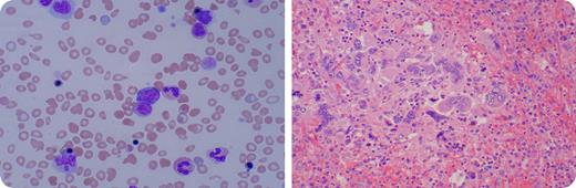
A 64-year-old female with a 10-year history of chronic idiopathic myelofibrosis (CIMF) developed massive splenomegaly. The severe mass effect caused abdominal pain, inferior vena cava compression, lower-extremity edema, and shortness of breath. Refractory to multiple medical treatments including a JAK2 inhibitor, she was to undergo a palliative splenectomy for quality-of-life improvement. At admission she was anemic (hemoglobin 7.3 g/dL), thrombocytopenic (102 × 103/μL), and with leukocytosis (70.0 × 103/μL). As seen in the image (left), numerous circulating nucleated red blood cells, poikilocytosis, anisocytosis, immature granulocytes, and giant platelets were present in her peripheral blood smear.
Surgical pathology received a 32 × 21 × 11 cm3 spleen weighing 3.8 kg. Characteristic of CIMF, significant extramedullary hematopoiesis with dysplastic megakaryocytes was seen as illustrated (right). A liver biopsy obtained at this time also demonstrated extramedullary hematopoiesis. Her postoperative clinical course was complicated with a surgical site infection, but she recovered and was discharged on postoperative day 13. At discharge, although her anemia improved (hemoglobin 8.9 g/dL), her thrombocytopenia (91 × 103/μL) and leukocytosis (67.4 × 103/μL) remained relatively unchanged, and numerous nucleated red blood cells were still present in her peripheral blood smear. Two months later, she improved clinically but similar blood abnormalities persisted. This most likely reflects active hepatic extramedullary hematopoiesis compensating for her fibrotic bone marrow.
A 64-year-old female with a 10-year history of chronic idiopathic myelofibrosis (CIMF) developed massive splenomegaly. The severe mass effect caused abdominal pain, inferior vena cava compression, lower-extremity edema, and shortness of breath. Refractory to multiple medical treatments including a JAK2 inhibitor, she was to undergo a palliative splenectomy for quality-of-life improvement. At admission she was anemic (hemoglobin 7.3 g/dL), thrombocytopenic (102 × 103/μL), and with leukocytosis (70.0 × 103/μL). As seen in the image (left), numerous circulating nucleated red blood cells, poikilocytosis, anisocytosis, immature granulocytes, and giant platelets were present in her peripheral blood smear.
Surgical pathology received a 32 × 21 × 11 cm3 spleen weighing 3.8 kg. Characteristic of CIMF, significant extramedullary hematopoiesis with dysplastic megakaryocytes was seen as illustrated (right). A liver biopsy obtained at this time also demonstrated extramedullary hematopoiesis. Her postoperative clinical course was complicated with a surgical site infection, but she recovered and was discharged on postoperative day 13. At discharge, although her anemia improved (hemoglobin 8.9 g/dL), her thrombocytopenia (91 × 103/μL) and leukocytosis (67.4 × 103/μL) remained relatively unchanged, and numerous nucleated red blood cells were still present in her peripheral blood smear. Two months later, she improved clinically but similar blood abnormalities persisted. This most likely reflects active hepatic extramedullary hematopoiesis compensating for her fibrotic bone marrow.
Many Blood Work images are provided by the ASH IMAGE BANK, a reference and teaching tool that is continually updated with new atlas images and images of case studies. For more information or to contribute to the Image Bank, visit www.ashimagebank.org.

This feature is available to Subscribers Only
Sign In or Create an Account Close Modal