end-labeling (TUNEL)-positive hepatocytes was significantly higher. Thus, we show for the first time that JAM-A is up-regulated in hepatic venules and serves as an endothelial receptor of neutrophil transmigration, but it does not mediate leukocyte rolling, adhesion, or platelet-endothelial cell interactions. JAM-A deficiency does not reduce I/R-induced microvascular and hepatocellular necrotic injury, but increases hepatocyte apoptosis, despite attenuation of neutrophil infiltration. (Blood. 2005;106:725-733)
Introduction
Warm and cold hepatic ischemia followed by reperfusion leads to cell death, which often occurs within minutes of reperfusion.1 A hallmark feature of hepatic inflammation during ischemia-reperfusion (I/R) is recruitment of various types of leukocytes to the afflicted site. Inflammatory stimuli activate endothelial cells to express adhesion molecules and chemokines that physically engage circulating leukocytes and promote their adhesion to the vessel wall. In the liver, the process of leukocyte recruitment is quite different from other organs due to significant architectural specialties of the hepatic microvasculature, such as dual blood supply, low-pressure vascular system, fenestrated endothelium, and lack of basal membrane in sinusoids. Moreover, the expression pattern of adhesion molecules is different, since hepatic sinusoids lack expression of selectins and vascular endothelial (VE)-cadherin.2 In postsinusoidal venules, selectins mediate initial leukocyte rolling, while beta2-integrins are responsible for the subsequent leukocyte adherence to the endothelium.3 In sinusoids, however, leukocyte accumulation is not preceded by rolling, does not require selectins, and is discussed to be mediated by constitutively expressed endothelial intracellular adhesion molecule-1 and vascular adhesion protein-1.4
While a great deal has been learned about the early steps of leukocyte recruitment (ie, rolling and adherence), little is known about the next step, transmigration, when leukocytes migrate across the endothelial layer lining the blood vessel. In particular, it remains unclear which endothelial receptor is responsible for extravasation of leukocytes into the perivascular space in the hepatic microcirculation. It is known, however, that platelet-endothelial cell adhesion molecule-1, one of the most important transmigration receptors in other organs,5 is not involved in leukocyte transmigration in the liver, at least, during endotoxin-induced inflammation.6 This suggests a crucial role of other endothelial junctional molecules in the process of emigration of leukocytes from hepatic microvessels.
A potential candidate is junctional adhesion molecule-A (JAM-A, also referred to as JAM-1 or the 106 antigen), a recently discovered immunoglobulin superfamily member,7 which functions as a ligand for the beta2-integrin lymphocyte function-associated antigen 1 (LFA-1) and plays a critical role in transendothelial migration of leukocytes in vitro.8 JAM-A is highly expressed at tight junctions of endothelium and on the surface of erythrocytes, neutrophils, monocytes, lymphocytes, and platelets.9 It has been recently shown that blockade of JAM-A using a monoclonal antibody (MoAb) attenuated leukocyte transendothelial migration during cytokine-induced meningitis.10 The role of JAM-A for leukocyte recruitment and migration in inflamed liver remains unclear.2 Several pathways by which JAM-A might mediate leukocyte transmigration in the liver are assumable: (1) homophilic interactions between endothelial JAM-A and JAM-A on leukocytes, (2) heterophilic interactions between endothelial JAM-A and LFA-1 on leukocytes, and, indirectly, (3) due to JAM-A-mediated aggregation of platelets,11-13 a cell type that is discussed to be involved in leukocyte recruitment.14 Therefore, the first aim of this study was to elucidate the role of JAM-A in the process of leukocyte transmigration in the liver in a model of I/R-induced inflammation in vivo.
The role of transmigrated leukocytes during inflammation is controversially discussed in the recent literature.15-20 In addition, the contribution for I/R injury of the liver of intravascularly adherent leukocytes versus transmigrated leukocytes is not defined. The identification of the receptors responsible for leukocyte transmigration in the liver would allow the analysis of the role of transmigrated leukocytes in the manifestation of inflammatory liver injury and, thus, open new avenues for therapeutic interventions. Therefore, the second aim of the present study was to answer the question of whether and to what extent leukocytes that transmigrated into the perivascular space influence hepatic I/R injury.
Materials and methods
Animals
Female JAM-A+/+, JAM-A-/-, and Tie-2 Cre JAM-A-/- mice lacking JAM-A only in endothelial cells were used for this study. JAM-A-/- and endothelial JAM-A-/- mice were generated as described.21 JAM-A-/- mice were originally generated on a C57BL6/129/CD1 background; then they were backcrossed once to C57BL/6J. Briefly, JAM-A-/- mice were produced by generating a floxed JAM-A allele and by crossing JAM-Aflox/flox animals with CAG-Cre mice. Endothelial JAM-A-/- mice were generated by crossing mice containing 2 floxed JAM-A alleles with heterozygous transgenic mice (JAM-A+/-) expressing Cre under the endothelium-specific promoter of Tie-2. All experiments were carried out according to the German legislation on protection of animals.
Surgical procedure
The surgical procedure has been described in detail.22,23 Briefly, under inhalation anesthesia with isoflurane-N2O, a polyethylene catheter was inserted into the left carotid artery for measurement of mean arterial pressure and application of fluorescence dyes. A warm (37°C) reversible ischemia of the left liver lobe was induced for 90 minutes by clamping the supplying nerve vessel bundle using a microclip. The mean arterial pressure was continuously controlled in each experiment. There was no significant difference between animals subjected to ischemia and sham-operated controls (data not shown).
Hepatic microcirculation
Hepatic microcirculation was analyzed by intravital fluorescence microscopy after 30 minutes and 120 minutes of reperfusion using a Leitz-Orthoplan microscope with a 100W HBO mercury lamp (Leitz, Wetzlar, Germany) as described previously.23-25 Intravital microscopic images were transferred to a video system (S-VHS Panasonic AG 7330; Matsushita Electric, Tokyo, Japan) using a CCD video camera (FK 6990, Cohu; Prospective measurements, San Diego, CA). Leukocytes were labeled by an intravenous application of rhodamine 6G (0.1 mL, 0.05%; Sigma-Aldrich, Deisenhofen, Germany) and visualized in postsinusoidal venules and sinusoids using an N2 filter block (excitation: 530-560 nm, emission: > 580 nm; Leitz). All videotaped images were evaluated using a computer-assisted image analysis program (CAPIMAGE; Dr Zeintl, Heidelberg, Germany). Rolling leukocytes were defined as cells crossing an imaginary perpendicular through the vessel at a velocity markedly lower than the centerline velocity in the microvessel. Their numbers are given as cells per second per vessel cross section. Leukocytes firmly attached to the endothelium for more than 20 seconds were counted as permanently adherent cells and expressed as number of cells per square millimeter endothelial surface. In sinusoids, the number of accumulated (stagnant) leukocytes was counted in the scanned acini and is given in [cells/acinus].
