Abstract
Abstract 4292
Radiation induced cavernous hemangioma (RICH) is a late complication of cerebral radiation therapy. An increased number of long term surviving blood and marrow transplantation (BMT) recipients have recovered from their primary disease but are at risk of RICH.
We investigated 66 patients who underwent BMT during childhood or adolescence. We evaluated RICH numbers, size, location and their annual changes. Furthermore we developed scoring system of RICH in order to classify severity. MRI of the brain was performed annually for 5 to 27 years after BMT, including gradient-echo sequence (T2* weighted image). RICH SCORE 1-4 is designated as mild, 5-9 as moderate and 10 or more as severe.
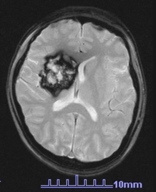
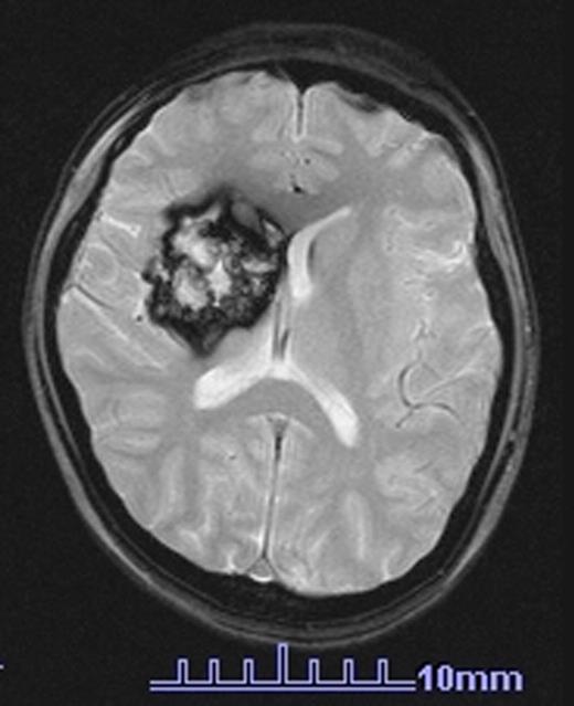
Twenty-five patients (37.9%) was diagnosed RICH. The age at the time of the diagnosis was 11-40 years old (median 27 years old). The age at the time of BMT was 1-22 years old (median 9 years old). The period from BMT to diagnosis was 10-24 years (median 16 years). All cases received TBI as conditioning of BMT and/or cranial radiation (CR) prior to BMT as treatment of primary disease. RICH was found in 25/48 (52%) who received TBI and/or CR, and was not found in any of 18 patients without radiation therapy to the brain. Total dose to the brain was 10-36 Gy. Clinical manifestations were present only in four cases. RICH SCORE ranged 1-18 points (median 4 points). Small RICHs tended to be recognized only by T2* weighted image, but not by routine imaging methods. Classification of the severity was mild in 13 patients, moderate in 8 patients and severe in 4 patients. Severity was correlated with higher radiation dose and/or with younger ages at transplantation. RICH SCORE increased yearly in 7 of 25 patients. One case developed giant RICH more than 40mm as shown in the attached image.
High incidence of RICH was found in long term survivors who underwent BMT with radiation therapy. Since all of those patients did not show RICH before BMT and all positive patients had a history of radiation therapy to the brain, the cause of RICH in those patients was considered to be radiation. Careful and long term evaluation with MRI including T2* weighted image is necessary in BMT recipients who received radiation therapy prior and/or during BMT.
Ando:Alexion: Research Funding.
Author notes
Asterisk with author names denotes non-ASH members.

This feature is available to Subscribers Only
Sign In or Create an Account Close Modal