Abstract
CD74 is an integral membrane protein that was thought to function mainly as an MHC class II chaperone. However, CD74 was recently shown to have a role as an accessory-signaling molecule. Our studies demonstrated that CD74 regulates B-cell differentiation by inducing a pathway leading to the activation of transcription mediated by the NF-κB p65/RelA homodimer and its coactivator, TAFII105. Here, we show that CD74 stimulation with anti-CD74 antibody leads to an induction of a signaling cascade resulting in NF-κB activation, entry of the stimulated cells into the S phase, elevation of DNA synthesis, cell division, and augmented expression of BCL-XL. These studies therefore demonstrate that surface CD74 functions as a survival receptor.
Introduction
CD74 is a nonpolymorphic type II integral membrane protein; it has a short N-terminal cytoplasmic tail of 28 amino acids (aa), followed by a single 24-aa transmembrane region and an approximately 150-aa lumenal domain. The CD74 chain was thought to function mainly as an MHC class II chaperone, which promotes ER exit of MHC class II molecules, directs them to endocytic compartments, prevents peptide binding in the ER, and contributes to peptide editing in the MHC class II compartment.1 However, in addition to its function as a chaperone molecule, CD74 was recently shown to have a role as an accessory-signaling molecule. CD74 was reported to be a high-affinity binding protein for the proinflammatory cytokine, macrophage migration-inhibitory factor (MIF), providing further evidence for a role in signal transduction pathways. MIF binds to the extracellular domain of CD74 to induce MIF-mediated phosphorylation of the extracellular signal-regulated kinase-1/2 (ERK-1/2), cell proliferation, and prostaglandin E2 (PGE2) production.2 Moreover, Helicobacter pylori was recently shown to bind to CD74 on gastric epithelial cells and to stimulate interleukin-8 production.3 An accessory role for CD74 was also identified during T-cell responses through interactions with CD44.4 Finally, our previous studies demonstrated that CD74 regulates B-cell differentiation by inducing a pathway leading to the activation of transcription mediated by the NF-κB p65/RelA homodimer and its coactivator, TAFII105 in CD74-transfected 293 cells and in B cells.5 NF-κB is activated by the intracellular domain of CD74 (CD74-ICD), which is liberated from the membrane. The process of intramembrane cleavage followed by nuclear translocation and transcriptional activation is reminiscent of regulated intramembrane cleavage (RIP).6,7 These RIP-processed transcription factors are synthesized initially as inactive, membrane-bound precursors. Once triggered, RIP proteins are cleaved within the plane of the membrane, and their cytosolic fragment migrates into the nucleus to drive transcription. In most of the cases reported, the proteins that are processed by RIP are expressed on the plasma membrane, and intramembrane cleavage of RIP-processed proteins is ligand dependent.
Surface expression of newly synthesized CD74 followed by rapid internalization to the endosomal pathway has also been known for many years. Experiments that investigate cell-surface CD74 are complicated by the fact that CD74 remains on the cell surface for a very short time.8,9 The surface half-life of CD74 was calculated to be fewer than 10 minutes; because of this rapid internalization and replenishment of cell-surface CD74 with newly synthesized molecules, the total number of CD74 molecules appearing on the cell surface in a given time period was found to be on the order of 4 × 106 molecules per cell per day on a B-cell lymphoblastoid line.10 In addition, it was shown that cell-surface CD74 is modified by the addition of chondroitin sulfate (CD74-CS) at amino acid position 201, and this form of CD74 is associated with class II on the surface of antigenpresenting cells.11-13 The role of cell-surface CD74 and the CD74-CS form is still unknown.
To determine whether, similarly to other RIP-processed proteins, activation of cell-surface CD74 in B cells leads to induction of a signaling cascade resulting in transcription of genes, we stimulated B cells with anti-CD74 antibody. The results presented here show that activation of cell-surface CD74 induces a signaling pathway that involves Syk tyrosine kinase and the PI3K/Akt pathway, resulting in CD74 intramembrane cleavage, CD74-ICD release, B-cell proliferation, and induction of a survival pathway.
Materials and methods
Animals
Spleen cells were obtained from C57BL/6 or CD74–/–14 mice. All animal procedures were approved by the Animal Research Committee at the Weizmann Institute.
Malignant B cells
Malignant B cells were obtained from patients with chronic lymphocytic leukemia (CLL), from the hematology institute at Kaplan Medical Center, in accordance with the IRB of the hospital.
Cells and separation of B cells
Spleen cells were obtained from the various mice at 6 to 8 weeks of age, as previously described.15 CD74–/– B cells were purified using magnetic cell sorting (MACS) CD19 beads (Miltenyi Biotec, Bergisch Gladbach, Germany). Control mature B cells were purified based on their expression of the IgD marker. Spleen cells were incubated with FITC-labeled anti-IgD antibody (BD Pharmingen, San Diego, CA) for 30 minutes at 4°C. Cells were then incubated with anti-FITC magnetic beads and separated using the MACS system (Miltenyi Biotec). The purity of each cell population was determined by flow cytometry.
B-CLL (chronic lymphocytic leukemia) cells were purified from the peripheral blood of patients with CLL as previously described using RosetteSep antibody cocktail (StemCell Technologies, Grenoble, France).16 The diagnosis of CLL was based on the standard criteria,17 and staging was done according to the Rai staging system. Informed consent was provided according to the Declaration of Helsinki.
Constructs
The full-length murine CD74 (p31 isoform; FL) and the truncated 1-82 CD74 constructs in the pBabe vector used in this study were described previously.5
Cell transfection
HEK 293 cells (a human embryonic kidney cell line) were seeded in a 10-cm2 dish. Transfections were performed using the standard CaPO4 method, as described previously.6 A total of 5 μg FL CD74 or 1 μg 1-82 Myc DNA was used per 10-cm2 dish.
CD74 stimulation
First, 1 × 107 primary B cells were suspended in 1 mL RPMI medium containing 10% (vol/vol) FCS. Next, 5 μg antibody specific for the extracellular domain of both murine and human CD74 (C-16; Santa Cruz Technologies, Santa Cruz, CA), CD8, ID2, or RGS1 (Santa Cruz) was added to each tube, and the tubes were immediately placed at 37°C for various time periods. Immediately following incubation, the cells were washed and fast frozen in liquid N2.
MIF stimulation
For MIF stimulation, 1 × 107 primary B cells were incubated in RPMI medium containing 0.1% (vol/vol) FCS at 37°C for 3 hours. Next, cells were resuspended in medium containing 100 ng/mL MIF (recombinant MIF was a kind gift from Dr R. Bucala, Yale School of Medicine) and incubated at 37°C for 10 hours.
Inhibitors
Mature B cells were incubated in the presence of chloroquine (100 μM; Sigma, St. Louis, MO); the Syk inhibitor, piceatannol (10 μM; Sigma); or the PI3K inhibitors, wortmannin (100 nM; CalBiochem, San Diego, CA), LY 294002 (25 μM; CalBiochem), or 1 μL DMSO during stimulation.
