Abstract
Bcl family members Bcl-2, Bcl-xL, and Mcl-1, are frequently expressed and implicated in the survival of myeloma cells. Obatoclax (GX015-070) is a novel, small-molecule antagonist of the BH3-binding groove of the Bcl family of proteins. We show that GX015-070 inhibits the binding of Bak to Mcl-1, up-regulates Bim, induces cytochrome c release, and activates capase-3 in human myeloma cell lines (HMCLs), confirming the predicted mechanism of action. Consequently, GX015-070 potently inhibited the viability of 15 of 16 HMCLs (mean IC50 of 246 nM), including those resistant to melphalan and dexamethasone. In combination studies, GX015-070 enhanced the antimyeloma activity induced by melphalan, dexamethasone, or bortezomib. Sensitivity to GX015-070 correlated with the absence or near absence of Bcl-xL. Coculture with interleukin-6 or adherence to bone marrow stroma conferred modest resistance; however, it did not overcome GX015-070–induced cytotoxicity. Of importance, GX015-070 as a single agent induced potent cytotoxic responses against patient-derived tumor cells. GX015-070 inhibited normal bone marrow–derived colony formation; however, cytotoxicity to human blood lymphocytes was not observed. Taken together, these studies describe a novel BH3 mimic with selectivity for Mcl-1, and support the therapeutic application of GX015-070 for diverse neoplasias including multiple myeloma.
Introduction
Multiple myeloma (MM) remains an incurable hematologic malignancy characterized by frequent early responses inevitably followed by treatment relapse. Until recently, few effective therapies existed. Indeed, the use of alkylating agents and corticosteroids had remained the treatment of choice for almost 4 decades. Several novel agents for MM have now become available including the immunomodulatory drugs thalidomide and lenalidomide, as well as the proteasome inhibitor bortezomib. Each of these agents is undergoing extensive clinical evaluation in combination with other therapies to produce unprecedented response rates in newly diagnosed and relapsed MM.1 Nevertheless, relapse remains universal and further therapeutics with broad activity are required
In that light, numerous potential therapeutic targets have been identified. One such target is the Bcl family of proteins that confers cell survival and that is dysregulated in many malignancies including MM.2–12 Despite the molecular heterogeneity of MM, the Bcl family member Bcl-2 has been reported to be universally expressed in MM.3 Expression of these proteins, particularly Mcl-1, has been correlated with clinical outcomes.7–9 In a study of 51 MM samples, 51% of patients at diagnosis and 81% at relapse overexpressed Mcl-1. Further, highest values of Mcl-1 at diagnosis were associated with the shortest event-free survival.7 Similarly, resistance to chemotherapeutic agents has been linked to Bcl protein expression particularly with Bcl-xL, one of the Bcl-2 family members.13–15 Thus, general inhibitors of the Bcl family may be more effective than those directed at Bcl-2 only.
Knowledge that antiapoptotic Bcl-2 family proteins are overexpressed in many cancers and contribute to tumor initiation, progression, and chemotherapy resistance has spurred the development of small-molecule mimics of proapoptotic BH3-only proteins to overcome Bcl-2–associated resistance.16–19 Small-molecule inhibitors have now been reported that induce apoptosis of cells that overexpress Bcl-2 or that provide proof of principle for this approach.17,18 Indeed preclinical studies of Bcl-2– and Bcl-xL–specific small-molecule inhibitors have recently been reported in myeloma with encouraging preclinical activity.19,20 In the present study, we describe our preclinical work with obatoclax (GX015-070), a novel, small-molecule antagonist of the BH3-binding groove of the Bcl-2 family of proteins.21 Mechanistic studies suggest that GX015-070 can induce apoptosis by inhibiting the interaction between pro- and antiapoptotic proteins, importantly, and in contrast to other inhibitors in development, including Mcl-1. In addition, GX015-070 up-regulates the proapoptotic BH3-only protein Bim, a natural cellular inhibitor of antiapoptotic members. Here, we describe that the inhibition of antiapoptotic Bcl family proteins and the activation of proapoptotic Bim by GX015-070 generates single-agent mechanism-based killing of MM cell lines, as well as primary patient-derived cells. These data demonstrate that GX015-070 is a potent inhibitor of the Bcl family of proteins and deserves further clinical study for the treatment of MM and other cancers.
Materials and methods
Chemical compounds and biologic reagents
GX015-070 was obtained from GeminX Pharmaceuticals (Malvern, PA) and dissolved in dimethyl sulfoxide (DMSO) at a stock concentration of 5 mM. For animal experiments, 30 mg GX015-070 was dissolved in 5 mL diluent plus 70 mL D5W to make 0.4 mg/mL solution. Human recombinant interleukin-6 (IL-6) and insulin-like growth factor-1 (IGF-1) were obtained from R&D systems (Minneapolis, MN) and PeproTech (Rocky Hill, NJ), respectively. Antibodies used for immunoblot analysis included anti–Bcl-2, anti–Mcl-1, and anti–Bcl-xL (BD Biosciences, Mississauga, ON), anti-Bim (Stressgen, Victoria, BC), anti-Bak, anti-Bax, and anti–caspase-3 (Cell Signaling Technology, Pickering, ON).
Cell lines and tissue culture
All human MM cell lines (HMCLs) were maintained in Iscoves modified Dulbecco medium (IMDM) supplemented with 5% fetal calf serum (FCS), 100 μg/mL penicillin, and 100 μg/mL streptomycin (Hyclone, Logan, UT). Peripheral blood lymphocytes (PBLs) were prepared from whole blood by Ficoll density centrifugation. Bone marrow stromal cells (BMSCs) were derived from MM patients and prepared as previously described.22 Briefly, mononuclear cells (MNCs) were cultured in 10 mL IMDM supplemented with 10% FCS in 100-mm tissue culture dish. Subsequent to the first week the medium was replenished every 3 days. When an adherent cell monolayer developed, the cells, which show predominantly fibroblast morphology, were trypsinized, harvested, washed, and collected by centrifugation. For the purposes of viability assays, BMSCs were plated on 96-well plates; coculture with HMCLs is performed when the BMSCs become confluent. Bone marrow (BM) aspirates and PBLs were obtained by consent under a protocol approved by the University Health Network Research Ethic Board (Toronto, ON).
