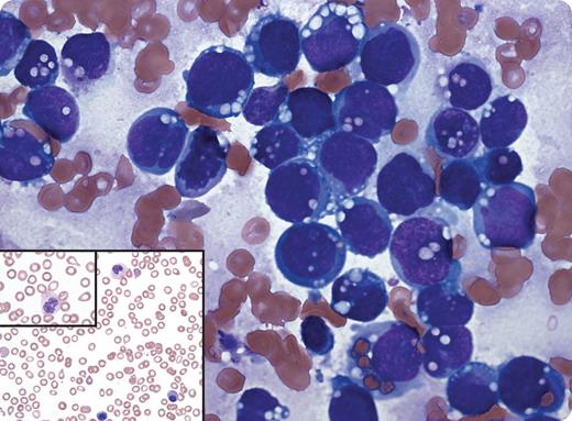
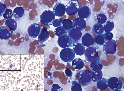
A 17-year-old female with history of a left cheek alveolar rhabdomyosarcoma (ARMS) status after 14 cycles of vincristine, dactinomycin, and cyclophosphamide presented 2 months after the last drug cycle with bruising, thrombocytopenia, and anemia (white blood cell count 3.4 × 109/L, hemoglobin 7.1 g/dL, platelets 8 × 109/L). The peripheral blood smear demonstrated normocytic anemia with nucleated red cells and teardrop cells, severe thrombocytopenia, and dysplastic granulocytes with a left shift (see figure insets). The bone marrow examination revealed blastlike cells of variable size with fine nuclear chromatin and prominent vacuoles within deep blue cytoplasm (see figure). The biopsy showed replacement by neoplastic cells, which were positive for desmin, myogenin, and CD56, but CD45-negative. Flow cytometry showed a CD45-negative, CD56-bright population. A diagnosis of metastatic ARMS was made. Cytogenetics demonstrated a complex karyotype, including t(2;13), and interphase FISH confirmed rearrangement involving FOXO1.
ARMS may mimic acute leukemia clinically, and the neoplastic cells can resemble hematologic blasts (especially lymphoblasts). This combination can result in a misdiagnosis. In this case, the peripheral smear and the clinical picture raised several possible causes. The diagnosis required correlation of a marrow examination, immunochemistry, flow cytometry, and cytogenetics.
A 17-year-old female with history of a left cheek alveolar rhabdomyosarcoma (ARMS) status after 14 cycles of vincristine, dactinomycin, and cyclophosphamide presented 2 months after the last drug cycle with bruising, thrombocytopenia, and anemia (white blood cell count 3.4 × 109/L, hemoglobin 7.1 g/dL, platelets 8 × 109/L). The peripheral blood smear demonstrated normocytic anemia with nucleated red cells and teardrop cells, severe thrombocytopenia, and dysplastic granulocytes with a left shift (see figure insets). The bone marrow examination revealed blastlike cells of variable size with fine nuclear chromatin and prominent vacuoles within deep blue cytoplasm (see figure). The biopsy showed replacement by neoplastic cells, which were positive for desmin, myogenin, and CD56, but CD45-negative. Flow cytometry showed a CD45-negative, CD56-bright population. A diagnosis of metastatic ARMS was made. Cytogenetics demonstrated a complex karyotype, including t(2;13), and interphase FISH confirmed rearrangement involving FOXO1.
ARMS may mimic acute leukemia clinically, and the neoplastic cells can resemble hematologic blasts (especially lymphoblasts). This combination can result in a misdiagnosis. In this case, the peripheral smear and the clinical picture raised several possible causes. The diagnosis required correlation of a marrow examination, immunochemistry, flow cytometry, and cytogenetics.
For additional images, visit the ASH IMAGE BANK, a reference and teaching tool that is continually updated with new atlas and case study images. For more information visit http://imagebank.hematology.org.

This feature is available to Subscribers Only
Sign In or Create an Account Close Modal