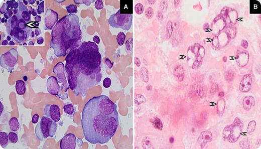
A 66-year-old woman diagnosed with breast cancer 7 years previously (treated by lumpectomy and local radiation) presented with new onset of back and rib pain. Body imaging revealed extensive pathologic rib fractures and lytic lesions involving multiple areas of the spine. Blood work showed immunoglobulin A (IgA) λ paraproteins. A bone marrow aspirate and trephine biopsy taken from the right iliac crest showed hypercellularity, with almost 80% of marrow involvement by highly pleomorphic cells. These cells were multilobated or multinucleated with abundant gray-blue cytoplasm (panels A-B). Some of the cells contained Dutcher bodies (panels A-B, arrows). Immunohistochemistry showed the multinucleated cells were positive for CD138, and negative for CD20, CD3, and pan-keratin marker (AE1/AE3). Cytogenetic analysis revealed a complex karyotype. Interphase fluorescence in situ hybridization studies demonstrated a t(4;14) (p16;q32)–FGFR3/IGH translocation in ∼80% of the cells. Overall findings were consistent with plasma cell myeloma with anaplastic features.
Anaplastic myeloma is a rare aggressive variant of myeloma. The pleomorphic multinucleated morphology can mimic multinucleated carcinomas. The previous history of breast carcinoma also made diagnosis more challenging in this case. The other distinctive feature was the presence of Dutcher bodies, which are periodic acid-Schiff–positive, diastase-resistant nuclear pseudo-inclusions. They are associated with lymphoplasmacytic lymphoma and plasma cell neoplasms and appear more frequently in t(4;14) myeloma with IgA isotype.
A 66-year-old woman diagnosed with breast cancer 7 years previously (treated by lumpectomy and local radiation) presented with new onset of back and rib pain. Body imaging revealed extensive pathologic rib fractures and lytic lesions involving multiple areas of the spine. Blood work showed immunoglobulin A (IgA) λ paraproteins. A bone marrow aspirate and trephine biopsy taken from the right iliac crest showed hypercellularity, with almost 80% of marrow involvement by highly pleomorphic cells. These cells were multilobated or multinucleated with abundant gray-blue cytoplasm (panels A-B). Some of the cells contained Dutcher bodies (panels A-B, arrows). Immunohistochemistry showed the multinucleated cells were positive for CD138, and negative for CD20, CD3, and pan-keratin marker (AE1/AE3). Cytogenetic analysis revealed a complex karyotype. Interphase fluorescence in situ hybridization studies demonstrated a t(4;14) (p16;q32)–FGFR3/IGH translocation in ∼80% of the cells. Overall findings were consistent with plasma cell myeloma with anaplastic features.
Anaplastic myeloma is a rare aggressive variant of myeloma. The pleomorphic multinucleated morphology can mimic multinucleated carcinomas. The previous history of breast carcinoma also made diagnosis more challenging in this case. The other distinctive feature was the presence of Dutcher bodies, which are periodic acid-Schiff–positive, diastase-resistant nuclear pseudo-inclusions. They are associated with lymphoplasmacytic lymphoma and plasma cell neoplasms and appear more frequently in t(4;14) myeloma with IgA isotype.
For additional images, visit the ASH IMAGE BANK, a reference and teaching tool that is continually updated with new atlas and case study images. For more information visit http://imagebank.hematology.org.

This feature is available to Subscribers Only
Sign In or Create an Account Close Modal