Viability assay
Cell viability was assessed by 3-(4,5-dimethylthiazol)-2,5-diphenyl tetrazolium (MTT) dye absorbance according to the manufacturer's instructions (Boehringer Mannheim, Mannheim, Germany). Cells were seeded in 96-well plates at a density of 20 000 cells per well (HMCLs) or 50 000 to 100 000 (healthy donor PBLs). Cells were incubated with or without IGF-1 (50 ng/mL) or IL-6 (10 ng/mL) where indicated and increasing concentrations of GX015-070. For each concentration of GX015-070, 10-μL aliquots of drug or DMSO diluted in culture medium was added. For drug combination studies, cells were incubated with the indicated concentration of melphalan, dexamethasone, bortezomib, and/or GX015-070. Concentrations of drug that induce between 20% to 90% inhibition were selected and cells were treated with either drug (drug 1 or drug 2) as well as the combination (drug 1 and drug 2) at each dose concentration. For each dose combination, the combination index (CI) was calculated based on the following equation: CI = D1/(DX)1 + D2/(DX)2 + (D1*D2)/((DX)1*(DX)2) where D1 and D2 are the doses of drug 1 and drug 2, respectively, that have x effect when used in combination, and (Dx)1 and (Dx)2 are the doses of drug 1 and drug 2, respectively, that have the same effect when used alone. The CI provides a numeric description of the effects of a combination treatment. Specifically, a CI less than 1 indicates synergy, a CI = 1 indicates an additive effect, and a CI more than 1 indicates antagonism between the 2 agents. Finally, to evaluate the effect of GX015-070 on growth of MM cells adherent to BMSCs, 20 000 cells were cultured on BMSC-coated 96-well plates in the presence or absence of GX015-070. Plates were incubated at 37°C, 5% CO2 for 48 to 72 hours. Each experimental condition was performed in triplicate.
Immunoprecipitation and immunoblotting
Cells were lysed in lysis buffer (50 mM Tris-HCL, 1 mM EDTA, 1% NP-40, 150 mM NaCl) or CHAPS buffer (50 nM Tris-HCL, 1 mM EDTA, 10 mM CHAPS, 150 mM NaCl, dialyzed overnight to remove detergent) where indicated for 30 minutes on ice, and clarified by centrifugation at 12 000g for 15 minutes. Where indicated, lysates were subjected to immunoprecipitation for 16 hours at 4°C with anti-Bak, anti–Bcl-2, anti–Bcl-xL, or anti–Mcl-1 and analyzed by 8.5% to 15% sodium dodecyl–polyacrylamide gel electrophoresis (SDS-PAGE) and immunoblotted with the specified antibody. To determine basal expression of Bcl-2 family members, cell extracts from 14 HMCLs growing in log phase were examined by Western blot analysis for expression of Mcl-1, Bcl-2, Bcl-xL, Bim (EL, L and S), Bax, and Bak, and protein loading was confirmed by albumin detection. Protein bands were visualized using secondary antibodies coupled to horseradish peroxidase and the enhanced chemiluminescence (ECL) kit from Pierce (Rockford, IL) according to the manufacturer's instructions.
Gene-expression analysis
A gene expression profiling (GEP) dataset describing 40 HMCLs and plasma cells from primary patient samples including 101 cases of MM, 24 cases of smoldering myeloma (SMM), 22 cases of monoclonal gammopathy of unknown significance (MGUS), and 15 normal (NORM) BM samples have previously been described23 and is available in the gene expression omnibus (GEO) database under accession number GSE-6477. For analyses of Mcl-1 expression, raw gene-expression intensity values were log transformed and median normalized using GeneSpring 7 (Agilent Technologies, Palo Alto, CA); the 5 probe sets encompassing Mcl-1 were combined by averaging following individual normalization to provide a mean estimate of Mcl-1 expression per sample.
Cytochrome c release
Cytochrome c release apoptosis assay kit was bought from Calbiochem (San Diego, CA). Fifty million GX015-070-treated and control cells were processed according to the kit protocol. Cytochrome c release was determined by Western blot with anti–cytochrome c antibody on proteins from the cytosolic fractions.
Apoptosis analysis of primary patient samples
For cell death analysis, MNCs were plated at a cell density of 5 × 105 cells/mL in IMDM with 15% FCS in the presence of diluted DMSO, and 125, 250, and 500 nM GX015-070. Following 3 days in culture, cells were double stained with anti-CD138-PE (PharMingen, San Diego, CA) and FITC-conjugated annexin V (Boehringer Mannheim, Indianapolis, IN) as previously described.22 Samples were analyzed by flow cytometry on a FACSCaliber flow cytometer (BD Biosciences, San Jose, CA) using CellQuest software (BD Biosciences).
Colony formation assays
For colony assays, 2 × 104 MNCs from BM were plated in 1 mL Methocult GF H4434 (StemCell Technologies, Vancouver, BC) containing 1% methylcellulose and cocktail of growth factors and maintained with DMSO control or the indicated concentration of GX015-070. Seven days after plating, the number of colonies including erythroid–burst-forming unit (BFU-E), granulocyte macrophage–colony-forming unit (CFU-GM), and granulocyte-erythrocyte-macrophage-megakaryocyte–colony-forming unit (CFU-GEMM) was enumerated by morphologic assessment, as previously described. A plating efficiency of 0.1% was routinely achieved and experiments were performed in triplicate.
