Abstract
CD33 is a member of the sialic acid–binding immunoglobulin-like lectin (Siglec) family of inhibitory receptors and a therapeutic target for acute myeloid leukemia (AML). CD33 contains a cytoplasmic immunoreceptor tyrosine-based inhibitory motif (ITIM), which can recruit SHP-1 and SHP-2. How CD33 expression is regulated is unclear. Suppressor of cytokine signaling 3 (SOCS3) is expressed in response to cytokines, LPS, and other PAMPs, and competes with SHP-1/2 binding to ITIMs of cytokine receptors, thereby inhibiting signaling. In this study, using peptide pull-down experiments, we found that SOCS3 can specifically bind to the phosphorylated ITIM of CD33. Additionally, following cross-linking SOCS3 can recruit the ECS E3 ligase resulting in accelerated proteasomal degradation of both CD33 and SOCS3. Our data suggest that the tyrosine motifs in CD33 are not important for internalization, while they are required for degradation. Moreover, SOCS3 inhibited the CD33-induced block on cytokine-induced proliferation. This is the first receptor shown to be degraded by SOCS3 and where SOCS3 and its target protein are degraded concomitantly. Our findings clearly suggest that during an inflammatory response, the inhibitory receptor CD33 is lost by this mechanism. Moreover, this has important clinical implications as tumors expressing SOCS3 may be refractory to α-CD33 therapy.
Introduction
Regulation of the immune response is essential to balance the inflammatory process. The immunoreceptor tyrosine-based inhibitory motif (ITIM) is found in the intracytoplasmic domain of inhibitory receptors such as sialic acid–binding immunoglobulin-like lectins (Siglecs) and acts as a regulatory molecule to inhibit activation. The Siglec family of receptors includes sialoadhesin (Sn), CD22, CD33, myelin-associated glycoprotein (MAG), and CD33-related Siglecs 5 to 11.1 This family is characterized by an amino-terminal V-set immunoglobulin (Ig) domain, a varying number of C2-set Ig domains, and a transmembrane domain, followed by a short cytoplasmic tail. The CD33-related Siglecs contain not only a cytoplasmic ITIM but also an immunoreceptor tyrosine-based switch–like motif (ITSM). Ligand-induced clustering of inhibitory receptors results in tyrosine phosphorylation of these ITIMs and recruitment of Src homology 2 (SH2) containing phosphatases (SHP-1/2) and inositol phosphatase (SHIP).2 The ITSM has previously been shown to switch between binding to SLAM-associated protein (SAP) and EAT-2 or between SAP and SHP-2 in other receptors.3 The Siglec receptors are all expressed on cells of the hematopoietic system, except for MAG, which is found exclusively in the nervous system. Siglec family members bind to specific glycan structures containing sialic acid.4 These are a large family of 9-carbon sugars, which are all derivatives of neuraminic (Neu) or ketodeoxynonulosonic acid (KDN). More than 40 forms exist in nature, attached in a variety of linkages to other sugars, thereby generating a considerable degree of molecular diversity and specificity.5
CD33 is a 67-kDa transmembrane glycoprotein that contains one V-set and one C2-set Ig-like domain6 and is specifically expressed on the myeloid lineage. It is a biomarker and therapeutic target for acute myeloid leukemia (AML). The recruitment of SHP-1 and SHP-2 by CD33 results in inhibition of tyrosine phosphorylation and Ca2+ mobilization.7,8 SHP-1 and SHP-2 are recruited to Y340 of CD33, whereas Y358 functions primarily in the recruitment of SHP-2. Engagement of CD33 on chronic and acute myeloid leukemias inhibits the proliferation of these cells and activates a process leading to apoptotic cell death on AML cells.9,10
The suppressor of cytokine signaling (SOCS) proteins, particularly SOCS1, are essential for regulating the inflammatory process. Gene-targeting approaches have shown that they play a nonredundant role in limiting the inflammatory response. SOCS expression is induced by cytokines, infective pathogen-associated molecular patterns (PAMPs), and other stimuli, and they regulate cytokine signal transduction via a negative feedback loop.11 They are characterized by a phosphotyrosine binding SH2 domain and the SOCS box motif12 that interacts with Elongin B/C, Cul-5, and Rbx1/2 to form an ECS-like (Elongin B/C-Cul2/Cul5-SOCS-box protein) E3 ubiquitin ligase complex to target signaling intermediate proteins for proteasomal degradation.13
SOCS3 can interact with a number of phosphorylated receptors and appears to potently inhibit JAKs in the presence of these receptors.14 SHP-1, SHP-2, and SOCS3 bind via their SH2 domains to ITIM-like motifs on cytokine receptors such as EpoR, LeptinR, GCSFR, and gp130.15,16 Of interest, the SOCS3 SH2 domain exhibits 39% and 41% homology to the SH2 domains of SHP-2 and SHP-1, respectively, and is thought to compete with SHP-1/2 for binding.17 Given that SOCS3 is induced by cytokines, LPS, and other PAMPs, we investigated whether SOCS3 could interact with the ITIMs on CD33 to regulate inhibitory responses. Here, we show that SOCS3 binds to the phosphorylated ITIM and ITSM of CD33 resulting in accelerated CD33 proteasomal degradation and that SOCS3 blocks CD33-mediated inhibition of proliferation in a cytokine-inducible cell line.
Materials and methods
Antibodies
Phosphotyrosine monoclonal antibody PY20 was purchased from Zymed (San Francisco, CA). Monoclonal anti-CD33 (α-CD33) (My9) was a kind gift from Immunogen (Dr W. A. Blattler, Cambridge, MA). Flag M2 monoclonal antibody, goat anti–mouse whole molecule, and monoclonal anti-His and anti-Myc were purchased from Sigma Aldrich (Dorset, United Kingdom). Polyclonal rabbit anti–SHP-2 and anti-SOCS3 (M20) were purchased from Santa Cruz Biotechnology (Santa Cruz, CA). Monoclonal anti-CD33 (clones IC7/1 and 3D6/1) were provided by Cancer Research UK (London, United Kingdom). Polyclonal rabbit anti-STAT5B was a generous gift from Dr J. J. O'Shea (National Institutes of Health [NIH], Bethesda, MD). Anti-SOCS3 (008) was purchased from Fusion Antibodies (Belfast, Northern Ireland). PE-conjugated anti-CD33 and IgG1 isotype control were obtained from BD Biosciences (San Jose, CA).
