Abstract
Murine embryonic stem (ES) cells have been a useful model system for the study of various aspects of hematopoietic differentiation. Because we had observed a sharp peak of expression of the receptor tyrosine phosphatase gamma (Ptpγ) gene between 14 and 18 days of ES-derived embryoid body differentiation, we investigated the effect of perturbation of expression of the Ptpγ gene on ES cell differentiation, first by analyzing the effect of Ptpγ overexpression. The murine full-length Ptpγ cDNA in an expression vector was transfected into ES-D3 cells and stably transfected clones were isolated. Ptpγ was expressed as an approximately 230-kD cell surface protein, and differentiating ES clones that overexpressed Ptpγ gave rise to a normal number of hematopoietic colonies, approximately 1 CFU per 100 cells. There was, however, a significant increase of expression of early hematopoietic markers in colonies from Ptpγ overexpressing ES cells. To confirm that the pertubation of hematopoietic differentiation was a result of Ptpγ overexpression, we isolated ES stem cell clones expressing Ptpγ antisense constructs and assayed embryoid bodies for the presence of hematopoietic precursors. We observed a complete absence of methylcellulose colonies, indicating absence of hematopoietic lineages. Results of these experiments point to an essential role for Ptpγ in hematopoietic differentiation.
TYROSINE PHOSPHORYLATION is an essential component in signal transduction, and numerous biochemical and functional studies have elucidated steps involved in tyrosine kinase–dependent signal generation, often beginning with ligand binding to a receptor tyrosine kinase protein. For the more recently discovered receptor protein-tyrosine phosphatases, much less is known about specific signal pathways and biological roles. The first reports of ligands for this class of enzyme appeared recently,1-3 and the only receptor tyrosine phosphatase for which a specific physiological role has been clearly established is CD45.4
Fine regulation of tyrosine phosphorylation events is required for proper development of the T-lymphocyte repertoire. The consequences of targeted disruption and overexpression of the src-family protein-tyrosine kinase, lck, have been described.5,6 The receptor CD45 is required for normal maturation of thymocytes because the targeted disruption of CD45 exon 6 inhibits the transition from double-positive to the single-positive stage.7 Other receptor-type protein-tyrosine phosphatases, such as mRPTPσ and Ptpγ itself, are highly expressed in hematopoietic tissues, suggesting their involvement in unidentified differentiation/activation processes.8,9 RPTPγ is a member of the receptor class of tyrosine phosphatases and, together with RPTPβ/ζ, forms a subclass of enzymes characterized by the presence of a carbonic anhydrase-like and a fibronectin type III domain in the N-terminal portion of the extracellular domain.8 The remainder of the PTPγ and PTPζ extracellular domains do not share significant homology. PTPζ has been shown to bind tenascin and contactin, but under the same experimental conditions PTPγ shows no binding to contactin, indicating selective ligands and functions for the two phosphatases.2 The intracellular domains of the two proteins contain two tandem phosphatase domains, with the putative enzymatically active site in domain 1.
Ptpγ transcription has been detected in most organs, including spleen, which expressed a high level.8 A high level of Ptpγ mRNA was also detected in chicken B and T lymphoblast, erythroblast, and monoblast cell lines, representing the respective precursors of mature T and B lymphocytes and macrophages, in which Ptpγ expression was undetectable (C.S., unpublished results, December 1994). This expression pattern suggested a role for Ptpγ in hematopoietic differentiation, which we set out to define using the murine embryonic stem cell system.10
Murine embryonic and fetal hematopoietic development is characterized by rapid and dramatic changes. For instance, the egg cylinder/yolk sac at 7.5 days of gestation fails to show signs of hematopoiesis whereas by day 8 numerous blood islands are detected. The mechanisms involved in the development of the primary hematopoietic system are unknown, although a number of transcription factors have been identified as major players in early hematopoietic development.11-15
Previous studies have shown that embryonic stem (ES) cells, continously growing totipotent cell lines derived from the inner cell mass of 3.5-day mouse blastocysts, can be induced to differentiate in culture to reproducibly generate hematopoietic cells at specific times after induction.16,17 When allowed to form three-dimensional structures known as embryoid bodies (EBs), ES cells differentiate spontaneously into many cell types, including those of the hematopoietic system.10 Cells of erythroid and myeloid/macrophage lineages develop within EBs starting from day 7 to 8 after induction of EB differentiation. Hematopoietic colonies can be enumerated and phenotypically characterized when EBs are disrupted, plated in methylcellulose medium and allowed to differentiate spontaneously. Using this approach for analysis of ES clones in which Ptpγ expression has been altered by stable transfection with full-length Ptpγ cDNA or antisense constructs, we have shown that over or under expression of the Ptpγ gene product interferes with the hematopoietic differentiation program.