Xenograft mouse model
To further validate drug activity in vivo, the xenograft mouse model was prepared as previously described.24 Briefly, 6- to 8-week-old female beige-nude-xid mice obtained from Frederick Cancer Research and Development Centre (Frederick, MD) were inoculated subcutaneously into the right flank with 2 × 107 KMS12-PE cells in 100 μL IMDM, together with 100 μL matrigel basement membrane matrix (Becton Dickinson, Bedford, MA). Treatment was initiated when tumors were palpable at which time mice were randomized and treated with 4 mg/kg GX015-070 or solvent alone. Dosing was performed daily for 10 days over a 14-day period by intravenous injection. Eight to 10 mice were included in each treatment group. Caliper measurements were performed twice weekly to estimate tumor volume, using the formula 4π/3 × (width/2)2 × (length/2). Mice were followed for tumor response and survival as end points. One-way analysis of variance was used to compare differences between vehicle and drug. For assessment of toxicity, mice were weighed and total blood counts were performed weekly.
Results
GX015-070 inhibits the viability MM cell lines
We first examined the effect of GX015-070 on a genetically diverse panel of 16 HMCLs. Remarkably, in 15 of 16 myeloma cell lines tested, GX015-070 induced significant reductions in cell viability in the submicromolar range with a median effective 50% growth inhibition (IC50) value of 246 nM: range of 52 to 1100 nM (Table 1). Clinically achievable dosing after a continuous infusion is a Cmax of 80 ng/mL25: 250 nM (the dose used in cell lines and patient cell) is equivalent to 103 ng/mL and 10 of 15 cell lines responded with an IC50 of less than 250 nM. To further examine whether GX015-070 was effective in chemotherapy-resistant MM cell lines, we compared its activity against paired isogenic cell lines sensitive or resistant to dexamethasone (MM.1S and MM.1R, respectively)26 or melphalan (8226s and 8226 LR5, respectively).27 The growth of these cell lines was also inhibited with comparable IC50s for MM.1S, MM.1R, 8226s, and 8226 LR5 cell lines of 335 nM, 390 nM, 238 nM, and 164 nM, respectively (Table 1).
IC50 values (in nM) of GX015-070 against HMCLs
| Cell line . | IC50, nM . | SD . |
|---|---|---|
| MM.1S | 335 | 75 |
| MM.1R | 390 | 17 |
| JJN3 | 132 | 35 |
| KMS18 | 60 | 43 |
| U266 | 1100 | 360 |
| SKMM2 | 150 | 24 |
| 8226s | 238 | 76 |
| UTMC2 | 173 | 93 |
| OPM2 | 282 | 50 |
| KMS11 | 282 | 23 |
| H929 | 131 | 25 |
| MY5 | 90 | 20 |
| KMS12PE | 52 | 19 |
| MY7 | 105 | 11 |
| 8226 LR5 | 164 | 67 |
| Cell line . | IC50, nM . | SD . |
|---|---|---|
| MM.1S | 335 | 75 |
| MM.1R | 390 | 17 |
| JJN3 | 132 | 35 |
| KMS18 | 60 | 43 |
| U266 | 1100 | 360 |
| SKMM2 | 150 | 24 |
| 8226s | 238 | 76 |
| UTMC2 | 173 | 93 |
| OPM2 | 282 | 50 |
| KMS11 | 282 | 23 |
| H929 | 131 | 25 |
| MY5 | 90 | 20 |
| KMS12PE | 52 | 19 |
| MY7 | 105 | 11 |
| 8226 LR5 | 164 | 67 |
Listed are MM cell lines. The concentration of GX015-070 that inhibits 50% viability (IC50) compared to DMSO control after 72-hour incubation with GX015-070 was determined. The data represent means of triplicate or quadruplicate cultures ± SD.
Given the known roles of IL-6, the BM microenvironment, and, more recently, IGF-1 in up-regulating Bcl-2 family members thereby promoting tumor-cell survival and resistance to cytotoxic therapy in MM,28 we next examined whether these exogenous factors could confer resistance to GX015-070. As shown in Figure 1A, inhibition of viability with GX015-070 was still observed when MM cell lines were grown in the presence of 50 ng/mL IGF-1 and was comparable to that of cells cultured in the absence of these growth factors. On the other hand, IL-6 or coculture with BMSCs conferred modest protection to some HMCLs (Figure 1B-C), however cytotoxic responses were still observed. GX015-070 demonstrated no direct toxicity to BMSCs compared to DMSO control (data not shown). The data demonstrate that GX015-070 is active as a single-agent against MM cells and is cytotoxic even in the presence of the protective effects of the BM microenvironment.
GX015-070 inhibits the viability of HMCLs in the presence of IL-6, IGF-1, and BMSCs. HMCLs were cultured with 150 nM GX015-070 (GX) or vehicle control in the presence or absence of (A) 50 ng/mL IGF-1 or (B) 50 ng/mL IL-6. Cell viability after 48 hours was assessed by MTT assay and is reported as percent viable = (OD+Gx±cytokine)/(OD±cytokine), where OD±cytokine is the OD in the presence or absence of IGF-1 or IL-6. (C) HMCLs were cultured in the presence or absence of BMSCs and with 150 nM GX015-070 or DMSO control for 48 hours and viability was assessed by MTT assay and is reported as percent viable = (OD+Gx±stroma)/(OD±stroma). Values represent means of triplicate cultures ± SD; * signifies P ≤ .05.
GX015-070 inhibits the viability of HMCLs in the presence of IL-6, IGF-1, and BMSCs. HMCLs were cultured with 150 nM GX015-070 (GX) or vehicle control in the presence or absence of (A) 50 ng/mL IGF-1 or (B) 50 ng/mL IL-6. Cell viability after 48 hours was assessed by MTT assay and is reported as percent viable = (OD+Gx±cytokine)/(OD±cytokine), where OD±cytokine is the OD in the presence or absence of IGF-1 or IL-6. (C) HMCLs were cultured in the presence or absence of BMSCs and with 150 nM GX015-070 or DMSO control for 48 hours and viability was assessed by MTT assay and is reported as percent viable = (OD+Gx±stroma)/(OD±stroma). Values represent means of triplicate cultures ± SD; * signifies P ≤ .05.
