Abstract
Splenic littoral cells (LC) line the venous sinusoids of the human spleen and have been thought to act as blood cells filters. Little is known about SLCs beyond their preliminary characterization using immunochemistry and electron microscopy by others. Since SLCs comprise a significant portion of spleen, we hypothesized that SLC might be an important component of the splenic microenvironment that contributes to the development of extramedullary hematopoiesis in myelofibrosis (MF) patients.
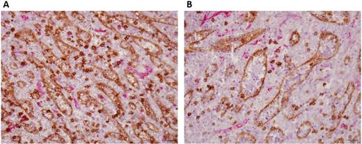
To further phenotypically characterize viable SLCs, surgically removed fresh spleens were treated with collagenase B and the hematopoietic cells were depleted using anti-CD45 micro-beads. The enriched CD45- cells were then stained and analyzed on a FACS analyzer. The SLCs were i, CD3-, CD45-, CD34-, CD8a+, CD31+ (Figure 1), ii, CD206+, CD21-, CD14-, FHOD1+, SIRP1a+, a phenotype identical to that previously reported based on IHC. SLCs and SECs were then identified by IHC in the red pulp of healthy individuals and MF patients using anti- CD8a and CD34 antibodies. SLCs were much more abundant than ECs in normal spleens. MF SLCs were however, much less condensed due to the expansion of hematopoietic cells than normal SLCs and the sinusoids encircled by SLCs were more elongated and had a more irregular shape as compared to normal spleen (Figure 2).
To isolate the viable SLC and EC, fresh or cryopreserved spleen single cell suspensions were prepared as above and were FACS sorted for CD3-, CD45-, CD34-, CD8a+, CD31+ SLCs and CD3-, CD45-, CD34+, CD8a-, CD31+ SECs. The SSC/FSC profiles revealed two cell populations which could be distinguished by size and complexity, SLC being bigger and less uniform in size and shape. The CD31 signal intensity was greater in SEC than in SLC.
The gene expression profiles of FACS sorted SLC, SEC and mononuclear cells (MNCs) were analyzed using human genome U133 Plus 2.0 arrays. DAVID Functional Annotation Clustering was applied to identify enriched gene clusters in selected lists. MNCs were significantly different from both SLC and EC, which expressed several clusters of genes involved in cell morphology, adhesion, and blood vessel formation. This indicated that SLCs were not closely related to myeloid cells but share features with SEC. SLC could however be differentiated from SEC by expression of genes involved in chromatin modification and regulation of RAS protein signaling, as well as intravesicle transportation genes, which may be related to their assumed capacity for phagocytosis. In addition SLC expressed many cytokines and adhesion molecules known to support hematopoiesis. Transcripts for various cytokines expressed by SEC and SLC were, however, distinct suggesting that they might serve as niches for different subpopulations of HSC/HPC. Preliminary microarray analysis of SLCs from an MF patient was also performed. Genes associated with apoptosis, intracellular lumens were upregulated as well as a cluster of genes in the cancer pathway. Cell cycle genes, genes of transcription regulation, and proteolysis were down-regulated in MF SLCs.
Sorted SLC were also cultured in EC medium (ECM). The cultured SLCs were able to be repeatedly passaged. These cells were wide and spindle shaped. At a lower density, the cells tended to connect and organize into rings with a hollow space in the middle which resembled a splenic sinusoid. Immunostaining for CD8a and FHOD1 were conducted on these cultured cells, revealing that they continued to express these two markers. Interestingly, the expression of FHOD1, a stress fiber inducing protein was strongly polarized.
To determine the relationship between SLC and the MF malignant clone SLCs from MF patients were isolated and assayed for JAK2V617F using allele specific NESTED PCR. Samples from three MF patients, were analyzed and no JAK2V617F was detected.
In conclusion, we have isolated, cultured and characterized SLCs from normal and MF spleens for the first time. This will allow for further analysis of their function in normal individuals and individuals with blood diseases.
FACS sorting strategies
A. CD45- CD3- CD34- CD8a+ CD31+ for SLC; CD45- CD3- CD34+ CD8a- CD31+ for SEC
B. SEC and SLC are separate populations by size and complexity
C. CD31, CD8a profile of SEC and SLC
FACS sorting strategies
A. CD45- CD3- CD34- CD8a+ CD31+ for SLC; CD45- CD3- CD34+ CD8a- CD31+ for SEC
B. SEC and SLC are separate populations by size and complexity
C. CD31, CD8a profile of SEC and SLC
Immuno-double staining of SLC and SEC, CD8 (brown), CD34 (red)
A. Normal spleen
B. MF spleen
Immuno-double staining of SLC and SEC, CD8 (brown), CD34 (red)
A. Normal spleen
B. MF spleen
Salama:Promedior: Consultancy.
Author notes
Asterisk with author names denotes non-ASH members.


This feature is available to Subscribers Only
Sign In or Create an Account Close Modal