In an attempt to evaluate the severity of I/R-induced perfusion injury, sinusoidal perfusion was analyzed within 5 to 7 acini after intravenous application of fluorescein isothiocyanate (FITC)-labeled dextran (molecular weight [MW] 150 000; 0.1 mL, 5%; Sigma-Aldrich) using an I2/3 filter block (excitation: 450-490 nm, emission: > 515 nm; Leitz). In each visualized acinus, the total number of sinusoids as well as the number of nonperfused sinusoids within the same acinus were counted. The results are presented as sinusoidal perfusion failure: percentage of nonperfused sinusoids = nonperfused sinusoids/total sinusoids of an acinus × 100%.
Impact of JAM-A on platelet-endothelial cell interactions
In a separate set of experiments (n = 5 each group), we investigated whether JAM-A deficiency influences postischemic platelet-endothelial cell interactions. For this purpose, platelets were isolated from either wild-type or JAM-A-/- mice, labeled ex vivo with rhodamine 6G as described previously,23,26,27 infused intra-arterially in wild-type mice after 90 minutes of ischemia and 30 minutes of reperfusion, and quantitatively analyzed using intravital microscopy in hepatic sinusoids and postsinusoidal venules as described for leukocytes. Sham-operated JAM-A+/+ animals were used as controls.
Immunostaining for CD45
Samples of liver tissue were taken at the end of intravital microscopy (140 minutes after the onset of reperfusion). Paraffin sections (6 μm) were incubated with a rat anti-mouse CD45 MoAb (Becton Dickinson, Heidelberg, Germany) as a primary antibody and commercially available immunohistochemistry kits (Vectastain; Camon, Wiesbaden, Germany). Control sections were incubated with an isotype-matched rat immunoglobulin G (IgG; Becton Dickinson). The number of leukocytes extravasated into the parenchymal tissue was counted in 10 high-power fields (HPF = 0.097 66 mm2 at microscope magnification × 400) and expressed as number of cells per square millimeter of liver surface. Since leukocyte adherence was analyzed using intravital microscopy, intravascularly localized leukocytes were not counted in tissue sections. All cell counts were performed in a blinded fashion.
Staining for granulocyte naphthol-ASD chloroacetate esterase
To assess neutrophil transmigration, paraffin sections were stained for chloroacetate esterase present on neutrophils, using a Naphthol-ASD Chloroacetate Esterase Kit (Sigma-Aldrich). The number of neutrophils extravasated into the parenchymal tissue was quantified as described above for CD45+ cells at microscope magnification × 400.
Immunostaining for CD3
Chloroform-fixed cryosections were incubated with Dako Biotin Blocking System (Dako, Hamburg, Germany) to block endogenous biotin and, thereafter, stained using the Animal Research Kit (ARK, code K3954; Dako) and the monoclonal mouse anti-human CD3 antibody (incubation for 60 minutes, code M7254; Dako) according to the manufacturer's instructions. Control sections were incubated with isotype-matched mouse IgG1kappa (SouthernBiotech, Birmingham, AL).
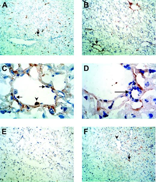
JAM-A expression in the hepatic microvasculature. Immunostaining for JAM-A was performed in cryosections of the murine liver. (A) Under control conditions, JAM-A expression was found in cells localized in liver parenchyma (arrow), but not in vascular endothelial cells. Magnification, × 200 (objective 20×/0.5). (B) In the postischemic liver, JAM-A expression was strongly expressed in the vessel wall of hepatic venules (arrow). Magnification, × 200. (C) Examination of JAM-A staining at higher magnification (× 1000 oil immersion objective 100×/1.30) shows JAM-A positively stained endothelial cells (arrows indicate spindle-shaped nuclei of endothelial cells) as well as JAM-A-expressing adherent leukocytes in the liver after I/R (arrowhead). (D) In bile duct epithelial cells (arrow), postischemic JAM-A expression was very weak and hardly detectable. Magnification, × 1000 oil. (E) No JAM-A expression was detected in JAM-A-/- mice after I/R. Magnification, × 200. (F) In postischemic livers of endothelial JAM-A-/- mice, JAM-A expression was found only in parenchymal (arrow) but not in vascular endothelial (arrowhead) cells. Magnification, × 200.
JAM-A expression in the hepatic microvasculature. Immunostaining for JAM-A was performed in cryosections of the murine liver. (A) Under control conditions, JAM-A expression was found in cells localized in liver parenchyma (arrow), but not in vascular endothelial cells. Magnification, × 200 (objective 20×/0.5). (B) In the postischemic liver, JAM-A expression was strongly expressed in the vessel wall of hepatic venules (arrow). Magnification, × 200. (C) Examination of JAM-A staining at higher magnification (× 1000 oil immersion objective 100×/1.30) shows JAM-A positively stained endothelial cells (arrows indicate spindle-shaped nuclei of endothelial cells) as well as JAM-A-expressing adherent leukocytes in the liver after I/R (arrowhead). (D) In bile duct epithelial cells (arrow), postischemic JAM-A expression was very weak and hardly detectable. Magnification, × 1000 oil. (E) No JAM-A expression was detected in JAM-A-/- mice after I/R. Magnification, × 200. (F) In postischemic livers of endothelial JAM-A-/- mice, JAM-A expression was found only in parenchymal (arrow) but not in vascular endothelial (arrowhead) cells. Magnification, × 200.