MATERIALS AND METHODS
Ptpγ constructs.Full-length murine Ptpγ cDNA was excised from a pBluescript SK vector by EcoRI/Xho I double digestion, ends filled in with Klenow enzyme and blunt-end cloned into the pXTI vector.18 Positive clones were identified by colony hybridization and sequenced using primers flanking the cloning sites. Smaller cDNA fragments were obtained by digestion of the cDNA, followed by agarose gel separation of the fragments, isolation of the appropriate fragment, cloning in the pXTI vector, and sequencing. The Ptpγ fragments cloned were: (A) the 646 bp from nucleotide 163 to 809 of the published murine sequence and (A1) the 1,795 bp from nucleotide 809 to 2604, obtained by AccIII digestion; (B) the 1,290 bp from nucleotide 699 to 1989 obtained by BamHI digestion; and (P) the 270 bp from nucleotide 1625 to 1895 and (P1) the 841 bp from nucleotide 3224 to 4065 obtained by Pst I digestion. The BamHI fragment was also Klenow-filled and blunt-end ligated to the EcoRV- linearized and dephosphorylated pPPDV3+ vector containing the puromycin-resistance marker.19 20
RNA extraction, reverse transcription, and RT-PCR reaction.RNAs were prepared using the RNAzol Kit (Tel-Test, Inc, Friendswood, TX) according to the manufacturer's instruction. Total RNA was stored as a pellet under ethanol or solubilized in RNase-free water and kept at −70°C. Reversed transcription was performed in 30 μL final volume of 50 mmol/L tris-HCl pH 8.3, 75 mmol/L KCl, 3 mmol/L MgCl2 , 10 mmol/L DTT, 2 mmol/L dNTPs, 50 ng-1 μg oligo-dT, 600 U MMLV-RT (BRL), 40 U RNasin (Promega), and 2 μg RNA. This reaction was incubated at 37°C for 90 minutes and boiled for 5 minutes. The primers for Ptpγ PCR amplification were 2779R (5′GCGCTGGACTTCCTCAAA3′) and 22F (5′CACCTCTGGAATGATAAGCC3′), which flank the transmembrane region.21 Primers Lrp3F (5′GCCTCATCACTCAGTTCC3′), Lrp4R (5′GTCCGCATCTTGTCATTC 3′), Lar1F (5′ATTCCACCATCATCGTCA 3′), and Lar2R (5′CTGTCCAAACTGCTCCTT3′) were used in PCR amplification of Lrp and Lar fragments, respectively, from reverse transcripts. The amplified products were run in 1.5% agarose gels, stained with ethidium bromide, and/or blotted onto nylon membranes and hybridized with appropriate probes, as indicated. Also, a representative product of each amplified locus was sequenced to assure its identity.
DNA sequence analysis.Ptpγ cDNA and genomic clones were sequenced using primers specific for vector flanking sequences (T3 and T7) and various synthetic oligonucleotides. RT-PCR products were directly sequenced after isolation of bands from low-melt agarose or purification by column chromatography (Qiagen, Chatsworth, CA). Sequencing of double-stranded plasmids and PCR products was performed using Taq DyeDeoxy Terminator Cycle Sequencing Kits (ABI, Foster City, CA); reaction products were electrophoresed and recorded on the 373 DNA sequencer (ABI). Sequences were analyzed using GCG software (Hinxton Hall, Cambridge, UK).
