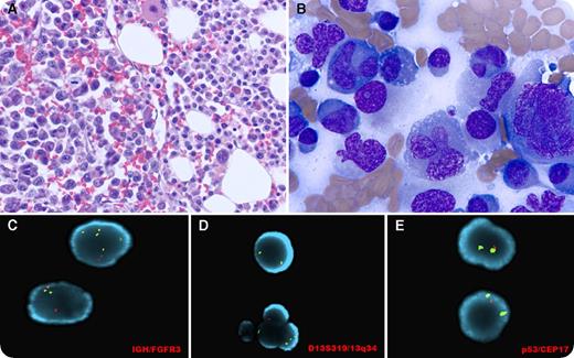
A 59-year-old hypertensive and diabetic man presented with bone pain, oliguria, and abdominal pain. Blood tests showed: hemoglobin, 8.7 g/dL; platelets, 69 × 109/L; β-2 microglobulin, 54.23 nmol/L; serum IgA, 3450 mg/L; free λ light chain, 8570 mg/L; serum calcium, 4.05 mmol/L; blood urea nitrogen, 24.28 mmol/L; and creatinine, 526.86 μmol/L. Imaging showed innumerable lytic lesions in the calvarium and a T7 vertebral body mass with extraosseous extension. Marrow biopsy showed sheets of abnormal plasma cells, with zones of pleomorphic, multinucleated cells alternating with more uniform malignant plasma cells (panels A-B; hematoxylin and eosin and Diff-Quik stains, respectively; original magnification ×1000), both λ-restricted by in situ hybridization. Fluorescence in situ hybridization showed del(17p13)(p53) (88% of cells), IGH/FGFR3 rearrangement (69% of cells), and del(13q14.3) (58% of cells) (panels C-E; original magnification ×1000). Karyotyping revealed multiple abnormalities including t(1;19), chromosome 13 abnormalities, add(1)(q21), and near tetraploidy in 75% of the cells analyzed. The patient was treated with cyclophosphamide, bortezomib, and dexamethasone, and the follow-up free λ light chain after 3 months was 147.7 mg/L.
Anaplastic myeloma is a rare, treatment-resistant subtype with poor prognosis. It is more common in younger patients, associated with immunoglobulin A isotype, predisposition for the extramedullary sites, and with 1q21 amplification, 17p(p53) deletion, t(4;14), and/or chromosome 13 anomalies. Anaplastic morphology may present initially or as a feature of progression.
A 59-year-old hypertensive and diabetic man presented with bone pain, oliguria, and abdominal pain. Blood tests showed: hemoglobin, 8.7 g/dL; platelets, 69 × 109/L; β-2 microglobulin, 54.23 nmol/L; serum IgA, 3450 mg/L; free λ light chain, 8570 mg/L; serum calcium, 4.05 mmol/L; blood urea nitrogen, 24.28 mmol/L; and creatinine, 526.86 μmol/L. Imaging showed innumerable lytic lesions in the calvarium and a T7 vertebral body mass with extraosseous extension. Marrow biopsy showed sheets of abnormal plasma cells, with zones of pleomorphic, multinucleated cells alternating with more uniform malignant plasma cells (panels A-B; hematoxylin and eosin and Diff-Quik stains, respectively; original magnification ×1000), both λ-restricted by in situ hybridization. Fluorescence in situ hybridization showed del(17p13)(p53) (88% of cells), IGH/FGFR3 rearrangement (69% of cells), and del(13q14.3) (58% of cells) (panels C-E; original magnification ×1000). Karyotyping revealed multiple abnormalities including t(1;19), chromosome 13 abnormalities, add(1)(q21), and near tetraploidy in 75% of the cells analyzed. The patient was treated with cyclophosphamide, bortezomib, and dexamethasone, and the follow-up free λ light chain after 3 months was 147.7 mg/L.
Anaplastic myeloma is a rare, treatment-resistant subtype with poor prognosis. It is more common in younger patients, associated with immunoglobulin A isotype, predisposition for the extramedullary sites, and with 1q21 amplification, 17p(p53) deletion, t(4;14), and/or chromosome 13 anomalies. Anaplastic morphology may present initially or as a feature of progression.
For additional images, visit the ASH IMAGE BANK, a reference and teaching tool that is continually updated with new atlas and case study images. For more information visit http://imagebank.hematology.org.

This feature is available to Subscribers Only
Sign In or Create an Account Close Modal