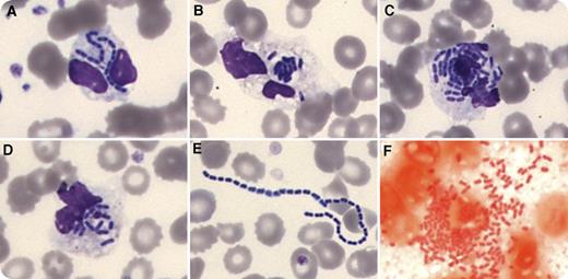
A 38-year-old woman was admitted as an outpatient for arsenic trioxide consolidation for acute promyelocytic leukemia. Findings of the clinical examination were normal, except for a brief episode of fever 2 days before. The C-reactive protein level was elevated (60 mg/L). May-Grünwald-Giemsa–stained blood smear analysis showed small dark purple rods in ∼15% of the neutrophil granulocytes (panels A-D) as well as extracellular bacteria forming chains (panel E). Gram staining confirmed the presence of Gram-negative bacteria (panel F). Because of this observation, blood cultures were performed, which confirmed a diagnosis of catheter-related bacteremia due to Enterobacter aerogenes. As Gram-negative bacteria rarely form chains, we hypothesized that the bacteria initially observed on the blood smear might be an EDTA contaminant. However, the same E aerogenes grew in blood cultures from the EDTA tube, which ruled out this hypothesis. The evolution was favorable after removal of the catheter and antibiotic therapy with piperacillin-tazobactam.
In contrast to other fluids like pleural effusion or cerebrospinal fluid, the observation of bacterial phagocytosis by neutrophils on a blood smear is very unusual. In this particular case, it led to adequate bacteriologic investigation and successful treatment.
A 38-year-old woman was admitted as an outpatient for arsenic trioxide consolidation for acute promyelocytic leukemia. Findings of the clinical examination were normal, except for a brief episode of fever 2 days before. The C-reactive protein level was elevated (60 mg/L). May-Grünwald-Giemsa–stained blood smear analysis showed small dark purple rods in ∼15% of the neutrophil granulocytes (panels A-D) as well as extracellular bacteria forming chains (panel E). Gram staining confirmed the presence of Gram-negative bacteria (panel F). Because of this observation, blood cultures were performed, which confirmed a diagnosis of catheter-related bacteremia due to Enterobacter aerogenes. As Gram-negative bacteria rarely form chains, we hypothesized that the bacteria initially observed on the blood smear might be an EDTA contaminant. However, the same E aerogenes grew in blood cultures from the EDTA tube, which ruled out this hypothesis. The evolution was favorable after removal of the catheter and antibiotic therapy with piperacillin-tazobactam.
In contrast to other fluids like pleural effusion or cerebrospinal fluid, the observation of bacterial phagocytosis by neutrophils on a blood smear is very unusual. In this particular case, it led to adequate bacteriologic investigation and successful treatment.
For additional images, visit the ASH IMAGE BANK, a reference and teaching tool that is continually updated with new atlas and case study images. For more information visit http://imagebank.hematology.org.

This feature is available to Subscribers Only
Sign In or Create an Account Close Modal