PCR amplification.The oligonucleotides for generating Ptpγ probes, PCR products, and RT-PCR products were designed, based on the mouse Ptpγ sequence, using the computer program Oligo 4.0 (National Biosciences, Plymouth, MN). For Southern blots, probes were produced by PCR amplification using various primers.
PCR reactions were performed in 12.5, 25, or 50 μL final volume with 50 to 100 ng of cDNA template, 200 to 400 ng primers, 10 mmol/L tris-HCl, pH 8.3, 50 mmol/L KCl, 0.1 mg/mL gelatin, 15 mmol/L MgCl2 , 200 to 600 μmol/L dNTPs and 0.5 to 2.5 U Taq polymerase (ABI). The amplifications were performed in a Perkin-Elmer Cetus thermal cycler for 30 cycles of 94°C for 30 seconds (for denaturation), 60°C (varied for specific primer pairs) for 30 seconds (for annealing), and extending at 72°C for 30 to 45 seconds. The PCR products were visualized in ethidium bromide–stained low-melting agarose gels. The bands of amplified DNA were excised from gels for labeling or sequencing.
To obtain semiquantitative amplification of mRNA, ES cell RT-PCR was allowed to proceed for a lower cycle number (20 cycles). Under these conditions, we have observed good correlation between intensity of amplified bands and amount of oligo-dT primed RT cDNA, as shown by parallel fluctuation in amounts of β-actin and Ptpγ PCR products under otherwise identical experimental conditions (not shown).
Culturing, differentiation, and transfection of ES cells.Undifferentiated ES-D3 cells10 were maintained in gelatinized tissue culture dishes as described.22 Embryoid body formation was observed in cultures of differentiating ES cells with a light microscope. Three milliliters of fresh medium (without LIF, as above) were added every 3 to 4 days to the bacterial grade dishes. ES-D3 cells (3 × 106 to 5 × 106) were transfected by electroporation (Gene Pulser; Bio-Rad, Cambridge, MA; 340 V, 240 microfarads), with 20 μg of pXT1 vector or pXT1-Ptpγ constructs (carrying full-length or partial Ptpγ cDNA fragments in the sense or antisense orientation) and G418 resistant clones selected and analyzed, first by RT-PCR (for single transfectants) using primers internal to the full-length cDNA, and then by a combination of Western-blotting, immunoprecipitation, and cytofluorimetric assays. Two transfectant clones, S5 and S9, overexpressing the full-length Ptpγ were supertransfected with 20 μg of pPPDV3+ vector, with or without the BamHI Ptpγ fragment, in the sense or antisense orientation. The supertransfected ES cells were selected in medium containing 0.5 mg/mL G418 plus 5 μg/mL puromycin, and surviving clones were analyzed by flow cytometry.
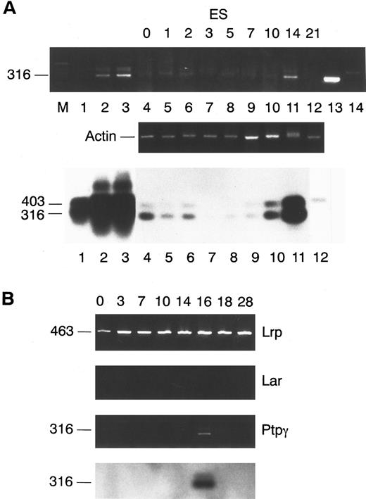
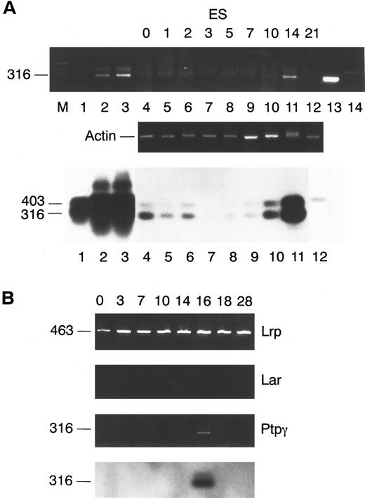
Protein-tyrosine phosphatase expression during ES-derived EB differentiation. (A) mRNA from ES cells at different days following induction of EBs was reverse transcribed and amplified with primers 22F and 2779R after reverse transcription with primer 2R (plus oligo dT) and products observed on agarose gel (upper panel); the ES cell mRNAs were also amplified with β-actin primers and the 212 bp product was visualized with ethidium bromide to ensure that approximately equal amounts of mRNA were used for each time point, as shown