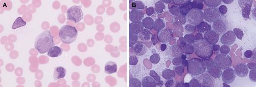
A 26-year-old male was evaluated for chest pain and was found to have a white cell count of 63 000 per cubic millimeter, hemoglobin 10.5 g/dL, platelets 102 000 per μL, with 18% blasts and promyelocytes (panel A). Bone marrow was hypercellular, with promyelocytes and myeloblasts (panel B), some with deeply clefted nuclei. This was morphologically consistent with acute promyelocytic leukemia hypergranular variant. However, FISH for t(15:17) translocation and variant translocations were negative. FISH and cytogenetics revealed t(9;22) translocation. A diagnosis of chronic myeloid leukemia (CML) blast crisis with promyelocytes was made. He had a complete hematologic, cytogenetic, and molecular remission after treatment with cytarabine, arabinoside, daunorubicin, and dasatinib and subsequent matched allogeneic bone marrow transplant.
Promyelocytic blast crisis can be associated with t(15;17) and also t(9;22) translocation or it can occur de novo CML promyelocytic blast crisis. This case highlights the importance of interpreting morphologic clues in context with available diagnostic tests to determine the appropriate treatment recommendations.
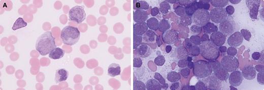
A 26-year-old male was evaluated for chest pain and was found to have a white cell count of 63 000 per cubic millimeter, hemoglobin 10.5 g/dL, platelets 102 000 per μL, with 18% blasts and promyelocytes (panel A). Bone marrow was hypercellular, with promyelocytes and myeloblasts (panel B), some with deeply clefted nuclei. This was morphologically consistent with acute promyelocytic leukemia hypergranular variant. However, FISH for t(15:17) translocation and variant translocations were negative. FISH and cytogenetics revealed t(9;22) translocation. A diagnosis of chronic myeloid leukemia (CML) blast crisis with promyelocytes was made. He had a complete hematologic, cytogenetic, and molecular remission after treatment with cytarabine, arabinoside, daunorubicin, and dasatinib and subsequent matched allogeneic bone marrow transplant.
Promyelocytic blast crisis can be associated with t(15;17) and also t(9;22) translocation or it can occur de novo CML promyelocytic blast crisis. This case highlights the importance of interpreting morphologic clues in context with available diagnostic tests to determine the appropriate treatment recommendations.
For additional images, visit the ASH IMAGE BANK, a reference and teaching tool that is continually updated with new atlas and case study images. For more information visit http://imagebank.hematology.org.

This feature is available to Subscribers Only
Sign In or Create an Account Close Modal