Abstract
This study illustrates the use and efficacy of a combination of pegylated interferon-α (Peg-IFN-α) and ribavirin (RBV), with or without rituximab (RTX), in hepatitis C virus (HCV)–related mixed cryoglobulinemia (MC). Twenty-two patients with HCV-related MC received Peg-IFN-α (2a: 180 μg or 2b: 1.5 μg/kg) weekly plus RBV (1000 or 1200 mg) daily for 48 weeks, and RTX (375 mg/m2) once a week for 1 month followed by two 5-monthly infusions (termed PIRR). Fifteen additional patients received Peg-IFN-α/RBV with the same modalities as the PIRR schedule. Complete response was achieved in 54.5% (12/22) and in 33.3% (5/15) of patients who received PIRR and Peg-IFN-α/RBV, respectively (P < .05). Clearance of HCV RNA and conversion of B-cell populations from oligoclonal to polyclonal in liver, bone marrow, and peripheral blood was maintained for up to 3 years in 10 of 12 (83.3%) and in 2 of 5 (40%) patients receiving PIRR and Peg-IFN-α/RBV, respectively (P < .01). Cryoproteins in 22.7% (5/22) of patients with PIRR and in 33.3% (5/15) with Peg-IFN-α/RBV persisted despite sustained HCV RNA clearance. No response occurred in remaining 5 patients of both groups. PIRR therapy is well tolerated and more effective than Peg-IFN-α/RBV combination in HCV-related MC. Its effect may last for more than 3 years.
Introduction
Hepatitis C virus (HCV) infection is characterized by 2 major immunologic fingerprints, namely escape of immune response in more than 80% of infected patients and production of monoclonal/polyclonal rheumatoid factor (RF) in 20% to 40% of them.1 Immunologic failure results in chronic infection, persistent stimulation of the immune system, and subsequent production of circulating immune complexes, of which almost one third become insoluble when exposed to low temperatures and are associated with the clinical picture of cryoglobulinemia. Single (type I) cryoglobulins consist of a monoclonal immunoglobulin (Ig), whereas mixed cryoglobulins include 2 or more Ig isotypes, with (type II) or without (type III) a monoclonal component.2 Thus, mixed cryoglobulinemia (MC) is an immune complex–mediated systemic vasculitis, typically involving small and medium-sized vessels. Its clinical manifestations, however, occur in a low proportion of HCV-positive patients with cold-precipitable proteins.3
Because HCV infection is detected in more than 90% of patients with MC and is possibly crucial for its occurrence, antiviral therapy with interferon-α (IFN-α) has been strongly recommended after a few studies in which it induced clinical and biologic improvement in 40% to 70% of cases.4-6 This improvement was closely associated with inhibition of HCV replication and reduction/disappearance of cryoprecipitates, but was short-lived, in that relapse usually occurred within 6 months.7
Combination of ribavirin (RBV) with IFN-α has remarkably improved the clinical response of both chronic hepatitis C8 and HCV-positive MC patients in a few uncontrolled pilot trials: 19% to 54% of patients who did not respond to IFN-α alone achieved a sustained virologic response (SVR) and clinical remission from MC complications.9 In another study,10 although only 2 (22.2%) of 9 patients had an SVR, all patients showed a substantial improvement of clinical symptoms (including arthralgias, purpura, and proteinuria) and laboratory parameters. Favorable responses attaining an SVR and a complete clinical response in more than 70% of the patients have also been reported by Cacoub et al.11,12
In addition to its obvious antiviral efficacy, pegylated IFN-α (Peg-IFN-α) is characterized by a longer half-life, a smaller volume of distribution, and a slower clearance compared with standard IFN-α. Peg-IFN-α plus RBV is now considered the standard of care for HCV management and induces a 45% to 50% rate of SVR in genotype 1, and a 70% to 80% rate of SVR in genotypes 2 and 3.13 In addition, the pharmacodynamic features of Peg-IFN-α have been shown to enhance clearance of the extrahepatic HCV reservoirs in MC patients.14
However, many confounding variables have not been addressed when assessing the effectiveness of the Peg-IFNα/RBV combination. In one study, a 44% SVR was achieved in 18 patients treated for 48 weeks.15 In another report, a complete response was achieved in 62.5% of 40 patients in whom an SVR occurred regardless of HCV genotype and load.16 These studies were dissimilar in terms of duration of therapy, enrollment criteria, and end points. Although relapse occurred in a high percentage of patients, the SVR was invariably associated with marked clinical improvement. However, resolution of vasculitis was accompanied by no or only partial improvement in neuropathy and glomerulonephritis, suggesting that factors other than virus infection adversely affect the clinical outcome.17 On the other hand, in a few patients cryoglobulinemic vasculitis was found to persist after successful treatment of HCV infection18 or else to relapse despite achieving an SVR,19 indicating that antiviral treatment only partially interferes with the B-cell activities responsible for persistent cryoglobulin production. A complete immunologic response, therefore, should not be deduced from clearance of circulating HCV, even in sustained responders.
The mechanisms underlying persistence of cryoglobulin production and its clinical manifestations after HCV clearance are not fully clear. Even so, biologic differences are likely to exist between patients with and without MC. In the former, a profound functional derangement of B cells comprises restriction of the humoral immune response sustained by enrichment of B-cell clonal expansions in the liver, bone marrow, and circulation.20,21 Restriction of V gene usage has a direct impact on the clinical spectrum of HCV infection, insofar as it is invariably associated with extrahepatic manifestations.22 On the contrary, B-cell clonal expansions are absent in the majority of HCV-infected patients without MC.21,23 Thus, deletion of expanded B-cell clones may provide a rational way to treat MC.
Rituximab (RTX) is a chimeric monoclonal antibody directed to CD20 antigen, a transmembrane protein expressed on pre-B and mature lymphocytes, and is highly effective for in vivo B-cell depletion,24 especially of IgM autoantibody–producing B cells.25 Introduction of RTX has clearly improved treatment results,26,27 and other reports have confirmed its efficacy in the management of MC-associated complications.28-30 It induces a substantial reduction of cryocrit percentage, decreases serum immunoglobulin levels, and lowers RF activity and anti-HCV antibody titers. However, a sustained increment of HCV RNA has been reported in both unfractionated sera and the cryoprecipitates.26-31 Enhanced viremia after B-cell depletion induced by RTX is an obvious potentially harmful outcome that has discouraged further studies. Thus, to avoid this adverse effect and stabilize the deletion of expanded B-cell clones, it seemed reasonable to combine Peg-IFN-α and RBV with RTX (termed PIRR).16,32
We here describe a long-term, single-center experience with this combination in selected adult patients with HCV-related MC and no prior exposure to immunosuppressive or antiviral drugs.
Methods
Patient selection
The following inclusion criteria were applied: (1) detection of serum cryoglobulins associated with the triad purpura, arthralgia, and weakness; (2) positivity for anti-HCV antibodies and polymerase chain reaction (PCR)–based assay to detect HCV RNA in serum; (3) liver biopsy showing chronic hepatitis, performed within 3 months from enrollment; (4) negativity for hepatitis B surface antigen and human immunodeficiency virus; and (5) no previous administration of IFNs or immunosuppressive drugs.
The exclusion criteria were histologically proven biliary, neoplastic, and vascular liver diseases, psychiatric disorders, a history of seizures, cardiovascular diseases, poorly controlled diabetes mellitus, frank autoimmune disorders and metabolic liver disease. Patients who ingested more than 40 g of alcohol/day or used hepatotoxic drugs in the last 6 months, were pregnant, or refused to provide informed consent were also excluded.