Immunostaining for JAM-A
Chloroform-fixed cryosections were incubated with Dako Biotin Blocking System (Dako) to block endogenous biotin for 10 minutes and, thereafter, with a goat antimouse antibody binding to N-terminus of JAM-A (G-19; Santa Cruz Biotechnologies, Santa Cruz, CA) for 60 minutes. After being thoroughly washed with Tris (tris(hydroxymethyl)aminomethane) buffer, a biotinylated anti-goat IgG (Vector laboratories, Burlingame, CA) was added to the sections for 30 minutes, followed by incubation with avidin-biotin-complex for 30 minutes (Vector laboratories) and staining with 3-amino 9-ethyl carbazole (AEC) single solution for 10 minutes (Zymed Laboratories, South San Francisco, CA). All slides were counterstained with hematoxylin (Vector Laboratories). Control sections were incubated with an isotype-matched goat IgG (R&D Systems, Wiesbaden, Germany). As an additional negative control, tissue sections were stained using the same procedure as in the actual test, excluding the primary antibody.
Reverse transcriptase-polymerase chain reaction (RT-PCR) for JAM-A
Samples of frozen liver tissue were homogenized and total RNA was extracted from supernatants using RNeasy spin columns (Qiagen, Valencia, CA). Total RNA was quantitated by measuring the optical density at 260 nm. cDNA was prepared from 2 μg total RNA. PCR amplification was performed as previously described.28 The sense and antisense primers, respectively, and the size of the PCR products were as follows: JAM-A, 5′-CACCTTCTCATCCAGTGGCATC-3′, 5′-CTCCACAGCATCCATGTGTGC-3′, 442 base pair (bp) (GenBank accession no. NM_172647); and β-actin, 5′-GGACTCCTATGTGGGTGACGAGG-3′,5′-GGGAGAGCATAGCCCTCGTAGAT-3′, 366 bp (GenBank accession no. NM_00739). At varying cycle numbers, samples of the amplified products were analyzed on a 1% agarose gel, stained with ethidium bromide, and visualized by ultraviolet (UV) illumination. Digital images of the gels were densitometrically analyzed using Bio-1D software (LTF-Labortechnik, Wasserburg, Germany). Net band intensity from the linear range was normalized to the housekeeping gene β-actin.
Liver enzymes
Blood samples were taken from the carotid artery at the end of the experiment (140 minutes of reperfusion), immediately centrifuged at 2000g for 10 minutes, and stored at -80°C. Serum aspartate aminotransferase (AST) and alanine aminotransferase (ALT) activities were determined at 37°C with an automated analyzer (Hitachi 917; Roche-Boehringer, Mannheim, Germany) using standardized test systems (HiCo GOT and HiCo GPT; Roche-Boehringer).
TUNEL staining
Paraffin sections were prepared and stained by terminal deoxynucleotidyl transferase-mediated deoxyuridine triphosphate (dUTP) nick end-labeling (TUNEL) using a commercially available kit (Roche-Boehringer). TUNEL-positive cells were counted by a blinded observer using light microscopy (magnification × 400) in 10 HPFs.
Experimental groups
The following groups were investigated (n = 6 each): a sham-operated group, an I/R group in JAM-A+/+ mice, an I/R group in JAM-A-/- mice, and an I/R group in endothelial JAM-A-/- mice. In all groups, intravital microscopy was performed after 30 to 50 minutes as well as 120 to 140 minutes of reperfusion. Tissue and blood samples were taken at the end of the experiment after 140 minutes of reperfusion.
To confirm the effects of JAM-A deficiency on leukocyte recruitment during hepatic I/R, an additional set of experiments was carried out in which we either blocked JAM-A using the mAb BV11 (100 μg/mouse intra-arterially, 10 minutes before ischemia10 ) or infused an isotype-matched control antibody (rat IgG2b, 100 μg/mouse; Becton Dickinson) in the same model of hepatic I/R in C57Bl6 mice (n = 6 each group).
Finally, we analyzed leukocyte-endothelial cell interactions in JAM-A and endothelial JAM-A-/- under control conditions (n = 3 each group) and did not detect any differences from the results in sham-operated JAM-A+/+ mice (data not shown).
Statistics
Data analysis was performed with a statistical software package (Sigma-Stat; Jandel Scientific, Erkrath, Germany). The Kruskal-Wallis test followed by the Student-Newman-Keuls test was used for the estimation of stochastic probability in intergroup comparisons. t test was used for 2-group comparison between BV11- and IgG2b-treated groups as well as for the analysis of the RT-PCR data. Mean values plus or minus SEM are given. P less than .05 was considered significant.
Results
JAM-A expression in the liver
In sham-operated mice, JAM-A expression was detected only in cells localized in liver parenchyma, but not on the endothelium of hepatic microvessels (Figure 1A). In contrast, JAM-A was clearly expressed after ischemia and reperfusion in the vessel wall of hepatic venules. In sinusoids, JAM-A was not expressed with exception of perivenular regions (Figure 1B). By analyzing the immunostaining under higher magnification, we observed that postischemic JAM-A expression is localized in vascular endothelial cells as well as in adherent leukocytes (Figure 1C), whereas it was very weak and hardly detectable in bile duct epithelium (Figure 1D). As an additional control, postischemic livers from JAM-A-/- and endothelial JAM-A-/- mice were stained for JAM-A (Figure 1E-F).
JAM-A mRNA expression. Representative RT-PCR gels (left) and the results of densitometric analysis presented as ratio of JAM-A to β-actin (right) show mRNA expression of JAM-A in hepatic tissue of sham-operated mice and mice after 90 minutes of hepatic ischemia and 140 minutes of reperfusion. The number of cycles was 35 for JAM-A and 23 for β-actin. n = 6 animals per group; mean ± SEM.
JAM-A mRNA expression. Representative RT-PCR gels (left) and the results of densitometric analysis presented as ratio of JAM-A to β-actin (right) show mRNA expression of JAM-A in hepatic tissue of sham-operated mice and mice after 90 minutes of hepatic ischemia and 140 minutes of reperfusion. The number of cycles was 35 for JAM-A and 23 for β-actin. n = 6 animals per group; mean ± SEM.