GX015-070 is an inhibitor of Bcl function and induces apoptosis
GX015-070 is a novel, optimized, cycloprodigiosin-derived BH3 mimetic that was identified by chemical library screening and subsequently demonstrated in biochemical assays to bind to a broad spectrum of Bcl-2 family members.16,22 To confirm its mechanism of action and the selectivity of GX015-070, coimmunoprecipitation studies of Mcl-1 or Bcl-2 with Bak or Bax, respectively, were carried out on lysates from GX015-070– or DMSO-treated cell lines. As shown in Figure 2A, immunoprecipitation with Bak or Bax antibody yielded large amounts of Mcl-1 or Bcl-2, respectively, in DMSO-treated cells, indicating that these proteins heterodimerize in the control state. In contrast, levels of Mcl-1 found to coimmunoprecipitate with Bak in GX015-070–treated cells were greatly reduced consistent with GX070-15 abrogating Mcl-1/Bak interactions in responsive myeloma cell lines. Although GX015-070 has been shown to bind with near equivalent affinity to Bcl-2,16 our studies in GX015-070–sensitive MM cells failed to show inhibition of the interaction between Bcl-2 and Bax (Figure 2A). This may reflect pharmacodynamic differences between the biochemical16 and cell-based assays or may be MM specific.
GX015-070 inhibits Mcl-1/Bax interaction, up-regulates Bim protein expression, and induces cytochrome c release. (A) HMCLs were incubated with vehicle control (−) or 1 μM GX015-070 (GX; +) for 24 hours. Cells were lysed in lysis buffer (KMS12PE, JJN3) or CHAPS buffer (MY5) and protein immunoprecipitated with anti-Bak or anti-Bax, where indicated, and immunocomplexes were analyzed by Western with either anti–Mcl-1 or anti–Bcl-2. GX015-070 inhibits Mcl-1/Bak but not Bcl-2/Bax interaction. (B) HMCLs were treated with 1 μM GX015-070 for times indicated. Total cell lysates were probed by Western blot with anti-Bim. A time-dependent increase in Bim protein was observed in JJN3, KMS11, and MY5 cells. (C) Cytosolic extracts from GX015-070–treated (GX; +) or vehicle–treated (−) HMCLs were probed with anti–cytochrome c and demonstrate release of cytochrome c after 24-hour exposure to GX015-070. An increase in cleaved caspase-3 was also observed after 24- and 48-hour treatment with GX015-070.
GX015-070 inhibits Mcl-1/Bax interaction, up-regulates Bim protein expression, and induces cytochrome c release. (A) HMCLs were incubated with vehicle control (−) or 1 μM GX015-070 (GX; +) for 24 hours. Cells were lysed in lysis buffer (KMS12PE, JJN3) or CHAPS buffer (MY5) and protein immunoprecipitated with anti-Bak or anti-Bax, where indicated, and immunocomplexes were analyzed by Western with either anti–Mcl-1 or anti–Bcl-2. GX015-070 inhibits Mcl-1/Bak but not Bcl-2/Bax interaction. (B) HMCLs were treated with 1 μM GX015-070 for times indicated. Total cell lysates were probed by Western blot with anti-Bim. A time-dependent increase in Bim protein was observed in JJN3, KMS11, and MY5 cells. (C) Cytosolic extracts from GX015-070–treated (GX; +) or vehicle–treated (−) HMCLs were probed with anti–cytochrome c and demonstrate release of cytochrome c after 24-hour exposure to GX015-070. An increase in cleaved caspase-3 was also observed after 24- and 48-hour treatment with GX015-070.
As Mcl-1 neutralizes the proapoptotic function of Bim in viable MM cells, we next assessed the effects of GX15-070 on Bim protein levels. As shown in Figure 2B, we observed a time-dependent accumulation of Bim-EL in whole-cell lysates of treated cell lines with the exception of KMS12PE, a cell line that expresses high endogenous levels of Bim. The effect was observed as early as 6 hours and appeared maximal at 24 hours of incubation with GX015-070.
To confirm that GX015-070 activity is mediated by the mitochondrial pathway of apoptosis, we demonstrated that GX015-070 treatment in responsive cell lines was accompanied by cytochrome c release (Figure 2C). Further, cleaved caspase-3 was detected by Western blot analysis (Figure 2C). The results are consistent with the capacity of GX015-070 to uniquely displace activating BH3 domains from the pocket of Mcl-1 that are then free to trigger Bak oligomerization with subsequent cytochrome c release–mediated apoptosis.
Expression of BCL family members in myeloma cell lines
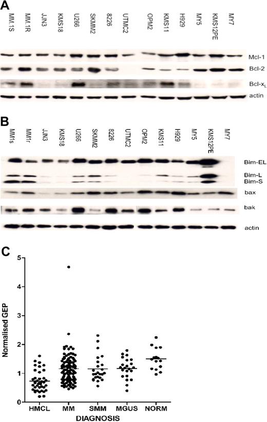
As we predicted that differential susceptibility of HMCLs would correlate with levels of Bcl-2 family proteins, we next examined the relative expression of antiapoptotic and proapoptotic proteins and their interaction partners in the panel of 14 HMCLs by immunoblotting. Analysis reveals that antiapoptotic proteins are ubiquitously expressed, with all cell lines expressing high endogenous levels of Mcl-1 (Figure 3A). Consistent with published data,2,3 Bcl-2 was highly expressed in most HMCLs and only one, UTMC2, lacked detectable expression. By array-based comparative genomic hybridization (CGH) on Agilent 44K (Rafael Fonseca, unpublished data, January 2007), both copies of Bcl-2 are present in UTMC2 but gene expression profiling reveals very low expression suggesting the presence of sequence mutation. On the same analysis, BIM harbors a monoallelic deletion on array CGH, and gene expression is consequently lower than for most other myeloma cell lines. Bcl-xL was detected in most HMCLs, however relative expression levels were more variable between cell lines. Similarly, all HMCLs expressed proapoptotic proteins, either Bax, Bak, or both (Figure 3B). Bim-EL, a BH3-only proapoptotic protein associated with myeloma cell survival,10–12 was highly expressed in all cell lines with the exception of MY7. The Bim splice variants, Bim-L and Bim-S, were more variably detected. Correlating this data with the IC50 for each cell line, GX015-070 kills cells most efficiently if Bcl-xL is lacking or expressed only at very low levels. Cell lines that strongly express all 3 antiapoptotic proteins, Mcl-1, Bcl-2, and Bcl-xL, are the least sensitive. Further, we observed an inverse correlation between endogenous Bak expression and drug susceptibility.
