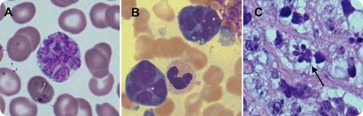
A 76-year-old man presented with right shoulder pain, weight loss, and night sweats. Complete blood count showed isolated thrombocytopenia (26 × 109/L). The blood film demonstrated medium to large atypical lymphoid cells (12% of leukocytes), many with polylobated nuclei or flower cell morphology (panel A, image obtained using Olympus BX51 microscope, ×1000 magnification). Computerized tomography identified a right scapular mass and retroperitoneal lymphadenopathy. Bone marrow examination (panel B) and biopsy of the scapular mass (panel C) revealed infiltration with atypical lymphoid cells identical to those in peripheral blood. These cells expressed CD20 and cytoplasmic immunoglobulin M (IgM) and were negative for surface immunoglobulin, CD3, and CD34 on flow cytometry. Terminal deoxynucleotidyltransferase and c-myc were negative on immunohistochemistry. Ki-67 was 40%. Cytogenetics identified an abnormal karyotype: 47, XY, t(1;6)(q32;q21), t(3;14)(q27;q32), +der(3)t(3:14). Fluorescence in situ hybridization confirmed B-cell lymphoma 6/IgH fusion at t(3;14). These features were consistent with diffuse large B-cell lymphoma in leukemic phase with flower cell morphology.
The World Health Organization classification of non-Hodgkin lymphomas recognizes morphologic variants of diffuse large B-cell lymphoma; however, even within this framework, the flower cell morphology seen in our case is rare. Although flower cells are typically associated with adult T-cell leukemia/lymphoma, in our case the cells are clearly of B-cell lineage. This demonstrates the importance of immunophenotyping in the classification of atypical mononuclear cells and that flower cell morphology is not confined to adult T-cell leukemia/lymphoma but can also be seen in diffuse large B-cell lymphoma.
A 76-year-old man presented with right shoulder pain, weight loss, and night sweats. Complete blood count showed isolated thrombocytopenia (26 × 109/L). The blood film demonstrated medium to large atypical lymphoid cells (12% of leukocytes), many with polylobated nuclei or flower cell morphology (panel A, image obtained using Olympus BX51 microscope, ×1000 magnification). Computerized tomography identified a right scapular mass and retroperitoneal lymphadenopathy. Bone marrow examination (panel B) and biopsy of the scapular mass (panel C) revealed infiltration with atypical lymphoid cells identical to those in peripheral blood. These cells expressed CD20 and cytoplasmic immunoglobulin M (IgM) and were negative for surface immunoglobulin, CD3, and CD34 on flow cytometry. Terminal deoxynucleotidyltransferase and c-myc were negative on immunohistochemistry. Ki-67 was 40%. Cytogenetics identified an abnormal karyotype: 47, XY, t(1;6)(q32;q21), t(3;14)(q27;q32), +der(3)t(3:14). Fluorescence in situ hybridization confirmed B-cell lymphoma 6/IgH fusion at t(3;14). These features were consistent with diffuse large B-cell lymphoma in leukemic phase with flower cell morphology.
The World Health Organization classification of non-Hodgkin lymphomas recognizes morphologic variants of diffuse large B-cell lymphoma; however, even within this framework, the flower cell morphology seen in our case is rare. Although flower cells are typically associated with adult T-cell leukemia/lymphoma, in our case the cells are clearly of B-cell lineage. This demonstrates the importance of immunophenotyping in the classification of atypical mononuclear cells and that flower cell morphology is not confined to adult T-cell leukemia/lymphoma but can also be seen in diffuse large B-cell lymphoma.
For additional images, visit the ASH IMAGE BANK, a reference and teaching tool that is continually updated with new atlas and case study images. For more information visit http://imagebank.hematology.org.

This feature is available to Subscribers Only
Sign In or Create an Account Close Modal