Leukocyte-endothelial cell interactions. Numbers of leukocytes rolling (A) and adherent (B) in postsinusoidal venules as well as number of leukocytes intravascularly accumulated in sinusoids (C) were quantitatively analyzed using intravital video fluorescence microscopy in sham-operated mice, JAM-A+/+ mice after I/R (I/R-JAM+/+), JAM-A-/- mice after I/R (I/R-JAM-/-), and in endothelial JAM-A-/- mice after I/R (I/R-eJAM-/-). Ischemia time: 90 minutes; reperfusion time: 30 minutes (▪) and 120 minutes (□). n = 6 animals per group; mean ± SEM; *P < .05 versus sham-operated group; #P < .05 versus IR-JAM-A+/+ group.
Leukocyte-endothelial cell interactions. Numbers of leukocytes rolling (A) and adherent (B) in postsinusoidal venules as well as number of leukocytes intravascularly accumulated in sinusoids (C) were quantitatively analyzed using intravital video fluorescence microscopy in sham-operated mice, JAM-A+/+ mice after I/R (I/R-JAM+/+), JAM-A-/- mice after I/R (I/R-JAM-/-), and in endothelial JAM-A-/- mice after I/R (I/R-eJAM-/-). Ischemia time: 90 minutes; reperfusion time: 30 minutes (▪) and 120 minutes (□). n = 6 animals per group; mean ± SEM; *P < .05 versus sham-operated group; #P < .05 versus IR-JAM-A+/+ group.
In an attempt to analyze whether the I/R-induced up-regulation of JAM-A in the liver is detectable on the level of mRNA expression, we carried out RT-PCR. A slight, however, nonsignificant increase in JAM-A mRNA expression was observed in postischemic livers compared with the sham-operated controls (Figure 2).
Role of JAM-A for leukocyte rolling and adherence
As detected by intravital microscopy, leukocyte-endothelial cell interactions were rare in microvessels of sham-operated JAM-A+/+ mice. In contrast, leukocyte rolling and adherence in postsinusoidal venules as well as leukocyte accumulation in sinusoids were significantly enhanced in JAM-A+/+ mice after 90 minutes of ischemia followed by 30 and 120 minutes of reperfusion (Figure 3). In postsinusoidal venules of JAM-A-/- animals, the number of rolling leukocytes did not differ from JAM-A+/+ mice, whereas the number of adherent leukocytes was significantly higher at both reperfusion time points (30 minutes: ∼ 40%; 120 minutes: ∼ 60%) compared with the wild-type controls. Leukocyte accumulation in postischemic sinusoids of JAM-A-/- mice was comparable with that in JAM-A+/+ mice after I/R. Since JAM-A is expressed not only in tight junctions of endothelial cells but also on leukocytes, we analyzed leukocyte-endothelial cell interactions in endothelial JAM-A-/- mice in an attempt to differentiate between the role of JAM-A expressed by endothelial cells and that expressed by leukocytes. As shown in Figure 3, the extent of leukocyte-endothelial cell interactions did not differ between JAM-A-/- and endothelial JAM-A-/- mice.
Role of JAM-A for leukocyte transmigration
Leukocytes were stained in tissue sections using an antibody against the common leukocyte antigen CD45. Extravascularly localized CD45+ cells were calculated as number of cells per square millimeter of liver surface. In the sham-operated group, transmigrated CD45+ cells were rarely observed (43.7 ± 6.3/mm2, Figure 4 left panel). In contrast, the number of transmigrated leukocytes was dramatically increased in JAM-A+/+ mice undergoing 90 minutes of ischemia and 140 minutes of reperfusion (273.0 ± 35.6/mm2). In JAM-A-/- mice as well as in endothelial JAM-A-/- mice, the postischemic number of transmigrated leukocytes was significantly lower than in JAM-A+/+ mice (162.5 ± 46.5/mm2 and 103.4 ± 27.9/mm2).
Next, we analyzed whether JAM-A plays a role in transmigration of neutrophils, a subset of leukocytes, which is suggested to be responsible for the induction of hepatic I/R injury. As shown in Figure 4 (right panel), transmigration of neutrophils was low in sham-operated animals (33.4 ± 6.2/mm2) but significantly increased after hepatic I/R (78.4 ± 10.7/mm2). In JAM-A-/- and endothelial JAM-A-/- mice, however, the postischemic increase in the number of transmigrated neutrophils was completely abolished (35.0 ± 5.7/mm2 and 37.8 ± 16.5/mm2, respectively). In addition, we investigated the role of JAM-A for transmigration of T cells, a cell type that has been suggested to be involved in the manifestation of postischemic liver injury.29,30 Hepatic I/R clearly induced T-cell transmigration, which, however, was not reduced in JAM-A-/- mice and nonsignificantly decreased in postischemic endothelial JAM-A-/- mice (Figure 5).
In an attempt to confirm the effects on leukocyte recruitment observed in JAM-A-/- mice, we blocked JAM-A using the monoclonal antibody BV11 in the same model (Table 1). Similar to the results in JAM-A-/- mice, no effect of JAM-A blockade on leukocyte rolling was observed. Leukocyte adherence was slightly increased in the BV11-treated group, however this increase did not reach the level of statistical significance. As shown by immunostaining for CD45+ cells, the JAM-A blockade significantly attenuated leukocyte transmigration in the postischemic liver.
Impact of anti-JAM-A antibody BV11 on leukocyte recruitment
. | I/R and BV11, mean ± SEM . | . | I/R and IgG2b, mean ± SEM . | . | ||
|---|---|---|---|---|---|---|
. | 30 min . | 120 min . | 30 min . | 120 min . | ||
| Leukocyte rolling in postsinusoidal venules, cells/mm/s | 9.6 ± 0.9 | 9.0 ± 2.1 | 10.9 ± 1.4 | 6.9 ± 2.4 | ||
| Leukocyte adherence in postsinusoidal venules, cells/mm2 | 302.7 ± 32.3 | 285.0 ± 45.1 | 284.5 ± 28.8 | 263.8 ± 28.4 | ||
| Leukocyte accumulation in sinusoids, cells/acinus | 10.6 ± 1.0 | 12.7 ± 1.5 | 11.2 ± 0.7 | 12.6 ± 1.0 | ||
. | I/R and BV11, mean ± SEM . | . | I/R and IgG2b, mean ± SEM . | . | ||
|---|---|---|---|---|---|---|
. | 30 min . | 120 min . | 30 min . | 120 min . | ||
| Leukocyte rolling in postsinusoidal venules, cells/mm/s | 9.6 ± 0.9 | 9.0 ± 2.1 | 10.9 ± 1.4 | 6.9 ± 2.4 | ||
| Leukocyte adherence in postsinusoidal venules, cells/mm2 | 302.7 ± 32.3 | 285.0 ± 45.1 | 284.5 ± 28.8 | 263.8 ± 28.4 | ||
| Leukocyte accumulation in sinusoids, cells/acinus | 10.6 ± 1.0 | 12.7 ± 1.5 | 11.2 ± 0.7 | 12.6 ± 1.0 | ||
The impact of either BV11 antibody or isotype-matched control rat IgG2b on leukocyte rolling adherence/accumulation was analyzed using intravital microscopy in hepatic microvessels after 90 minutes of ischemia followed by 30 and 120 minutes of reperfusion. Transmigrated CD45+ leukocytes were counted in tissue sections (reperfusion: 140 minutes). n = 6 each group; mean ± SEM. Leukocyte transmigration of extravascular CD45+ cells/mm2 at 140 minutes was 89.0 ± 8.9 (P <.05 versus IgG2b) for I/R plus BV11 and 213.2 ± 23.5 for I/R plus IgG2b.