Preparation of cell extracts
Stimulated cells were lysed in buffer containing 25 mM Tris, pH 7.4; 2 mM vanadate; 75 mM β-glycophosphate, pH 7.2; 2 mM EDTA; 2 mM EGTA; 10 mM NaPPi; and 0.5% NP-40 in the presence of the following protease inhibitors: 10 μg/mL leupeptin, 10 μg/mL aprotinin, 10 μg/mL pepstatin, 10 μg/mL chymostatin (Roche, Basel, Switzerland), 1 mM PMSF (Sigma), and 20 mM N-etheyl-melamide (Sigma).
Cell lysis by hot SDS
Cell pellets were resuspended in preboiled 0.5% SDS, 50 mM triethanolamine pH 7.4, 0.1 mM NaCl, and 2 mM EDTA, boiled at 99°C for 2 minutes, frozen in liquid nitrogen, boiled again for 2 minutes, and sonicated. The lysates obtained were supplemented with 2% Triton X-100, 5 mM iodoacetamide, and SDS loading buffer, and boiled prior to loading on sodium dodecyl sulfate–polyacrylamide gel electrophoresis (SDS-PAGE) and tricine gels.
Immunoprecipitation and Western blot analysis
To detect changes in protein phosphorylation, lysates or immunoprecipitates were separated by 12% (wt/vol) SDS-PAGE. The proteins were transferred onto a nitrocellulose membrane and probed with anti–p-tyr (pTyr99; Santa Cruz) followed by horseradish peroxidase–conjugated antimouse antibody (Jackson Laboratories, West Grove, PA). The membrane was then stripped and reprobed with antitubulin antibody (Sigma) followed by peroxidase-conjugated antimouse antibody (Jackson Laboratories).
To detect changes in Akt phosphorylation, the membrane was probed with anti–p-Akt antibody (Cell Signaling Technology, Danvers, MA) followed by peroxidase-conjugated antirabbit antibody (Jackson Laboratories). The membrane was then stripped and reprobed with anti-Akt antibody (Santa Cruz) followed by peroxidase-conjugated antigoat antibody (Jackson Laboratories).
For immunoprecipitation, protein-G Sepharose beads (Pharmacia, Uppsala, Sweden) were conjugated to mAb p-Tyr at a 1:20 ratio for 2 hours at 4°C, followed by 3 washes in PBS. Beads were added to the cell lysates, and p-Tyr proteins were immunoprecipitated overnight. The protein-G–bound material was washed 3 times with PBS containing 0.1% SDS and 0.5% NP40. Immunoprecipitates were separated by 10% (wt/vol) SDS-PAGE. The protein bands were transferred onto a nitrocellulose membrane and probed with anti-Syk (4D11; BD Pharmingen) followed by horseradish peroxidase–conjugated anti–rabbit IgG (Jackson Laboratories).
RNA isolation and reverse transcription
Total RNA was isolated from cells using the Tri Reagent kit (Molecular Research Center, Cincinnati, OH). Reverse transcription was carried out by using Superscript II RT (Gibco-BRL, Paisley, United Kingdom). Primers that were used included: Cyclin E, 5′-GAAAATCAGACCACCCAGAGCC and 3′-GAAATGATACAAAGCAGAAGCAGCG; BCL-XL,5′-CAGGGCGATGTTGTCC and 3′-CTGGCATCTTCTCCTTCC; HPRT, 5′-GAGGGTAGGCTGGCCTATGGCT and 3′-GTTGGATACAGGCCAGACTTTGTTG; actin, 5′-TGAAGTGTGACGTGGACATCCG and 3′-GCTGTCACCTTCACCGTTCCAG.
Immunofluorescence and flow cytometry
Staining of splenocytes was performed as previously described.18 The following antibodies were used: RA3-6B2 anti-CD45R/B220, AMS 9.1 anti-IgD, R6-60.2 anti-IgM (BD Pharmingen) all directly conjugated; biotinylated anti-CD74 (Santa Cruz) was detected using streptavidin-PE-Cy5 (BD Pharmingen).
Proliferation of B cells
Purified B cells were cultured in 96-well plates at 2 × 105 cells/well in RPMI medium supplemented with 10% FCS, 2 mM glutamate, 100 U/mL penicillin, 100 μg/mL streptomycin, in the presence of 5 μg/mL anti-CD74 (Santa Cruz) or anti-CD8 (Santa Cruz). DNA synthesis was assayed by pulsing the cultures with 1 μCi (0.037 MBq) [3H] thymidine for the last 18 hours of culture, after which the cells were harvested and counted.
5-bromo-2-deoxyuridine labeling of cells
Purified splenocytes were cultured in 6-well plates at 1 × 107 cells/well in RPMI medium supplemented with 10% FCS, 2 mM glutamate, 100 U/mL penicillin, 100 μg/mL streptomycin, and 10 μM 5-bromo-2-deoxyuridine (BrdU; Sigma) in the presence of 5 μg/mL anti-CD74 (Santa Cruz) or anti-CD8 (Santa Cruz). To determine the percentage of BrdU+ (proliferating) cells, cells were washed twice with PBS, fixed for 30 minutes with 70% cold ethanol, resuspended in 0.5 mL 2N HCl/Triton X-100, and incubated for 20 minutes at room temperature. Cells were collected by centrifugation, washed, stained with FITC-labeled anti-BrdU (BD Biosciences, Mountain View, CA) and anti-IgD (BD Pharmingen), and analyzed by fluorescenceactivated cell sorting (FACS).
Propidium iodide staining
Purified B cells were cultured in 6-well plates at 1 × 107 cells/well in RPMI medium supplemented with 10% FCS, 2 mM glutamate, 100 U/mL penicillin, 100 μg/mL streptomycin, with or without 5 μg/mL anti-CD74 (Santa Cruz) or anti-CD8 (Santa Cruz) for 24 hours. Cells were collected by centrifugation, washed, fixed in 70% cold ethanol, and incubated in the presence of RNAse (25 μg/mL). Propidium iodide (PI; 25 μg/mL; Sigma) and anti–IgD-FITC were added for 20 minutes at room temperature. PI staining was analyzed by FACS.
Luciferase assay for monitoring NF-κB activation
Subconfluent 293 cells were transfected in a 24-well plate using a total of 1 μg plasmid; empty or CD74 expression vectors (25 ng) were added together with 20 ng Gal4 luciferase reporter, 0.5 ng DBD fusion plasmids, and 1 ng RSV-Renilla luciferase. The total amount of DNA was kept constant by adding pBabe vector. Cells were incubated for 5 hours and then stimulated with anti-CD74, anti-CD8, or anit-RGS1 for 12 hours and harvested, and luciferase and Renilla luciferase activities were measured.
