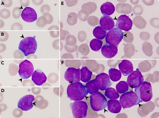
An 11-year-old girl presented with a 1-month history of weakness, headaches, and fever episodes. Complete blood count showed anemia (hemoglobin, 41 g/L), leukopenia (3.44 × 109/L), neutropenia (0.77 × 109/L), and 25% blasts with frequent (80%) cuplike nuclei (panels A-D; arrowheads; original magnification ×1000; May-Grünwald-Giemsa stain). Flow cytometry showed coexpression of CD19, CD10, and CD34 consistent with a common B-cell acute lymphoblastic leukemia (B-ALL). Bone marrow aspiration showed 90% lymphoblasts with a less conspicuous and less frequent (40%) cuplike nuclei than in blood (panels E-F; arrowheads; original magnification ×1000; May-Grünwald-Giemsa stain). Karyotype was normal (46,XX). Targeted next-generation sequencing showed pathogenic variants in IKZF1 (p.R213Stop), FLT3 (p.M578delinsIP), and TP53 (p.R248W). Moreover, IKZF1 and ERG deletions were found leading to highlight an IGH::DUX4 fusion by targeted RNA sequencing.
DUX4-rearranged B-ALL is an oncogenic subgroup with good prognosis. In 30% of cases, IKZF1 alterations are associated, without affecting the prognosis. However, the presence of a TP53 mutation can negatively impact outcome regardless of DUX4r. There are few morphological data on this entity. Blasts with cuplike nuclei are well recognized in acute myeloid leukemia associated with NPM1 and/or FLT3-ITD mutations but are uncommon in B-ALL. A recent study reported that cuplike B-ALL frequently harbored IKZF1 deletion, the abnormality present in our patient. Additional observations will undoubtedly be necessary to better clarify the link between each of these molecular abnormalities and the observed morphology.
For additional images, visit the ASH Image Bank, a reference and teaching tool that is continually updated with new atlas and case study images. For more information, visit http://imagebank.hematology.org.

This feature is available to Subscribers Only
Sign In or Create an Account Close Modal