Interactions of JAM-A-/- platelets in the postischemic liver
Recent in vitro studies have shown that platelet JAM-A plays a role for aggregation of platelets,11-13 a cell type that is discussed to be important for recruitment of leukocytes.14 To clarify whether the reduction of leukocyte transmigration in the postischemic liver of JAM-A-/- mice associated with (or caused by) an attenuation of platelet adhesion, interactions of either fluorescence-labeled JAM-A+/+ or JAM-A-/- platelets were analyzed in JAM-A+/+ mice undergoing I/R. Interactions of JAM-A+/+ as well as JAM-A-/- platelets with postischemic endothelium were significantly enhanced in postsinusoidal venules and sinusoids compared with sham-operated mice (Figure 6). However, no differences were found between the numbers of JAM-A+/+ and JAM-A-/- platelets accumulated in the liver (Table 2). Thus, JAM-A deficiency does not influence I/R-induced platelet recruitment.
Quantitative analysis of platelet-endothelial cell interactions
. | Sham, mean ± SEM . | I/R, mean ± SEM . | . | |
|---|---|---|---|---|
. | JAM-A+/+ platelets, JAM A+/+ mice . | JAM-A+/+ platelets, JAM-A+/+ mice . | JAM-A−/− platelets, JAM-A+/+ mice . | |
| Postsinusoidal venules, cells/mm2 | 68.7 ± 5.1 | 537.9 ± 24.9* | 413.0 ± 64.5* | |
| Sinusoids, cells/acinus | 2.1 ± 0.1 | 11.5 ± 0.4* | 12.1 ± 0.6* | |
. | Sham, mean ± SEM . | I/R, mean ± SEM . | . | |
|---|---|---|---|---|
. | JAM-A+/+ platelets, JAM A+/+ mice . | JAM-A+/+ platelets, JAM-A+/+ mice . | JAM-A−/− platelets, JAM-A+/+ mice . | |
| Postsinusoidal venules, cells/mm2 | 68.7 ± 5.1 | 537.9 ± 24.9* | 413.0 ± 64.5* | |
| Sinusoids, cells/acinus | 2.1 ± 0.1 | 11.5 ± 0.4* | 12.1 ± 0.6* | |
The number of either wild-type (JAM-A+/+) or JAM-A−/− platelets accumulated in hepatic microvessels in sham-operated mice and in mice after 90 minutes of ischemia and 30 minutes of reperfusion, n = 5 each group.
P < .05 versus sham.
Transendothelial migration of total leukocytes and neutrophils. Microphotographs demonstrate immunostaining for the common leukocyte antigen CD45 (left) and staining for granulocyte naphthol-ASD chloroacetate esterase (right) in the liver tissue of a sham-operated mouse (A), a JAM-A+/+ mouse after I/R (90/140 minutes) (B), and a JAM-A-/- mouse after I/R (C, top). Extravascular localized cells (arrows) were quantified in 10 high-power fields at microscope magnification × 400 (objective 40×/0.75) and (bottom) expressed as number of cells per square millimeter of liver surface (I/R-JAM+/+: JAM-A+/+ mice after I/R; I/R-JAM-/-: JAM-A-/- mice after I/R; and I/R-eJAM-/-: endothelial JAM-A-/- mice after I/R). n = 6 animals per group; mean ± SEM; *P < .05 versus sham-operated group; #P < .05 versus IR-JAM-A+/+ group.
Transendothelial migration of total leukocytes and neutrophils. Microphotographs demonstrate immunostaining for the common leukocyte antigen CD45 (left) and staining for granulocyte naphthol-ASD chloroacetate esterase (right) in the liver tissue of a sham-operated mouse (A), a JAM-A+/+ mouse after I/R (90/140 minutes) (B), and a JAM-A-/- mouse after I/R (C, top). Extravascular localized cells (arrows) were quantified in 10 high-power fields at microscope magnification × 400 (objective 40×/0.75) and (bottom) expressed as number of cells per square millimeter of liver surface (I/R-JAM+/+: JAM-A+/+ mice after I/R; I/R-JAM-/-: JAM-A-/- mice after I/R; and I/R-eJAM-/-: endothelial JAM-A-/- mice after I/R). n = 6 animals per group; mean ± SEM; *P < .05 versus sham-operated group; #P < .05 versus IR-JAM-A+/+ group.
Transendothelial migration of T cells. Microphotographs demonstrate immunostaining for the T-cell marker CD3 in the liver tissue of a sham-operated mouse (A), a JAM-A+/+ mouse after I/R (90/140 minutes) (B), and a JAM-A-/- mouse after I/R (C, left). Extravascularly localized cells (arrows) were quantified in 10 high-power fields at microscope magnification × 400 (objective 40×/0.75) and (right) expressed as number of cells per square millimeter of liver surface (I/R-JAM+/+: JAM-A+/+ mice after I/R; I/R-JAM-/-: JAM-A-/- mice after I/R; and I/R-eJAM-/-: endothelial JAM-A-/- mice after I/R). n = 6 animals per group; mean ± SEM; *P < .05 versus sham-operated group.