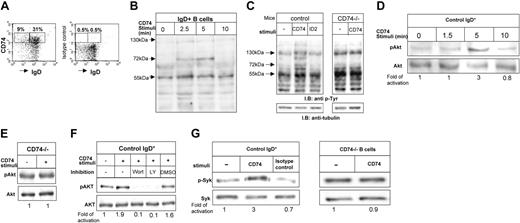
Cell-surface CD74 initiates a signaling cascade. (A) Splenocytes from control mice were triple stained with anti-B220, anti-IgD, and anti-CD74 or isotype-matched antibodies. Dot plots show cell-surface CD74 expression on mature cells (IgD+ and B220+) and immature cells (IgD– and B220+). (B-C) IgD+ B cells from control mice were stimulated for various time periods with anti-CD74 antibody (B). Control IgD+ B cells or B cells from CD74–/– mice were incubated in the presence or absence of anti-CD74 antibody or irrelevant anti-ID2 antibody for 5 minutes (C). Immediately after stimulation, cells were washed and fast frozen in liquid N2. Next, the cells were lysed as described in “Materials and methods,” and the lysates were separated on 10% (wt/vol) SDS-PAGE and blotted with anti–p-Tyr antibody followed by HRP-conjugated antimouse antibodies. The membrane was then stripped and blotted with antitubulin (C). The arrows indicate bands of 130, 72, and 55 kDa. (D-F) IgD+ B cells from control mice were stimulated for various time points with anti-CD74 antibody (D). CD74–/– B cells were incubated in the presence or absence of anti-CD74 antibody (E). Control IgD+ B cells were incubated in the presence or absence of anti-CD74 antibody for 5 minutes in the presence or absence of the PI3K inhibitors, wortmannin (wort) or LY 294002 (LY) (F). Immediately after stimulation, cells were washed and fast frozen in liquid N2. Next, the cells were lysed as described in “Materials and methods,” and the lysates were separated on 10% (wt/vol) SDS-PAGE and blotted with anti–p-Akt or anti-Akt antibodies. (G) Control IgD+ B cells or B cells from CD74–/– mice were incubated in the presence or absence of anti-CD74 antibody or anti-CD8 antibody (isotype control) for 5 minutes. Immediately after stimulation, cells were washed and fast frozen in liquid N2. Next, the cells were lysed and a fraction was saved for total Syk analysis. Phosphorylated proteins from the rest of the lysate were immunoprecipitated with anti–p-Tyr antibodies. Immunoprecipitates and total lysate were separated on 10% (wt/vol) SDS-PAGE and blotted with anti-Syk antibodies as described in “Materials and methods.” The intensity of the phosphorylated band following each treatment was divided by the intensity of the nonphosphorylated band in each lane. The activation-fold ratio in the absence of any treatment was normalized to 1, and the ratio for each treatment was calculated as the intensity of the treatment sample relative to 1. The results presented are representative of at least 5 different experiments.
Cell-surface CD74 initiates a signaling cascade. (A) Splenocytes from control mice were triple stained with anti-B220, anti-IgD, and anti-CD74 or isotype-matched antibodies. Dot plots show cell-surface CD74 expression on mature cells (IgD+ and B220+) and immature cells (IgD– and B220+). (B-C) IgD+ B cells from control mice were stimulated for various time periods with anti-CD74 antibody (B). Control IgD+ B cells or B cells from CD74–/– mice were incubated in the presence or absence of anti-CD74 antibody or irrelevant anti-ID2 antibody for 5 minutes (C). Immediately after stimulation, cells were washed and fast frozen in liquid N2. Next, the cells were lysed as described in “Materials and methods,” and the lysates were separated on 10% (wt/vol) SDS-PAGE and blotted with anti–p-Tyr antibody followed by HRP-conjugated antimouse antibodies. The membrane was then stripped and blotted with antitubulin (C). The arrows indicate bands of 130, 72, and 55 kDa. (D-F) IgD+ B cells from control mice were stimulated for various time points with anti-CD74 antibody (D). CD74–/– B cells were incubated in the presence or absence of anti-CD74 antibody (E). Control IgD+ B cells were incubated in the presence or absence of anti-CD74 antibody for 5 minutes in the presence or absence of the PI3K inhibitors, wortmannin (wort) or LY 294002 (LY) (F). Immediately after stimulation, cells were washed and fast frozen in liquid N2. Next, the cells were lysed as described in “Materials and methods,” and the lysates were separated on 10% (wt/vol) SDS-PAGE and blotted with anti–p-Akt or anti-Akt antibodies. (G) Control IgD+ B cells or B cells from CD74–/– mice were incubated in the presence or absence of anti-CD74 antibody or anti-CD8 antibody (isotype control) for 5 minutes. Immediately after stimulation, cells were washed and fast frozen in liquid N2. Next, the cells were lysed and a fraction was saved for total Syk analysis. Phosphorylated proteins from the rest of the lysate were immunoprecipitated with anti–p-Tyr antibodies. Immunoprecipitates and total lysate were separated on 10% (wt/vol) SDS-PAGE and blotted with anti-Syk antibodies as described in “Materials and methods.” The intensity of the phosphorylated band following each treatment was divided by the intensity of the nonphosphorylated band in each lane. The activation-fold ratio in the absence of any treatment was normalized to 1, and the ratio for each treatment was calculated as the intensity of the treatment sample relative to 1. The results presented are representative of at least 5 different experiments.
Results
Cell-surface CD74 as a signaling molecule
Most of the RIP-processed proteins are cell-surface receptors that, on ligand recognition, initiate a cascade, resulting in intramembrane cleavage and downstream signaling events. Although most of the αβCD74 complexes are diverted from the secretory pathway to the endocytic system, surface expression of newly synthesized CD74 complexes (about 2%-5% of cellular CD74) followed by rapid internalization to the endosomal pathway has also been documented. The role of cell-surface CD74 and the identity of its natural ligand in B cells are still unknown.
To determine whether cell-surface CD74 plays a role in initiating signaling events resulting in the release of CD74-ICD and NF-κB activation, we first analyzed CD74 expression on immature and mature B cells from C57BL/6 mice by FACS analysis, using an anti-CD74 antibody that recognizes and binds the CD74 extracellular domain. As shown in Figure 1A, high levels of CD74 were expressed on the cell surface of B cells.
To determine whether cell-surface CD74 transmits a signal that results in activation of downstream signaling cascades, we used the anti-CD74 antibody (that recognizes the CD74 extracellular domain). Mature IgD+ splenocytes derived from control mice, which express cell-surface CD74, were incubated in the presence or absence of anti-CD74 for various periods. The cells were then lysed, and phosphorylated proteins were analyzed by Western blot analysis using anti–p-tyr antibody. As shown in Figure 1B, stimulation of IgD+ cells resulted in phosphorylation of several specific bands, peaking at 5 minutes following activation. To follow the specificity of this induction, control and CD74–/– B cells were stimulated with or without anti-CD74 or anti-ID2 (isotype match) antibodies. Stimulation with control antibody or stimulation of CD74–/– B cells did not induce these phosphorylated bands, whereas activation of CD74-expressing cells resulted in activation of these specific proteins (Figure 1C). Thus, cellsurface CD74 initiates a specific signal cascade resulting in phosphorylation of specific intracellular proteins.
