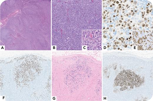
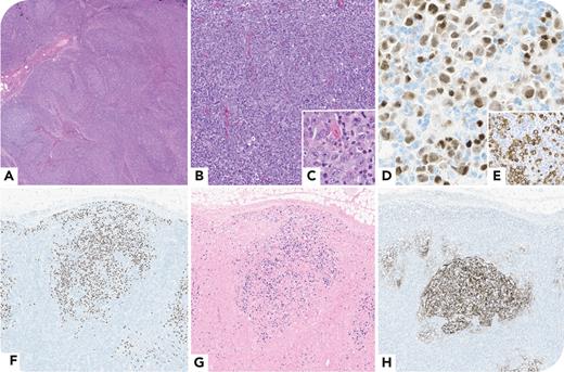
A 36-year-old man with HIV presented with a groin mass. Imaging showed generalized lymphadenopathy. Bone marrow testing showed negative results. An axillary lymph node biopsy showed reactive follicular hyperplasia (panel A, hematoxylin and eosin stain [H&E], 2× objective) and plasmacytosis with occasional follicles expanded by large, atypical cells (panel B, H&E, 10× objective; and panel C, 100× objective). The cells expressed multiple myeloma oncogene 1 (panel D, 40× objective), CD3 (panel E, 40× objective), human herpesvirus 8 (HHV8) (panel F, 4× objective), and Epstein-Barr virus (EBV) (panel G, 4× objective) with partial staining for CD138, CD19, immunoglobulin G, and CD30. They were negative for CD20, CD45, CD79a, latent membrane protein 1, and Epstein-Barr nuclear antigen 2 (EBV latency type 1) and were associated with CD21-positive follicular dendritic cell meshworks (panel H, 4× objective). Neither κ/λ staining nor immunoglobulin gene rearrangement studies showed evidence of clonality.
Kaposi sarcoma-associated herpesvirus (KSHV)/HHV8-positive germinotropic lymphoproliferative disorder (GLPD) is a rare disease that usually presents as localized lymphadenopathy in immunocompetent older adults but can present as generalized lymphadenopathy in younger males with HIV. The follicular distribution, diminished pan–B-cell marker expression, coexpression of HHV8 and EBV, and polyclonality were indicative of GLPD. In contrast, aggressive B-cell lymphomas, such as extracavitary primary effusion lymphoma, may coexpress HHV8 and EBV but show diffuse sheets of tumor cells and B-cell clonality. GLPD also may aberrantly express CD3, as in this case, thereby mimicking T-cell lymphoma. Astute recognition is essential, because GLPD typically has an indolent clinical course. However, occasional transformation to diffuse large B-cell lymphoma has been reported.
For additional images, visit the ASH Image Bank, a reference and teaching tool that is continually updated with new atlas and case study images. For more information, visit https://imagebank.hematology.org.

This feature is available to Subscribers Only
Sign In or Create an Account Close Modal