Transendothelial migration of T cells. Microphotographs demonstrate immunostaining for the T-cell marker CD3 in the liver tissue of a sham-operated mouse (A), a JAM-A+/+ mouse after I/R (90/140 minutes) (B), and a JAM-A-/- mouse after I/R (C, left). Extravascularly localized cells (arrows) were quantified in 10 high-power fields at microscope magnification × 400 (objective 40×/0.75) and (right) expressed as number of cells per square millimeter of liver surface (I/R-JAM+/+: JAM-A+/+ mice after I/R; I/R-JAM-/-: JAM-A-/- mice after I/R; and I/R-eJAM-/-: endothelial JAM-A-/- mice after I/R). n = 6 animals per group; mean ± SEM; *P < .05 versus sham-operated group.
Impact of JAM-A deficiency on I/R injury of the liver
To investigate whether JAM-A deficiency influences microvascular I/R injury, sinusoidal perfusion was quantified in all experimental groups. A schedule of 90 minutes of warm ischemia followed by either 30 minutes or 120 minutes of reperfusion resulted in a severe deterioration of sinusoidal perfusion characterized by 26 ± 3% and 30 ± 4% nonperfused sinusoids, respectively, compared with sham-operated mice (7 ± 1% and 8 ± 2%). Despite the clear suppressing effect on neutrophil transmigration, JAM-A deficiency did not improve sinusoidal perfusion in JAM-A and endothelial JAM-A-/- animals at both reperfusion time points (Figure 7A).
After 140 minutes of reperfusion, activities of ALT and AST were measured in plasma as a parameter of hepatocellular necrotic injury. A dramatic increase in liver enzyme activities (AST, 6109 ± 1539; ALT, 5264 ± 1764 U/L) was observed in JAM-A+/+ wild-type mice undergoing I/R compared with the sham group (AST, 814 ± 70; ALT, 137 ± 47 U/L). Similar to the results on sinusoidal perfusion, no protective effect was observed in both JAM-A and endothelial JAM-A-/- mice, since the postischemic activities of ALT and AST remained increased in both groups and did not differ from the postischemic JAM-A+/+ group (Figure 7B).
TUNEL-positive cells were counted in tissue sections as a parameter of apoptosis. While in sham-operated mice apoptotic cells were nearly absent (3.2 ± 1.6 hepatocytes/HPF), the number of TUNEL-positive hepatocytes was significantly increased after 90 minutes of ischemia and 140 minutes of reperfusion in JAM-A+/+ mice (18.7 ± 2.7/HPF; Figure 7C; microphotographs are presented in Figure S1, available on the Blood website; see the Supplemental Figure link at the top of the online article). In JAM-A-/- as well as in endothelial JAM-A-/- mice, however, the number of apoptotic hepatocytes after I/R was about 2-fold higher (P < .05) than in wild-type controls. Taken together, these results indicate that reduction of JAM-A-dependent neutrophil transmigration during I/R-induced inflammation does not protect against microvascular and hepatocellular tissue injury, but increases apoptosis.
Discussion
The emigration of leukocytes from the circulation is a critical step during immune surveillance and inflammatory reactions, and is governed by a coordinated interplay involving a spectrum of adhesion and signal molecules. The mechanisms of transendothelial migration of leukocytes in the liver during inflammation as well as during I/R remain not fully understood, and the responsible endothelial receptors are not identified, so far. In the present study, we tested the hypothesis that transendothelial migration of leukocyte during hepatic reperfusion is mediated by JAM-A.
Platelet-endothelial cell interactions. The role of JAM-A for postischemic platelet-endothelial cell interactions was assessed using intravital fluorescence microscopy. Microphotographs in panels A and B demonstrate rhodamine 6G-labeled JAM-A+/+ platelets in the hepatic microcirculation of a sham-operated JAM-A+/+ mouse (A) and a JAM-A+/+ mouse after hepatic I/R (B). Photomicrograph in panel C shows JAM-A-/- platelets in the postischemic microvessels of a JAM-A+/+ mouse. Platelets adherent in postsinusoidal venules are marked by arrows; platelets accumulated in sinusoids are labeled by arrowheads. Monitor magnification, × 500 (water immersion objective 25×/0.6 W).
Platelet-endothelial cell interactions. The role of JAM-A for postischemic platelet-endothelial cell interactions was assessed using intravital fluorescence microscopy. Microphotographs in panels A and B demonstrate rhodamine 6G-labeled JAM-A+/+ platelets in the hepatic microcirculation of a sham-operated JAM-A+/+ mouse (A) and a JAM-A+/+ mouse after hepatic I/R (B). Photomicrograph in panel C shows JAM-A-/- platelets in the postischemic microvessels of a JAM-A+/+ mouse. Platelets adherent in postsinusoidal venules are marked by arrows; platelets accumulated in sinusoids are labeled by arrowheads. Monitor magnification, × 500 (water immersion objective 25×/0.6 W).
Is JAM-A expressed in the liver?
First of all, we analyzed whether and in which segments of the hepatic microcirculation JAM-A is expressed. In our study, we expand the findings by Aurrand-Lions et al31 who detected JAM-A mRNA in liver homogenates. We were able to demonstrate, for the first time, that JAM-A is expressed in the hepatic microvasculature and that this expression is localized in the venular endothelium. In sinusoids, JAM-A expression was detected only in perivenular regions. While renal tubular, bronchial, and colonic epithelial cells strongly express JAM-A,32 we found that JAM-A expression in bile duct epithelium was very weak compared with the expression in postischemic venules. Interestingly enough, JAM-A might also be involved in the pathogenesis of reovirus-induced biliary diseases by serving as a receptor for reovirus.33,34 Although intravascularly adherent JAM-A-positive leukocytes can be identified, it seems to be almost impossible to reliably identify JAM-A-positive cells localized in liver parenchyma by morphologic criteria. In addition to JAM-A-positive leukocytes (neutrophils, B cells, dendritic cells) and platelets from circulating blood,21,35 our staining will also detect fragments of their degradation, which, at least in part, occurs in the liver. Moreover, also some types of nonparenchymal resident liver cells (eg, dendritic cells, major histocompatibility complex [MHC] II-positive cells) would be positively stained for JAM-A. It is noteworthy that JAM-A expression on endothelium was detectable only in the postischemic liver and was not observed under physiologic conditions. This finding points to a possible up-regulation of JAM-A protein expression upon endothelial activation. Total JAM-A mRNA expression was only slightly upregulated in the postischemic liver. This fact might be explained either by the negligible amount of JAM-A mRNA in venular endothelial cells compared with the total JAM-A mRNA in the liver or even by JAM-A up-regulation at the level of translation.
