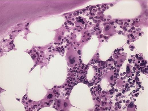
Trephine bone marrow biopsy has a characteristic appearance with increased numbers of megakaryocytes with hypolobulated nuclei. The number of blasts in the bone marrow is below 5%. A hematoxylin and eosin stain was used here.
Many Blood Work images are provided by the ASH IMAGE BANK, a reference and teaching tool that is continually updated with new atlas images and images of case studies. For more information or to contribute to the Image Bank, visit www.ashimagebank.org.
© 2007 by The American Society of Hematology
2007

This feature is available to Subscribers Only
Sign In or Create an Account Close Modal