Our previous studies in 293 cells and B cells demonstrated that CD74 initiates a signaling cascade that is transmitted to the nucleus and involves activation of protein kinases leading to modulation of either the p65/RelA activation domain or that of its coactivators.5 Phosphatidylinositol 3′-kinase (PI3K) and the serine/threonine kinase, Akt, have critical roles in phosphorylation and activation of the p65 subunit of NF-κB induced by the proinflammatory cytokines, IL-1 and TNF.19-21 In addition, IKKα is required solely for the cytokine-induced phosphorylation and activation of the p65 subunit of NF-κB that are mediated by the PI3K/Akt pathway.22 We therefore determined whether the PI3K/Akt pathway is activated following CD74 stimulation. IgD+ B cells were incubated for different time periods with anti-CD74 antibodies. Next, cells were lysed, and phosphorylated proteins were analyzed by Western blot analysis using anti–p-Akt antibody. The membrane was then stripped and reprobed with anti-Akt antibody to determine the total level of this protein. Increased Akt phosphorylation was detected in the mature B population, peaking at 5 minutes following CD74 stimulation (Figure 1D). This Akt activation was CD74 specific, because anti-CD74 could not induce Akt phosphorylation in CD74–/– B cells 5 minutes following stimulation (Figure 1E). To further establish the involvement of Akt in CD74 activation, control or CD74–/– B cells were stimulated with anti-CD74 antibody in the presence or absence of the PI3K inhibitors, wortmannin (100 nM) or LY 294002 (2.5 nM). As shown in Figure 1F, both wortmannin and LY 294002 inhibited CD74-induced Akt phosphorylation.
CD74 stimulation induces its intramembrane cleavage. (A) IgD+ B cells from control mice were stimulated for 30 minutes with or without anti-CD74 or anti-CD8 antibodies. Cells were then lysed by hot-SDS, and lysates were separated on Tricine gel and analyzed with the IN1 rat monoclonal antibody, which recognizes the CD74 cytosolic domain, followed by anti–rat HRP antibodies. (B-E) B cells stimulated with or without anti-CD74 antibody in the presence or absence of the Syk inhibitor, piceatannol (Pic; 10 μM) (B-C) or (D-E) in the presence or absence of the PI3K inhibitor, LY 294002 (LY; 2.5 nM). Cells were then lysed by hot-SDS and lysates were separated on Tricine gel and analyzed with IN1 rat monoclonal antibody followed by anti–rat HRP antibodies. The CD74 isoforms p31 and p41 and the released CD74 fragment (CD74-ICD) are indicated. The intensity of the CD74-ICD band following each treatment was divided by the intensity of the p31 band in each lane. The CD74/ICD ratio in the absence of any treatment was normalized to 1, and the ratio for each treatment was calculated as the intensity of the treatment sample relative to 1.The results presented are representative of at least 3 different experiments.
CD74 stimulation induces its intramembrane cleavage. (A) IgD+ B cells from control mice were stimulated for 30 minutes with or without anti-CD74 or anti-CD8 antibodies. Cells were then lysed by hot-SDS, and lysates were separated on Tricine gel and analyzed with the IN1 rat monoclonal antibody, which recognizes the CD74 cytosolic domain, followed by anti–rat HRP antibodies. (B-E) B cells stimulated with or without anti-CD74 antibody in the presence or absence of the Syk inhibitor, piceatannol (Pic; 10 μM) (B-C) or (D-E) in the presence or absence of the PI3K inhibitor, LY 294002 (LY; 2.5 nM). Cells were then lysed by hot-SDS and lysates were separated on Tricine gel and analyzed with IN1 rat monoclonal antibody followed by anti–rat HRP antibodies. The CD74 isoforms p31 and p41 and the released CD74 fragment (CD74-ICD) are indicated. The intensity of the CD74-ICD band following each treatment was divided by the intensity of the p31 band in each lane. The CD74/ICD ratio in the absence of any treatment was normalized to 1, and the ratio for each treatment was calculated as the intensity of the treatment sample relative to 1.The results presented are representative of at least 3 different experiments.
Syk belongs to the Syk/ZAP-70 family of PTK and is expressed in a wide range of hematopoietic and nonhematopoietic cells. It was previously shown that Syk is required for the activation of Akt in a PI3K-dependent manner.23 We therefore examined the involvement of Syk in the CD74-signaling cascade. IgD+ B splenocytes derived from C57BL/6 control or CD74–/– mice were stimulated with anti-CD74 antibody for 5 minutes. Next, cells were lysed, and the p-Tyr proteins were immunoprecipitated with anti–p-Tyr. The immunoprecipitates were then separated on 10% SDS-PAGE and blotted with anti-Syk. As can be seen in Figure 1G, CD74 stimulation elevated Syk phosphorylation. This activation was specific and did not occur in CD74–/– cells. Thus, CD74 stimulation results in activation of a signaling cascade that includes Syk, PI3K, and Akt.
Anti-CD74 signal induces CD74 intramembrane cleavage
To reveal whether activation of cell-surface CD74 induces its intramembrane cleavage similarly to other cell-surface RIP proteins, control IgD+ splenocytes were incubated in the presence or absence of anti-CD74 or a nonrelevant (anti-ID2) antibody (Figure 2A). The cells were then lysed by hot-SDS, and the release of CD74 cytosolic fragment (CD74-ICD) was analyzed by tricine gel. As seen in Figure 2A, CD74 stimulation resulted in the specific augmentation of CD74-ICD release.
To determine whether the CD74 downstream signaling cascade regulates CD74-ICD liberation, anti-CD74–stimulated cells were incubated in the presence or absence of piceatannol (10 μM), an inhibitor of Syk tyrosine kinase (Figure 2B-C), or wortmannin (100 nM) and LY 294002 (2.5 nM), which are inhibitors of the PI3K/Akt pathway (Figure 2D-E). Cells were lysed by hot-SDS, and CD74-ICD release was analyzed by Tricine gel. As shown in Figure 2B-E, CD74-ICD release that was augmented after anti-CD74 stimulation was dramatically inhibited in the presence of the Syk inhibitor, piceatannol24 (Figure 2B-C) and the PI3K inhibitor, LY 294002 (Figure 2D-E). These results demonstrate that CD74 stimulation induces a signaling cascade that involves Syk tyrosine kinase, PI3K, and Akt and results in CD74 intramembrane cleavage. Inhibition of these components dramatically down-regulated CD74-ICD release.
To further confirm that signaling through cell-surface CD74 induces a downstream cascade and thereby induces CD74-ICD release, CD74 processing in the endocytic compartments was inhibited. The acidotropic agent, chloroquine, which blocks endosomal acidification,25 was shown to specifically inhibit the activities of the endocytic compartments, including the processing of CD74 and CD74-ICD release.26 CD74-ICD release was inhibited when purified IgD+ B cells were incubated with chloroquine (100 μM) for 1 hour (Figure 3A). Chloroquine-treated cells were then stimulated for 5 minutes with anti-CD74, and Syk and Akt phosphorylations were followed. As can be seen in Figure 3B-C, elevated phosphorylation of both Syk and Akt was still detected in chloroquine-treated cells, showing that the cascade initiated by cell-surface CD74 is upstream to CD74 processing and its intramembrane cleavage.
