Abstract
Very severe aplastic anemia due to doxycycline therapy
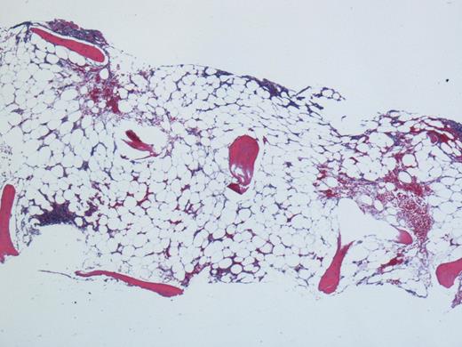
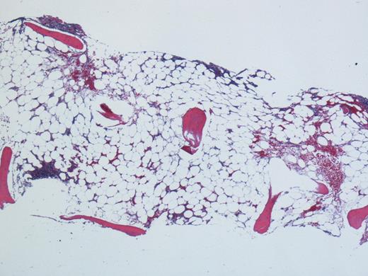
A 42 y/o male presented to the emergency department with 3 weeks history of fatigue and epistaxis. On initial blood work he was found to have pancytopenia with hemoglobin of 4.7g/dl, platelet count of 4,000 and absolute neutrophil count of 160. He has no significant family history. His past medical history was only significant for a skin rash, which was biopsied 3 months ago and reported to be follicular dermatitis. The only home medication he has taking was doxycycline 100mg twice a day for the past few weeks before the current hospital admission. He was transfused with packed red blood cells and platelets to maintain hemodynamic stability. His bone marrow biopsy was reported to be hypocellular (<5% cellularity) with normal morphological features (see figure 1). Paroxysmal nocturnal hemoglobinuria was ruled out by flow cytometry. Workup including HIV, EBV, Hepatitis B and C and parvovirus serology was reported to be negative. His history of long-term Doxycycline use as well as no family history of any similar disorder, it is plausible that doxycycline could have caused his aplastic anemia. In congruence with the above mentioned findings, he is diagnosed with very severe aplastic anemia and is planned to be started on immunosuppressive therapy with equine anti-thymocyte globulin and cyclosporine along with consultation for allogeneic transplant.
Aplastic anemia is a remarkably rare but serious adverse effect of drug therapy like antimicrobials. We report this as the first case, to the best of our knowledge based on the literature review, of possible doxycycline induced severe aplastic anemia. Our patient had history of skin rash for which he was taking doxycycline for few weeks before he presented with pancytopenia. Acquired aplastic anemia is a rare hematological disorder presenting with pancytopenia and a predominantly empty marrow. It is a fatal disease and irrespective of the etiology, without treatment, patients usually succumb due to infection and bleeding. Cases have been reported with tetracycline as a causative agent of aplastic anemia. We hypothesize doxycycline to be the possible etiology of severe aplastic anemia in this patient. Practitioners need to be aware of this rare but fatal complication of this widely used antibiotic.
Hypo-cellular Bone Marrow
No relevant conflicts of interest to declare.
Author notes
Asterisk with author names denotes non-ASH members.

This feature is available to Subscribers Only
Sign In or Create an Account Close Modal