Expression of Bcl-2 family proteins in HMCLs. (A) Immunoblot analysis of the antiapoptotic proteins Mcl-1, Bcl-2, and BclxL. The most GX015-070–sensitive HMCLs, JJN3, KMS18, SKMM2, H929, MY5, KMS12PE, and MY7 (IC50 ≤ 150 nM), lack or nearly lack BclxL. On the other hand, more resistant cell lines (IC50 ≥ 300 nM) express abundant levels of all 3 antiapoptotic proteins. (B) Immunoblot analysis of proapoptotic proteins Bim-EL, Bim-L, Bim-S, Bax, and Bak. A correlation between decreased Bak expression (KMS18, SKMM2, MY5, KMS12PE, and MY7) and response to GX015-070 was observed. Protein expression determined by densitometric measurement is listed in Table 2. (C) Mcl-1 expression in primary MM and MGUS samples. The median normalized gene expression of Mcl-1 is shown for HMCL and for CD138+ marrow populations from MM, SMM, or MGUS patients and is compared with normal BM plasma cells. Each data point represents the mean of all 5 Mcl-1 probe sets present on the Affymetrix U133A chip (Palo Alto, CA). There is consistently higher median expression of Mcl-1 in MM than in HMCL.
Expression of Bcl-2 family proteins in HMCLs. (A) Immunoblot analysis of the antiapoptotic proteins Mcl-1, Bcl-2, and BclxL. The most GX015-070–sensitive HMCLs, JJN3, KMS18, SKMM2, H929, MY5, KMS12PE, and MY7 (IC50 ≤ 150 nM), lack or nearly lack BclxL. On the other hand, more resistant cell lines (IC50 ≥ 300 nM) express abundant levels of all 3 antiapoptotic proteins. (B) Immunoblot analysis of proapoptotic proteins Bim-EL, Bim-L, Bim-S, Bax, and Bak. A correlation between decreased Bak expression (KMS18, SKMM2, MY5, KMS12PE, and MY7) and response to GX015-070 was observed. Protein expression determined by densitometric measurement is listed in Table 2. (C) Mcl-1 expression in primary MM and MGUS samples. The median normalized gene expression of Mcl-1 is shown for HMCL and for CD138+ marrow populations from MM, SMM, or MGUS patients and is compared with normal BM plasma cells. Each data point represents the mean of all 5 Mcl-1 probe sets present on the Affymetrix U133A chip (Palo Alto, CA). There is consistently higher median expression of Mcl-1 in MM than in HMCL.
Relative ratios of protein expression determined by densitometric measurements
| Cell line . | Mcl-1/actin . | Bcl-2/actin . | Bcl-xL/actin . | Bim/actin . | Bax/actin . | Bak/actin . |
|---|---|---|---|---|---|---|
| MM.1S | 95 | 90 | 69 | 132 | 63 | 114 |
| MM.1R | 108 | 123 | 104 | 109 | 105 | 121 |
| JJN3 | 110 | 91 | 42 | 120 | 25 | 112 |
| KMS18 | 90 | 102 | 49 | 96 | 49 | 60 |
| U266 | 135 | 94 | 97 | 151 | 101 | 163 |
| SKMM2 | 119 | 138 | 35 | 152 | 102 | 55 |
| 8226s | 113 | 77 | 63 | 144 | 89 | 147 |
| UTMC2 | 113 | 3 | 53 | 142 | 72 | 121 |
| OPM2 | 65 | 72 | 67 | 162 | 112 | 158 |
| KMS11 | 72 | 62 | 121 | 150 | 103 | 102 |
| H929 | 114 | 54 | 87 | 119 | 105 | 128 |
| MY5 | 101 | 125 | 17 | 151 | 92 | 50 |
| KMS12PE | 145 | 146 | 33 | 173 | 90 | 55 |
| MY7 | 98 | 130 | 36 | 22 | 111 | 72 |
| Cell line . | Mcl-1/actin . | Bcl-2/actin . | Bcl-xL/actin . | Bim/actin . | Bax/actin . | Bak/actin . |
|---|---|---|---|---|---|---|
| MM.1S | 95 | 90 | 69 | 132 | 63 | 114 |
| MM.1R | 108 | 123 | 104 | 109 | 105 | 121 |
| JJN3 | 110 | 91 | 42 | 120 | 25 | 112 |
| KMS18 | 90 | 102 | 49 | 96 | 49 | 60 |
| U266 | 135 | 94 | 97 | 151 | 101 | 163 |
| SKMM2 | 119 | 138 | 35 | 152 | 102 | 55 |
| 8226s | 113 | 77 | 63 | 144 | 89 | 147 |
| UTMC2 | 113 | 3 | 53 | 142 | 72 | 121 |
| OPM2 | 65 | 72 | 67 | 162 | 112 | 158 |
| KMS11 | 72 | 62 | 121 | 150 | 103 | 102 |
| H929 | 114 | 54 | 87 | 119 | 105 | 128 |
| MY5 | 101 | 125 | 17 | 151 | 92 | 50 |
| KMS12PE | 145 | 146 | 33 | 173 | 90 | 55 |
| MY7 | 98 | 130 | 36 | 22 | 111 | 72 |
GX015-070 inhibits the growth of primary MM cells
Primary MM cells from 14 patient BMs were obtained under institutional review board (IRB)–approved consent and exposed to GX015-070 or vehicle control and examined for annexin V positivity 72 hours after culture. The percentage of viable cells expressing CD138 present in the culture in comparison to vehicle control was examined (Figure 4A). Five of 14 patient samples were highly sensitive to GX015-070 at doses of 250 and 500 nM with residual plasma cell viability from 5% to 40% of DMSO-treated controls. A further 3 of 14 samples demonstrated minor cytotoxic responses with a viable cell population of 80% of controls at the 500-nM concentration.