Plasmids and mutagenesis
Complementary DNA (cDNA) for CD33WT was subcloned into pME18S Flag vector, and site-directed mutagenesis was performed using the QuikChange Site-Directed Mutagenesis Kit according to the manufacturer's instructions (Stratagene, La Jolla, CA). CD33Y340F was created using the following mutagenic primers: 5′ GAT GAG GAG CTG CAT TTT GCT TCC CTC AAC TTT C 3′ and 5′ GAA AGT TGA GGG AAG CAA AAT GCA GCT CCT CAT C 3′, while CD33Y358F was created using 5′ GAC ACC TCC ACC GAA TTC TCA GAG GTC AGG ACC 3′ and 5′ GGT CCT GAC CTC TGA GAA TTC GGT GGA GGT GTC 3′. CD33Y340FY358F was created using both sets of mutagenic primers. Flag-tagged SOCS3-pME18S, Flag-tagged Elongin B, and Myc-tagged Elongin C expression constructs were described previously.18 Rbx1 and Cullin-5 cDNA constructs were a kind gift from Dr J. W. Conaway (Stowers Institute for Medical Research, Kansas City, MO).
Peptides
Biotinylated phosphorylated and unphosphorylated peptides that spanned the tyrosines (Y340 and Y358) of CD33 were synthesized by Chiron Biotechnologies (Raleigh, NC). Each peptide contains 4 N-terminus amino acids (SGSG) for anchoring to the biotin moiety. Peptide sequences were as follows: phosphorylated ITIM peptide (biotin SGSGDEELHpYASLNF-OH), unphosphorylated ITIM peptide (biotin SGSGDEELHYASLNF-OH), phosphorylated ITSM peptide (biotin SGSGDTSTEpYSEVRT-OH), unphosphorylated ITSM peptide (biotin SGSGDTSTEYSEVRT-OH), and control TCR zeta chain ITAM peptide (biotin SGSGGHDGLYQGLST-OH).
Cells and transfections
Peripheral blood mononuclear cells (PBMCs) were isolated by Ficoll density gradient centrifugation of whole blood from healthy consenting adults. Informed consent was provided according to the Declaration of Helsinki and approval was obtained from the Northern Ireland Blood Transfusion Service for this study. The cells were plated in RPMI-1640 growth medium supplemented with 2% fetal calf serum (FCS), 100 U/mL penicillin, and 100 U/mL streptomycin in 175-cm2 flasks for 2 hours to allow monocytes/macrophages to adhere. The cells were washed with RPMI-1640 to remove contaminating T and B cells, and the adherent monolayer was treated with 100 ng/mL LPS in RPMI containing 2% FCS prior to cross-linking with α-CD33 (IC7/1) and goat anti–mouse (GAM) whole molecule (IgG). CD33 stable Ba/F3 (mouse pro-B-cell line) and Ba/F3-SOCS3 cells19 were maintained in RPMI-1640 supplemented with 5% FCS, 100 U/mL penicillin, 100 U/mL streptomycin, and 10 U/mL IL-3. CD33 stable Ba/F3 and Ba/F3-SOCS3 cells were produced by retroviral infection. Plat-E (retroviral packaging cell line) cells were transfected with 5 μg pMX-IRES-EGFP CD33 constructs using FuGENE 6 (Roche, East Sussex, United Kingdom) transfection reagent according to the manufacturer's instructions. The Plat-E medium was used to infect Ba/F3 cells during centrifugation at 37°C for 4 hours. Live cells were sorted (EPICS ALTRA; Becton Dickinson, Buckinghamshire, United Kingdom) for the presence of EGFP and cultured.20 The Ba/F3-SOCS3 cells were maintained in 4 μg/mL tetracycline and were removed from tetracycline 48 hours prior to stimulation to allow SOCS3 gene expression. 293T (human epithelial) cells were maintained in DMEM (Gibco-BRL, Gaithersburg, MD) supplemented with 10% FCS, 100 U/mL penicillin, and 100 U/mL streptomycin. 293T cells were transfected with 2 μg of the relevant constructs using FuGENE 6 transfection reagents. After 24 hours, the transfection medium was replaced with fresh medium and cells were harvested after a further 24 hours.
Immunoprecipitations and Western blotting
The cells were washed once with ice-cold phosphate-buffered saline (PBS) containing 1 mM Na3V04 and lysed on ice in radioimmunoprecipitation assay (RIPA) lysis buffer (50 mM Tris-HCl [pH 7.4], 150 mM NaCl, 1% NP-40, 0.25% Na-Deoxycholate, 1 mM EDTA, 1 mM Na3VO4, 10 μg/mL leupeptin, 10 μg/mL aprotinin, and 1 mM phenylmethylsulfonyl fluoride). After 15 minutes, the cell lysates were clarified by centrifugation at 10 500g at 4°C, and the supernatants were immunoprecipitated with the appropriate antibodies preassociated to protein A–sepharose beads. For peptide pull-down experiments, cell lysates were incubated with 10 μg peptide bound to streptavidin agarose beads for 2 hours, washed, boiled in Laemmli buffer, and separated by sodium dodecyl sulfate–polyacrylamide gel electrophoresis (SDS-PAGE). For immunoblotting, whole-cell lysates or immunoprecipitates were separated by SDS-PAGE, transferred to PVDF membrane, and probed with appropriate antibodies, followed by peroxidase-labeled secondary antibodies. The proteins were visualized using the enhanced chemiluminescence (ECL) detection method (Amersham, Buckinghamshire, United Kingdom).
CD33 cross-linking
CD33 stable Ba/F3 and Ba/F3-SOCS3 cells and PBMCs were incubated with α-CD33 (IC7/1, 10 μg/mL) in serum-free medium for 20 minutes or 1 hour at room temperature, and the cells were then pelleted and resuspended in serum-free medium. GAM (20 μg/mL) was added and cross-linking allowed to occur for the indicated times. The cells were either lysed or washed in 1 × PBS and incubated with PE-conjugated isotype control/α-CD33 (different from cross-linking Ab) for 15 minutes. The samples were washed in 1 × PBS and fixed in 1% paraformaldehyde for fluorescence-activated cell sorter (FACS) analysis.
Trypan blue exclusion assay
CD33WT stable Ba/F3-SOCS3 cells were seeded at a density of 1 × 105 cells/mL and grown in RPMI-1640 containing 5% FCS and 5 U/mL IL-3 in the presence or absence of tetracycline (4 μg/mL). Samples were treated with α-CD33 (IC7/1, 10 μg/mL) and GAM (10 μg/mL) for 48 hours. Fresh antibody was added at 24 hours. Viable cell numbers were counted by trypan blue exclusion every 24 hours.
