Skip Nav Destination
PHOTOGRAPHS|
December 1, 1994
Citation
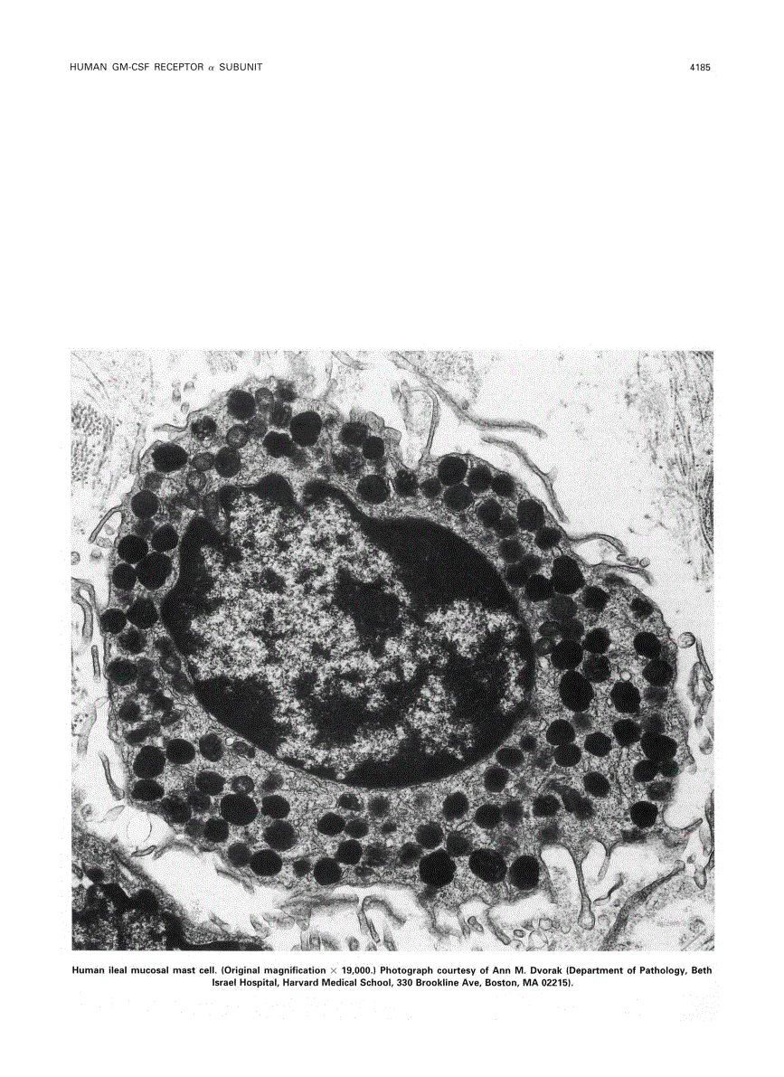
A. M. Dvorak; Photograph. Blood 1994; 84 (12): 4185. doi: https://doi.org/10.1182/blood.V84.12.4185.4185
Download citation file:
December 15 1994
Advertisement intended for health care professionals
Cited By
Advertisement intended for health care professionals
This feature is available to Subscribers Only
Sign In or Create an Account Close Modal