Does JAM-A play a role in leukocyte transmigration in the liver?
The data on leukocyte transmigration have shown that the postischemic increase in the number of transmigrated CD45+ cells (total leukocytes) was about 6-fold higher than that of transmigrated neutrophils, whereas in the sham-operated group the numbers of transmigrated CD45+ and esterase-positive cells were comparable. We conclude from this result that hepatic I/R induces transmigration not only of neutrophils but also of other leukocyte subsets. There is a growing body of evidence that T cells, in addition to neutrophils, play a critical role in the manifestation of I/R injury of the liver.29,30,36 Therefore, we extended the differentiation of subsets of emigrated leukocytes and performed immunostaining for T cells. Our results show that hepatic I/R clearly induced T-cell transmigration already during the first 2 hours of reperfusion. In JAM-A-/- mice, the I/R-induced increase in transmigration of total leukocytes was reduced by approximately 45%. Since the elevated transmigration of T cells remained unaffected, whereas the increase in neutrophil transmigration was completely attenuated, we suggest that JAM-A mediates neutrophil transmigration. In human umbilical vein endothelial cells (HUVECs), however, JAM-A inhibition impairs transendothelial migration not only of neutrophils, but also of CD4+CD45RO+ memory T cells.8 The impact of JAM-A deficiency on transmigration of other subsets of leukocytes (eg, B lymphocytes) was not investigated in this study, since their importance for hepatic I/R injury is not well documented, so far. The finding that the effect of endothelial JAM-A deficiency on leukocyte transmigration was comparable with that of “complete” JAM-A deficiency (lack of JAM-A also in blood cells) points to the critical role of endothelial JAM-A. This is in line with the in vitro study by Ostermann et al who demonstrated that JAM-A on endothelial cells binds to LFA-1 on leukocytes during memory T-cell and neutrophil transmigration.8 However, the role of endothelial JAM-A in the liver might be more important than in some other organs. The liver, similar to lungs but in contrary to tissues such as heart, kidney, lymph nodes, Peyer patches, and testis, possesses a very low mRNA expression of JAM-B and JAM-C,31 which both may be able to compensate for the lack of JAM-A function in endothelial junctions.
Microvascular and hepatocellular injury. (A) Sinusoidal perfusion was measured as a parameter of microvascular hepatic I/R injury. Microvascular perfusion failure is presented as the number of nonperfused sinusoids in sham-operated mice, JAM-A+/+ mice after I/R (I/R-JAM+/+), JAM-A-/- mice after I/R (I/R-JAM-/-), and endothelial JAM-A-/- mice after I/R (I/R-eJAM-/-). Ischemia time: 90 minutes; reperfusion time: 30 minutes (▪) and 120 minutes (□). (B) Serum activity of the liver enzymes AST and ALT was determined as a marker of hepatocellular necrotic injury after 90 minutes of ischemia followed by 140 minutes of reperfusion. (C) TUNEL-positive apoptotic hepatocytes were quantified in 10 high-power fields at microscope magnification × 400 in livers undergoing 90 minutes of ischemia followed by 140 minutes of reperfusion. n = 6 animals per group; mean ± SEM; *P < .05 versus sham-operated group; #P < .05 versus IR-JAM-A+/+ group.
Microvascular and hepatocellular injury. (A) Sinusoidal perfusion was measured as a parameter of microvascular hepatic I/R injury. Microvascular perfusion failure is presented as the number of nonperfused sinusoids in sham-operated mice, JAM-A+/+ mice after I/R (I/R-JAM+/+), JAM-A-/- mice after I/R (I/R-JAM-/-), and endothelial JAM-A-/- mice after I/R (I/R-eJAM-/-). Ischemia time: 90 minutes; reperfusion time: 30 minutes (▪) and 120 minutes (□). (B) Serum activity of the liver enzymes AST and ALT was determined as a marker of hepatocellular necrotic injury after 90 minutes of ischemia followed by 140 minutes of reperfusion. (C) TUNEL-positive apoptotic hepatocytes were quantified in 10 high-power fields at microscope magnification × 400 in livers undergoing 90 minutes of ischemia followed by 140 minutes of reperfusion. n = 6 animals per group; mean ± SEM; *P < .05 versus sham-operated group; #P < .05 versus IR-JAM-A+/+ group.
Since it has been shown that JAM-A is redistributed from cell-cell contacts to the endothelial surface upon endothelial activation,37 this adhesion molecule is discussed to play a role also in the process of leukocyte rolling and adhesion.38 Therefore, we used intravital microscopy to clarify whether the attenuation of leukocyte transmigration we have observed in JAM-A-/- mice is related to the specific role of JAM-A as a transmigration receptor or to its involvement already at the level of leukocyte rolling or adhesion, steps preceding leukocyte emigration. Both initial steps of leukocyte recruitment, rolling and firm adherence, were quantified in postsinusoidal venules and sinusoids. Since postischemic leukocyte rolling and adherence in microvessels of JAM-A-/- mice were not reduced, whereas venular adherence was significantly increased (probably due to diminished extravasation of adherent cells), we conclude that JAM-A does not mediate the process of leukocyte adhesion, but serves as a receptor mediating leukocyte transmigration.
In a separate set of experiments, we investigated whether the reduced leukocyte transmigration in the postischemic livers of JAM-A-/- mice is caused by or associated with attenuated adhesion of platelets, which also express JAM-A.35 Several studies have shown in vitro that JAM-A on human platelets participates in the process of platelet aggregation and adhesion on the endothelium via homophilic JAM-JAM interactions.11-13 Moreover, there is a controversial discussion in the current literature about a potential impact of adherent platelets on adhesion of leukocytes.14,24 In the present study, the postischemic adhesion of JAM-A-/- platelets in the hepatic microcirculation was comparable with that of JAM-A+/+ platelets. This fact demonstrates that JAM-A is not necessary for platelet accumulation during hepatic reperfusion, and that the observed attenuation of neutrophil transmigration is not due to a reduction of JAM-A-dependent platelet adherence.