MTT assay
CD33WT and CD33Y340F/Y358F stable Ba/F3-SOCS3 cells were seeded as for the trypan blue exclusion assay, and MTT (0.5 mg/mL) was added to samples at 24-hour intervals and incubated at 37°C for 2 hours. The cell suspension was pelleted by low-speed centrifugation, the supernatant was removed, and 200 μL DMSO was added to the cell pellet. Cells were mixed, placed in a 96-well plate, and incubated for 10 minutes at 37°C. The optical density of each sample was read at OD570 using a microplate reader.
Results
SOCS3 binds the phosphorylated ITIM and ITSM peptides
The CD33 Y340 ITIM recruits SHP-1 and SHP-2, whereas the Y358 ITSM functions primarily to recruit SHP-2. The CD33 ITIM exhibits close homology to motifs found in EpoR and gp130 (Table 1), suggesting that they may bind similar SH2 domains. SOCS3 binds ITIM-like pY motifs on these receptors via its SH2 domain.17 To establish whether SOCS3 could bind to the CD33 ITIM, precipitation experiments were performed using phosphorylated and unphosphorylated CD33-ITIM and ITSM biotinylated peptides. Empty vector (EV) or Flag-tagged SOCS3 pME18S were transiently transfected into 293T cells, and lysates were incubated for 2 hours with the CD33 peptides and immunoblotted.
ITIM-like motifs that recruit SHP-1/2 and SOCS3
| Receptor . | pY location . | Sequence . |
|---|---|---|
| h-CD33 | pY340 | EELHpYASLNFHG |
| h-gp130 | pY759 | STVQpYSTVVHSG |
| h-Epo | pY401 | ASFEpYTILDPSS |
| m-LeptinR | pY985 | PSVKpYATLVSND |
| m-LeptinR | pY1077 | KSVCpYLGVTSVN |
| Relative to pY | NA | −2, 0, +3 |
| Receptor . | pY location . | Sequence . |
|---|---|---|
| h-CD33 | pY340 | EELHpYASLNFHG |
| h-gp130 | pY759 | STVQpYSTVVHSG |
| h-Epo | pY401 | ASFEpYTILDPSS |
| m-LeptinR | pY985 | PSVKpYATLVSND |
| m-LeptinR | pY1077 | KSVCpYLGVTSVN |
| Relative to pY | NA | −2, 0, +3 |
NA indicates not applicable.
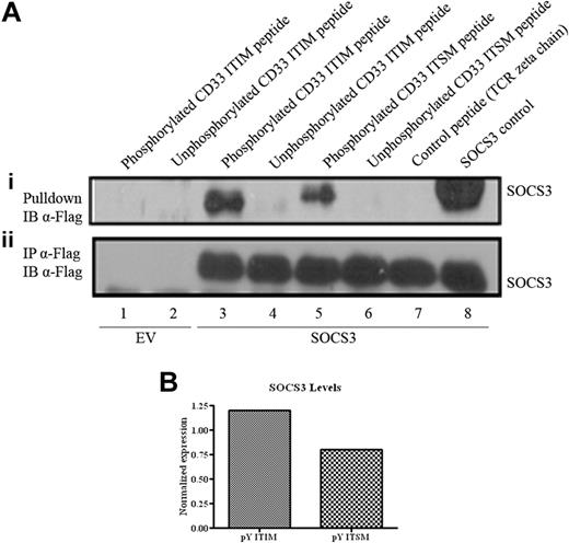
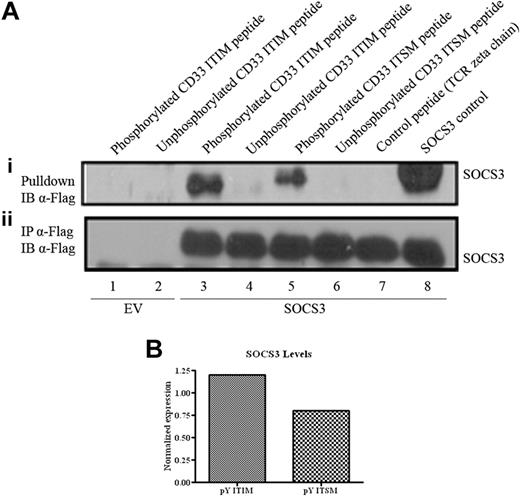
While neither the unphosphorylated CD33-derived peptides nor the TCR zeta chain–derived phosphopeptide bound detectable amounts of SOCS3 (Figure 1Ai, lanes 4, 6, and 7), both the phosphorylated ITIM and ITSM peptides associated with SOCS3 (lanes 3 and 5). However, significantly more SOCS3 associated with the phosphorylated CD33 ITIM peptide (Figure 1Ai, lane 3) than the phosphorylated ITSM peptide (lane 5). The experiment was performed 3 times and consistently indicated that SOCS3 bound to the CD33 ITIM, and to a lesser extent the ITSM, in a phosphotyrosine-dependent manner.
CD33 and SOCS3 interaction. (A) 293T cells were transfected with 2 μg SOCS3 pME18S-Flag. (Ai) Lysates were coprecipitated with appropriate CD33 peptide and immunoblotted with α-Flag (M2), or (Aii) the lysates were immunoprecipitated with α-Flag and immunoblotted with α-Flag. (Ai-ii) Peptide sequences in lanes 1 to 8 were as follows: (1,3) phosphorylated ITIM peptide (biotin SGSGDEELHpYASLNF-OH); (2,4) unphosphorylated ITIM peptide (biotin SGSGDEELHYASLNF-OH); (5) phosphorylated ITSM peptide (biotin SGSGDTSTEpYSEVRT-OH); (6) unphosphorylated ITSM peptide (biotin SGSGDTSTEYSEVRT-OH); (7) control peptide (biotin SGSGGHDGLYQGLST-OH); and (8) positive SOCS3 control (IP α-Flag). (B) Signal intensity of SOCS3 levels pulled down by pY ITIM and pY ITSM peptides were normalized to SOCS3 expression levels and are illustrated as a graph.
