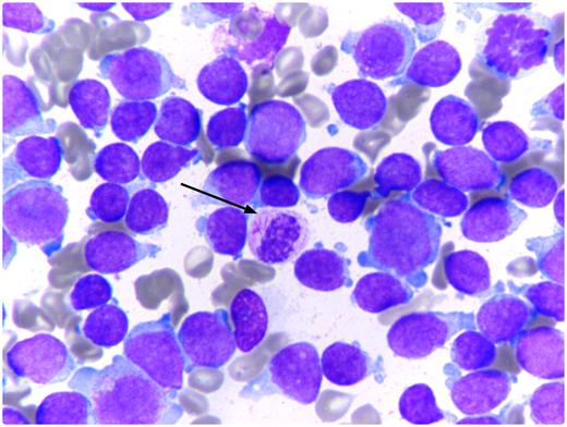
A 17-year-old previously healthy male presented with an incidental finding of pancytopenia and circulating blast cells in the peripheral blood. Bone marrow aspirate and biopsy showed a large population of blast cells. Blast cells showed variability in size, variable amount of cytoplasm, and vacuoles in the cytoplasm. Some contained azurophilic granules. The nuclei were irregular with folding and variably prominent nucleoli. A small population of dysplastic-appearing mature granulocytes contained single or multiple cytoplasmic Auer rods (see figure). Blasts did not contain Auer rods.
Flow cytometry showed mixed lineage leukemia. Approximately 90% of blast cells expressed TdT and CD34 with T-cell markers CD2 and CD7 and cytoplasmic and surface CD3. CD4 and CD8 expression was absent. In addition, these blasts expressed the myeloid markers CD13, CD15, and CD117. There was partial dim expression of cytoplasmic CD22. A small population of blast cells (5%) coexpressed cytoplasmic CD3 and myeloperoxidase. Cytogenetics were normal.
These findings are most consistent with 2008 World Health Organization acute leukemia of ambiguous lineage, subtype mixed phenotype acute leukemia T/myeloid, Not Otherwise Specified. The patient was treated on a high-risk ALL protocol with suboptimal response followed by allogeneic stem cell transplantation. Auer rods in mature neutrophils are extremely rare but described in acute promyelocytic leukemia, acute myeloid leukemia t(8;21), and acute myeloid leukemia with maturation.
A 17-year-old previously healthy male presented with an incidental finding of pancytopenia and circulating blast cells in the peripheral blood. Bone marrow aspirate and biopsy showed a large population of blast cells. Blast cells showed variability in size, variable amount of cytoplasm, and vacuoles in the cytoplasm. Some contained azurophilic granules. The nuclei were irregular with folding and variably prominent nucleoli. A small population of dysplastic-appearing mature granulocytes contained single or multiple cytoplasmic Auer rods (see figure). Blasts did not contain Auer rods.
Flow cytometry showed mixed lineage leukemia. Approximately 90% of blast cells expressed TdT and CD34 with T-cell markers CD2 and CD7 and cytoplasmic and surface CD3. CD4 and CD8 expression was absent. In addition, these blasts expressed the myeloid markers CD13, CD15, and CD117. There was partial dim expression of cytoplasmic CD22. A small population of blast cells (5%) coexpressed cytoplasmic CD3 and myeloperoxidase. Cytogenetics were normal.
These findings are most consistent with 2008 World Health Organization acute leukemia of ambiguous lineage, subtype mixed phenotype acute leukemia T/myeloid, Not Otherwise Specified. The patient was treated on a high-risk ALL protocol with suboptimal response followed by allogeneic stem cell transplantation. Auer rods in mature neutrophils are extremely rare but described in acute promyelocytic leukemia, acute myeloid leukemia t(8;21), and acute myeloid leukemia with maturation.
For additional images, visit the ASH IMAGE BANK, a reference and teaching tool that is continually updated with new atlas and case study images. For more information visit http://imagebank.hematology.org.

This feature is available to Subscribers Only
Sign In or Create an Account Close Modal