Study design
The study followed the Declaration of Helsinki and Good Clinical Practice guidelines and was approved by the ethical review board of the University of Bari. Between January 2003 and June 2009, 41 consecutive HCV-infected MC patients attending the Liver Unit of the Department of Internal Medicine and Clinical Oncology of the University of Bari were enrolled in a prospective, single-center, randomized study. Randomization assignment was computer-generated by an off-site biostatistician using block sizes of 2. Patient assignments were sealed in opaque envelopes that were marked on the outside with a sequence number. Each envelope was opened by the recruiter after receiving the patient's written informed consent. Given the binomial distribution, the stopping boundaries for the interim analyses were conducted for assessing the difference in the response probabilities between the 2 arms. This was accomplished using the software package East 2000 (Statcon).
Four patients withdrew from the study, all of whom belonged to the Peg-IFN-α/RBV group: 2 patients refused to proceed with therapy at the fourth and fifth month; 1 was disappointed to be allocated to the non-PIRR group; and 1 drug-addicted patient was excluded because of his poor compliance with the therapeutic protocol. Because of these dropouts, the random sequence of the assignments, and the predefined end of recruitment, 22 patients entered the PIRR arm and 15 patients entered the control arm.
Patients received subcutaneous injections of 180 μg of Peg-IFN-α2a (Pegasys; Hoffmann-La Roche Ltd) or 1.5 μg/kg Peg-IFN-α2b (Peg-Intron; Schering-Plough) once a week, and 1000 mg/day or 1200 mg/day RBV for those 75 kg or less and more than 75 kg body weight, respectively. Peg-IFN and RBV were given for 48 weeks, regardless of HCV genotype. The PIRR regimen included RTX once a week for 1 month, followed by two 5-monthly infusions during the course of treatment with Peg-IFN-α and RBV (Figure 1). RTX was diluted in normal saline to a concentration of 1 mg/mL. Before each intravenous infusion, patients received 20 mg of 6-methyl-prednisolone. Patients were evaluated before and after each infusion of RTX and every 3 months during the treatment. Achievement of an SVR was established by follow-up for 36 months after the treatment. This long-term extension analysis was chosen to produce more precise treatment-effect estimates than end-of-study data. It has indeed been established that summary measurements are more sensitive to treatment differences than single time point assessments.33,34
Assessment
HCV RNA was detected in serum, cryoprecipitates, mononuclear cells, and liver tissue with the transcription-mediated amplification (TMA) method (Versant HCV RNA Qualitative assay; Bayer Health Care, Diagnostic Division), whose detection limit is 5 IU/mL. TMA uses reverse transcriptase and T7 polymerase to make multiple RNA copies of RNA templates that detect a very low number of HCV genomes in cells and tissues other than biologic fluids.35 HCV RNA levels were measured with a branched chain DNA assay (bDNA 3.0; Bayer Health Care), whose detection limit is 615 IU/mL. HCV genotyping was performed by sequence analysis of the 5′-untranslated region.36
Baseline evaluation included disease history and stage, current signs and symptoms, and previous medications. Physical examination, laboratory values, and adverse events were recorded weekly during the RTX regimen and monthly thereafter up to 12 months.
Electromyography, motor and sensory nerve conduction velocity, and short-latency somatosensory-evoked potentials were carried out for neurologic assessment. Lymphocytes were phenotyped by single and double immunofluorescence on a FACScan instrument (Becton Dickinson) with fluorochrome-conjugated antibodies against CD19, CD20, CD5 and CD3, CD4, and CD8 (Becton Dickinson). Hepatic inflammation and fibrosis were graded according to the Ishak classification, with scores ranging from 0 to 12 for severe inflammation and from 0 to 6 for cirrhosis.37
End points
The primary end point of the study was the objective response rate, namely the proportion of patients who achieved a complete response at any time. Complete response was based on disappearance or remarkable improvement of clinical features (clinical response [CR]), disappearance of cryoglobulins (immunologic response [IR]), undetectability of serum HCV RNA (virologic response [VR]), and disappearance of B-cell clonalities from the blood (molecular response [MR[). In addition, complete response was defined as sustained or long term according to whether clinical, immunologic, virologic, and molecular parameters remained stable at month 6 or until month 36 after completion of therapy. Relapse was defined as reappearance of clinical features, serum cryoprecipitates and/or serum HCV RNA, and/or B-cell clonalities (usually concomitant with worsening of clinical symptoms) at any time during the follow-up. A partial response (PR) was arbitrarily defined as the achievement of 3 of the 4 mentioned complete response criteria. Patients devoid of CR, IR, VR, and MR were regarded as nonresponders (NRs).
Interruption of treatment and withdrawal
Treatment could be interrupted and the patient withdrawn from the study if any of the following occurred: hematologic toxicity (neutrophil count 109/L [< 1000/mm3], hemoglobin level < 100 g/L [10 g/dL]); signs of severe intolerance; or serious and progressive worsening of the clinical condition including kidney and nerve functions. Adverse events after RTX were graded according to the Common Toxicity Criteria Version 2.0 (National Cancer Institute).
B-cell clonal expansions
Amplification of IgH VDJ gene segments was carried out in duplicate with the Fr3 protocol on DNA purified from circulating and/or bone marrow–derived lymphocytes, as described elsewhere.20 Consensus primers for V and J regions included (1) an upstream primer complementary to the third framework V region: 5′-ACACGGC(C/T)(C/G)TGTATTACTGT-3′; and (2) a downstream primer directed to a conserved sequence of J region: 5′-TGAGGAGACGGTGACC-3′, and in the second round amplification to an inner conserved sequence of the same J region: 5′-GTGACCAGGGTNCCTTGGCCCCAG-3′. For gene scanning, 2 μL of Fr3 PCR products were added to 13 μL of deionized formamide (Sigma) and 0.5 μL of internal size standard GeneScan 500 ROX (ABI-PE; Applied Biosystems). The mixture was denatured at 95°C for 5 minutes, cooled on ice, and subjected to capillary electrophoresis on ABI PRISM 377 (Applied Biosystems). Data were processed with the 310 GeneScan 2.1 software.
Cryoprecipitates were isolated as described elsewhere3 and fractionated by high-resolution gel electrophoresis. Individual monoclonal bands were identified by immunofixation.
Statistics
The Mac-Nemar χ2 or the Wilcoxon signed-rank tests were used to compare pretreatment and posttreatment characteristics. The Cochran-Mantel-Haenszel test or the Fisher exact tests were used to compare categoric variables. The Wilcoxon rank-sum test was applied to compare quantitative variables between the groups. Logistic regression analyses were used to explore the influence of treatment and pretreatment characteristics on the response. All statistical tests were 2-tailed with P value less than .05 as the significance cutoff. Rate of remission was calculated by life-table analysis.
Results
Forty-one patients were screened; because of the 4 dropouts already mentioned, 37 patients were enrolled and treated. Clinical, immunologic, molecular, virologic, and histologic baseline characteristics are summarized in Table 1. Cryoglobulins were classified as mixed type II in 20 (90.9%) patients: the IgM monoclonal component was κ in 19 and λ in 1. Type III was demonstrated in the other 2 patients of the PIRR group. In the Peg-IFN-α/RBV group, 12 patients (80%) had cryoglobulins of type II: the monoclonal component was IgMκ in all and mixed type III in the remaining 3 (20%) patients. All displayed hypocomplementemia, increased serum IgM levels, and RF activity. All were viremic, and a similar distribution of genotypes 1 and 2 was noted. Duration of HCV infection was estimated from the date of transfusion or of first exposure to parenteral source (infected needles, razors, etc) in 18 (81.8%) and in 11 (73.3%) patients belonging to PIRR and Peg-IFN-α/RBV groups at 19.5 plus or minus 9.7 and 21.2 plus or minus 7.7 years (mean ± SD), respectively. The liver biopsy specimens were always sufficient for pathologic evaluation. Histologic features of chronic active hepatitis without cirrhosis were present in 20 (90.9%) and 14 (93.3%) patients in PIRR and Peg-IFN-α/RBV groups, respectively. Frank cirrhosis was detected in the remaining patients of both groups.