Activity of GX015-070 against primary myeloma cells and CFUs. (A) BM-derived MNCs from 14 MM patients were incubated with 125 nM (▩), 250 nM (▦), or 500 nM (▨) GX015-070 for 3 days, after which the samples were labeled with annexin V–FITC and CD138-PE antibody. Viable CD138+ plasma cells in drug-treated groups were normalized to vehicle-treated group. (B) Unpurified BM mononuclear cells from BM aspirate of a representative MM patient (which contain CD138+ MM cells and CD138− non-MM cells) were cultured in the presence of DMSO control (left panel) or 500 nM GX015-070 (right panel). GX015-070 led to specific reduction in the percentage of the CD138+ MM population. (C) PBMCs (n = 3) were cultured in the presence of GX015-070 (0-4000 nM) for 48 hours. Cell viability was assessed by MTT assay, and data represent means of triplicate cultures; bars represent SD. (D) MNCs from BM were plated in methylcellulose cultures and treated with 250 nM (▦) or 500 nM (▨) GX015-070, and colonies were counted after 7 to 9 days. Each letter represents an individual BM sample. The results are reported as percent of vehicle treated control.
Activity of GX015-070 against primary myeloma cells and CFUs. (A) BM-derived MNCs from 14 MM patients were incubated with 125 nM (▩), 250 nM (▦), or 500 nM (▨) GX015-070 for 3 days, after which the samples were labeled with annexin V–FITC and CD138-PE antibody. Viable CD138+ plasma cells in drug-treated groups were normalized to vehicle-treated group. (B) Unpurified BM mononuclear cells from BM aspirate of a representative MM patient (which contain CD138+ MM cells and CD138− non-MM cells) were cultured in the presence of DMSO control (left panel) or 500 nM GX015-070 (right panel). GX015-070 led to specific reduction in the percentage of the CD138+ MM population. (C) PBMCs (n = 3) were cultured in the presence of GX015-070 (0-4000 nM) for 48 hours. Cell viability was assessed by MTT assay, and data represent means of triplicate cultures; bars represent SD. (D) MNCs from BM were plated in methylcellulose cultures and treated with 250 nM (▦) or 500 nM (▨) GX015-070, and colonies were counted after 7 to 9 days. Each letter represents an individual BM sample. The results are reported as percent of vehicle treated control.
In addition to short-term cytotoxicity assays on primary myeloma cells, the potential hematologic toxicity of GX015-070 was evaluated on normal PBLs and by colony-formation assays. As determined by MTT assay, GX015-070 had minimal effect on PBL viability at concentrations up to 4 μM (Figure 4C). However, continuous exposure to GX015-070 significantly suppressed colony formation, affecting BFU-E, CFU-GEMM, and CFU-GM lineages, in 8 of 8 samples tested (Figure 4D). Despite this, in vivo exposure did not induce myelosuppression in murine toxicology assays.
GX015-070 augments cytotoxicity of chemotherapy and bortezomib in MM
Bcl family members are widely known to render tumor cells resistant to induction of apoptosis by various cytotoxic drugs.29 Modulation of this family of antiapoptotic proteins may therefore enhance susceptibility to antimyeloma agents and reverse chemoresistance. The combined effect of GX015-070 with the antimyeloma agents dexamethasone and melphalan was studied in paired isogenic chemosensitive and resistance cell lines. In combination with dexamethasone, GX015-070 demonstrated synergistic effect (CI < 1) in the steroid-responsive cell line, MM.1S, and was able to sensitize MM.1R cells to dexamethasone (Figure 5A). The combination of GX015-070 and melphalan was additive (CI = 1) in 8226s MM cells and minimally sensitized 8226 LR5 to melphalan (Figure 5B).
GX015-070 is active against dexamethasone or melphalan-resistant HMCLs and has an additive effect with antimyeloma drugs, dexamethasone, melphalan, or velcade. HMCLs were treated with bortezomib (Btz), melphalan (Mel), dexamethasone, and/or GX015-070 (Gx) at the indicated concentrations. To determine cell viability, MTT assays were performed after 48 hours of treatment and the data were normalized as percent of untreated control. (A) Dexamethasone-sensitive MM1.S or -resistant MM.1R cells were cultured with dexamethasone (▵), GX015-070 (♦), or dexamethasone + GX015-070 (■). (B) Similarly, melphalan-sensitive (8226s) or melphalan-resistant (8226 LR5) cell lines were treated with melphalan (▵), GX070-015 (♦), or melphalan + GX015-070 (■). (C) Finally, 8226 cells were cultured in the presence of bortezomib (▵), GX015-070 (♦), or bortezomib + GX015-070 (■). For these experiments, bortezomib and GX015-070 were added simultaneously (left panel), GX015-070 was added after overnight incubation with Btz (center panel), or Btz was added after overnight incubation with GX015-070 (right panel). Values represent means of triplicate cultures ± SD.