CD33 and SOCS3 interaction. (A) 293T cells were transfected with 2 μg SOCS3 pME18S-Flag. (Ai) Lysates were coprecipitated with appropriate CD33 peptide and immunoblotted with α-Flag (M2), or (Aii) the lysates were immunoprecipitated with α-Flag and immunoblotted with α-Flag. (Ai-ii) Peptide sequences in lanes 1 to 8 were as follows: (1,3) phosphorylated ITIM peptide (biotin SGSGDEELHpYASLNF-OH); (2,4) unphosphorylated ITIM peptide (biotin SGSGDEELHYASLNF-OH); (5) phosphorylated ITSM peptide (biotin SGSGDTSTEpYSEVRT-OH); (6) unphosphorylated ITSM peptide (biotin SGSGDTSTEYSEVRT-OH); (7) control peptide (biotin SGSGGHDGLYQGLST-OH); and (8) positive SOCS3 control (IP α-Flag). (B) Signal intensity of SOCS3 levels pulled down by pY ITIM and pY ITSM peptides were normalized to SOCS3 expression levels and are illustrated as a graph.
Tyrosine motifs are required for degradation of CD33 following cross-linking
Cross-linking CD33 is thought to result in activation via phosphorylation of the cytoplasmic ITIM and ITSM tyrosines.8 CD33 was cross-linked in CD33WT and CD33Y340F/Y358F stable Ba/F3 cell lines in order to determine the importance of the tyrosine residues. CD33WT and CD33Y340F/Y358F stable Ba/F3 cells (1 × 107 cells per point) were incubated with α-CD33 (IC7/1) for 20 minutes with or without GAM for 30 minutes. Cells were pretreated for 30 minutes with and without the proteasome inhibitors MG132 and LLNL to determine whether proteasomal degradation of CD33 occurred. The cells were lysed and immunoprecipitated with α-Flag (M2).
Cross-linking for 30 minutes resulted in CD33WT degradation (Figure 2Ai, lane 5), while cross-linking had little effect on CD33Y340F/Y358F (lane 9). This degradation was partially restored by pretreatment with the proteasome inhibitors MG132 and LLNL (Figure 2Ai, lane 14), suggesting that after activation, CD33 may be targeted to the proteasome for degradation in a tyrosine-dependent manner. Immunoblotting with α-STAT5B confirmed equal loading in each lane (Figure 2Aii).
Tyrosine motifs are important for degradation of CD33 following cross-linking. (A) CD33WT and CD33Y340F/Y358F stable Ba/F3 cells were incubated with α-CD33 (IC7/1) for 20 minutes and cross-linked with GAM for 30 minutes. The cells were pretreated with and without MG132 (0.5 μM) and LLNL (0.5 μM) for 30 minutes. Lysates were immunoprecipitated with α-Flag and immunoblotted with α-Flag (Ai). WCL was immunoblotted with α-STAT5B as a loading control (Aii). (B) CD33WT and CD33Y340F/Y358F stable Ba/F3 cells were incubated with α-CD33 (IC7/1) for 20 minutes and cross-linked with goat antimouse for 5 minutes. Samples were incubated with PE-conjugated α-CD33 or isotype control for 15 minutes and analyzed by FACS. In the bottom panel, about 70% of the Ba/F3 cells are stably infected with the expression construct for CD33Y340F/Y358F. As a result, the peak in the lower-left corner represents the cells negative for CD33Y340F/Y358F expression.
Tyrosine motifs are important for degradation of CD33 following cross-linking. (A) CD33WT and CD33Y340F/Y358F stable Ba/F3 cells were incubated with α-CD33 (IC7/1) for 20 minutes and cross-linked with GAM for 30 minutes. The cells were pretreated with and without MG132 (0.5 μM) and LLNL (0.5 μM) for 30 minutes. Lysates were immunoprecipitated with α-Flag and immunoblotted with α-Flag (Ai). WCL was immunoblotted with α-STAT5B as a loading control (Aii). (B) CD33WT and CD33Y340F/Y358F stable Ba/F3 cells were incubated with α-CD33 (IC7/1) for 20 minutes and cross-linked with goat antimouse for 5 minutes. Samples were incubated with PE-conjugated α-CD33 or isotype control for 15 minutes and analyzed by FACS. In the bottom panel, about 70% of the Ba/F3 cells are stably infected with the expression construct for CD33Y340F/Y358F. As a result, the peak in the lower-left corner represents the cells negative for CD33Y340F/Y358F expression.
To determine whether the tyrosine motifs were important for the internalization of CD33 following activation, CD33WT and CD33Y340F/Y358F Ba/F3 cells (1 × 106 cells per point) were incubated with α-CD33 (IC7/1) for 20 minutes and GAM for 5 minutes. This was followed by FACS analysis to determine surface CD33 levels after incubation with PE-conjugated α-CD33/isotype control. Cross-linking CD33 for 5 minutes resulted in the immediate down-regulation of surface expression in CD33WT and CD33Y340F/Y358F Ba/F3 cells (Figure 2B). However, only CD33WT was proteasomally degraded as shown by the immunoblot analysis. These data suggest that the tyrosine motifs are not important for the internalization of CD33; however, they appear to play an important role in its subsequent degradation.
SOCS3 accelerates degradation of CD33
Like F-box proteins, SOCS proteins play a pivotal role in facilitating ubiquitination and proteasomal degradation of protein substrates. SOCS3 has been suggested to target IRS1 and IRS2 to the 26S proteasome for degradation.21 Since SOCS3 can clearly associate with CD33, we aimed to establish whether SOCS3 can target CD33 for degradation.
Since the Ba/F3 cells grown in IL-3 constitutively express SOCS3, its effect on CD33 was investigated in 293T cells transiently transfected with either EV, CD33WT, or CD33Y340F pME18S Flag in the presence and absence of Flag-tagged SOCS3. The cells were treated with the protein tyrosine phosphatase inhibitor pervanadate for 15 minutes. Pervanadate stimulation resulted in marked CD33WT tyrosine phosphorylation (Figure 3Aii, lanes 2 and 5), and as expected CD33WT associated with SHP-2 (Figure 3Aiv, lanes 2 and 5). However, no phosphorylation of the Y340F mutant was observed (Figure 3Aii, lanes 3 and 6), suggesting that phosphorylation of CD33 required an intact ITIM. Of interest, in the presence of SOCS3, expression and tyrosine phosphorylation of CD33WT were significantly reduced (Figure 3Ai-ii, lane 5). Tyrosine phosphorylation of CD33WT correlated with protein degradation (Figure 3Ai, lane 2). This degradation was accelerated in the presence of SOCS3 (Figure 3Ai, lane 5), and simultaneous turnover of SOCS3 occurred (Figure 3Aiii, lane 5).