Taken together, we identified here the critical role of JAM-A for neutrophil transmigration in the postischemic liver in vivo. In an in vitro study, antibodies against human JAM-A displayed inhibitory effects on barrier function of epithelial cells, but did not affect migration of neutrophils,32 despite high structural similarity between human and murine JAM protein.32,39 Experiments with the same antibodies showed that cytokine activation of endothelial cell monolayers induces redistribution of JAM-A away from lateral junctions, but does not negatively regulate either neutrophil or monocyte transmigration under flow.40 Although the anti-JAM-A antibody BV11 attenuated cytokine-induced accumulation of leukocytes in cerebrospinal fluid as well as in brain parenchyma,10 this antibody did not prevent leukocyte influx after more severe forms of bacterial and viral meningitis.41 These controversial results might be explained by differences in type as well as intensity of the inflammatory stimuli applied in these studies, resulting in various scenarios of JAM-A action during leukocyte transmigration; scenarios include homophilic JAM-JAM interactions, integrin-mediated active guiding of leukocytes, or passive JAM dispersion from tight junctions leading to their loosening, as well as a role of JAM for maintaining tight junction integrity and regulation of cytoskeleton.39,42 In recent experiments, we observed that JAM-A deficiency led to an attenuation of postischemic leukocyte transmigration in the murine cremaster muscle, whereas this effect failed after a stronger stimulation with platelet-activating factor in the same model (Christoph Reichel, Christian Moser, A.K., F.K., unpublished data, October 2004). Finally, the effect of JAM-A deficiency on leukocyte migration might be “indirect,” in that loss of JAM-JAM interactions triggers signaling pathways that inhibit cell-matrix interactions and enhance paracellular permeability through effects on beta-integrins or the cytoskeleton.43
Does the selective blockade of leukocyte transmigration influence I/R injury of the liver?
In the present study, I/R injury of the liver was characterized by measurement of sinusoidal perfusion as a functional parameter of microvascular postischemic injury, by determination of plasma activity of ATL/AST as a marker of hepatocellular necrotic damage, and by TUNEL staining for assessment of apoptosis. As shown here and in our previous studies,23-25,44 hepatic I/R induced a significant impairment of sinusoidal perfusion and a dramatic increase of ALT and AST activities as well as a moderate increase in the number of apoptotic hepatocytes. Our data clearly indicate that the reduction of leukocyte transmigration in JAM-A-/- mice is not associated with an attenuation of hepatocellular necrotic I/R of the liver. In line with this finding, the perfusion failure was not reduced in JAM-A-/- mice. However, the postischemic number of apoptotic hepatocytes was about 2-fold higher in JAM-A-/- and in endothelial JAM-A-/- mice than in the wild-type controls.
These findings might point to the crucial role of intravascularly adherent leukocytes that are activated and, therefore, able to release free oxygen radicals and inflammatory mediators.
Furthermore, increased intrasinusoidal accumulation of leukocytes can mechanically disturb sinusoidal blood flow, since the diameter of a leukocyte is comparable with that of a sinusoid (∼ 10 μm). Alternatively, the enhanced tissue damage in JAM-A-/- mice may be explained by a predominant role of other subsets of infiltrating leukocytes (eg, T cells) in the induction of I/R injury.
The fact that the postischemic number of apoptotic hepatocytes is strongly increased in JAM-A-/- mice suggests a potential role of neutrophils in the processes of postischemic tissue remodeling and healing. As recently shown by Gasser and Schifferli,45 activated polymorphonuclear neutrophils disseminate anti-inflammatory microparticles by ectocytosis, which, in turn, down-regulate interleukin-8 (IL-8), IL-10, and tumor necrosis factor α (TNF-alpha) secretion and induce transforming growth factor β1 (TGF-beta1) secretion in macrophages. Thus, neutrophils are able to reprogram macrophages by down-regulating their inflammatory activity and create an immediate counterweight for simultaneously unfolding proinflammatory mechanisms. Therefore, it seems to be plausible that an attenuation of neutrophil migration would increase the number of apoptotic cells in the postischemic tissue. Interestingly enough, Anders et al have shown that, despite blocking local leukocyte recruitment, CC chemokine ligand 5/RANTES (regulated on activation normal T cell expressed and secreted) chemokine antagonists aggravate apoptosis during experimental glomerulonephritis, most likely due to interactions with systemic immune reactions.18
In conclusion, here we show for the first time that in the postischemic liver (1) JAM-A is expressed in endothelium hepatic venules; (2) JAM-A serves as an endothelial receptor of neutrophil transmigration, but does not mediate leukocyte rolling and firm adhesion, T-cell transmigration, as well as platelet-endothelial cell interactions; and (3) JAM-A deficiency does not reduce I/R-induced microvascular and hepatocellular necrotic injury, but increases hepatocyte apoptosis, despite attenuation of neutrophil infiltration.
Prepublished online as Blood First Edition Paper, April 12, 2005; DOI 10.1182/blood-2004-11-4416.
Supported by the Deutsche Forschungsgemeinschaft (FOR 440/2) and European Community (FPG NoE MAIN LSHG-CT-2003-502935).
A.K. designed research, performed experiments, analyzed data, and wrote the manuscript. J.S.K. participated in carrying out of experiments and analyzed data. H.M. carried out immunostaining and analyzed the data. M.H. participated in carrying out of experiments. M.C. carried out breeding and genotyping of knock-out mice. T.M. originally generated JAM-A-/- mice. G.E. performed RT-PCR for JAM-A. E.D. participated in the direction of the study. F.K. directed the study, designed research, and participated in writing the manuscript.
The online version of the article contains a data supplement.
The publication costs of this article were defrayed in part by page charge payment. Therefore, and solely to indicate this fact, this article is hereby marked “advertisement” in accordance with 18 U.S.C. section 1734.
The authors thank Professor Dr T. Sato (University of Texas Southwestern Medical Center at Dallas) for kindly providing JAM-A-/- and Tie-2 Cre-JAM-A-/- mice; Mrs A. Heier (Institute of Pathology, University of Munich) and A. Schropp (Institute for Surgical Research, University of Munich) for technical assistance; and Dr M. Weigand (Institute of Clinical Chemistry, University of Munich) for measuring ALT/AST activities.







This feature is available to Subscribers Only
Sign In or Create an Account Close Modal