On page 3851 of the November 1, 2008, issue, the original Figure 2 was erroneously prepared without considering the policies of the journal. Results and conclusions are unaffected by these oversights. A corrected Figure 2 and new legend are shown.
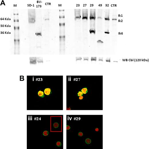
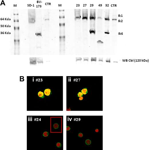
Ikaros protein expression and compartmentalization. (A) Anti-Ikaros Western blots of whole cell lysates from leukemic cell lines (SD-1 and BV-173), leukemic bone marrow mononuclear cells from Ph+ ALL at diagnosis (ID 23, ID 27, ID 29, ID49, and ID 32), and a control Jurkat cell nuclear extract. The positions corresponding to the migration patterns of Ik-1 (∼ 57 kDa), Ik-2 (∼ 47 kDa), and Ik-6 (∼ 37 kDa) proteins are indicated. Anti-Cbl Western blots of the whole cell lysates were performed as loading controls. (B) Expression and subcellular localization of Ikaros proteins in leukemic cells from Ph+ ALL patients. In all images, cells were stained with an anti-Ikaros antibody (green) and with propidium iodide (red) to visualize the DNA. (Bi-ii) Confocal images of leukemic cells from patients expressing full-length Ikaros isoforms show the characteristic multifocal nuclear localization pattern of Ikaros. (Biii-iv) Confocal images of leukemic cells expressing the Ik6 isoform and showing cytoplasmic expression of Ikaros (eg, bright green fluorescent rim surrounding the completely labeled red nuclei). In panel C, the cell within the red box was pasted in from another field on the same slide, and the same patient sample.
Ikaros protein expression and compartmentalization. (A) Anti-Ikaros Western blots of whole cell lysates from leukemic cell lines (SD-1 and BV-173), leukemic bone marrow mononuclear cells from Ph+ ALL at diagnosis (ID 23, ID 27, ID 29, ID49, and ID 32), and a control Jurkat cell nuclear extract. The positions corresponding to the migration patterns of Ik-1 (∼ 57 kDa), Ik-2 (∼ 47 kDa), and Ik-6 (∼ 37 kDa) proteins are indicated. Anti-Cbl Western blots of the whole cell lysates were performed as loading controls. (B) Expression and subcellular localization of Ikaros proteins in leukemic cells from Ph+ ALL patients. In all images, cells were stained with an anti-Ikaros antibody (green) and with propidium iodide (red) to visualize the DNA. (Bi-ii) Confocal images of leukemic cells from patients expressing full-length Ikaros isoforms show the characteristic multifocal nuclear localization pattern of Ikaros. (Biii-iv) Confocal images of leukemic cells expressing the Ik6 isoform and showing cytoplasmic expression of Ikaros (eg, bright green fluorescent rim surrounding the completely labeled red nuclei). In panel C, the cell within the red box was pasted in from another field on the same slide, and the same patient sample.

This feature is available to Subscribers Only
Sign In or Create an Account Close Modal