Subjects:
Free Research Articles
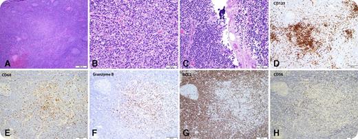
On page 1884 in the 30 March 2017 issue, the images in panels G and H of the figure, showing plasmacytoid dendritic cells negative for BCL2 and CD56, are reversed, with the BCL2-negative cells in panel H and the CD56-negative cells in panel G. The corrected figure is shown below. The error has been corrected in the online version, which now differs from the print version.
© 2017 by The American Society of Hematology
2017

This feature is available to Subscribers Only
Sign In or Create an Account Close Modal