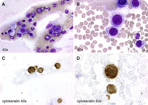
A 33-year-old woman with widely metastatic breast cancer was admitted with hemorrhagic shock and disseminated intravascular coagulation (DIC). Review of the Wright-stained peripheral blood smear showed leukoerythroblastosis, thrombocytopenia, and large atypical cells (∼50 µm) with vacuolated cytoplasm resembling myeloid/erythroblasts or Burkitt lymphoma cells. Most large cells were found at the feathered edge (panel A) and sides of the smear (panel B), with a few present at the center (panel B inset, original magnification ×40). Given the patient's history, these findings were suspicious for carcinoma cell leukemia/carcinocythemia. Immunohistochemistry for cytokeratin was positive in the suspect cells, confirming the diagnosis (panels C-D). Despite supportive care, she developed worsening coagulopathy and died shortly thereafter before a bone marrow biopsy or ancillary studies could be obtained.
Carcinocythemia mimics leukemia and is an unusual finding in a peripheral blood smear. This phenomenon may be attributable to impaired clearance by the reticuloendothelial system due to tumor infiltration or to deteriorated immune surveillance. Curiously, it appears to occur independent of bone marrow infiltration. Reported cases have been associated with DIC/thrombosis, suggesting its causative role in thrombotic disorders. Carcinocythemia differs from cancer cells present in minute amounts in the bloodstream (circulating tumor cells) that can only be detected by immunological, molecular, or functional assays.
A 33-year-old woman with widely metastatic breast cancer was admitted with hemorrhagic shock and disseminated intravascular coagulation (DIC). Review of the Wright-stained peripheral blood smear showed leukoerythroblastosis, thrombocytopenia, and large atypical cells (∼50 µm) with vacuolated cytoplasm resembling myeloid/erythroblasts or Burkitt lymphoma cells. Most large cells were found at the feathered edge (panel A) and sides of the smear (panel B), with a few present at the center (panel B inset, original magnification ×40). Given the patient's history, these findings were suspicious for carcinoma cell leukemia/carcinocythemia. Immunohistochemistry for cytokeratin was positive in the suspect cells, confirming the diagnosis (panels C-D). Despite supportive care, she developed worsening coagulopathy and died shortly thereafter before a bone marrow biopsy or ancillary studies could be obtained.
Carcinocythemia mimics leukemia and is an unusual finding in a peripheral blood smear. This phenomenon may be attributable to impaired clearance by the reticuloendothelial system due to tumor infiltration or to deteriorated immune surveillance. Curiously, it appears to occur independent of bone marrow infiltration. Reported cases have been associated with DIC/thrombosis, suggesting its causative role in thrombotic disorders. Carcinocythemia differs from cancer cells present in minute amounts in the bloodstream (circulating tumor cells) that can only be detected by immunological, molecular, or functional assays.
For additional images, visit the ASH IMAGE BANK, a reference and teaching tool that is continually updated with new atlas and case study images. For more information visit http://imagebank.hematology.org.

This feature is available to Subscribers Only
Sign In or Create an Account Close Modal