SOCS3 accelerates proteasomal degradation of CD33. (A) 293T cells were transiently transfected with 2 μg EV, CD33WT, and CD33Y340F in the presence and absence of 2 μg SOCS3 and treated with pervanadate (1.4 mM) for 15 minutes. Lysates were immunoprecipitated with α-CD33 (My9) and immunoblotted with either (Ai) α-Flag, (Aii) α-phospho-Tyr (PY20), or (Aiv) α-SHP-2. (Aiii) Lysates were also immunoprecipitated with α-SOCS3 (008) and immunoblotted with α-Flag. (Av) WCL was immunoblotted with α-STAT5B as a loading control. (B-C) 293T cells were transiently transfected with 2 μg CD33WT or CD33Y340F/Y358F in the presence and absence of SOCS3 and treated with cycloheximide for 30 minutes prior to pervanadate treatment for 10, 30, and 60 minutes. (B-C) Lysates were immunoprecipitated with α-CD33 and immunoblotted with (Bi,Ci) α-Flag or (Bii,Cii) α-Phospho-Tyr. (Biii,Ciii) WCL was immunoblotted with α-Flag. (D) Stable CD33WT Tet-regulated SOCS3 Ba/F3 cells were incubated with α-CD33 (IC7/1) for 20 minutes and cross-linked with GAM for 5, 10, and 15 minutes. Lysates were immunoprecipitated with α-Flag and immunoblotted with (Di-ii) α-Flag. (Diii) WCL was immunoblotted with α-STAT5B as a loading control.
SOCS3 accelerates proteasomal degradation of CD33. (A) 293T cells were transiently transfected with 2 μg EV, CD33WT, and CD33Y340F in the presence and absence of 2 μg SOCS3 and treated with pervanadate (1.4 mM) for 15 minutes. Lysates were immunoprecipitated with α-CD33 (My9) and immunoblotted with either (Ai) α-Flag, (Aii) α-phospho-Tyr (PY20), or (Aiv) α-SHP-2. (Aiii) Lysates were also immunoprecipitated with α-SOCS3 (008) and immunoblotted with α-Flag. (Av) WCL was immunoblotted with α-STAT5B as a loading control. (B-C) 293T cells were transiently transfected with 2 μg CD33WT or CD33Y340F/Y358F in the presence and absence of SOCS3 and treated with cycloheximide for 30 minutes prior to pervanadate treatment for 10, 30, and 60 minutes. (B-C) Lysates were immunoprecipitated with α-CD33 and immunoblotted with (Bi,Ci) α-Flag or (Bii,Cii) α-Phospho-Tyr. (Biii,Ciii) WCL was immunoblotted with α-Flag. (D) Stable CD33WT Tet-regulated SOCS3 Ba/F3 cells were incubated with α-CD33 (IC7/1) for 20 minutes and cross-linked with GAM for 5, 10, and 15 minutes. Lysates were immunoprecipitated with α-Flag and immunoblotted with (Di-ii) α-Flag. (Diii) WCL was immunoblotted with α-STAT5B as a loading control.
To further clarify the effect of SOCS3 on CD33 degradation, we examined the half-life of CD33 upon phosphorylation, in the presence and absence of SOCS3. 293T cells were transiently transfected with either EV, CD33WT, or CD33Y340F/Y358F with or without SOCS3. The cells were pretreated with cycloheximide and pervanadate for the periods indicated. The cells were lysed and treated as previously described.
Tyrosine phosphorylation of CD33WT was evident after 10 minutes of pervanadate treatment, significantly enhanced after 30 minutes, and undetectable after 60 minutes (Figure 3Bii, lanes 4-6). Markedly less CD33WT expression and phosphorylation were observed in the presence of SOCS3 (Figure 3Bi-ii, lanes 8-10). Remarkably, SOCS3 expression was lost rapidly in correlation with CD33WT (Figure 3Biii, lanes 8-10). In comparison, the expression of CD33Y340F/Y358F mutant did not fluctuate in the presence or absence of SOCS3 (Figure 3Ci, lanes 3-10), and SOCS3 levels remained the same (Figure 3Ciii, lanes 8-10). This suggests that mutation of the tyrosine residues within the ITIM and ITSM prevents SOCS3 binding via its SH2 domain, thereby blocking the targeting of CD33 and SOCS3 for proteasomal degradation.
In order to further investigate the effect of SOCS3 on the degradation of CD33, the more physiologically relevant system of receptor cross-linking was used in stable CD33WT tetracycline (Tet)–regulated SOCS3 Ba/F3 cells. SOCS3 was present only in the absence of Tet. CD33WT stable Ba/F3-SOCS3 cells (1 × 107 cells per point) were incubated with α-CD33 (IC7/1) for 20 minutes with or without GAM for the times shown. The cells were lysed and immunoprecipitated with α-Flag.
Cross-linking for 5, 10, and 15 minutes in the presence of overexpressed SOCS3 resulted in CD33 degradation in a time-dependent manner (Figure 3Di, lanes 14-16). This degradation was not observed in the presence of very low levels of SOCS3 (Figure 3Di, lanes 6-8). SOCS3 degradation occurred in correlation with CD33 following its cross-linking (Figure 3Dii, lanes 14-16). This is the first time that SOCS3 has been shown to undergo degradation while in complex with another protein and would suggest that, after activation, SOCS3 targets CD33 for degradation and that both proteins are degraded concomitantly.
CD33 is degraded by SOCS3 and the ECS E3 ligase complex
Previous studies have established that the SOCS box of SOCS3 interacts with Elongin B/C, Cullin 5, and Rbx1/2 to form an active E3 ligase, which targets substrates for degradation via the ubiquitin proteasomal pathway.22,23 To determine whether the E3 ligase complex was required for SOCS3-mediated CD33 degradation during cross-linking, 293T cells were transiently transfected with EV and CD33WT with the E3 ligase complex (Elongin B/C, Cul5, and Rbx1) in the presence and absence of SOCS3. The cells were treated with and without proteasome inhibitors (MG132 and LLNL) for 30 minutes prior to incubation with α-CD33 (IC7/1) for 20 minutes with or without GAM for 30 minutes. In the absence of the E3 ligase complex, degradation of CD33 or SOCS3 was not observed following cross-linking in 293T cells (Figure 4A).