Baseline characteristics of 22 patients included in the PIRR protocol and 15 patients receiving the standard Peg-IFN-α/RBV combination
| . | PIRR, n = 22 . | Peg-IFN-α//RBV, n = 15 . |
|---|---|---|
| Demography | ||
| Age, y (range) | 63 (51-68) | 59 (50-66) |
| Females/males | 15/7 | 10/5 |
| Immunologic | ||
| Cryocrit, %, mean ± SD | 6.4 ± 3.9 | 5.5 ± 3.0 |
| Cryoglobulin type, n (%) | ||
| II | 20 (90.9) | 12 (80) |
| III | 2 (9.1) | 3 (20) |
| IgM serum levels, mg/L, mean ± SD; NV: 400-2300 mg/L, | 4056 ± 3602 | 4600 ± 2010 |
| Complement fractions | ||
| C3, mg/dL, mean ± SD; NV: 80-140 mg/dL, | 119.3 ± 40.7 | 116 ± 31 |
| C4, mg/dL, mean ± SD; NV: 10-40 mg/dL, | 4.8 ± 3.0 | 3.7 ± 1.9 |
| HCV infection | ||
| HCV RNA serum levels, IU/mL, ×106, mean ± SD | 1.6 ± 0.5 | 1.9 ± 0.7 |
| HCV genotypes (%) | ||
| 1 | 9 (40.9) | 7 (46.6) |
| 2 | 13 (59) | 8 (53.3) |
| HCV antibodies (%) | 22 (100) | 15 (100) |
| Liver involvement | ||
| Alanine aminotransferase, × upper limit of normal (range) | 2.3 (0.8-7.2) | 3.1 (2-8) |
| Chronic active hepatitis (%) | 20 (90.9) | 14 (93.3) |
| Bridging fibrosis/cirrhosis (%) | 2 (9.1) | 1 (6.6) |
| Purpura (%) | 22 (100) | 15 (100) |
| Cutaneous ulcers (%) | 5 (22.7) | 3 (20) |
| Weakness (%) | 20 (95) | 13 (87) |
| Arthralgias (%) | 16 (74) | 11 (73) |
| Peripheral neuropathies (%) | 6 (27.2) | 3 (20) |
| Renal involvement (%) | 5 (22.7) | 4 (26.6) |
| Creatinine, mg/dL, mean ± SD, NV: ≤ 1.2 mg/dL | 194.4 ± 26.5 | 167.8 ± 19.4 |
| Proteinuria, g/24 h, mean ± SD; NV: < 0.12 g/24 h | 3.06 ± 1.6 | 3.6 ± 1.4 |
| . | PIRR, n = 22 . | Peg-IFN-α//RBV, n = 15 . |
|---|---|---|
| Demography | ||
| Age, y (range) | 63 (51-68) | 59 (50-66) |
| Females/males | 15/7 | 10/5 |
| Immunologic | ||
| Cryocrit, %, mean ± SD | 6.4 ± 3.9 | 5.5 ± 3.0 |
| Cryoglobulin type, n (%) | ||
| II | 20 (90.9) | 12 (80) |
| III | 2 (9.1) | 3 (20) |
| IgM serum levels, mg/L, mean ± SD; NV: 400-2300 mg/L, | 4056 ± 3602 | 4600 ± 2010 |
| Complement fractions | ||
| C3, mg/dL, mean ± SD; NV: 80-140 mg/dL, | 119.3 ± 40.7 | 116 ± 31 |
| C4, mg/dL, mean ± SD; NV: 10-40 mg/dL, | 4.8 ± 3.0 | 3.7 ± 1.9 |
| HCV infection | ||
| HCV RNA serum levels, IU/mL, ×106, mean ± SD | 1.6 ± 0.5 | 1.9 ± 0.7 |
| HCV genotypes (%) | ||
| 1 | 9 (40.9) | 7 (46.6) |
| 2 | 13 (59) | 8 (53.3) |
| HCV antibodies (%) | 22 (100) | 15 (100) |
| Liver involvement | ||
| Alanine aminotransferase, × upper limit of normal (range) | 2.3 (0.8-7.2) | 3.1 (2-8) |
| Chronic active hepatitis (%) | 20 (90.9) | 14 (93.3) |
| Bridging fibrosis/cirrhosis (%) | 2 (9.1) | 1 (6.6) |
| Purpura (%) | 22 (100) | 15 (100) |
| Cutaneous ulcers (%) | 5 (22.7) | 3 (20) |
| Weakness (%) | 20 (95) | 13 (87) |
| Arthralgias (%) | 16 (74) | 11 (73) |
| Peripheral neuropathies (%) | 6 (27.2) | 3 (20) |
| Renal involvement (%) | 5 (22.7) | 4 (26.6) |
| Creatinine, mg/dL, mean ± SD, NV: ≤ 1.2 mg/dL | 194.4 ± 26.5 | 167.8 ± 19.4 |
| Proteinuria, g/24 h, mean ± SD; NV: < 0.12 g/24 h | 3.06 ± 1.6 | 3.6 ± 1.4 |
NV indicates normal value.
All 37 patients completed the study. Evaluation of treatment schedules after 1 year showed that complete response was achieved in 12 patients (54.5%) who received PIRR and in 5 patients (33.3%) who received Peg-IFN-α/RBV (P < .05; Figure 2). The probability of response 5 months after starting the treatment was 9.1% (2/22) and 6.6% (1/15) with the PIRR and Peg-IFN-α/RBV schedules, respectively. The overall response rate occurred within the tenth month for both treatments. Patients with complete response displayed disappearance of clinical features (CR), cryoprecipitates (IR), clearance of serum HCV RNA (VR), undetectable B-cell clonal expansion in the circulation (MR), and normalization of transaminases, serum IgM levels, and RF activity. A dramatic improvement of cutaneous vasculitis and progressive recovery from weakness and arthromyalgia were also observed. Leg ulcers were substantially reduced and eventually healed in the patients with these complications. A significant improvement of motor and sensory nerve conduction was recorded in patients with clinical signs of peripheral neuropathy. In patients with nephropathy, proteinuria fell to the normal range (Table 2).
Probability of complete response during PIRR and combination therapies. Below the line: number and HCV genotype of responders.
Probability of complete response during PIRR and combination therapies. Below the line: number and HCV genotype of responders.