CD74 downstream cascade induces NF-κB activation
Previously, we showed that following intramembranal cleavage, the CD74 cytosolic fragment (CD74-ICD) is released and induces activation of transcription mediated by the NF-κB p65/RelA homodimer and the B-cell–enriched coactivator, TAFII105. To determine whether cell-surface CD74 transmits a signal that results in activation of NF-κB activation domain in the nucleus,5 a fusion construct containing the C-terminal transactivation domain of p65/RelA and the DNA-binding domain of the yeast transcription factor, Gal4, was cotransfected into 293 cells along with a luciferase reporter containing the Gal4-binding sites, along with CD745 and the RSV promoter, which was used as a reference. CD74 expression in these cells was analyzed by FACS analysis (Figure 4A). As can be seen in Figure 4B, NF-κB activation was induced following CD74 stimulation. Activation was not induced by control antibodies (anti-CD8 or anti-RGS) (Figure 4B) and did not appear in cells transfected with truncated CD74 lacking the lumenal domain (1-82 amino acids) (Figure 4C). To determine whether activation of a signaling cascade following CD74 stimulation is essential for NF-κB activation, a luciferase assay was performed in CD74-stimulated cells in the presence or absence of the Syk inhibitor, piceatannol, and the PI3K inhibitors, wortmannin and LY 294002. As shown in Figure 4D, although CD74 stimulation resulted in an increase in NF-κB activation, this activation was dramatically inhibited in the presence of both the PI3K and Syk inhibitors. Thus, stimulation of cell-surface CD74 in 293-transfected cells induces a signaling cascade that results in CD74-ICD release and NF-κB activation.
The CD74 signaling cascade induces the intramembrane cleavage. (A) Purified IgD+ B cells were preincubated with or without chloroquine (100 μM) for 1 hour. Cells were then lysed by hot-SDS, and lysates were separated on Tricine gel and analyzed with the IN1 rat monoclonal antibody, which recognizes the CD74 cytosolic domain, followed by anti–rat HRP antibodies. Positions of the CD74 isoforms, p31 and p41, and of the released CD74 fragment (CD74-ICD) are indicated. (B-C) IgD+ B cells from control mice and CD74–/– B cells were pretreated with or without chloroquine. Cells were then incubated with or without anti-CD74 antibody for 5 minutes. Immediately after stimulation, cells were washed and fast frozen in liquid N2. (B) Next, the cells were lysed and a fraction was saved for total Syk analysis. Phosphorylated proteins from the rest of the lysate were immunoprecipitated with anti–p-Tyr antibodies. Immunoprecipitates and total lysate were separated on 10% (wt/vol) SDS-PAGE and blotted with anti-Syk antibodies. (C) Next, the cells were lysed, and lysates were separated on 10% (wt/vol) SDS-PAGE and blotted with anti–p-Akt or anti-Akt antibodies. The intensity of the phosphorylated band following each treatment was divided by the intensity of the nonphosphorylated band in each lane. The activation-fold ratio in the absence of any treatment was normalized to 1, and the ratio for each treatment was calculated as the intensity of the treatment sample relative to 1. The results presented are representative of at least 3 different experiments.
The CD74 signaling cascade induces the intramembrane cleavage. (A) Purified IgD+ B cells were preincubated with or without chloroquine (100 μM) for 1 hour. Cells were then lysed by hot-SDS, and lysates were separated on Tricine gel and analyzed with the IN1 rat monoclonal antibody, which recognizes the CD74 cytosolic domain, followed by anti–rat HRP antibodies. Positions of the CD74 isoforms, p31 and p41, and of the released CD74 fragment (CD74-ICD) are indicated. (B-C) IgD+ B cells from control mice and CD74–/– B cells were pretreated with or without chloroquine. Cells were then incubated with or without anti-CD74 antibody for 5 minutes. Immediately after stimulation, cells were washed and fast frozen in liquid N2. (B) Next, the cells were lysed and a fraction was saved for total Syk analysis. Phosphorylated proteins from the rest of the lysate were immunoprecipitated with anti–p-Tyr antibodies. Immunoprecipitates and total lysate were separated on 10% (wt/vol) SDS-PAGE and blotted with anti-Syk antibodies. (C) Next, the cells were lysed, and lysates were separated on 10% (wt/vol) SDS-PAGE and blotted with anti–p-Akt or anti-Akt antibodies. The intensity of the phosphorylated band following each treatment was divided by the intensity of the nonphosphorylated band in each lane. The activation-fold ratio in the absence of any treatment was normalized to 1, and the ratio for each treatment was calculated as the intensity of the treatment sample relative to 1. The results presented are representative of at least 3 different experiments.
CD74 downstream cascade causes B-cell proliferation and induces B-cell survival
In most cases examined, Akt activation promotes various cell responses that are associated with cell division, including increased cell size, suppression of apoptosis, inactivation of cell-cycle inhibitors, and induction of cyclin and cytokine gene expression.27 At the molecular level, expression of activated Akt in T cells correlates with augmented NF-κB function, including the upregulation of Bcl-X L.28,29 To determine whether CD74 stimulation triggers B-cell proliferation and survival, we followed BrdU incorporation in CD74-stimulated control and CD74–/– B cells. Incorporation of BrdU allows identification of cells actively synthesizing DNA and thus permits an accurate assessment of cell proliferation. Cells were stimulated with anti-CD74 or a control antibody (anti-CD8) in the presence of BrdU in the growth medium for 24 hours, and BrdU incorporation was analyzed by FACS analysis. A substantial increase in BrdU incorporation was detected in cells stimulated with anti-CD74, whereas there was almost no incorporation following CD8 stimulation or in CD74–/– B cells (Figure 5A). To further evaluate the effect of CD74 stimulation in IgD+ B-cell proliferation, [3H] thymidine incorporation was followed in stimulated and unstimulated cells. Specific elevation in [3H] thymidine incorporation was observed following 24 (Figure 5B) or 48 (Figure 5C) hours of CD74 stimulation, further demonstrating that CD74 stimulation results in IgD+ B-cell proliferation. To evaluate cell-cycle entry and DNA synthesis following CD74 stimulation, PI staining was performed. As shown in Figure 5D, following CD74 stimulation, the proportion of cells in the S phase was elevated.
CD74 downstream cascade induces NF-κB activation. (A) 293 cells were transfected with FL CD74 or an empty plasmid, and their CD74 expression was determined by FACS analysis. (B-D) NF-κB activation was analyzed by luciferase assay, as described in “Materials and methods.” 293 cells transfected with FL CD74 (B,D) or the truncated 1-82 (C) constructs were stimulated with anti-CD74 or nonspecific antibodies (anti-CD8 or anti-RGS) in the presence (D) or absence (B-D) of the PI3K inhibitors wortmannin (wo) or LY 294002 (Ly) or the Syk inhibitor, piceatannol (pic) for 12 hours. Following the stimulation, the cells were lysed, and NF-κB activation was determined. The results shown represent the average of at least 5 independent experiments with similar results. Error bars represent the standard deviation of the results in the 5 experiments included.
CD74 downstream cascade induces NF-κB activation. (A) 293 cells were transfected with FL CD74 or an empty plasmid, and their CD74 expression was determined by FACS analysis. (B-D) NF-κB activation was analyzed by luciferase assay, as described in “Materials and methods.” 293 cells transfected with FL CD74 (B,D) or the truncated 1-82 (C) constructs were stimulated with anti-CD74 or nonspecific antibodies (anti-CD8 or anti-RGS) in the presence (D) or absence (B-D) of the PI3K inhibitors wortmannin (wo) or LY 294002 (Ly) or the Syk inhibitor, piceatannol (pic) for 12 hours. Following the stimulation, the cells were lysed, and NF-κB activation was determined. The results shown represent the average of at least 5 independent experiments with similar results. Error bars represent the standard deviation of the results in the 5 experiments included.