E3 ligase complex is required for proteasomal degradation of CD33 and SOCS3. (A) 293T cells were transiently transfected with 2 μg EV and CD33WT in the presence and absence of SOCS3. Cells were incubated with α-CD33 (IC7/1) for 20 minutes and cross-linked with GAM for 30 minutes. Lysates were immunoprecipitated with (Ai-ii) α-Flag and immunoblotted with α-Flag. (B) 293T cells were transiently transfected with 2 μg EV and CD33WT with E3 ligase complex (Elongin B/C, Cul5 and Rbx1) in the presence and absence of SOCS3. Cells were incubated with α-CD33 (IC7/1) for 20 minutes and cross-linked with GAM for 30 minutes. The cells were pretreated for 30 minutes with and without MG132 and LLNL. Lysates were immunoprecipitated with α-Flag and immunoblotted with (Bi-iii) α-Flag and with (Biv) α-Myc (9E10). (Bv) WCL was immunoblotted with α-His.
E3 ligase complex is required for proteasomal degradation of CD33 and SOCS3. (A) 293T cells were transiently transfected with 2 μg EV and CD33WT in the presence and absence of SOCS3. Cells were incubated with α-CD33 (IC7/1) for 20 minutes and cross-linked with GAM for 30 minutes. Lysates were immunoprecipitated with (Ai-ii) α-Flag and immunoblotted with α-Flag. (B) 293T cells were transiently transfected with 2 μg EV and CD33WT with E3 ligase complex (Elongin B/C, Cul5 and Rbx1) in the presence and absence of SOCS3. Cells were incubated with α-CD33 (IC7/1) for 20 minutes and cross-linked with GAM for 30 minutes. The cells were pretreated for 30 minutes with and without MG132 and LLNL. Lysates were immunoprecipitated with α-Flag and immunoblotted with (Bi-iii) α-Flag and with (Biv) α-Myc (9E10). (Bv) WCL was immunoblotted with α-His.
Cross-linking for 30 minutes in the presence of the E3 ligase complex and SOCS3 resulted in significant CD33 degradation (Figure 4Bi, lane 9) compared with the absence of SOCS3 (lane 5). As shown previously in Figure 3D, cross-linking for 30 minutes in the presence of the E3 ligase complex resulted in SOCS3 degradation in correlation with CD33 (Figure 3Dii, lane 9). This degradation was rescued by pretreatment with the proteasome inhibitors MG132 and LLNL (Figure 3Di, lanes 14 and 18; 3Dii, lane 18). This result indicates that cross-linking CD33 can result in the loss of both CD33 and SOCS3 in a proteasome-dependent manner, and the E3 ligase complex is necessary for this degradation to occur. Our data imply that SOCS3 binds to CD33 (Figure 1) via its SH2 domain, while its SOCS box interacts with the ECS E3 ligase complex containing Elongin BC/Cullin-5/Rbx-1 proteins,13 resulting in the proteasomal degradation of CD33 and SOCS3.
Degradation of CD33 by SOCS3 in PBMCs
An experiment was performed to determine the effect of SOCS3, induced during an inflammatory response, on CD33 expression levels in an endogenous setting. LPS has previously been shown to induce SOCS3 expression.14 The adherent monolayer from human PBMCs was treated with LPS for 2 hours to induce SOCS3 and cross-linked with α-CD33 (IC7/1) for 1 hour with or without GAM for 2 hours. The cells were lysed and immunoprecipitated with α-CD33 (My9) and α-SOCS3 (008). SOCS3 was induced by LPS (Figure 5Aii, lanes 3-4) and cross-linking CD33 in the presence of SOCS3 resulted in the degradation of both CD33 and SOCS3 (Figure 5Ai-ii, lane 4), while no effect was observed in the absence of SOCS3 (Figure 5Ai, lane 2). The experiment was repeated 3 times and gave consistent results. A similar experiment was performed in THP-1 cells and degradation was observed following CD33 cross-linking (data not shown). This suggests that during the early stages of an infection, SOCS3 can target CD33 for degradation, thereby enhancing the inflammatory response.
Endogenous degradation of CD33 and SOCS3. (A) The adherent monolayer from PBMCs was treated for 2 hours with LPS (100 ng/mL), incubated with α-CD33 (IC7/1) for 1 hour, and cross-linked with GAM for 2 hours. (Ai) Lysates were immunoprecipitated with α-CD33 and immunoblotted with α-CD33 (IC71/3D6). (Aii) Lysates were immunoprecipitated with α-SOCS3 and immunoblotted with α-SOCS3 (M20). (Aiii) WCL was immunoblotted with α-STAT5B as a loading control. (B) Signal intensities of CD33 and SOCS3 expression levels were normalized to signal intensity of STAT5B and are illustrated as graphs.
Endogenous degradation of CD33 and SOCS3. (A) The adherent monolayer from PBMCs was treated for 2 hours with LPS (100 ng/mL), incubated with α-CD33 (IC7/1) for 1 hour, and cross-linked with GAM for 2 hours. (Ai) Lysates were immunoprecipitated with α-CD33 and immunoblotted with α-CD33 (IC71/3D6). (Aii) Lysates were immunoprecipitated with α-SOCS3 and immunoblotted with α-SOCS3 (M20). (Aiii) WCL was immunoblotted with α-STAT5B as a loading control. (B) Signal intensities of CD33 and SOCS3 expression levels were normalized to signal intensity of STAT5B and are illustrated as graphs.
SOCS3 inhibits the effect of CD33 engagement on cytokine-induced proliferation
Cross-linking CD33 has previously been shown to inhibit proliferation of chronic and acute myeloid leukemias.9,10 It has also been reported that CD33 has constitutive repressor activity on human monocytes, as siRNA depletion of CD33 resulted in increased cytokine production.24 Here, we investigated whether engagement of CD33 could inhibit proliferation of the IL-3–dependent Ba/F3 cell line and the effect of SOCS3 on this. Stable CD33WT tetracycline-regulated SOCS3 Ba/F3 cells were seeded in the presence and absence of Tet. SOCS3 is an inhibitor of IL-3 signaling,12 so we performed a trypan exclusion assay to compare the proliferation of cells in the absence and presence of SOCS3. The results in Figure 6A demonstrated that CD33WT stable Ba/F3-SOCS3 cells in the absence of SOCS3 proliferated faster than the same cells in the presence of SOCS3 after 48 hours (P < .005). Results were taken in triplicate and were representative of 3 separate experiments. These results agree with published data indicating that SOCS3 inhibits IL-3 signaling, which must be taken into account for Figure 6C-D. Tetracycline regulation of SOCS3 expression was confirmed by immunoblotting (Figure 6B).