Surveillance after stopping treatment
| . | PIRR . | PEG-IFN-α/RBV . | ||||
|---|---|---|---|---|---|---|
| Start . | 18 mo . | 36 mo . | Start . | 18 mo . | 36 mo . | |
| Skin, n (%) | ||||||
| Purpura | 4 (18.2) | 6 (27.3) | 10 (45.4) | 5 (33) | 7 (47) | 10 (67) |
| Cutaneous ulcers | 1 (45) | 1 (4.5) | 2 (9) | 1 (6.7) | 2 (13.3) | 2 (13.3) |
| Musculoskeletal, n (%) | ||||||
| Weakness | 5 (22.7) | 7 (32) | 11 (50) | 5 (33) | 7 (47) | 10 (67) |
| Peripheral joint arthralgias | 4 (18.2) | 5 (23.5) | 9 (42.8) | 5 (33) | 6 (41.6) | 9 (60) |
| Peripheral nerves, n (%) | ||||||
| Sensitive/motor neuropathy | 2 (9) | 2 (9) | 3 (13.6) | 2 (13) | 3 (20) | 3 (20) |
| Renal involvement | ||||||
| Creatinine > 100 μM (%; mean ± SD) | 5 (141.3 ± 17.6) | 5 (185.5 ± 44.1) | 5 (203.1 ± 35.3) | 4 (159 ± 14.1) | 4 (194.3 ± 17.6) | 4 (185.5 ± 31.8) |
| Proteinuria > 0.25 g/24 h (%) (g/24 h; mean ± SD) | 1 (4.5; 2.5 ± 0.3) | 1 (4.5; 2.0 ± 0.2) | 1 (4.5; 2.9 ± 0.4) | 2 (13; 3.2 ± 0.9} | 2 (13; 2.5 ± 0.6) | 2 (13; 2.66 ± 0.54) |
| . | PIRR . | PEG-IFN-α/RBV . | ||||
|---|---|---|---|---|---|---|
| Start . | 18 mo . | 36 mo . | Start . | 18 mo . | 36 mo . | |
| Skin, n (%) | ||||||
| Purpura | 4 (18.2) | 6 (27.3) | 10 (45.4) | 5 (33) | 7 (47) | 10 (67) |
| Cutaneous ulcers | 1 (45) | 1 (4.5) | 2 (9) | 1 (6.7) | 2 (13.3) | 2 (13.3) |
| Musculoskeletal, n (%) | ||||||
| Weakness | 5 (22.7) | 7 (32) | 11 (50) | 5 (33) | 7 (47) | 10 (67) |
| Peripheral joint arthralgias | 4 (18.2) | 5 (23.5) | 9 (42.8) | 5 (33) | 6 (41.6) | 9 (60) |
| Peripheral nerves, n (%) | ||||||
| Sensitive/motor neuropathy | 2 (9) | 2 (9) | 3 (13.6) | 2 (13) | 3 (20) | 3 (20) |
| Renal involvement | ||||||
| Creatinine > 100 μM (%; mean ± SD) | 5 (141.3 ± 17.6) | 5 (185.5 ± 44.1) | 5 (203.1 ± 35.3) | 4 (159 ± 14.1) | 4 (194.3 ± 17.6) | 4 (185.5 ± 31.8) |
| Proteinuria > 0.25 g/24 h (%) (g/24 h; mean ± SD) | 1 (4.5; 2.5 ± 0.3) | 1 (4.5; 2.0 ± 0.2) | 1 (4.5; 2.9 ± 0.4) | 2 (13; 3.2 ± 0.9} | 2 (13; 2.5 ± 0.6) | 2 (13; 2.66 ± 0.54) |
A one-sided sequential test was used to evaluate response duration, defined as the time from the end of successful therapy to evidence of relapse. The response maintenance rate was 83.3% (10/12) and 40% (2/5; P < .01) 36 months after PIRR and Peg-IFN-α/RBV schedules, respectively (Figure 3). Virologic, molecular, and immunologic parameters were serially monitored after discontinuation of treatments until the end of the follow-up. Two patients relapsed with an estimated time-to-relapse of within 22 months in the PIRR group. Within the same period, 3 patients in the Peg-IFN-α/RBV group also relapsed.
Response maintenance after PIRR and Peg-IFNα/RBV schedules. Below the line: number of relapses and HCV genotype.
Response maintenance after PIRR and Peg-IFNα/RBV schedules. Below the line: number of relapses and HCV genotype.
As reported in Figure 4, sequential analysis of serologic and molecular parameters in patients with documented relapse consistently showed that measurable levels of HCV RNA preceded the reappearance of B-cell clonal expansions, and this was followed by a decrease in the serum C4 complement fraction and detection of cryoprecipitates. In addition, their relapse was associated with worsening of arthralgia and muscle pain and reappearance of purpura. A mean time of 1.5 plus or minus 0.5 months was estimated to elapse between recurrence of serum HCV RNA and demonstration of B-cell clonalities in the circulation.
Chronologic relationships among cutaneous vasculitis, viral load (HCV RNA), cryocrit percentage, serum C4 level, and B-cell clonalities in a representative patient (male, 61 years) who relapsed.
Chronologic relationships among cutaneous vasculitis, viral load (HCV RNA), cryocrit percentage, serum C4 level, and B-cell clonalities in a representative patient (male, 61 years) who relapsed.
Five patients (22.7%) in the PIRR group and 5 (33.3%) in the Peg-IFN-α/RBV group had a PR. Interestingly, despite a complete clinical response and HCV RNA clearance, cryoprecipitates and circulating B-cell clonal expansions persisted in these patients. Otherwise, NR was documented in the remaining 5 patients of both PIRR and Peg-IFN-α/RBV groups, in whom clinical, immunologic, virologic, and molecular values remained mostly unchanged during and after therapy.
Short- and long-term safety of PIRR
The most common causes of dose reduction included neutropenia and anemia, which were charged to Peg-IFN-α and RBV, respectively. Peg-IFN-α was halved because of adverse events or laboratory abnormalities in 4 patients (18%): 1 CR, 1 PR, and 2 NR. One patient in each group had the RBV dose reduced by 70% to 50%. Severe anemia (defined as hemoglobin level < 85 g/L [8.5 g/dL]) developed in 1 patient after 6 weeks of treatment. Grade 4 neutropenia in 2 patients was treated for 10 and 15 weeks. The use of erythropoietin and granulocyte colony-stimulating factor was effective in increasing hemoglobin levels and correcting IFN-induced neutropenia.
Tolerance to RTX was good. Three patients experienced a mild adverse reaction after the first infusion, whereas fever occurred in 2 patients after the third and fourth infusion. All patients completed the study until the end of the follow-up.
Dynamics of B-cell depletion and recovery
Circulating CD20+ cells decreased in CR (16% ± 6.7%, mean ± SD) and PR plus NR patients (18.4% ± 9.3%, mean ± SD) to less than 1%, in step with the second infusion of RTX. Recovery of this cell population began 7 to 10 months after the end of the treatment. Whereas B cells (CD19+, CD20+, CD20+/CD5+) fell well below the baselines and remained low for many months, the T-cell counts (CD3+, CD4+, CD8+) remained unchanged throughout the treatment and the follow-up.
Prognostic factors
The influence on the response to therapeutic schedules was assessed for several potentially prognostic factors, namely baseline viral load, HCV genotype, cirrhosis, cryocrit, IgM, RF activity and C4 baselines, molecular features of B-cell clonal expansions, and clinical features (Table 3). Monoclonal expansion of B cells was demonstrated in 1 (8.3%) of 12 and in none of patients with complete response in PIRR and in Peg-IFN-α/RBV groups, respectively. Conversely, all NR patients showed monoclonal B-cell expansion in the circle (P < .05). Univariate logistic regression analysis detected a clear relation between complete response and baseline monoclonality of B-cell expansions. Absence of both genotype 1 and cirrhosis appeared to be an advantage, although the analysis may have not been sensitive enough to demonstrate their relation with the response in such a small sample. Their independence was retained in a final multivariate evaluation model.