Cell-cycle progression is regulated by cyclin-dependent kinases (Cdks). Cdks are constitutively expressed during the cell cycle and are activated on specific cyclin binding. Different cyclins are differentially expressed during various stages of the cell cycle. This transient expression activates Cdks and regulates cell-cycle progression. To further determine whether CD74 regulates cell entry to the S phase, we followed cyclin E, which is expressed on S-phase initiation. As demonstrated in Figure 6A and B, cyclin E transcription and expression was up-regulated following CD74 stimulation. This stimulation is specific and did not occur in the presence of a control antibody. Altogether, these results demonstrate that, following anti-CD74 stimulation, B cells synthesize DNA, enter S phase, and divide.
To determine whether CD74 stimulation results in an elevation of B-cell survival factors, BCL-XL gene expression was followed. As shown in Figure 7A, BCL-XL transcription was augmented following CD74 stimulation in mature B splenocytes. In addition, anti-CD74 stimulation in CD74-transfected 293 cells induced BCL-XL expression (Figure 7B), showing that the survival pathway activated by CD74 is not unique to mature B cells. To show that CD74 intramembrane cleavage is required for induction of this survival pathway, 293 cells were transfected with truncated CD74 (1-82 aa) and a mutated truncated CD74 that cannot release its cytosolic domain (1-82* 42-44). As shown in Figure 7C, truncated CD74 that efficiently release its cytosolic fragment26 induced the transcription of BCL-XL and cyclin E. Stimulation with anti-CD74 did not affect these elevations because this construct lacks its cell-surface domain, showing again the specificity of anti-CD74 activation. Moreover, when the CD74-ICD cannot be released (in the mutated construct), this elevation was abolished, indicating that CD74 intramembrane cleavage is essential for elevation of this survival pathway. Together, these results show that CD74 activation results in a signaling cascade that induces CD74 intramembrane cleavage, resulting in cell division and apoptosis suppression.
CD74 downstream signaling cascade leads to B-cell proliferation and entry to S phase. (A-C) IgD+ B cells from control and B cells from CD74–/– mice were stimulated with anti-CD74 or irrelevant anti-CD8 antibodies for 24 hours. (A) BrdU incorporation was followed as described in “Materials and methods.” The results presented are representative of 5 independent experiments. (B-C) [3H] thymidine incorporation was followed as described in “Materials and methods.” The results shown for 24 hours (B) or 48 hours (C) represent the average of at least 4 independent experiments with similar results. The assay was performed in triplicate, and the results presented show the average of each treatment. Error bars represent the standard deviation of the results in the triplicates of each treatment. (D) PI staining was performed as described in “Materials and methods.” The results presented are representative of 3 different experiments.
CD74 downstream signaling cascade leads to B-cell proliferation and entry to S phase. (A-C) IgD+ B cells from control and B cells from CD74–/– mice were stimulated with anti-CD74 or irrelevant anti-CD8 antibodies for 24 hours. (A) BrdU incorporation was followed as described in “Materials and methods.” The results presented are representative of 5 independent experiments. (B-C) [3H] thymidine incorporation was followed as described in “Materials and methods.” The results shown for 24 hours (B) or 48 hours (C) represent the average of at least 4 independent experiments with similar results. The assay was performed in triplicate, and the results presented show the average of each treatment. Error bars represent the standard deviation of the results in the triplicates of each treatment. (D) PI staining was performed as described in “Materials and methods.” The results presented are representative of 3 different experiments.
It was shown that macrophage migrating inhibitory factor (MIF) binds to the extracellular domain of CD74, a process that results in initiation of a signaling pathway.2 We therefore wished to determine whether the natural CD74 ligand, MIF, induces a signaling cascade in B cells that results in the elevation of BCL-XL transcription, in a manner similar to anti-CD74. To this end, B cells from control or CD74–/– mice were stimulated in the presence or absence of MIF for 10 hours. As shown in Figure 7D, incubation with MIF resulted in augmentation of BCL-XL transcription. Thus, the natural ligand of CD74, MIF, induces a signaling cascade that activates a survival pathway.
CD74 downstream signaling cascade induces cyclin E expression. (A-B) Cyclin E expression. IgD+ B cells from control mice were stimulated with anti-CD74 antibody or nonspecific anti-CD8 antibody for various time periods. (A) Total RNA was isolated, and reverse transcription was carried out using Superscript II RT. (B) Cells were lysed, and lysates were separated on SDS-PAGE and blotted with anti–cyclin E or antitubulin antibodies.
CD74 downstream signaling cascade induces cyclin E expression. (A-B) Cyclin E expression. IgD+ B cells from control mice were stimulated with anti-CD74 antibody or nonspecific anti-CD8 antibody for various time periods. (A) Total RNA was isolated, and reverse transcription was carried out using Superscript II RT. (B) Cells were lysed, and lysates were separated on SDS-PAGE and blotted with anti–cyclin E or antitubulin antibodies.
In addition to its expression on antigen-presenting cells, CD74 is expressed by carcinomas of renal, lung, and thymic origins, by certain sarcomas,30 and on B-CLL cells.31 We therefore wished to assess whether CD74 stimulation induces a survival cascade in malignant cells. B-CLL cells from different stages were stimulated with anti-CD74 antibody, and BCL-XL transcription was analyzed. As shown in Figure 7E, stimulation of stage I and IV B-CLL cells specifically augmented BCL-XL transcription, suggesting a role for this molecule in the survival of malignant cells.
Finally, to determine whether CD74 stimulation may induce the survival of the mature B-cell population in an in vitro culture, splenic B cells from C57BL/6 mice were incubated in the presence or absence of anti-CD74 or control (anti-CD8) antibodies. After 24 hours, the various B-cell populations were analyzed. A specific elevation in the mature IgDhighIgMlow B-cell population was observed in the CD74-stimulated cells (Figure 8A). In addition, to determine that the increase in the percentage of the mature population results from the proliferation and survival of these mature cells, we analyzed the total cell number comprising the live, mature B population. As shown in Figure 8B, stimulation with anti-CD74 elevated the mature cell numbers. In addition, stimulation of cells in the presence of Syk or PI3K inhibitors abolished the accumulation of this specific mature B-cell population (Figure 8C; and graphic presentation of the number of mature B cells, Figure 8D).
