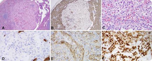
A 21-year-old man presented with immune thrombocytopenic purpura refractory to steroids and intravenous immunoglobulin. Imaging revealed mild splenomegaly without lesions. Laparoscopic splenectomy was performed for refractory thrombocytopenia. Gross examination showed a 250-g spleen without abnormalities. Histologically, a single, well-circumscribed, 2-mm subcapsular lesion with anastomosing vascular channels was identified. The vascular spaces were lined with tall columnar endothelial cells without atypia (panels A and C, hematoxylin and eosin stain; panel A, original magnification ×4; panel C, original magnification ×50). The lesion was negative for CD8 (panel B; original magnification ×4) and CD34 (panel D; original magnification ×50) and positive for CD31 (panel E; original magnification ×50) and CD163 (panel F; original magnification ×50) by immunohistochemistry.
Littoral cell angiomas (LCAs) are rare primary vascular neoplasms of the spleen originating from littoral cells that line red pulp sinuses. Unlike normal littoral cells, LCAs are classically negative for CD8. They are often discovered incidentally or the patient may present with abdominal pain, fever, and symptoms of hypersplenism. In this case, it is unlikely that such a small solitary lesion contributed to the patient’s thrombocytopenia. Definitive diagnosis requires histologic and immunohistochemical studies after splenectomy. LCAs were originally thought to be benign, but recently, they have been described as having some malignant potential as well as an association with visceral malignancies and immunologic disorders. Given these possibilities, close clinical follow-up is recommended.
A 21-year-old man presented with immune thrombocytopenic purpura refractory to steroids and intravenous immunoglobulin. Imaging revealed mild splenomegaly without lesions. Laparoscopic splenectomy was performed for refractory thrombocytopenia. Gross examination showed a 250-g spleen without abnormalities. Histologically, a single, well-circumscribed, 2-mm subcapsular lesion with anastomosing vascular channels was identified. The vascular spaces were lined with tall columnar endothelial cells without atypia (panels A and C, hematoxylin and eosin stain; panel A, original magnification ×4; panel C, original magnification ×50). The lesion was negative for CD8 (panel B; original magnification ×4) and CD34 (panel D; original magnification ×50) and positive for CD31 (panel E; original magnification ×50) and CD163 (panel F; original magnification ×50) by immunohistochemistry.
Littoral cell angiomas (LCAs) are rare primary vascular neoplasms of the spleen originating from littoral cells that line red pulp sinuses. Unlike normal littoral cells, LCAs are classically negative for CD8. They are often discovered incidentally or the patient may present with abdominal pain, fever, and symptoms of hypersplenism. In this case, it is unlikely that such a small solitary lesion contributed to the patient’s thrombocytopenia. Definitive diagnosis requires histologic and immunohistochemical studies after splenectomy. LCAs were originally thought to be benign, but recently, they have been described as having some malignant potential as well as an association with visceral malignancies and immunologic disorders. Given these possibilities, close clinical follow-up is recommended.
For additional images, visit the ASH IMAGE BANK, a reference and teaching tool that is continually updated with new atlas and case study images. For more information visit http://imagebank.hematology.org.

This feature is available to Subscribers Only
Sign In or Create an Account Close Modal