Abstract
Mastocytosis is a clonal proliferation of abnormal mast cells in single or multiple organs leading to clinical syndromes ranging from a benign self-resolving cutaneous disease to the highly aggressive malignancy, mast cell leukemia (MCL). Mastocytosis is categorized under myeloproliferative neoplasms in the 2008 World Health Organization (WHO) classification of hematopoietic and lymphoid diseases. In almost all cases of SM, the bone marrow (BM) is involved by atypical mast cells. The characteristic Asp816Val (D816V) mutation in the KIT gene present in most cases gives the atypical mast cells a survival advantage that leads to treatment resistance with tyrosine kinase inhibitor (TKIs) like imatinib. According to the 2008 WHO classification, 1 major and 1 minor or 3 minor criterion are required for the diagnosis of systemic mastocytosis (Fig. 1a). Systemic Mastocytosis (SM) is subcategorized into four distinct categories in order of indolent to highly aggressive disease: Indolent Systemic Mastocytosis (ISM), SM with an associated hematologic non-MC-lineage disease (SM-AHNMD), aggressive SM (ASM) and MCL. SM with C findings categorized as ASM (Fig. 1b) is treated with cytoreductive chemotherapy such as interferon 2α or 2-chlorodeoxyadenosine (2-CdA). The overall response rate (ORR) with these agents is 40–50% with significant chemotherapy-related toxicity and short durable responses. The majority of patients with ASM and MCL relapse within a year with a very poor prognosis.
The CD30 (Ki-1) antigen is expressed in the majority of ASM cases. Thus, CD30 can serve as a potential therapeutic target as well as a reliable tumor marker to follow disease status. Brentuximab vedotin is an antibody-drug conjugate compound consisting of a chimeric monoclonal antibody against CD30 linked to the antimitotic agent monomethyl auristatin E (MMAE). Here we report evidence of anti-tumor activity in two patients with CD30-positive ASM treated with brentuximab vedotin.
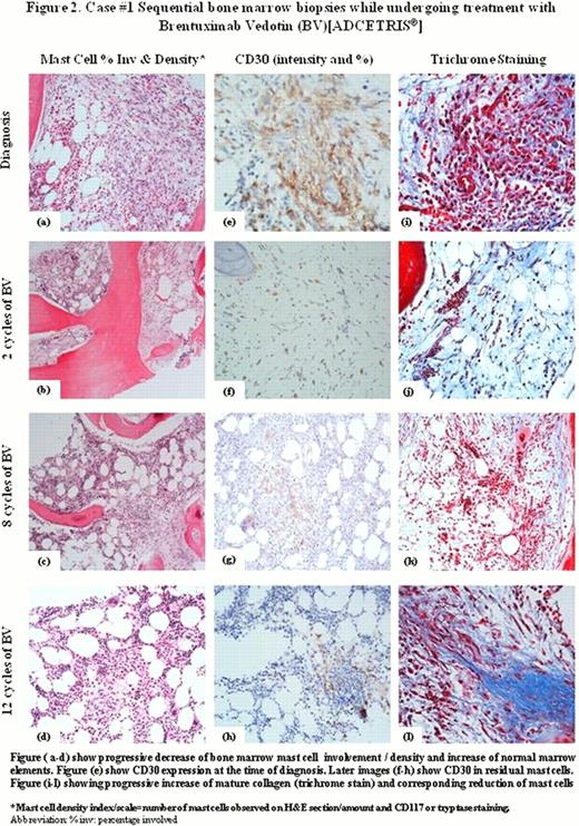
A 62 year old white male with significant medical history of rheumatoid arthritis, diabetes mellitus and coronary artery disease was evaluated for pancytopenia and hepatomegaly. His initial BM aspiration and biopsy revealed multifocal dense mast cell infiltrate (30–40% involvement with tryptase and CD117 positivity). His initial serum tryptase level was 276 ng/ml. He was treated with 2-CdA continuous infusion for three cycles with no significant response and substantial toxicities. He was subsequently enrolled in a clinical trial with brentuximab vedotin given every 3 weeks at 1.8 mg/kg after confirmation of CD30 positivity on BM aspirate and biopsy (Fig. 2). His peripheral blood counts started to improve after the 5thcycle and he had a durable partial response as assessed by his peripheral blood counts and BM biopsies (Fig 2). Importantly, his sequential bone marrow biopsies showed a decrease in mast cell involvement and CD30 intensity with improved normal marrow cellularity (Fig 2). His only treatment-related toxicities were grade II neuropathy and neutropenia for which his dose was reduced to 1.2 mg/kg. He is currently asymptomatic with ECOG performance status of 0 and does not require any growth factor support at Cycle 12 of this regimen.
A 79 yr old white male with significant medical history of hypertension, obstructive sleep apnea, coronary artery disease s/p CABG was referred for new diagnosis of ASM on BM biopsy (60–70% marrow involvement with 3+ mast cell density). His initial tryptase level was 224ng/ml. He was enrolled on the same clinical protocol as described above. His sequential BM biopsies revealed significant reduction in mast cell density with mild improvement in overall normal cellularity after 3 cycles of treatment. (Fig 3).
Brentuximab vedotin is a promising targeted therapy for SM and needs to be confirmed further by a prospective multicenter clinical trial. In two patients reported here treatment is well tolerated, targets the malignant mast cells and seems to prevent disease progression in a rare disorder with few treatment options and limited response rates.
Off Label Use: Brentuximab vedotin (ADCETRIS®) is an antibody-drug conjugate compound consisting of a chimeric monoclonal antibody against CD30 linked to the antimitotic agent monomethyl auristatin E (MMAE). It is not FDA approved for use in Mastocytosis.

This icon denotes a clinically relevant abstract
Author notes
Asterisk with author names denotes non-ASH members.



This feature is available to Subscribers Only
Sign In or Create an Account Close Modal