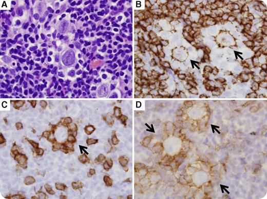
A 35-year-old man presented with axillary adenopathy. A biopsy was performed. Microscopic evaluation demonstrated a nodular lymphoid proliferation composed of scattered large atypical lymphoid cells in a background of small mature lymphocytes. Many of the atypical cells had multilobulated nuclei and others had large, rounded nuclei with multiple nucleoli. The large cells were very tightly ringed by smaller lymphocytes forming rosettes (panel A; original magnification ×1000, hematoxylin and eosin stain). The large cells and the majority of small background lymphocytes were CD20 positive (arrows, panel B; original magnification ×1000, CD20 immunostain). However, the small lymphocytes ringing the large cells were distinctly CD20 negative (panel B). These lymphocytes expressed CD3 (arrow, panel C; original magnification ×1000, CD3 immunostain), programmed cell death protein-1 (arrows, panel D; original magnification ×1000, PD-1 immunostain), and CD57, consistent with follicular helper T (TFH) cells. Additional studies showed that the tumor cells expressed PAX5 and BCL6 but were negative for CD30, CD15, and Epstein-Barr virus. A diagnosis of nodular lymphocyte–predominant Hodgkin lymphoma (NLPHL) was made.
A characteristic finding in NLPHL is TFH cells tightly ringing tumor cells. TFH cells are speculated to have a prosurvival effect in this context, perhaps analogous to their role in the normal follicle center where they promote survival of positively selected B cells. This feature highlights the immunologic interplay in the microenvironment.
A 35-year-old man presented with axillary adenopathy. A biopsy was performed. Microscopic evaluation demonstrated a nodular lymphoid proliferation composed of scattered large atypical lymphoid cells in a background of small mature lymphocytes. Many of the atypical cells had multilobulated nuclei and others had large, rounded nuclei with multiple nucleoli. The large cells were very tightly ringed by smaller lymphocytes forming rosettes (panel A; original magnification ×1000, hematoxylin and eosin stain). The large cells and the majority of small background lymphocytes were CD20 positive (arrows, panel B; original magnification ×1000, CD20 immunostain). However, the small lymphocytes ringing the large cells were distinctly CD20 negative (panel B). These lymphocytes expressed CD3 (arrow, panel C; original magnification ×1000, CD3 immunostain), programmed cell death protein-1 (arrows, panel D; original magnification ×1000, PD-1 immunostain), and CD57, consistent with follicular helper T (TFH) cells. Additional studies showed that the tumor cells expressed PAX5 and BCL6 but were negative for CD30, CD15, and Epstein-Barr virus. A diagnosis of nodular lymphocyte–predominant Hodgkin lymphoma (NLPHL) was made.
A characteristic finding in NLPHL is TFH cells tightly ringing tumor cells. TFH cells are speculated to have a prosurvival effect in this context, perhaps analogous to their role in the normal follicle center where they promote survival of positively selected B cells. This feature highlights the immunologic interplay in the microenvironment.
For additional images, visit the ASH IMAGE BANK, a reference and teaching tool that is continually updated with new atlas and case study images. For more information visit http://imagebank.hematology.org.

This feature is available to Subscribers Only
Sign In or Create an Account Close Modal