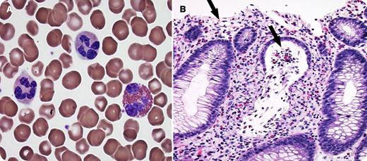
A 56-year-old man with immunoglobulin G-κ–type multiple myeloma was treated with high-dose melphalan followed by autologous hematopoietic stem cell rescue. Day 16 after transplant, he developed severe watery diarrhea and nausea. Laboratory studies showed mildly increased liver enzymes and peripheral eosinophilia (1.19 × 109/L). The differential diagnosis included drug toxicity and infectious colitis (including Clostridium difficile colitis), among other entities. However, an extensive work-up for infectious etiologies was negative, and empiric antibiotic treatment proved ineffective. Sigmoidoscopy with biopsy revealed grade 3 graft-versus-host disease (GVHD) with features of eosinophilic colitis. Peripheral blood smear showed eosinophilia (panel A). Colon biopsy showed surface epithelial erosion and crypt destruction with eosinophilic infiltration of the lamina propria and crypt lumen (panel B). The patient was treated with high-dose steroids for 1 week with significant improvement of symptoms.
GVHD is the major complication of allogeneic hematopoietic stem cell transplantation (HSCT), and is attributable to donor T-cell or natural killer cell recognition of recipient alloantigens. In autologous HSCT, there is no genetic disparity to induce an alloresponse. Occasionally, however, individuals treated with autologous HSCT (in particular, those with multiple myeloma) may develop potentially life-threatening syndromes pathologically identical to allogeneic GVHD. Peripheral eosinophilia with an associated gastrointestinal tract eosinophilic infiltrate secondary to increased levels of interleukin-2 (IL-2), IL-4, and IL-5 may be an early manifestation of autologous GVHD. Prompt recognition of this rare condition with immunosuppressive therapy is associated with improved outcomes.
A 56-year-old man with immunoglobulin G-κ–type multiple myeloma was treated with high-dose melphalan followed by autologous hematopoietic stem cell rescue. Day 16 after transplant, he developed severe watery diarrhea and nausea. Laboratory studies showed mildly increased liver enzymes and peripheral eosinophilia (1.19 × 109/L). The differential diagnosis included drug toxicity and infectious colitis (including Clostridium difficile colitis), among other entities. However, an extensive work-up for infectious etiologies was negative, and empiric antibiotic treatment proved ineffective. Sigmoidoscopy with biopsy revealed grade 3 graft-versus-host disease (GVHD) with features of eosinophilic colitis. Peripheral blood smear showed eosinophilia (panel A). Colon biopsy showed surface epithelial erosion and crypt destruction with eosinophilic infiltration of the lamina propria and crypt lumen (panel B). The patient was treated with high-dose steroids for 1 week with significant improvement of symptoms.
GVHD is the major complication of allogeneic hematopoietic stem cell transplantation (HSCT), and is attributable to donor T-cell or natural killer cell recognition of recipient alloantigens. In autologous HSCT, there is no genetic disparity to induce an alloresponse. Occasionally, however, individuals treated with autologous HSCT (in particular, those with multiple myeloma) may develop potentially life-threatening syndromes pathologically identical to allogeneic GVHD. Peripheral eosinophilia with an associated gastrointestinal tract eosinophilic infiltrate secondary to increased levels of interleukin-2 (IL-2), IL-4, and IL-5 may be an early manifestation of autologous GVHD. Prompt recognition of this rare condition with immunosuppressive therapy is associated with improved outcomes.
For additional images, visit the ASH IMAGE BANK, a reference and teaching tool that is continually updated with new atlas and case study images. For more information visit http://imagebank.hematology.org.

This feature is available to Subscribers Only
Sign In or Create an Account Close Modal