Comparison of baseline virologic, molecular, immunologic, and clinical parameters in responsive and nonresponsive MC patients to PIRR and Peg-IFN-α/RBV treatments
| Parameter . | Therapeutic schedules . | |||
|---|---|---|---|---|
| PIRR, n = 22 . | Peg-IFN-α/RBV, n = 15 . | |||
| Responsive, n = 12 . | Nonresponsive, n = 10 . | Responsive, n = 5 . | Nonresponsive, n = 10 . | |
| Virologic | ||||
| HCV RNA, IU/mL | 766 123 ± 372 823 | 1 346 772 ± 641 080 | 1 201 305 ± 660 340 | 908 413 ± 506 401 |
| HCV genotype, n (%) | ||||
| 1 | 5 (41.7) | 4 (40) | 2 (40) | 5 (50) |
| 2 | 7 (58.3) | 6 (60) | 3 (60) | 5 (50) |
| Molecular, n (%) | ||||
| B-cell clonal expansion | 12 (100) | 10 (100) | 3 (60) | 10 (100) |
| Monoclonal | 1 (8.3) | 9 (90)* | 0 | 6 (60)* |
| Oligoclonal | 11(91.7) | 1 (10)* | 3 (60) | 4 (40) |
| Immunologic | ||||
| Cryocrit, % | 6.3 ± 2.1 | 5.75 ± 2.4 | 4.1 ± 1.7 | 5.8 ± 2.1 |
| Cryoglobulin type, n (%) | ||||
| II | 11 (91.7) | 9 (90) | 3 (60) | 9 (90) |
| III | 1 (8.3) | 1 (10) | 2 (40) | 1 (10) |
| C4 complement fraction, mg/dL | 5.4 ± 3.6 | 4.7 ± 2.15 | 3.9 ± 0.7 | 4.5 ± 1.1 |
| IgM levels, mg/L | 4589 ± 2359 | 3785 ± 2986 | 4800 ± 1220 | 5010 ± 2060 |
| Rheumatoid factor, IU/mL | 428.4 ± 111.3 | 402 ± 165.8 | 505 ± 260 | 460 ± 307 |
| Liver histology | ||||
| Bridging fibrosis/cirrhosis, n (%) | 0 | 2 (20) | 0 | 1 (10) |
| Peripheral neuropathy, n (%) | 3 (25) | 3 (30) | 1 (20) | 2 (20) |
| Nephropathy, n (%) | 4 (33.3) | 1 (10) | 2 (40) | 2 (20) |
| Parameter . | Therapeutic schedules . | |||
|---|---|---|---|---|
| PIRR, n = 22 . | Peg-IFN-α/RBV, n = 15 . | |||
| Responsive, n = 12 . | Nonresponsive, n = 10 . | Responsive, n = 5 . | Nonresponsive, n = 10 . | |
| Virologic | ||||
| HCV RNA, IU/mL | 766 123 ± 372 823 | 1 346 772 ± 641 080 | 1 201 305 ± 660 340 | 908 413 ± 506 401 |
| HCV genotype, n (%) | ||||
| 1 | 5 (41.7) | 4 (40) | 2 (40) | 5 (50) |
| 2 | 7 (58.3) | 6 (60) | 3 (60) | 5 (50) |
| Molecular, n (%) | ||||
| B-cell clonal expansion | 12 (100) | 10 (100) | 3 (60) | 10 (100) |
| Monoclonal | 1 (8.3) | 9 (90)* | 0 | 6 (60)* |
| Oligoclonal | 11(91.7) | 1 (10)* | 3 (60) | 4 (40) |
| Immunologic | ||||
| Cryocrit, % | 6.3 ± 2.1 | 5.75 ± 2.4 | 4.1 ± 1.7 | 5.8 ± 2.1 |
| Cryoglobulin type, n (%) | ||||
| II | 11 (91.7) | 9 (90) | 3 (60) | 9 (90) |
| III | 1 (8.3) | 1 (10) | 2 (40) | 1 (10) |
| C4 complement fraction, mg/dL | 5.4 ± 3.6 | 4.7 ± 2.15 | 3.9 ± 0.7 | 4.5 ± 1.1 |
| IgM levels, mg/L | 4589 ± 2359 | 3785 ± 2986 | 4800 ± 1220 | 5010 ± 2060 |
| Rheumatoid factor, IU/mL | 428.4 ± 111.3 | 402 ± 165.8 | 505 ± 260 | 460 ± 307 |
| Liver histology | ||||
| Bridging fibrosis/cirrhosis, n (%) | 0 | 2 (20) | 0 | 1 (10) |
| Peripheral neuropathy, n (%) | 3 (25) | 3 (30) | 1 (20) | 2 (20) |
| Nephropathy, n (%) | 4 (33.3) | 1 (10) | 2 (40) | 2 (20) |
P < .05.
The significant influence of baseline viral load on the response rate and disappearance of cryoproteins strongly argues for the primary role of HCV in cryoprecipitation. This issue, however, becomes questionable because cryoprecipitation persisted in the patients of the PR group despite their undetectable HCV RNA levels. Changes in the composition of the cold precipitable fractions were determined by comparing several parameters before and after treatments. It was indeed demonstrated that, except for the lack of HCV RNA, the composition of cryoprecipitates after therapy was similar to that found before starting the treatment (Table 4). Whether the absence of HCV RNA particles may result in a change in the primary structure of cryoprecipitates remains to be established.
Cryoglobulin composition before and after PIRR or Peg-IFN-α/RBV therapy in 10 partially responsive patients who reached sustained HCV clearance
| Parameter . | Cryoprecipitate . | |
|---|---|---|
| Before, n = 10 . | After, n = 10 . | |
| HCV RNA, IU/mL | 1 710 466 ± 644 019 | < detection limit |
| IgM, mg/L | 7136 ± 3590 | 5856 ± 5640 |
| IgG, mg/L | 206 ± 97 | 188 ± 36 |
| C3, mg/dL | 16.2 ± 11.0 | 8 ± 5.3 |
| C4, mg/dL | 1.5 ± 0.6 | 2.4 ± 2.1 |
| C1q, mg/dL | 2.9 ± 1.3 | 3.2 ± 1.1 |
| RF activity, IU/mL | 606.7 ± 233 | 404 ± 186.4 |
| Anti-HCV antibody titer, sample/negative ratio | 88 ± 26 | 52 ± 31 |
| Parameter . | Cryoprecipitate . | |
|---|---|---|
| Before, n = 10 . | After, n = 10 . | |
| HCV RNA, IU/mL | 1 710 466 ± 644 019 | < detection limit |
| IgM, mg/L | 7136 ± 3590 | 5856 ± 5640 |
| IgG, mg/L | 206 ± 97 | 188 ± 36 |
| C3, mg/dL | 16.2 ± 11.0 | 8 ± 5.3 |
| C4, mg/dL | 1.5 ± 0.6 | 2.4 ± 2.1 |
| C1q, mg/dL | 2.9 ± 1.3 | 3.2 ± 1.1 |
| RF activity, IU/mL | 606.7 ± 233 | 404 ± 186.4 |
| Anti-HCV antibody titer, sample/negative ratio | 88 ± 26 | 52 ± 31 |
B-cell clonal expansions
Despite the dramatic decrease in the number of circulating B cells after PIRR, PCR to VDJ genes on DNA obtained from circulating blood cells detected B-cell clonal expansions for the analysis of persistence or disappearance of originally expanded clonalities. Agarose gel analysis showed that B-cell monoclonal expansions had a tendency to be stable during and after therapy up to the end of the follow-up. Oligoclonal features were more prone to change (Table 5). Sequence analysis of VH-CDR-3 revealed the persistence of initially expanded B-cell clones at various time points up to the end of the study in NR patients (Table 6). Interestingly, the patients with complete response and monoclonal expansion relapsed 18 months after PIRR. Molecular analyses of peripheral B-cell expansions demonstrated an oligoclonal feature that did not include starting B-cell clone (data not shown).