Stimulation of CD74 by anti-CD74 or MIF in normal and malignant cells induces BCL-XL expression. (A-B) BCL-XL expression. IgD+ B cells from control mice or B cells from CD74–/– mice were stimulated with anti-CD74 antibody or nonspecific anti-CD8 antibody for 24 hours. Total RNA was isolated, and reverse transcription was carried out using Superscript II RT. The results presented are representative of 5 separate experiments (A). 293 cells transfected with the FL CD74 construct. Five hours following transfection the cells were stimulated or not with anti-CD74 or nonspecific antibodies (anti-CD8) for 12 hours (B). RT-PCR was performed as described in “Materials and methods.” (C) 293 cells transfected with the CD74 1-82 or 1-82 mutated in its 42 to 44 aa (1-82*42-44) constructs. Five hours following transfection the cells were stimulated or not with anti-CD74 for 12 hours. Reverse transcriptase–polymerase chain reaction (RT-PCR) was performed as described in “Materials and methods.” (D) B cells from control or CD74–/– mice were stimulated in the presence or absence of MIF for 10 hours as described in “Materials and methods.” Total RNA was isolated, and reverse transcription was carried out using Superscript II RT. The results presented are representative of 3 separate experiments. (E) Stage I and stage IV B-CLL B cells were stimulated in the presence or absence of anti-CD74 antibody or nonspecific anti-ID2 antibody for 18 hours. Total RNA was isolated, and reverse transcription was carried out using Superscript II RT. The results presented are representative of 6 separate experiments. The intensity of the BCL-XL band following each treatment was divided by the intensity of the HPRT band in each treatment. The activation-fold ratio in the absence of any treatment was normalized to 1, and the ratio for each treatment was calculated as the intensity of the treatment sample relative to 1.
Stimulation of CD74 by anti-CD74 or MIF in normal and malignant cells induces BCL-XL expression. (A-B) BCL-XL expression. IgD+ B cells from control mice or B cells from CD74–/– mice were stimulated with anti-CD74 antibody or nonspecific anti-CD8 antibody for 24 hours. Total RNA was isolated, and reverse transcription was carried out using Superscript II RT. The results presented are representative of 5 separate experiments (A). 293 cells transfected with the FL CD74 construct. Five hours following transfection the cells were stimulated or not with anti-CD74 or nonspecific antibodies (anti-CD8) for 12 hours (B). RT-PCR was performed as described in “Materials and methods.” (C) 293 cells transfected with the CD74 1-82 or 1-82 mutated in its 42 to 44 aa (1-82*42-44) constructs. Five hours following transfection the cells were stimulated or not with anti-CD74 for 12 hours. Reverse transcriptase–polymerase chain reaction (RT-PCR) was performed as described in “Materials and methods.” (D) B cells from control or CD74–/– mice were stimulated in the presence or absence of MIF for 10 hours as described in “Materials and methods.” Total RNA was isolated, and reverse transcription was carried out using Superscript II RT. The results presented are representative of 3 separate experiments. (E) Stage I and stage IV B-CLL B cells were stimulated in the presence or absence of anti-CD74 antibody or nonspecific anti-ID2 antibody for 18 hours. Total RNA was isolated, and reverse transcription was carried out using Superscript II RT. The results presented are representative of 6 separate experiments. The intensity of the BCL-XL band following each treatment was divided by the intensity of the HPRT band in each treatment. The activation-fold ratio in the absence of any treatment was normalized to 1, and the ratio for each treatment was calculated as the intensity of the treatment sample relative to 1.
Discussion
It has been known for many years that a portion of CD74 protein is expressed on the cell surface. However, the role of surfaceexpressed CD74 has not been fully elucidated. Here, we demonstrate that activation of cell-surface CD74 initiates a signaling cascade resulting in NF-κB activation and leading to proliferation and survival.
Recently, we demonstrated that following intramembranal cleavage, the CD74 cytosolic fragment (CD74-ICD) is released and induces activation of transcription mediated by the NF-κB p65/RelA homodimer and the B-cell enriched coactivator, TAFII105. We showed that CD74-ICD translocates to the nucleus and induces the activation of the p65 member of NF-κB in this compartment.26 Here, we show that CD74 cell-surface activation results in augmented CD74-ICD release. Our studies demonstrate that CD74-ICD–induced release depends on Syk and PI3K/Akt phosphorylation. We suggest that the CD74 activation can lead to a cascade involving Syk and Akt, which can directly activate NF-κB, in a manner similar to their role in T cells.28,29 Alternatively, this signaling pathway can enhance itself by elevating CD74 intramembrane cleavage, a process that occurs in the endocytic compartments, resulting in elevated levels of CD74-ICD, which translocates to the nucleus and activates NF-κB. The process that leads to the enhanced CD74-ICD release is not clear. It is possible that crosslinking of CD74 induces its internalization to the endocytic compartments. Arrival to these compartments results in CD74 processing, enabling its intramembrane cleavage.26
CD74 downstream signaling cascade elevates the proportion of mature B cells. (A-D) Splenocytes from control mice were stimulated with anti-CD74 antibody or anti-CD8 antibody in the absence (A-B) or presence (C-D) of the PI3K inhibitors wortmannin (Wo) or LY 294002 (LY), or the Syk inhibitor, piceatannol (Pico) for 24 hours. (A,C) Cells were triple stained with anti-B220, anti-IgD, and anti-IgM antibodies. Dot plots show the IgD and IgM populations on B220+ cells. (B,D) Graphic presentation of the total mature B-cell number from the experiment in panels A (shown in B) or C (shown in D). The results shown represent the average of at least 4 independent experiments with similar results. Error bars represent the standard deviation of the results in the 4 experiments included.
CD74 downstream signaling cascade elevates the proportion of mature B cells. (A-D) Splenocytes from control mice were stimulated with anti-CD74 antibody or anti-CD8 antibody in the absence (A-B) or presence (C-D) of the PI3K inhibitors wortmannin (Wo) or LY 294002 (LY), or the Syk inhibitor, piceatannol (Pico) for 24 hours. (A,C) Cells were triple stained with anti-B220, anti-IgD, and anti-IgM antibodies. Dot plots show the IgD and IgM populations on B220+ cells. (B,D) Graphic presentation of the total mature B-cell number from the experiment in panels A (shown in B) or C (shown in D). The results shown represent the average of at least 4 independent experiments with similar results. Error bars represent the standard deviation of the results in the 4 experiments included.
Following CD74 activation, we demonstrate here induction of Syk and PI3K/Akt phosphorylation. Syk belongs to the Syk/ZAP-70 family of PTK. Syk plays a crucial role in B-cell development, both during B-cell fate decisions and during antigen processing. Findings reveal that expression of Syk in nonhematopoietic cells may be involved in a wide variety of cellular functions and the pathogenesis of malignant tumors.23 Syk was previously shown to be required for the activation of Akt in a PI3K-dependent manner. Indeed, following CD74 stimulation, we detected activation of PI3K and Akt as well, suggesting activation of PI3K by Syk. The phosphoinositide 3-kinase (PI3K) family is a group of enzymes that generate lipid “second messengers,” mediating signal transduction. Akt, also known as protein kinase B (PKB), is a ubiquitously expressed serine/threonine kinase. Akt is a PI3K effector in many cell types, both normal and transformed.32,33 In most cases examined, Akt activation promotes various cell responses that are associated with cell division, including increased cell size, suppression of apoptosis, inactivation of cell-cycle inhibitors, and induction of cyclin and cytokine gene expression.27 At the molecular level, expression of activated Akt in T cells correlates with augmented NF-κB function, including the upregulation of Bcl-X L.28,29
The elevated phosphorylation of Akt and its subsequent activation of NF-κB suggest that CD74 stimulation initiates a survival pathway. To directly show that CD74 stimulation initiates a survival cascade, we followed NF-κB activation, mature B-cell proliferation, BrdU incorporation, entry to cell cycle, and activation of survival genes. Our results demonstrate augmented NF-κB function that results in entry into the S phase, elevation of DNA synthesis resulting in cell division, and augmented expression of BCL-XL, apparently leading to suppression of apoptosis following CD74 stimulation. Together, these results establish that CD74 activation (by antibody or its natural ligand, MIF) initiates a survival pathway. This pathway is not unique for B cells, because CD74 stimulation in transfected 293 cells initiates a signaling cascade that involves Syk and Akt phosphorylation and results in NF-κB activation and induction of BCL-XL transcription. Thus, CD74 functions as a survival receptor.