GX015-070 is active against dexamethasone or melphalan-resistant HMCLs and has an additive effect with antimyeloma drugs, dexamethasone, melphalan, or velcade. HMCLs were treated with bortezomib (Btz), melphalan (Mel), dexamethasone, and/or GX015-070 (Gx) at the indicated concentrations. To determine cell viability, MTT assays were performed after 48 hours of treatment and the data were normalized as percent of untreated control. (A) Dexamethasone-sensitive MM1.S or -resistant MM.1R cells were cultured with dexamethasone (▵), GX015-070 (♦), or dexamethasone + GX015-070 (■). (B) Similarly, melphalan-sensitive (8226s) or melphalan-resistant (8226 LR5) cell lines were treated with melphalan (▵), GX070-015 (♦), or melphalan + GX015-070 (■). (C) Finally, 8226 cells were cultured in the presence of bortezomib (▵), GX015-070 (♦), or bortezomib + GX015-070 (■). For these experiments, bortezomib and GX015-070 were added simultaneously (left panel), GX015-070 was added after overnight incubation with Btz (center panel), or Btz was added after overnight incubation with GX015-070 (right panel). Values represent means of triplicate cultures ± SD.
Finally, we evaluated the combination of GX015-070 and bortezomib. One of the undesirable effects of proteosome inhibition is the accumulation of antiapoptotic proteins, such as Mcl-1, that may impede apoptosis.30 We would predict that GX015-070 by inhibiting Mcl-1 may augment the activity of bortezomib. GX015-070 treatment with subsequent addition of bortezomib produced additive cytotoxic responses with a CI = 1 (Figure 5C). Consistent with our hypothesis, the sequencing of GX015-070 and bortezomib was critical, as less than additive responses (CI > 1) were observed when the drugs were combined simultaneously or if bortezomib was added to the cells prior to GX015-070 administration. Of importance, the 50- to 100-nM concentrations of GX015-070 at which synergistic effects were observed are clinically achievable.
Evaluation of GX015-070 in vivo in a xenograft mouse model
The antimyeloma efficacy of GX015-070 was evaluated in a subcutaneous plasmacytoma xenograft mouse model, with treatment initiated once tumors were established. At the time tumors became palpable, mice were randomized to receive either vehicle or 4 mg/kg GX015-070 by intravenous injection for 10 days over 14-day period. The GX015-070 used was established and recommended following formal toxicology testing by GeminX Pharmaceuticals. At the dose and schedule used we did not appreciate a significant difference in tumor progression between vehicle or GX015-070–treated mice (Figure 6A).
Lack of in vivo bioactivity of GX015-070. (A) Mice were randomly assigned (8-10/group) to receive vehicle (□) 4 mg/kg GX015-070 (♦) by intravenous injection for 10 of 14 days (indicated by solid line) on day 11 when tumors were palpable. Results are tumor volume (mean ± SD mm3) plotted against time. (B) At the completion of treatment, mice from vehicle-treated (−) or GX015-070–treated (GX; +) group were killed, and the tumors were removed and analyzed for pharmacodynamic activity. KMS12-PE tumors were immediately homogenized in ice-cold lysis buffer and Bak was immunoprecipitated from 1 mg protein with anti-Bak and immunoblotting with anti–Mcl-1 was performed (upper panel). Then blot was stripped and probed with an anti-Bak as a loading control (lower panel). GX015-070 failed to inhibit the in vivo Mcl-1/Bak interaction in mice tumors.
Lack of in vivo bioactivity of GX015-070. (A) Mice were randomly assigned (8-10/group) to receive vehicle (□) 4 mg/kg GX015-070 (♦) by intravenous injection for 10 of 14 days (indicated by solid line) on day 11 when tumors were palpable. Results are tumor volume (mean ± SD mm3) plotted against time. (B) At the completion of treatment, mice from vehicle-treated (−) or GX015-070–treated (GX; +) group were killed, and the tumors were removed and analyzed for pharmacodynamic activity. KMS12-PE tumors were immediately homogenized in ice-cold lysis buffer and Bak was immunoprecipitated from 1 mg protein with anti-Bak and immunoblotting with anti–Mcl-1 was performed (upper panel). Then blot was stripped and probed with an anti-Bak as a loading control (lower panel). GX015-070 failed to inhibit the in vivo Mcl-1/Bak interaction in mice tumors.
To investigate the discrepancy between the in vitro and in vivo results, we next assessed for target inhibition of Mcl-1 in the mice tumors. Mice bearing subcutaneous KMS12PE tumors were killed 6 hours after receiving the last dose of GX015-070 and tumors were harvested. Bak was immunoprecipitated from tumor lysates and the amount of coimmunoprecipitated Mcl-1 was determined on immunoblots (Figure 6B). In contrast to the in vitro studies, levels of Mcl-1 found to coimmunoprecipitate with Bak in GX015-070–treated cells were similar to that in vehicle-treated mice demonstrating that at the administered dose, GX015-070 levels within the tumor were insufficient to inhibit Mcl-1/Bak interactions. Unfortunately, significant neurologic toxicity was observed in treated animals prohibiting further dose escalation, at least as an intravenous bolus. Exposed animals developed onset of agitation and hyperactivity immediately after a rapid intravenous injection of GX015-070, however this effect was transient. In spite of the profound neurologic effects, significant weight loss as a measure of chronic toxicity was not observed at the dose used, and despite the suppressive effects demonstrated on in vitro colony formation assay, blood counts remained normal throughout the period of treatment. Human phase 1 trials have been completed and also identified infusion-related somnolence and euphoria as the most frequent side effects. Their incidence and severity have been mitigated by prolonged infusion duration from 1 hour to 3 and 24 hours.25 The predicted Cmax after bolus injection of mice is 120 ng/mL (written communication, Jean Viallet, GeminX Pharmaceuticals, January 2007) and as stated causes acute but rapidly reversible neurotoxicity and fails to achieve target inhibition at 48 hours. The rapid reversal of toxicity indicates that peak concentrations are very short lived. Human PK studies demonstrate achievable Cmax of 10 to 80 ng/mL depending on the speed of infusion. Despite these lower peak concentrations, clinical activity has been observed.25 Given these facts, we believe that the sustained exposure of target cells to this inhibitor is likely more important than transient high-level exposure, which is not clinically achievable. For this reason, bolus injections in mice are unlikely to be predictive of clinical outcome.
