Abstract
HIV associated Burkitt lymphoma (BL) is a highly aggressive lymphoma. Compared to other AIDS related non-Hodgkin lymphoma’s its clinical presentation is less predictable and characterized by rapid clinical changes. The paradigm shift to treat HIV associated disease with highly effective intensive chemotherapy regimens while managing immunosuppression has made it possible to achieve remission and long-term survival. Southern Louisiana has one the of the highest incidence rates of HIV and cancers in the US. The authors present a challenging case of a 33-year old HIV+ male from southern Louisiana with advanced stage BL. The patient presented with advanced disease and a poor performance status. His initial providers recommended palliation only and significant education was needed to allow aggressive treatment. The patient tolerated induction chemotherapy and remains in remission. This is a case based review of local and nationwide epidemiology and the trial data supporting different treatment options for HIV associated Burkitt lymphoma.
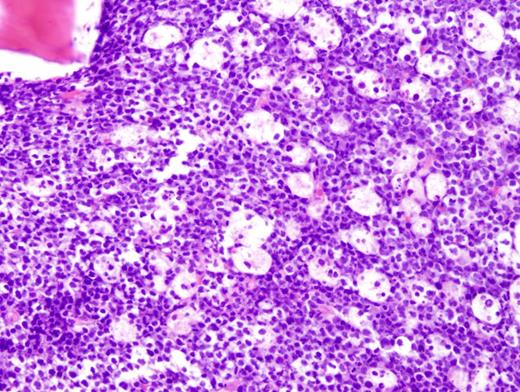
Our patient is a 33 year-old male who presented with severe cachexia, poor performance status and clinical symptomatic cord compression. He was diagnosed with advanced stage Burkitt lymphoma including bone marrow involvement. His CD4 count was 277 with an HIV viral load of 571,000 copies/mL. Although he had a poor performance status and his primary team favored palliation only he underwent induction chemotherapy with 4 cycles of infusional dose adjusted R-EPOCH with IT CNS chemoprophylaxis. HAART therapy with efavirenz/emtricitabine/tenofovir was started during his initial admission. He tolerated this regimen well, clinically dramatically improved being independent in his ADL/IADLs, and remains in remission.
The pathogenesis of HIV-associated Burkitt lymphoma is linked to oncogenic virus co-infection (40% EBV association) and chronic HIV antigen stimulation that provoke expansion of polyclonal B-cells. This leads to oncogenic chromosomal translocations - most notably t(8;14) causing constitutive expression of oncogene c-Myc. HIV patients have a 60 to 200-fold increased incidence of NHL. Relative risk for BL in HIV patients is 261-fold higher compared to the general population. Unlike the nationwide reported 19 per 100,000 person-years, data from a large HIV clinic in southern Louisiana continues to show an incidence rate of 23 per 100,000 person-years. Louisiana continues to have comparatively high incidence rates in HIV (4th in US) and cancer (11th in US) with the highest rates in southern Louisiana parishes. It is important for community physicians, especially in these areas, to feel more confident when treating these HIV associated malignancies.
Historically highly immunosuppressive chemotherapy has been avoided in HIV patients with lymphoma as studies in the 1990’s showed increased toxicity. The addition of the monoclonal C20 antibody rituximabin the treatment of AIDS associated NHLs was also controversial, as trial results showed increase infectious death rates. However, these clinical trials confirmed similar death rates from infections in individuals with a CD4 count >50. In addition concomitant use of HAART with chemotherapy has improved overall survival. Although the more dose intense Burkitt regimens have not been studied extensively in HIV-associated BL, CODOX-M/IVAC and DA-EPOCH +/- Rituximab (depending on CD4 count) have shown good efficacy and tolerance and are treatment regimens of choice this disease. A recent trial with 14 patients with HIV associated BL receiving RD-CODOXM/IVAC had 86% progression free survival rate at 1 year; patients receiving concomitant HAART had 100% PFS rate at 1 year. In another trial, 10 HIV associated BL patients receiving DA-EPOCH-R showed a 100% overall survival rate at 57 months.
HIV associated Burkitt lymphoma should be treated with HAART and high dose chemotherapy. Long-term remission has been shown with regimens including CODOX-M/IVAC and DA-EPOCH +/-Rituximab (R use discouraged in low CD4 counts). This case based report outlines the relatively high prevalence of disease in Southern Louisiana and emphasizes that remission is possible in patients with poor performance status and advanced disease.
No relevant conflicts of interest to declare.
Author notes
Asterisk with author names denotes non-ASH members.

This feature is available to Subscribers Only
Sign In or Create an Account Close Modal