SOCS3 blocks the inhibitory effect of CD33 on proliferation. (A) CD33WT stable Ba/F3-SOCS3 cells seeded at a density of 1 × 105 cells/mL were cultured in the presence or absence of tetracycline (4 μg/mL). Trypan blue exclusion assay determined the viability of the cells at 24-hour intervals. **P < .005 Student t test (B) CD33WT stable Ba/F3-SOCS3 cells were cultured in the presence or absence of tetracycline for 48 hours. They were lysed, immunoprecipitated, and immunoblotted with α-Flag. (C) CD33WT stable Ba/F3-SOCS3 cells seeded at a density of 1 × 105 cells/mL were cultured in the presence or absence of tetracycline. They were incubated with α-CD33 (IC7/1) and cross-linked with GAM. Fresh antibody was added at 24 hours. Trypan blue exclusion assay determined the viability of the cells at 24-hour intervals. **P < .005. (D) CD33WT and CD33Y340F/Y358F stable Ba/F3-SOCS3 cells seeded at a density of 1 × 105 cells/mL were cultured in the presence or absence of tetracycline. They were incubated with α-CD33 (IC7/1) and cross-linked with GAM. Fresh antibody was added at 24 hours. MTT (10 μL; 0.5 mg/mL) was added to 100 μL cell culture and incubated at 37°C for 2 hours at 24-hour intervals. The cells were centrifuged at 235g for 3 minutes and the supernatant was removed. DMSO (200 μL) was added and incubated for 10 minutes at 37°C. Plates were read at OD570 using a microplate reader. *P < .05. Error bars represent SD from triplicate samples.
SOCS3 blocks the inhibitory effect of CD33 on proliferation. (A) CD33WT stable Ba/F3-SOCS3 cells seeded at a density of 1 × 105 cells/mL were cultured in the presence or absence of tetracycline (4 μg/mL). Trypan blue exclusion assay determined the viability of the cells at 24-hour intervals. **P < .005 Student t test (B) CD33WT stable Ba/F3-SOCS3 cells were cultured in the presence or absence of tetracycline for 48 hours. They were lysed, immunoprecipitated, and immunoblotted with α-Flag. (C) CD33WT stable Ba/F3-SOCS3 cells seeded at a density of 1 × 105 cells/mL were cultured in the presence or absence of tetracycline. They were incubated with α-CD33 (IC7/1) and cross-linked with GAM. Fresh antibody was added at 24 hours. Trypan blue exclusion assay determined the viability of the cells at 24-hour intervals. **P < .005. (D) CD33WT and CD33Y340F/Y358F stable Ba/F3-SOCS3 cells seeded at a density of 1 × 105 cells/mL were cultured in the presence or absence of tetracycline. They were incubated with α-CD33 (IC7/1) and cross-linked with GAM. Fresh antibody was added at 24 hours. MTT (10 μL; 0.5 mg/mL) was added to 100 μL cell culture and incubated at 37°C for 2 hours at 24-hour intervals. The cells were centrifuged at 235g for 3 minutes and the supernatant was removed. DMSO (200 μL) was added and incubated for 10 minutes at 37°C. Plates were read at OD570 using a microplate reader. *P < .05. Error bars represent SD from triplicate samples.
To examine the effect of SOCS3 on CD33-mediated responses to cytokine-induced proliferation, a trypan blue exclusion assay was set up using CD33WT stable Ba/F3-SOCS3 cells in the presence and absence of Tet. The cells were cross-linked with and without α-CD33 (IC7/1) and GAM whole molecule as described in “Materials and methods.” F(ab′)2 was also used to ensure that the cross-linking effect was not due to the Fc portion of the cross-linking antibody and similar results were obtained (data not shown). Fresh antibody was added every 24 hours and samples were analyzed. Viable cells were counted using the trypan blue exclusion assay in triplicate, and the results demonstrate that proliferation of CD33WT stable Ba/F3-SOCS3 cells in the absence of SOCS3 was significantly inhibited by cross-linking CD33 compared with cells treated with GAM after 48 hours (P < .005) (Figure 6C). Cross-linking CD33 in CD33WT stable Ba/F3-SOCS3 cells in the presence of SOCS3 did not have a significant effect compared with cells treated with GAM. These results clearly demonstrate that engagement of CD33 in the absence of SOCS3 can inhibit cytokine-induced proliferation following IL-3 stimulation, while engagement of CD33 in the presence of SOCS3 disrupts this effect.
To confirm this observation, cytokine-induced proliferation was also examined using the MTT assay. CD33WT and CD33Y340F/Y358F stable Ba/F3-SOCS3 cells were cultured in the presence or absence of Tet and cross-linked as described. As shown before, CD33WT cells in the absence of SOCS3 showed a significant inhibition of cytokine-induced proliferation (P <.05), while SOCS3 blocked this effect (Figure 6D). CD33Y340F/Y358F cells showed no significant effect on cytokine-induced proliferation either in the absence or presence of SOCS3, indicating a role for the tyrosine motifs of CD33 in inhibition of IL-3–induced proliferation. Signaling through CD33 inhibits cytokine responses, however, cytokine-induced SOCS3 can target CD33 for proteasomal degradation, thereby blocking its inhibitory effect.
Discussion
To date, SOCS3 and other SOCSs have solely been implicated in the regulation of cytokine or TLR responses, and our data are the first to associate SOCS3 with the regulation of inhibitory receptors. The findings presented in this study demonstrate that SOCS3 can bind to phosphorylated CD33 and enhance its proteasomal degradation, with the concurrent loss of SOCS3. Moreover, CD33 can normally inhibit cytokine-induced proliferation, but during an inflammatory response, SOCS3 can block the inhibitory effect of CD33 on cytokine signaling by enhancing receptor degradation. This implies 2 roles for SOCS3 involving the negative regulation of cytokine pathways and a new role in modulating inhibitory receptors during inflammation. For example, SOCS3 is constitutively present in activated T cells during a TH2 response25 and for up to 24 hours following LPS stimulation26 ; therefore, this suggests that SOCS3 may be proinflammatory in these circumstances, by overriding the inhibitory response from ITIM-bearing receptors.
SOCS3 predominantly associates with the phosphorylated ITIM of CD33. The SH2 domain of SOCS3 displays marked homology with the N-terminal SH2 domain of SHP-1 or SHP-2, and these proteins competitively bind to the same pY residues of the EpoR, gp130, and the leptin receptor.17,27,28 This is analogous to the findings that SAP and EAT-2 share 42% homology with the SHP-2 SH2 domain and bind competitively to the same motif on various receptors. Binding of SAP to 2B4 in natural killer (NK) cells and CD150 in T cells prevented their association with SHP-2.29,30 Since SOCS3 can bind to the ITIM of CD33, this suggests that competitive binding may occur between SOCS3 and SHP-1/2 to this motif.