Many studies have demonstrated CD74 expression in various cancers, including bladder,34 gastric,35 renal,36 non-small-cell lung,37 thymic epithelial neoplasms,38 and certain types of sarcoma (specifically malignant fibrous histiocytoma).39 CD74 expression in many of these cancers has been suggested to serve as a prognostic factor, with higher relative expression of CD74 behaving as a marker of tumor progression. Our studies suggest that CD74 cell-surface expression in these tumorigenic cells might not only serve as a marker for tumor progression but may also have a role in the oncogenic process by inducing a cascade that results in a survival signal. Indeed, we show that CD74 stimulation of B-CLL B cells elevates BCL-XL expression.
Our studies demonstrate that direct activation of CD74 initiates a survival pathway, suggesting that CD74 is a survival receptor, enabling the survival of mature B cells following their differentiation. However, various studies have raised questions regarding the independent role of CD74. We have previously demonstrated that mice lacking CD74 or the MHC class II molecule I-Aβ exhibit an arrest in B-cell maturation.18 Moreover, mice lacking both CD74 and the MHC class II molecule I-Aβ show the same defect.40 Nevertheless, on the basis of a double mutant in which both CD74 and all MHC class II subunits are absent, it was recently suggested that defects in the assembly of MHC class II molecules result in the impaired B-cell development observed in the CD74 mutants, and CD74 itself has no independent role.41 However, the function of the B cells in these double-mutant mice was never analyzed. In addition, Benlagha et al42 claimed that the life span of mature B cells was fully corrected in CD74/I-Aβ double-deficient mice, indicating that free I-Aβ chains that are not complexed with CD74 alter follicular B-cell survival. In contrast, it was suggested that the accumulation of marginal zone B cells was controlled by a separate mechanism, independent of I-Aβ.42 We believe that different knock-out strains might result in different severities of B-cell defects. Our previous5,6 and current studies followed the role of CD74 in 293-transfected cells, which lack MHC class II expression, as well as in B cells. In both cell types, CD74 transmits a signal that results in NF-κB activation, suggesting a signaling role for CD74 independent of MHC class II. In addition, the picture that emerges from our data together with studies from other laboratories is that the CD74 molecule serves as a receptor in many types of cells and can initiate various cascades. CD74 was reported to be a high-affinity binding protein for the proinflammatory cytokine macrophage migration-inhibitory factor (MIF), providing further evidence for a role in signal transduction pathways.2 H pylori was recently shown to bind to CD74 on gastric epithelial cells and to stimulate interleukin-8 production.3 Moreover, a humanized anti-CD74 monoclonal antibody (hLL1) was shown to have therapeutic potential as a naked antibody for B-cell malignancies such as multiple myeloma that exhibit high CD74 expression, by exhibiting an antiproliferative activity.43
We therefore believe that following MIF binding by cell-surface CD74 expressed on B cells, a survival signal is transmitted, resulting in the rescue of the mature B population from death. Gaps remain in our understanding of the mechanism by which CD74 initiates signaling events in B cells, and probably in other cell types. It would seem highly likely that CD74 recruits second messengers to its intracellular domain, perhaps binding to phosphorylated serine; alternatively, CD74 may recruit an additional transmembrane signaling protein into its close proximity, to initiate its signaling cascade. These possibilities are the focus of our current studies. Despite our incomplete understanding of its mechanism, we believe that the unappreciated role of CD74 is now starting to be revealed.
Prepublished online as Blood First Edition Paper, February 16, 2006; DOI 10.1182/blood-2005-11-4334.
Supported by The Israel Science Foundation founded by the Academy of Sciences and Humanities, the Minerva Foundation, the Migration and Targeting Cell Migration in Chronic Inflammation (MAIN) EU grant, and by a research grant from Ruth and Allen Ziegler for stem-cell research.
D.S. designed the research, performed the research, analyzed the data, and wrote the paper; Y.G. and I.B. designed and performed part of the research; M.H. designed part of the research and provided the vital reagent; N.H., L.S., and A.B. provided the vital reagent; S.B.-H. designed part of the research; I.S. designed the research, analyzed the data, and wrote the paper.
The publication costs of this article were defrayed in part by page charge payment. Therefore, and solely to indicate this fact, this article is hereby marked “advertisement” in accordance with 18 U.S.C. section 1734.
We thank members of the Shachar laboratory for discussions and comments on this manuscript and the staff at the Hematology Institute at the Kaplan Medical Center for their help in obtaining patient blood samples.
I.S. is the incumbent of the Alvin and Gertrude Levine Career Development Chair of Cancer Research.




![Figure 5. CD74 downstream signaling cascade leads to B-cell proliferation and entry to S phase. (A-C) IgD+ B cells from control and B cells from CD74–/– mice were stimulated with anti-CD74 or irrelevant anti-CD8 antibodies for 24 hours. (A) BrdU incorporation was followed as described in “Materials and methods.” The results presented are representative of 5 independent experiments. (B-C) [3H] thymidine incorporation was followed as described in “Materials and methods.” The results shown for 24 hours (B) or 48 hours (C) represent the average of at least 4 independent experiments with similar results. The assay was performed in triplicate, and the results presented show the average of each treatment. Error bars represent the standard deviation of the results in the triplicates of each treatment. (D) PI staining was performed as described in “Materials and methods.” The results presented are representative of 3 different experiments.](https://ash.silverchair-cdn.com/ash/content_public/journal/blood/107/12/10.1182_blood-2005-11-4334/4/m_zh80120696890005.jpeg?Expires=1765887760&Signature=zhd5nZ70kSirWIg8UmpXjmmrSli8tZmoAhhCFUhfT86nw~3EcJDZIP7dajRvk-pL5QhGX-85u~MsTCE~qpIFFV5GekN1a8MH80fF0~TPDhAUy2-6jIZ1eKOMbjlLanEVqeSgN2mFixNSZCqY5MuI7Lib3MmfYH3tlnZ~HuLlelidA7NovJ-BGYawaZCL3sgxp2Ms2TTuuzNpBMwRs3h9EsMfiPVx5UwJwX~rKHczShLZ1yYKRopLdVNa0TzRAYqATrv6VR9XF9aMWlehCW47952QmsMB8DVjQnQ2xDFELQfN29mgJZuGMDntohI6ehl9GK16Dffavg8YzrZ3vK0C3A__&Key-Pair-Id=APKAIE5G5CRDK6RD3PGA)



This feature is available to Subscribers Only
Sign In or Create an Account Close Modal