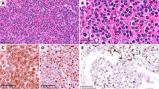
A 74-year-old man presented with a B-cell lymphoproliferative disorder involving bone marrow with marked splenomegaly. Splenectomy was performed (weight, 9400 g) showing diffuse beefy-red appearance with no mass lesions. Histologic sections showed diffuse infiltration of the red pulp (panel A, ×600 original magnification) by a monomorphic population of small- to medium-sized lymphoid cells with round nuclei, mature chromatin, and small nucleoli (panel B, ×800 original magnification). The neoplastic lymphoid cells were positive for CD20, CD79a (panel C, ×400 original magnification), DBA44, and cyclin D3 (panel D, ×400 original magnification) but negative for CD5, cyclin D1, IgD, annexin A1, and LEF1 by immunohistochemistry. Bone marrow showed intrasinusoidal involvement highlighted by CD20 staining (panel E, ×100 original magnification).
Splenic diffuse red pulp small B-cell lymphoma is a rare small B-cell neoplasm and is currently classified in the category of unclassifiable splenic B-cell lymphomas/leukemias. The differential diagnosis from other splenic lymphomas can be difficult. Cyclin D3 is expressed in the majority of splenic diffuse red pulp small B-cell lymphoma cases, although mutations in CCND3 were reported in only 25% of cases, and was negative in the current case. Cyclin D3 has been reported as negative in most other B-cell neoplasms involving the spleen, including hairy cell leukemia. However, limited data exist for expression in hairy cell leukemia variant. This case raises awareness of this rare disease as well as the utility of cyclin D3 immunohistochemistry to facilitate diagnosis.
A 74-year-old man presented with a B-cell lymphoproliferative disorder involving bone marrow with marked splenomegaly. Splenectomy was performed (weight, 9400 g) showing diffuse beefy-red appearance with no mass lesions. Histologic sections showed diffuse infiltration of the red pulp (panel A, ×600 original magnification) by a monomorphic population of small- to medium-sized lymphoid cells with round nuclei, mature chromatin, and small nucleoli (panel B, ×800 original magnification). The neoplastic lymphoid cells were positive for CD20, CD79a (panel C, ×400 original magnification), DBA44, and cyclin D3 (panel D, ×400 original magnification) but negative for CD5, cyclin D1, IgD, annexin A1, and LEF1 by immunohistochemistry. Bone marrow showed intrasinusoidal involvement highlighted by CD20 staining (panel E, ×100 original magnification).
Splenic diffuse red pulp small B-cell lymphoma is a rare small B-cell neoplasm and is currently classified in the category of unclassifiable splenic B-cell lymphomas/leukemias. The differential diagnosis from other splenic lymphomas can be difficult. Cyclin D3 is expressed in the majority of splenic diffuse red pulp small B-cell lymphoma cases, although mutations in CCND3 were reported in only 25% of cases, and was negative in the current case. Cyclin D3 has been reported as negative in most other B-cell neoplasms involving the spleen, including hairy cell leukemia. However, limited data exist for expression in hairy cell leukemia variant. This case raises awareness of this rare disease as well as the utility of cyclin D3 immunohistochemistry to facilitate diagnosis.
For additional images, visit the ASH Image Bank, a reference and teaching tool that is continually updated with new atlas and case study images. For more information, visit http://imagebank.hematology.org.
This feature is available to Subscribers Only
Sign In or Create an Account Close Modal