in the agarose gel in the middle panel. The gel in the upper panel was blotted to a nylon membrane and hybridized to a random primed radiolabeled Ptpγ cDNA probe (lower panel); control lanes 1 through 3 contained RT-PCR product from Swiss 3T3 cell line IT22, BALBc 3T3 stably transfected with an expression plasmid for the EGFR gene, and NIH 3T3 cells stably overproducing the PLCγ gene product, respectively; lanes 4 to 12 contain the RT-PCR product from undifferentiated ES cells, ES cells 1 day after seeding in bacteriological petri dishes without LIF, 2, 3, 5, 7, 10, 14, and 21 days, respectively; lanes 13 and 14 contain the PCR product from a kidney cDNA clone and a brain cDNA clone, respectively. (B) Reverse transcripts from EB cells at 0 through 28 days of differentiation were tested for expression of two other receptor tyrosine phosphatases, Lrp which was uniformly expressed during differentiation and Lar which was not expressed at any time point; to show reproducibility of induction of expression of Ptpγ in this experiment the same RT products were amplified with the Ptpγ primers, products run on agarose, blotted and hybridized to the Ptpγ probe as in (A).
Protein-tyrosine phosphatase expression during ES-derived EB differentiation. (A) mRNA from ES cells at different days following induction of EBs was reverse transcribed and amplified with primers 22F and 2779R after reverse transcription with primer 2R (plus oligo dT) and products observed on agarose gel (upper panel); the ES cell mRNAs were also amplified with β-actin primers and the 212 bp product was visualized with ethidium bromide to ensure that approximately equal amounts of mRNA were used for each time point, as shown in the agarose gel in the middle panel. The gel in the upper panel was blotted to a nylon membrane and hybridized to a random primed radiolabeled Ptpγ cDNA probe (lower panel); control lanes 1 through 3 contained RT-PCR product from Swiss 3T3 cell line IT22, BALBc 3T3 stably transfected with an expression plasmid for the EGFR gene, and NIH 3T3 cells stably overproducing the PLCγ gene product, respectively; lanes 4 to 12 contain the RT-PCR product from undifferentiated ES cells, ES cells 1 day after seeding in bacteriological petri dishes without LIF, 2, 3, 5, 7, 10, 14, and 21 days, respectively; lanes 13 and 14 contain the PCR product from a kidney cDNA clone and a brain cDNA clone, respectively. (B) Reverse transcripts from EB cells at 0 through 28 days of differentiation were tested for expression of two other receptor tyrosine phosphatases, Lrp which was uniformly expressed during differentiation and Lar which was not expressed at any time point; to show reproducibility of induction of expression of Ptpγ in this experiment the same RT products were amplified with the Ptpγ primers, products run on agarose, blotted and hybridized to the Ptpγ probe as in (A).
Assay for hematopoietic precursor cells.After days 0, 3, 7, 10, and 14 of in vitro ES cell differentiation, cells within embryoid bodies were dissociated and 104 cells per 35-mm bacterial grade petri dishes were cultured in 0.9% methylcellulose. Colonies were counted 14 days later and those derived from 7- or 14-day EBs were isolated for characterization.
