In this issue of Blood, Hernandez Mir and colleagues provide the most detailed analysis to date of the glycans on an HEV-expressed ligand (CD34) isolated from a human lymphoid organ, (tonsils), adding to our understanding of how L-selectin mediates lymphocyte homing.
As part of the process of immune surveillance, lymphocytes in the blood migrate (“home”) to secondary lymphoid organs by interacting with and crossing high endothelial venules (HEVs).1 For naive lymphocytes and some memory subpopulations, the multistep recruitment process begins with L-selectin–mediated tethering and rolling of lymphocytes along HEVs. The HEV ligands, which are cognate to L-selectin, are sialomucins, such as CD34, podocalyxin-like protein, endomucin and others. Many of these ligands were either identified or verified with MECA-79, a mAb that blocks lymphocyte binding to lymph node HEVs in mice but also crossreacts with HEVs in many species, including those in human lymphoid organs.2 The collection of sulfated sialomucin ligands carrying the MECA-79 epitope is generally referred to as “PNAd.” Of apparent general importance across species is the 6-sulfo sLex structure (sialyl Lewis X with 6-O-sulfation on GlcNAc), which serves as a recognition determinant on the carbohydrate chains of these ligands.1,3 In mice, we have fairly detailed structural information about the O-glycans on HEV-expressed ligands.4,5 The structure, 6-sulfo sLex, is found as a capping structure on core-2 and “extended” core-1 branches of these O-glycans (see Hernandez Mir et al for detailed structures6 ). MECA-79 recognizes the latter branch with an absolute dependency on 6-O-sulfation.4
To remedy the relative lack of information about human ligands, Hernandez Mir et al undertook a structural analysis of CD34 isolated from human tonsils. They first isolated total CD34 from a detergent lysate of tonsils on a column of immobilized CD34 mAb. Next, to obtain the relevant glycoforms of CD34, they performed affinity chromatography on a high-density L-selectin chimera column. Using mass spectrometry (sometimes in combination with exoglycosidase digestions), the authors were able to make assignments or educated guesses for the structures of the O-glycans associated with the L-selectin binding (ligand glycoforms) versus nonbinding species. Strikingly, the ligand O-glycans are much more complex than those associated with nonbinding CD34, with the fucosylated and sulfated species present only in the former. Consistent with the function-blocking activity of MECA-79, the ligand fraction contains all of the MECA-79 reactivity, verifying the usefulness of this antibody for identifying ligand scaffold proteins. There is a daunting assortment of 5 identifiable O-glycans that terminate with 6-sulfo sLex and probably several others but with structures too complex to decipher. Thus, it appears likely that there is not a single type of chain recognized by L-selectin but several. In total, about 20% of the O-glycans within the ligand glycoforms of CD34 are capped by 6-sulfo sLex. Hernandez Mir et al favor a model in which clustering of the 6-sulfo sLex determinant on the CD34 scaffold enhances the avidity of L-selectin binding.
The relative paucity of the MECA-79 reactive structure among the 5 O-glycans provides a plausible explanation of why this antibody only partially inhibits lymphocyte attachment to tonsillar HEVs.2 Also, the new findings may help to rationalize those endothelial ligands for L-selectin which don't react with MECA-79.5 A comprehensive analysis of ligand function in mouse has uncovered the participation of 6-sulfo sLex on N-glycans of CD34.7 Hernandez Mir et al also identify N-glycans on tonsillar CD34 with “potential” 6-sulfo sLex caps. These N-glycans are dispensable for interaction with the L-selectin affinity column, but further functional analysis is needed before firm conclusions can be drawn.
MECA-79 reactive vessels (frequently with an HEV-like morphology) are induced in a wide variety of chronic inflammatory settings, including rheumatoid arthritis, asthma, ulcerative colitis, heart and kidney allografts, H pylori–induced gastritis, and so on.2,5,8 By analogy with the function of HEVs in lymphoid organs, it is suspected that the L-selectin/PNAd system is involved in the recruitment of lymphocytes into these inflamed tissues. As the recruited lymphocytes might contribute to disease, therapeutic possibilities exist for antibodies that target L-selectin ligands.5 At this juncture, IgG antibodies with reactivity to L-selectin recognition determinants on both O- and N-glycans would seem most desirable.
The study by Hernandez Mir et al illustrates the value (and challenges) of solving the carbohydrate structures of a selectin ligand. With continuing advances in highly sensitive methods for sequencing carbohydrate chains, one can anticipate further illuminating investigations of the ligands for endogenous carbohydrate-binding proteins such as galectins, Siglecs, and C-type lectins.
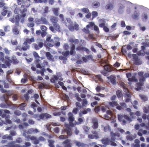
MECA-79 staining of vessels in ulcerative colitis. A section of inflamed colonic mucosa from an ulcerative colitis patient was immunostained with MECA-79 by standard procedures. Signal (brown) is present on vascular endothelial cells in several HEV-like vessels. This result is in agreement with the report of Kobayashi et al.9 The immunohistochemistry was performed by Mark Singer. The paraffin block was provided (UCSF Committee of Human Research approval no. H1060-28 724). This research was supported by NIH grants by Dr Annemieke Van Zante, Department of Pathology, UCSF. R01-GM57411 and R01-GM23547 to S.D.R.
MECA-79 staining of vessels in ulcerative colitis. A section of inflamed colonic mucosa from an ulcerative colitis patient was immunostained with MECA-79 by standard procedures. Signal (brown) is present on vascular endothelial cells in several HEV-like vessels. This result is in agreement with the report of Kobayashi et al.9 The immunohistochemistry was performed by Mark Singer. The paraffin block was provided (UCSF Committee of Human Research approval no. H1060-28 724). This research was supported by NIH grants by Dr Annemieke Van Zante, Department of Pathology, UCSF. R01-GM57411 and R01-GM23547 to S.D.R.
Conflict-of-interest disclosure: The authors declare no competing financial interests. ■
REFERENCES
National Institutes of Health

This feature is available to Subscribers Only
Sign In or Create an Account Close Modal