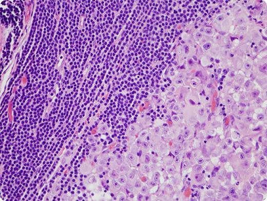
A 39-year-old man noted a pigmented lesion on his back that had been growing for ∼1 year. A punch biopsy demonstrated malignant melanoma, nodular type. He was also found to have a white blood cell count of 45.8 × 103/μL and palpable axillary, cervical, and inguinal lymph nodes. The blood was sent for flow cytometry and demonstrated a population of small CD19+ B cells that were λ light chain restricted, CD5+, CD10−, and CD23+ consistent with chronic lymphocytic leukemia/small lymphocytic lymphoma (CLL/SLL). Surgical pathology received bilateral axillary contents and a wide excision of the melanoma on the back. The lymph nodes grossly demonstrated areas that were pink-tan and fish-fleshy and other areas that were darkly pigmented. Of the 84 lymph nodes that were microscopically evaluated, 43 were involved by melanoma, and all were involved by CLL/SLL.
This case demonstrates an unusual circumstance of 2 primary malignancies present in the same specimen. Interestingly, BRAF mutations have been reported in both malignancies. Testing for BRAF mutations was performed on the punch biopsy and a bone marrow biopsy involved by CLL/SLL. The punch biopsy demonstrated a V600K BRAF mutation; however, a BRAF mutation was not detected in the bone marrow biopsy.
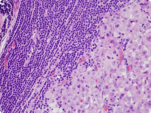
A 39-year-old man noted a pigmented lesion on his back that had been growing for ∼1 year. A punch biopsy demonstrated malignant melanoma, nodular type. He was also found to have a white blood cell count of 45.8 × 103/μL and palpable axillary, cervical, and inguinal lymph nodes. The blood was sent for flow cytometry and demonstrated a population of small CD19+ B cells that were λ light chain restricted, CD5+, CD10−, and CD23+ consistent with chronic lymphocytic leukemia/small lymphocytic lymphoma (CLL/SLL). Surgical pathology received bilateral axillary contents and a wide excision of the melanoma on the back. The lymph nodes grossly demonstrated areas that were pink-tan and fish-fleshy and other areas that were darkly pigmented. Of the 84 lymph nodes that were microscopically evaluated, 43 were involved by melanoma, and all were involved by CLL/SLL.
This case demonstrates an unusual circumstance of 2 primary malignancies present in the same specimen. Interestingly, BRAF mutations have been reported in both malignancies. Testing for BRAF mutations was performed on the punch biopsy and a bone marrow biopsy involved by CLL/SLL. The punch biopsy demonstrated a V600K BRAF mutation; however, a BRAF mutation was not detected in the bone marrow biopsy.
For additional images, visit the ASH IMAGE BANK, a reference and teaching tool that is continually updated with new atlas and case study images. For more information visit http://imagebank.hematology.org.

This feature is available to Subscribers Only
Sign In or Create an Account Close Modal