Discussion
Novel therapies are still required in attempts to convert myeloma to a controllable or ultimately curable illness.1 As such, targeting pathways critical to MM cell survival for which there are no existing therapeutics is an important goal.31,32 A series of studies have demonstrated the important role played by the Bcl family of proteins in sustaining MM cell survival and inhibiting cell death.7–10,12,33 Overcoming this malignancy-induced barrier to apoptosis is predicted to be an attractive addition to existing therapies for MM and other cancers.
GX015-070 is a small molecule currently in phase 1/2 clinical testing as a novel BH3 mimetic with purported pan-BCL activity.16 Indeed, in studies using chemical cross-linking to detect Mcl-1/Bak dimers in intact mitochondria, GX015-070 was found to disrupt these interactions with an IC50 of less than 10 nM.34 Our studies confirm that GX015-070 interferes with protein-protein interactions between Mcl-1/Bak such that the dominant influence on cell fate is switched from the antiapoptotic to the apoptosis-inducing family members with resultant release of cytochrome c and activation of caspase-3. Given the pivotal role of Mcl-1 in myeloma cells,35 we suspect that the ability of GX015-070 to antagonize Mcl-1 will broaden the effectiveness of this compound when compared to Bcl-2 antisense or other Bcl antagonists that are highly selective for Bcl-2.16,17 This is supported by data in myeloma cells demonstrating cytotoxic responses in response to Mcl-1 but not Bcl-2 or Bcl-xL antisense.35 To further account for the single-agent activity of GX015-070, we also observed increased expression of the proapoptotic protein Bim in some myeloma cell lines. The increase in Bim may further prime the cells for death by activating Bax/Bak as has recently been described by Certo et al.36 The mechanism by which Bim expression is up-regulated, however, remains unclear.
We have also shown that responsiveness of cell lines to GX015-070 correlated with basal levels of bcl family members. Specifically, cells in which Bcl-xL is lacking or expressed only at very low levels are sensitive, while cells that strongly express all 3 antiapoptotic proteins, Mcl-1, Bcl-2, and Bcl-xL, were relatively resistant. As Bak binds with high affinity to Bcl-xL, we speculate that liberation from both Mcl-1 and Bcl-xL may be required for apoptosis as has been demonstrated by Willis et al.37 Since the IC50 of GX015-070 for Bcl-xL is 4-fold higher than for Mcl-1,16 we would expect cells that express Bcl-xL to be less sensitive. Further, as GX015-070 is a mimetic of proapoptotic BH3-only proteins, we observed a direct correlation between dose response and absence or near absence of Bak protein in most HMCLs consistent with GX015-070 functioning as a competitive inhibitor of the Bak substrate. Our results suggest that GX015-070 is likely to be most efficacious as a single agent in those tumors where Bcl-xL and Bak are low, absent, or inactivated and combining GX015-070 with agents that inactivate Bcl-xL may enhance and broaden its activity.
As Bim expression contributes to dexamethasone-induced cell death38–40 and since we show here that GX015-070 up-regulates Bim, we predicted and confirmed that GX015-070 was additive to the effects of dexamethasone. Similarly, since bortezomib is reported to up-regulate Mcl-1, we find that GX015-070 further sensitizes the cells to bortezomib and that the combination of the drugs is additive. These data suggest a role for this compound in combination therapies using drugs known to be active in myeloma. In particular, the combination of GX015-070 and bortezomib that may allow for reduced doses of bortezomib or more effective responses with full-dose bortezomib and the combination of GX015-070 that produced synergistic responses in dexamethasone-sensitive cells look particularly attractive.
Our studies together confirm the pharmacodynamic activity of this compound in MM cells and demonstrate broad and potent single-agent cytotoxic activity in vitro against 15 of 16 HMCLs and 1 of 3 of primary patient samples tested. Thus, based on our in vitro data, GX015-070 appears to have therapeutic promise, despite our negative in vivo results. The dose-limiting neurotoxicity of intravenous bolus injections in mice has been circumvented in the clinic by the use of infusions. A recently completed phase 1 trial conducted in refractory CLL patients has shown dose-dependent biologic activity using 1- and 3-hour infusions as well as examples of clinical responses.41 In addition, although toxicity in BM CFU assay was observed at concentrations similar to those associated with MM cytoxicity, this did not translate into myelosuppression in vivo. Furthermore, since GX15-070 is additive to other commonly used antimyeloma agents, lower doses of GX015-070 may be effective in combination regimens. Indeed, given the novel mechanism of action, the importance of the target, and our generally supportive preclinical studies, we believe careful clinical testing, particularly in combination therapeutic regimens, should be actively pursued.
The publication costs of this article were defrayed in part by page charge payment. Therefore, and solely to indicate this fact, this article is hereby marked “advertisement” in accordance with 18 USC section 1734.
Acknowledgments
This work was supported by grants from the National Cancer Institutes of Canada (A.K.S.), the Eli Lilly/Cancer Care Ontario/Canadian Institutes for Health Research Clinician Scientist Award (S.T.), the Canadian Institutes for Health Research (S.T. and A.K.S.), and the Ontario Cancer Research Network through funding provided by the Province of Ontario (S.T. and A.K.S.).
We sincerely thank Dr Jean Viallet of GeminX Pharmaceuticals for providing the GX015-070 compound and for technical support in drug preparation. We are grateful to Dr Christine Chen, Dr Donna Reece, Dr Joseph Mikhael, and Dr Janey Hsaio for their assistance with obtaining BM samples.
Authorship
Contribution: S.T. designed, supervised, and interpreted experiments and wrote the paper; Z.H.L., J.R., R.E.T., and X.Y.W. conducted all experiments; A.K.S. supervised and interpreted experiments and wrote the paper.
Conflict-of-interest disclosure: The authors declare no competing financial interests.
Correspondence: Keith Stewart, Mayo Clinic, 13208 E Shea Blvd, Scottsdale, AZ 85259; e-mail: stewart.keith@mayo.edu.






This feature is available to Subscribers Only
Sign In or Create an Account Close Modal