Molecular features of circulating B-cell clonal expansions at different times of therapeutic protocols
| Protocol timing . | Therapeutic schedule . | |||||
|---|---|---|---|---|---|---|
| PIRR, n = 22 . | Peg-IFN-α/RBV, n = 15 . | |||||
| Monoclonal . | Oligoclonal . | Polyclonal . | Monoclonal . | Oligoclonal . | Polyclonal . | |
| Start | 10 (45.5) | 12 (54.5) | 0 | 6 (40) | 7 (46.7) | 2 (13.3) |
| End of therapy | 9 (41) | 1 (4.5) | 12 (54.5) | 6 (40) | 3 (20) | 6 (40) |
| End of follow-up | 9 (41) | 3 (13.5) | 10 (45.5) | 6 (40) | 7 (46.7) | 2 (13.3) |
| Protocol timing . | Therapeutic schedule . | |||||
|---|---|---|---|---|---|---|
| PIRR, n = 22 . | Peg-IFN-α/RBV, n = 15 . | |||||
| Monoclonal . | Oligoclonal . | Polyclonal . | Monoclonal . | Oligoclonal . | Polyclonal . | |
| Start | 10 (45.5) | 12 (54.5) | 0 | 6 (40) | 7 (46.7) | 2 (13.3) |
| End of therapy | 9 (41) | 1 (4.5) | 12 (54.5) | 6 (40) | 3 (20) | 6 (40) |
| End of follow-up | 9 (41) | 3 (13.5) | 10 (45.5) | 6 (40) | 7 (46.7) | 2 (13.3) |
Molecular features data are reported as number (%).
IgH VDJ gene segments and amino acid sequence of CDR3 region at baseline, at the end of therapy, and at the end of follow-up in 10 nonresponsive MC patients treated with PIRR or with the Peg-IFN-α/RBV standard therapy
| Treatment . | DH family . | JH family . | Amino acid sequence . |
|---|---|---|---|
| PIRR | |||
| Patient no. 1 | |||
| Start | D2-15*01 | JH6*02 | CARGRGKLYYYGLDVW |
| D3-22*01 | JH4*03 | CAKMGSSGWPYFDYW | |
| D6-19*01 | JH3*02 | CAKYLGDSSGYYSDAFDIW | |
| D2-2*01 | JH4*01 | CARAEDIVVVPAAMAFDYW | |
| End of therapy | D2-15*01 | JH6*02 | CARGRGKLYYYGLDVW |
| End of follow-up | D2-15*01 | JH6*02 | CARGRGKLYYYGLDVW |
| Patient no. 2 | |||
| Start | D6-6*01 | JH4*03 | CARAVGYHRSSAGYFDYW |
| End of therapy | D6-6*01 | JH4*C3 | CARAVGYHRSSAGYFDYW |
| End of follow-up | D6-6*01 | JH4*C3 | CARAVGYHRSSAGYFDYW |
| Patient no. 3 | |||
| Start | D5-5*01 | JH2*01 | CARDFGGDTAMVYWYFDLW |
| End of therapy | D5-5*01 | JH2*01 | CARDFGGDTAMVYWYFDLW |
| End of follow-up | D5-5*01 | JH2*01 | CARDFGGDTAMVYWYFDLW |
| Patient no. 4 | |||
| Start | D2-2*01 | JH4*03 | CARDWEYCSSTSTSCFFDYW |
| End of therapy | — | — | — |
| End of follow-up | — | — | — |
| Patient no. 5 | |||
| Start | D1-1*01 | JH5*02 | CARDRQLELLDPW |
| End of therapy | D1-1*01 | JH5*02 | CARDRQLELLDPW |
| End of follow-up | D1-1*01 | JH5*02 | CARDRQLELLDPW |
| Peg-IFN-α/RBV | |||
| Patient no. 1 | |||
| Start | D3-10*01 | JH4*01 | CATGLGSYLFDYW |
| End of therapy | D3-10*01 | JH4*01 | CATGLGSYLFDYW |
| End of follow-up | D3-10*01 | JH4*01 | CATGLGSYLFDYW |
| Patient no. 2 | |||
| Start | D3-3*01 | JH5*02 | CAREVNFGVVGWFDPW |
| End of therapy | D3-3*01 | JH5*02 | CAREVNFGVVGWFDPW |
| End of follow-up | D3-3*01 | JH5*02 | CAREVNFGVVGWFDPW |
| Patient no. 3 | |||
| Start | D3-3*01 | JH4*03 | CAGSGILRFLEWSGAFW |
| End of therapy | D3-3*01 | JH4*03 | CAGSGILRFLEWSGAFW |
| End of follow-up | D3-3*01 | JH4*03 | CAGSGILRFLEWSGAFW |
| Patient no. 4 | |||
| Start | D1-20*01 | JH6*03 | CAKAGGAFSTWFRNDRDAGFYNYMDVW |
| End of therapy | D1-20*01 | JH6*03 | CAKAGGAFSTWFRNDRDAGFYNYMDVW |
| End of follow-up | D1-20*01 | JH6*03 | CAKAGGAFSTWFRNDRDAGFYNYMDVW |
| Patient no. 5 | |||
| Start | D2-2*01 | JH4*03 | CAKAEPPYGGSTSCPDYYW |
| End of therapy | D2-2*01 | JH4*03 | CAKAEPPYGGSTSCPDYYW |
| End of follow-up | D2-2*01 | JH4*03 | CAKAEPPYGGSTSCPDYYW |
| Treatment . | DH family . | JH family . | Amino acid sequence . |
|---|---|---|---|
| PIRR | |||
| Patient no. 1 | |||
| Start | D2-15*01 | JH6*02 | CARGRGKLYYYGLDVW |
| D3-22*01 | JH4*03 | CAKMGSSGWPYFDYW | |
| D6-19*01 | JH3*02 | CAKYLGDSSGYYSDAFDIW | |
| D2-2*01 | JH4*01 | CARAEDIVVVPAAMAFDYW | |
| End of therapy | D2-15*01 | JH6*02 | CARGRGKLYYYGLDVW |
| End of follow-up | D2-15*01 | JH6*02 | CARGRGKLYYYGLDVW |
| Patient no. 2 | |||
| Start | D6-6*01 | JH4*03 | CARAVGYHRSSAGYFDYW |
| End of therapy | D6-6*01 | JH4*C3 | CARAVGYHRSSAGYFDYW |
| End of follow-up | D6-6*01 | JH4*C3 | CARAVGYHRSSAGYFDYW |
| Patient no. 3 | |||
| Start | D5-5*01 | JH2*01 | CARDFGGDTAMVYWYFDLW |
| End of therapy | D5-5*01 | JH2*01 | CARDFGGDTAMVYWYFDLW |
| End of follow-up | D5-5*01 | JH2*01 | CARDFGGDTAMVYWYFDLW |
| Patient no. 4 | |||
| Start | D2-2*01 | JH4*03 | CARDWEYCSSTSTSCFFDYW |
| End of therapy | — | — | — |
| End of follow-up | — | — | — |
| Patient no. 5 | |||
| Start | D1-1*01 | JH5*02 | CARDRQLELLDPW |
| End of therapy | D1-1*01 | JH5*02 | CARDRQLELLDPW |
| End of follow-up | D1-1*01 | JH5*02 | CARDRQLELLDPW |
| Peg-IFN-α/RBV | |||
| Patient no. 1 | |||
| Start | D3-10*01 | JH4*01 | CATGLGSYLFDYW |
| End of therapy | D3-10*01 | JH4*01 | CATGLGSYLFDYW |
| End of follow-up | D3-10*01 | JH4*01 | CATGLGSYLFDYW |
| Patient no. 2 | |||
| Start | D3-3*01 | JH5*02 | CAREVNFGVVGWFDPW |
| End of therapy | D3-3*01 | JH5*02 | CAREVNFGVVGWFDPW |
| End of follow-up | D3-3*01 | JH5*02 | CAREVNFGVVGWFDPW |
| Patient no. 3 | |||
| Start | D3-3*01 | JH4*03 | CAGSGILRFLEWSGAFW |
| End of therapy | D3-3*01 | JH4*03 | CAGSGILRFLEWSGAFW |
| End of follow-up | D3-3*01 | JH4*03 | CAGSGILRFLEWSGAFW |
| Patient no. 4 | |||
| Start | D1-20*01 | JH6*03 | CAKAGGAFSTWFRNDRDAGFYNYMDVW |
| End of therapy | D1-20*01 | JH6*03 | CAKAGGAFSTWFRNDRDAGFYNYMDVW |
| End of follow-up | D1-20*01 | JH6*03 | CAKAGGAFSTWFRNDRDAGFYNYMDVW |
| Patient no. 5 | |||
| Start | D2-2*01 | JH4*03 | CAKAEPPYGGSTSCPDYYW |
| End of therapy | D2-2*01 | JH4*03 | CAKAEPPYGGSTSCPDYYW |
| End of follow-up | D2-2*01 | JH4*03 | CAKAEPPYGGSTSCPDYYW |
— indicates not detected.
