Abstract
Abstract 5086
two fluid compartments, amniotic and coelomic cavity, surrounded the developing embryo during the first trimester of pregnancy. This opens the possibility of functional studies of both fluid compartments by ultrasound imaging and ultrasound-guided puncture. The composition of amniotic fluid has been studied extensively since the advent of second-trimester amniocentesis. Instead, while some studies about biochemical composition of coelomic cavity have been reported and reviewed by Santolaya-Forgas (2006), our knowledge about cellular composition of this compartment is still limited.
to study cellular pattern of human coelomic fluids sampled from 6.6 to 10 weeks of gestation.
women seeking for voluntary abortion were advised to be included in this study. Coelomic fluid was sampled by ultrasound guided transvaginal puncture. The first sample (0.2ml) was discarded. Then aspirated 1-2ml of coelomic fluid were used for analysis. Coelomic fluid cells were pelletted and divided into two aliquots. One aliquot was underwent to CD45 selection and observed at the inverted microscope. Then coelomic cells were May Grunwald-Giemsa stained and re-analyzed by inverted microscope. Cells from the same sample were also analyzed by quantitative fluorescent-PCR (QF-PCR) and ε- γ- and β globin chains cDNA specific primers RT-PCR, to verify the presence of foetal cells only. Cells from second aliquot were incubated with specific mAbs to detect CD71+ and CD45+ cell lines. Flow cytometry analysis was carried out using forward scatter/ side scatter gating. The study complied with the Declaration of Helsinki. All patients gave written informed consent to the protocol. The institutional review board approved this study.
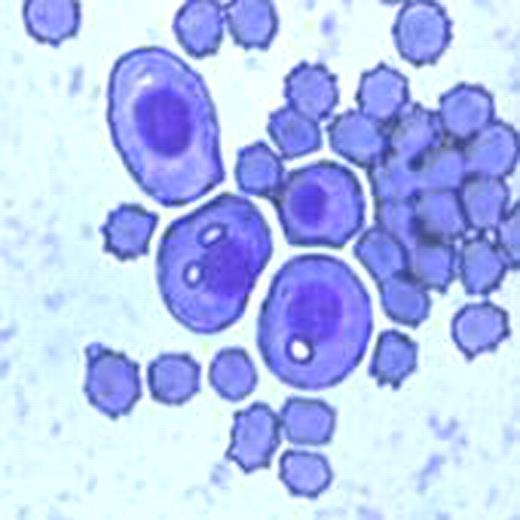
coelomic fluid cells May Grunwald-Giemsa staining analysis showed red cells and few cells with eccentric nuclei and vacuoles. These were very similar to megaloblasts (Fig1). QF-PCR analysis showed that all selected cells were foetal cells, and RT-PCR showed the expression of ε and γ globin mRNAs according to the pregnancy weeks. Flow cytometry analysis, performed by CD71 and CD45 mAbs, showed a cellular clone CD71+/CD45- (Fig2), consistent with the presence of megaloblasts (red cells are CD71 negative).
May Grumwal-Giemsa staining inverted microscope analysis.
Flow cytometry analysis : CD71+/CD45- clone.
presence of erythroid precursors in the coelomic fluid could indicate a cellular traffic between the yolk sac and the coelomic cavity. Thus, the coelomic cavity potentially could be a new way to access the foetus for possible diagnostic and therapeutical interventions.
We would like to thank all women who agreed to participate to this study. This work was supported,partially, by “Stem Cell Project” of Fondazione Roma, Rome (Italy) and by Foundation Franco and Piera Cutino, Palermo (Italy).
No relevant conflicts of interest to declare.
References
Author notes
Asterisk with author names denotes non-ASH members.


This feature is available to Subscribers Only
Sign In or Create an Account Close Modal