For paired receptor systems such as KIRs, inhibitory receptors contain intracellular ITIMs, while their activatory counterparts associate with ITAM-containing adaptor proteins such as DAP12.31 These receptors are essential to commence, amplify, and then cease immune responses.32 Siglecs recognize sialic acids, which are ubiquitously expressed endogenous molecules.4 They do not have activatory counterparts, therefore, an immune cell expressing CD33-related Siglecs normally displays continuous repressor activity via ITIMs24,33 However, murine Siglec H, a DAP12-coupled Siglec, has recently been shown to inhibit cytokine production in an ITIM-independent manner.34 To date, the mechanisms by which the inhibitory activity of CD33 is regulated have not been identified.
SOCS proteins have previously been implicated in facilitating ubiquitination and proteasomal degradation of signaling intermediates. SOCS1 accelerates the ubiquitination and degradation of Vav, TEL-JAK2, IRS1/2, FAK, and JAK2.11 This mirrors SOCS1-null studies showing that SOCS1 strongly and specifically regulates IFNγ responses, as IFNγ−/− SOCS1−/− mice are normal, whereas SOCS1−/− mice succumb to massive systemic inflammation at 3 weeks after birth.35 SOCS3 has been shown to target IRS1/2 and FAK for proteasomal degradation.21,36 The most compelling evidence comes from murine knock-out studies showing that SOCS3 is essential for the regulation of ITIM-bearing receptors such as gp130 and leptin receptor.37-40
Our findings demonstrated that activation or tyrosine phosphorylation of CD33WT resulted in degradation that was accelerated by SOCS3 via the 26S proteasome. Various SOCS-box and F-box proteins have previously been shown to undergo degradation in complex with their associated targets via the 26S proteasome. For example, human immunodeficiency virus 1 (HIV-1) viral infectivity factor (Vif) protein forms an SCF-like E3 ubiquitin ligase that targets APOBEC3G for proteasomal degradation. Vif is ubiquitinated by the same E3 as its target APOBEC3G, which is reminiscent of F-box proteins that are autoubiquitinated within their own Skp1-Cul1-F-box (SCF) protein complex.41,42 Since the E3 ligase complex enhanced the degradation of CD33 and SOCS3, this result implies the formation of an Elongin B/C-Cul2/Cul5-SOCS-box (ECS) protein complex with CD33. It would appear that the SH2 domain of SOCS3 interacts with the pITIM of CD33, while its SOCS box interacts with the ECS Elongin B/C, and Cullin-5 and Rbx1/2.13,23 Since CD33 is expressed on myeloid cells43 and SOCS3 is induced by proinflammatory cytokines and LPS in these cells,14 the degradation of CD33 by SOCS3 provides a mechanism to enhance the acute inflammatory response.
Decreased expression of CD33 by siRNA treatment or removal of the CD33 ligand sialic acid resulted in increased cytokine production, indicating that CD33 has repressor activity against cytokine signaling.24 It is reasonable to suggest that SOCS3 can function to overcome this inhibitory signaling to enhance the cytokine response. Cross-linking CD33 on chronic and acute myeloid leukemia cell lines hampers cell proliferation,9,10 and CD33, Siglec 8, and Siglec 9 engagement has previously been shown to result in apoptosis of leukemic cells, eosinophils, and neutrophils, respectively.10,44,45 We have shown that cross-linking CD33 can result in inhibition of cytokine-induced proliferation; however, our investigations indicated that this was not due to the induction of apoptotic cell death (data not shown). SIRP1α can inhibit the proliferation of cells induced by hormones and growth factors via protein tyrosine kinase receptors.46 It has been proposed that this inhibition occurs via an interaction with the tyrosine phosphatases SHP-1/2 leading to a reduction in cell activation. It is therefore possible that CD33-induced inhibition of proliferation may occur via an interaction with SHP-1/2 resulting in attenuated proliferation signals.
SOCS3 has been implicated in the regulation of inflammatory and autoimmune diseases such as inflammatory bowel disease (IBD) and rheumatoid arthritis (RA).47 CD33 is a marker of acute myeloid leukemia (AML), and our findings may be important in describing a mechanism of regulation of CD33 for therapeutic benefits. It would be interesting to examine the possible role of proteasome-mediated degradation of the SOCS3/CD33 complex in the development or treatment of these diseases.
In summary, our data indicate that SOCS3 can bind to the phosphorylated ITIM of CD33, resulting in the proteasomal degradation of both CD33 and SOCS3. Furthermore, SOCS3 can block the inhibitory effect of CD33 on cytokine-induced proliferation, suggesting an intricate mechanism of regulation during an inflammatory response. This may have important clinical implications in the treatment of AML with α-CD33 therapy.
Authorship
Contribution: S.J.O. and N.M.M. performed the research and wrote the paper; J.E., J.F.B., and C.J.S. advised on the research and edited the paper; D.W.M. conceptualized the research and edited the paper; J.A.J. conceptualized and designed the research and edited the paper.
Conflict-of-interest disclosure: The authors declare no competing financial interests. S.J.O. and N.M.M. contributed equally to this study.
Correspondence: James A. Johnston, Infection and Immunity, Centre for Cancer Research and Cell Biology, 2nd Floor, Whitla Medical Building, 97 Lisburn Rd, Belfast, Northern Ireland, BT9 7BL; e-mail: jim.johnston@qub.ac.uk.
An Inside Blood analysis of this article appears at the front of this issue.
The publication costs of this article were defrayed in part by page charge payment. Therefore, and solely to indicate this fact, this article is hereby marked “advertisement” in accordance with 18 USC section 1734.
Acknowledgments
We would like to thank Dr W. Blattler from Immunogen for kindly providing the CD33 antibody (My9); Dr J. J. O'Shea for the STAT5B antibody; Dr J. W. Conaway for the Rbx1 and Cul5 constructs; Dr P. R. Crocker for reviewing this paper; and Mr Gerry Clarke for sorting the stable cell lines created during this study.
This work was supported by grants from the Biotechnology and Biological Sciences Research Council (81/C17863), the Welcome Trust (07034/Z/03/Z), and the Research and Development Office at HPSS (RRG9.6 RSG/1960/02).






This feature is available to Subscribers Only
Sign In or Create an Account Close Modal