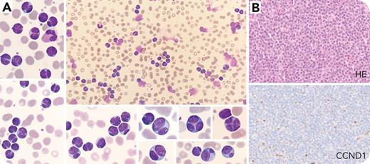
A 74-year-old man was admitted to the emergency department. Physical examination and computerized axial tomography scan showed the presence of enlarged lymph nodes. The full blood counts presented were as follows: hemoglobin, 72 g/L; leukocytosis (212.8 × 109/L) with lymphocytosis (186.63 × 109/L [87.7%]); and platelet count, 393 × 109/L. The peripheral blood film showed the presence of small/medium and mature lymphocytes with faintly basophilic cytoplasm, some with binucleated/cleaved (51%) or cloverleaf-shaped (2%) nucleus and sometimes internuclear bridges (panel A, 40× [top right] and 100× objective, Wright-Giemsa-stain). Flow cytometry was positive to sIgκ(dim), CD5, CD19, CD20(dim), CD23, CD43, CD79b, and CD200 and negative to sIgλ and CD10. Cytogenetic studies revealed the presence of trisomy 12; not present were del(13q14), del(17p13.1), or del(11q22.3). TP53 and IGVH were unmutated. A diagnosis of small lymphocytic lymphoma/chronic lymphocytic leukemia (SLL/CLL) was made. The biopsy of the axillar lymph node was consistent with a diagnosis of SLL/CLL, being positive to CD20, CD5, CD23 and negative to CCND1 and CD10 (panel B, 40× objective, hematoxylin-eosin-stain; 40× objective, CCND1).
Atypical morphology may be seen in up to 20% of CLL cases, related with trisomy 12, del(11q23), del(17p13), and p53 mutations/deletions. Binucleated lymphocytes can be found in low-dose irradiation and in polyclonal chronic B-cell lymphocytosis with binucleated lymphocytes. Cleaved nuclei are common in mantle cell lymphoma, marginal zone lymphoma, follicular lymphoma, or pertussis infection. These entities must be excluded when this morphology is observed.
For additional images, visit the ASH Image Bank, a reference and teaching tool that is continually updated with new atlas and case study images. For more information, visit https://imagebank.hematology.org.

This feature is available to Subscribers Only
Sign In or Create an Account Close Modal