Responders and disease course
The 36-month follow-up was completed for all patients. Patients with complete response had no clinical events related to liver disease or vasculitis. They were characterized by unmeasurable levels of circulating HCV RNA, polyclonal features of circulating B cells and lack of cold-precipitable proteins. In the PIRR group, 7 had a new biopsy and bone marrow aspiration at the end of the follow-up. A dramatic reduction of the viral load was found in all the biologic compartments (Table 7). HCV RNA levels were unmeasurable in the liver and bone marrow, and in circulating mononuclear cells. In these compartments, molecular analyses also revealed elimination of B-cell clonal expansions and their replacement with polyclonal B-cell populations. Evaluation of liver histology included portal inflammation grade, interface hepatitis grade, focal inflammation, and fibrosis stage according to the Ishak indices. A remarkable decline of portal and periportal inflammation was found in the second liver biopsy (Figure 5). Of the PR patients, 3 in PIRR and 2 in Peg-IFN-α/RBV groups remained aviremic, whereas the others relapsed within 24 months after the end of therapy.
Analysis of HCV RNA, B-cell clonalities, and liver histology in different biologic compartments before PIRR therapy and at the end of follow-up in 7 responsive MC patients
| . | Start . | End of follow-up . |
|---|---|---|
| HCV RNA | ||
| Liver, IU/μg tissue, mean ± SD | 240 260 ± 180 600 | < detection limit |
| Bone marrow, IU/106 cells, mean ± SD | 166 440 ± 110 300 | < detection limit |
| Peripheral blood cells, IU/106 cells, mean ± SD | 196 800 ± 95 300 | < detection limit |
| B-cell clonal expansions, pattern/no. of bands | ||
| Liver | Oligoclonal/6 ± 2.6 | Polyclonal |
| Bone marrow | Oligoclonal/5 ± 3.1 | Polyclonal |
| Peripheral blood | Oligoclonal/6.3 ± 2.6 | Polyclonal |
| Liver histology | ||
| Inflammatory activity index | 6.2 ± 2.6 | 2.1 ± 0.6 |
| Grade of fibrosis | 2.2 ± 0.3 | 2.3 ± 0.5 |
| . | Start . | End of follow-up . |
|---|---|---|
| HCV RNA | ||
| Liver, IU/μg tissue, mean ± SD | 240 260 ± 180 600 | < detection limit |
| Bone marrow, IU/106 cells, mean ± SD | 166 440 ± 110 300 | < detection limit |
| Peripheral blood cells, IU/106 cells, mean ± SD | 196 800 ± 95 300 | < detection limit |
| B-cell clonal expansions, pattern/no. of bands | ||
| Liver | Oligoclonal/6 ± 2.6 | Polyclonal |
| Bone marrow | Oligoclonal/5 ± 3.1 | Polyclonal |
| Peripheral blood | Oligoclonal/6.3 ± 2.6 | Polyclonal |
| Liver histology | ||
| Inflammatory activity index | 6.2 ± 2.6 | 2.1 ± 0.6 |
| Grade of fibrosis | 2.2 ± 0.3 | 2.3 ± 0.5 |
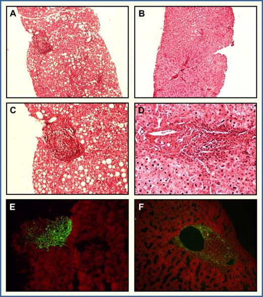
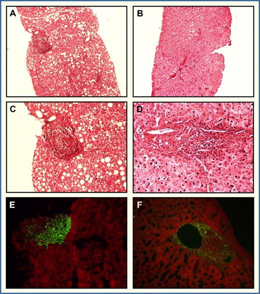
Low (20×/0.40) and high (63×/0.75) magnification of liver histology before PIRR therapy and after the follow-up period from a responsive MC patient(female, 59 years). (A,C) Basal liver biopsy and (B,D) pictures from the second liver biopsy taken 3 years after the end of the treatment. Note a significant decline of inflammatory cells either in portal tract or in parenchyma. A sharp regression of hepatocyte fat degeneration was also noticed. In situ detection of CD20 protein with direct immunofluorescence was carried out in the first (E) and in the second (F) liver biopsy. A remarkable decline of CD20+ cells was demonstrated after PIRR therapy. Slides were viewed with a Leica DMBL research microscope using N-PLAN lens. Images were acquired using a Leica camera model DFC 490 and were processed with Leica application Version 2.4.OR1 (Leica Microsystems).
Low (20×/0.40) and high (63×/0.75) magnification of liver histology before PIRR therapy and after the follow-up period from a responsive MC patient(female, 59 years). (A,C) Basal liver biopsy and (B,D) pictures from the second liver biopsy taken 3 years after the end of the treatment. Note a significant decline of inflammatory cells either in portal tract or in parenchyma. A sharp regression of hepatocyte fat degeneration was also noticed. In situ detection of CD20 protein with direct immunofluorescence was carried out in the first (E) and in the second (F) liver biopsy. A remarkable decline of CD20+ cells was demonstrated after PIRR therapy. Slides were viewed with a Leica DMBL research microscope using N-PLAN lens. Images were acquired using a Leica camera model DFC 490 and were processed with Leica application Version 2.4.OR1 (Leica Microsystems).
Discussion
The main goal in the treatment of HCV-related MC is the permanent eradication of cryoprecipitates. Antiviral management with the Peg-IFN-α and RBV combination inhibits HCV production, decreases infection of new cells, enhances clearance of cells already infected, and may result in disappearance of cryoprecipitates. Even when the virus is not eradicated, this treatment shows disease decline and delays vasculitic complications.18 The great number of treatment failures is attributed to factors related to both the virus and the host response that induce antiviral state by secreting cytokines and accruing immune cells in the microenvironments.
In addition to the almost invariable occurrence of HCV infection, chronic antigenic stimulation and clonal expansion of B-cell populations have been recognized as major factors in the pathogenesis of cryoglobulinemia.1 This has promoted the introduction of new measures to reduce the CD20 B-cell population. The use of RTX in the treatment of MC has deeply modified the dynamics of B cells by deleting expanded clones.25,26 Yet, even if RTX can be regarded as offering protection against factors potentially involved in the malignant B-cell transformation, enhanced hepatitis C viremia has been detected in some studies,26,31 although not confirmed in others.32 A more rational approach has thus been sought by combining RTX with Peg-IFN-α and RBV.17 This combination, termed PIRR, has been used to treat 22 HCV-related MC patients and compared with a conventional schedule that includes Peg-IFN-α/RBV without RTX in 15 additional MC patients.
