To the Editor:
Characterization of β-thalassemia mutations in different populations has shown 180 mutant alleles.1 So far, 25 mutations have been reported among Indians, 5 of which comprise more than 80% of the mutant alleles.2-4
We report two interesting Indian families showing a novel β+-thalassemia mutation and a rare transcriptional mutation. They had come to us for second trimester prenatal diagnosis by globin biosynthesis.
The β-thalassemia mutations were characterized by denaturing gradient gel electrophoresis (DGGE) analysis.5 Both mutations were detected in fragment B of the β-globin gene spanning from the upstream −64 nucleotide to IVS-I-nt61 containing the promoter boxes and exon-1. DNA Sequencing was performed by the dideoxy method using Sequenase version 2.0 to identify the mutation.6
Family I was from Madhya Pradesh in central India. Both parents (I-1) and (I-2) had classical β-thalassemia trait (Fig 1). Their 3-year-old son (II-1) with severe homozygous β-thalassemia had been diagnosed at 8 months of age and had been transfused every month. This child was not available for investigation. Fetal diagnosis at 18 weeks of gestation in the next pregnancy showed that the β/α biosynthetic ratio was 0.021, indicating that the fetus had homozygous β+-thalassemia (normal β/α ratio, >0.03).
Family I. The hematologic profile and the β-thalassemia mutations characterized in the parents (I-1 and I-2).
Family I. The hematologic profile and the β-thalassemia mutations characterized in the parents (I-1 and I-2).
DGGE analysis showed that the mother (I-2) had the IVS I-5 G → C mutation, whereas the father (I-1) had an anomalous DGGE pattern in fragment B.
Sequencing of this region using the forward primer showed a novel mutation at codon 10 GCC → GCA on the coding strand. Both the normal codon (GCC) and the mutant codon (GCA) code for alanine. This C → A substitution creates the sequence CAGTTA in the mutated region. A catalogue of the sequences found at functional splice sites has identified the 5′ consensus sequence C/A AGG TG/AA. The C → A change in codon 10 produces a sequence that has homology to 5 of 6 nucleotides of the normal splice site at the exon 1-intron-I boundary. It has been reported earlier that this homologous sequence in the exon causes alternative splicing at the site giving a β+-phenotype.2 7
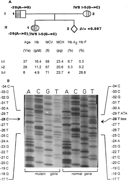
Family II was from Karnataka in south India. Both parents (I-1 and I-2) had classical β-thalassemia trait (Fig 2A). Their 6-year-old daughter had a homozygous β-thalassemic picture but had never been transfused. Globin biosynthesis in the next pregnancy showed that the 18-week-old fetus was normal.
Family II. (A) The hematologic profile and the β-thalassemia mutations characterized in the parents (I-1 and I-2) and their 6-year-old daughter (II-1). (B) Part of a sequencing gel showing the rare T → C mutation on the noncoding strand at position (−28) of the upstream ATA box in the father (I-1).
Family II. (A) The hematologic profile and the β-thalassemia mutations characterized in the parents (I-1 and I-2) and their 6-year-old daughter (II-1). (B) Part of a sequencing gel showing the rare T → C mutation on the noncoding strand at position (−28) of the upstream ATA box in the father (I-1).
DGGE analysis showed the IVS I-5 G → C mutation in the mother (I-2), whereas the father (I-1) had another anomalous DGGE pattern in fragment B. The DGGE pattern in the homozygous child (II-1) was different from that seen in the parents.
Sequencing of this β-globin gene region using the forward primer did not show any mutation. Sequencing with the reverse primer showed a T → C change on the noncoding strand (Fig 2B). This mutation was found in the daughter (II-1) as well, who also showed the presence of the IVS-I-5 G → C mutation. This A → G change in the upstream ATA box at position (−28) is a transcriptional mutant reported among Chinese.8 Nevertheless, it has not been reported among Indians.
These two new rare mutations could be added to the 25 different β-thalassemic mutations that have been reported among Indians so far.
ACKNOWLEDGEMENT
We thank S.R. Shirsat for preparation of the manuscript.


This feature is available to Subscribers Only
Sign In or Create an Account Close Modal