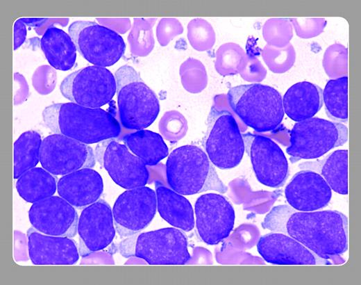
The blasts in the bone marrow aspirate appear “rounded” or “regular” with a scant amount of cytoplasm. Some elongated forms may also be noted. The chromatin pattern is smooth, and few nucleoli may be present.
Peter Maslak, Memorial Sloan-Kettering Cancer Center
The blasts in the bone marrow aspirate appear “rounded” or “regular” with a scant amount of cytoplasm. Some elongated forms may also be noted. The chromatin pattern is smooth, and few nucleoli may be present.
Peter Maslak, Memorial Sloan-Kettering Cancer Center
Many Blood Work images are provided by the ASH IMAGE BANK, a reference and teaching tool that is continually updated with new atlas images and images of case studies. For more information or to contribute to the Image Bank, visit www.ashimagebank.org.

This feature is available to Subscribers Only
Sign In or Create an Account Close Modal