In the PIRR group, 12 patients achieved a complete response and 5 with HCV RNA clearance attained a PR, thus reaching an overall response rate of 77.3%. Similarly, in the Peg-IFN-α/RBV group, a complete response was established in 5 patients and a PR, in 5 additional patients who had cleared HCV RNA, with a response rate of 66.6%. Given the stringent criteria fixed in this study to define a complete response and a PR, the comprehensive figures are roughly comparable with those reported by other authors.11,12
At variance from a recently published paper32 addressing the same issues, the present study is marked by the following features: (1) enrollment of naive patients who had not previously been given IFNs or immunosuppressive drugs; (2) a direct comparison with a group of control patients treated with Peg-IFN-α/RBV standard of care; (3) molecular assessment of B-cell clonal expansions in peripheral blood, liver, and bone marrow compartments; (4) comparison of the histologic features of liver samples obtained before and at the end of the study; and (5) a long-term follow-up of the patients until month 36 after completion of therapy.
Our results indicate that PIRR schedule is beneficial in abating disease activity and in eliminating cryoprecipitation in more than half of HCV-related MC patients. Compared with Peg-IFN-α/RBV combination, PIRR significantly increases the rate of clinical response and sustains a higher long-term remission rate. A possible synergistic mechanism can be envisaged by combining Peg-IFN-α, RBV, and RTX. Of the patients, 54% (12/22) responded to PIRR therapy and 83.3% (10/12) achieved a long-term response. Eradication of HCV RNA and regression of B-cell clonal expansions were associated with a remarkable clinical improvement. Eradication of HCV infection was consistent with absence of the virus in liver tissue and bone marrow–derived or circulating mononuclear cells. Demonstration of HCV RNA in tissues and cells, in fact, is directly related to the efficiency of the extraction and amplification of nucleic acids.38 TMA, a highly sensitive nucleic acid amplification assay, was unable to detect HCV RNA in liver biopsy tissues and in peripheral and bone marrow–derived mononuclear cells obtained from 7 of 10 aviremic patients 36 months after PIRR. These compartments are thus unlikely to serve as long-term HCV reservoirs.19,39
A substantial synergistic effect was exerted by PIRR on the biology of B-cell clonal expansions. Circulating B-cell clonalities declined in all responders. The therapeutic effect was stable at different time points in the follow-up period. Analysis of serial samples showed the polyclonal nature of circulating and bone marrow B-cell populations. Deletion of B-cell clonalities and polyclonal conversion of inflammatory cells occurred even in the liver tissue, indicating that PIRR fixes its therapeutic effect and prevents the reappearance of initially expanded or different B-cell clonotypes, as documented during treatment with RTX as a single agent.26 This observation strongly suggests that PIRR changes B-cell biology by deleting both virus-dependent and non–virus-dependent clonotypes.
Improvement of the histologic activity index was noted in the complete response group. The histologic features of liver samples obtained at the end of the study showed significant depletion of inflammatory cells and a striking regression of hepatocytolytic foci. These data indicate that PIRR can establish prolonged histologic remission in HCV-related MC patients without substantial side effects.
Relapse occurred in 16.6% (2/12) and in 60% (3/5) of PIRR and Peg-IFN-α/RBV group, respectively, of patients with complete response. Analyses at serial time points showed reappearance of cryoprecipitates after resumption of HCV replication and B-cell clonal expansions. The dynamics of these molecular events suggests that cold-precipitating proteins are part of a complex process in which virus-dependent activation of the immune system leads to clonal expansions of B cells capable of ensuring synthesis of RF molecules involved in the mechanism of cryoprecipitation. Cold-dependent insolubility of HCV-containing immune complexes seems to be the result of IgM RF, which acts as incomplete cryoglobulin able to precipitate at low temperature in the presence of IgG molecules with specific reactivity against the virus. Thus, in HCV-related cryoglobulinemia, cold-insoluble immune complexes are formed by IgM RF linked to IgG, which in turn is bound to HCV.40 This, however, is not the case of PR with SVR, in which cold-precipitable immune complexes do not apparently include HCV particles. Despite a successful and sustained virologic response, these patients were indeed found still capable of producing cryoglobulins. Although residual virus below the detectability limits of the TMA assay cannot be ruled out, it has been suggested that the dynamics of cryoprecipitation in these patients is sustained by IgM RF and IgG molecules. After their binding and when exposed to cold, RF molecules would be subjected to conformational changes responsible for their precipitation.41 It seems, therefore, likely that HCV is not directly involved in the process of cryoprecipitation, acting as an independent variable that activates the immune system, and this results in clonal expansion of B cells, which become autonomous because of the influence of the ongoing infection.17
In PR and NR patients, dominant B-cell clonotypes displayed identical rearrangements at different time points. This illustrates the remarkable stability of VDJ genes and suggests that these clonotypes are antigen independent in nature. They were refractory to the direct effect of RTX. Thus, among patients' characteristics capable of impacting therapeutic schedules, the persistent monoclonal nature of B-cell expansions is a major predictor of poor or no response.
Our findings show that PIRR is effective in just more than one-half of HCV-related MC patients. However, persistence of the sustained response noted after 36 months remains to be determined. Prolonged RTX administration has been shown to be safe in the majority of patients,42 although follow-up times are still relatively short and there have been isolated reports of fatal encephalitis after RTX management of cryoglobulinemia.43
In PR and NR patients, the occurrence of dominant B-cell clones resistant to RTX stultifies the efficacy of PIRR. Better results may perhaps be accomplished by the addition of other substances. Clonal expansions in these patients probably occur in an environment that is favorable to their immortalization and may be a predisposing factor for transforming events. Inappropriate survival signals underlie B-cell dysfunction in MC.44 The B-cell activating factor of the TNF family45 and B-cell attracting chemokine-146 overcome B-cell death signals in these patients. Autoantigen binding to the B-cell receptor allows B cells to survive and provides a growth advantage for expanded clones and conversion to RTX-resistant variants. Neutralization of the biologic activities of deregulated cytokines may provide an effective treatment option.47
In conclusion, this study illustrates both the value and the safety of the PIRR protocol in HCV-related MC. It has indeed been shown to be more effective than the Peg-IFNα/RBV standard of care. Assessment of individual molecular profiles is a key to the selection of potential responders. The design of new protocols to cover a broader spectrum of clinical and biologic responses could perhaps be improved through the elaboration of more extensive studies. Whether the addition of telaprevir, a specific inhibitor of the HCV protease that has been recently shown to improve the rate of SVR in patients with a chronic HCV genotype 1 infection,48,49 may also increase the rate of SVR and reduce the relapse rate of patients with MC receiving the PIRR therapy remains to be established.
The publication costs of this article were defrayed in part by page charge payment. Therefore, and solely to indicate this fact, this article is hereby marked “advertisement” in accordance with 18 USC section 1734.
Acknowledgments
This study was supported in part by the Italian Ministry of University and Scientific and Technologic Research, National Project “Chronic liver damage induced by hepatitis C virus” (D.S.); Agenzia Italiana del Farmaco (AIFA) funds for independent studies, 2007, contract no. FARM7SJX (D.S.); and Associazione Italiana per la Ricerca sul Cancro (AIRC; F.D.).
Authorship
Contribution: F.D. was study director, designed research, analyzed data, and wrote the paper; F.A.T. was a study investigator, performed research, and analyzed data; G.L. was a study investigator, performed research, analyzed data, and wrote the paper; P.G., V.D.R., V.C., S.S., S.R., M.A.M., and M.C. were study investigators and performed research; and D.S. was a principal investigator, designed research, analyzed data, and wrote the paper.
Conflict-of-interest disclosure: The authors declare no competing financial interests.
Correspondence: Franco Dammacco, Department of Internal Medicine and Clinical Oncology, University of Bari Medical School, Policlinico, Piazza Giulio Cesare 11, 70124 Bari, Italy; e-mail: francodam@dimo.uniba.it.





This feature is available to Subscribers Only
Sign In or Create an Account Close Modal