RT-PCR for lineage specific markers of embryoid body derived colonies.Individual colonies (20 per experiment) were aspirated 14 days after methylcellulose plating of 7- or 14-day EB cells. After RNA extraction as described,23 cDNA was synthesized using random hexamers, in a reverse transcriptase (RT) reaction at 37°C for 60 minutes. PCR amplification using 10% of the reverse transcript as template was performed under standard conditions for 40 cycles; synthetic oligonucleotide primers were used for amplification of transcript for the following murine genes: CD3422; c-kit (5′ primer corresponding to nucleotides 1750 to 1774, and 3′ primer to nucleotides 2018 to 2042 of the published murine c-kit sequence)24; myeloperoxidase (Mpo, 5′ primer corresponding to nucleotides 824 to 847, and 3′ primer to nucleotides 1476 to 1500 of the published murine Mpo sequence)25; c-fms (5′ primer corresponding to nucleotides 1441 to 1465, and 3′ primer to nucleotides 1865 to 1889 of the published murine c-fms sequence)26; embryonic β-globin (βH1-globin)16; recombination activating gene 1 (RAG-1, 5′ primer corresponding to nucleotides 372 to 389, and 3′ primer to nucleotides 588 to 605 of the published murine RAG-1 sequence)27; Ikaros (5′ primer corresponding to nucleotides 100 to 117, and 3′ primer to nucleotides 356 to 373 of the murine Ikaros published sequence)28; and murine Ptpγ (as described previously), expression of which was found in all the colonies derived from overexpressing clones ES-D3 S5 and S9. Endogenous β-actin mRNA levels were also measured using synthetic primers, as described,24 to ensure that similar amounts of RNA were used for mRNA expression analysis (not shown). As negative controls, one set of RT-PCR amplifications were performed in the absence of RNA and another in absence of RT. Amplified DNAs were electrophoresed, transferred to Zetabind nylon filters (Cuno, Inc, Meriden, CT) and detected by Southern hybridization with specific γ-[32P]-dATP end-labeled oligoprobes.
Cell surface marker expression analysis.Exponentially growing cells were obtained and incubated (30 minutes on ice, in phosphate-buffered saline [PBS] containing 0.1% gelatin, 0.01% sodium azide, 5% fetal calf serum) with irrelevant rabbit IgG, as negative control, or rabbit affinity purified IgG to Ptpγ.21 Cells were washed and incubated (30 minutes on ice) with fluorescein isothiocyanate (FITC)-conjugated goat anti-rabbit IgF(ab′)2 . FITC- or phycoerythrin (PE)-conjugated irrelevant murine IgG, as negative control, or monoclonal antibodies to different lineage specific markers (anti–GR-1, anti–c-kit and anti-TER119; Becton Dickinson, Mountain View, CA) were used for immunophenotype analysis. Cells were then washed and analyzed by flow-cytometry on an EPICS Profile Analyzer (Coulter, Hialeah, FL).
RESULTS
Expression of Ptpγ during differentiation of ES cells.Because we had observed high levels of Ptpγ transcription in immature hematopoietic cell lines representing T and B lymphoblasts and erythroblasts, whereas in cells of mature hematopoietic lineages Ptpγ expression was undetectable by Northern analysis (unpublished results, May 1994), we were interested in determining if Ptpγ has a role in hematopoietic differentiation. We have previously reported21 the identification of a PTPγ cDNA, differing from the published sequence by absence of an 87-bp exon in the juxtamembrane region. We used primers (22F, 2779R) flanking this region to follow expression of Ptpγ in murine ES cells to allow analysis of the expression of these two isoforms in our samples; thus far we have always observed predominant expression of the shorter Ptpγ transcript.
To evaluate temporal changes in Ptpγ expression during differentiation, we isolated RNA from serial stages of differentiating ES cells (EBs). This approach allows a fine analysis of RNA changes that may occur in early embryos. RNA analysis of EB cells suggested that specific events, occurring around day 14 of differentiation, led to upregulation of expression (or stability) of the Ptpγ transcripts, as shown in Fig 1A, top panel. The controls shown were amplified from 3T3 cells (lane 1) and 3T3 cells transformed by overexpression of EGFR (lane 2) or PLCγ (lane 3). It was difficult to detect Ptpγ expression in the ES cells until day 14, at which time the Ptpγ transcript is clearly visible by ethidium bromide staining (Fig 1A, top). Endogenous β-actin mRNA levels were also measured to ensure that similar amounts of RNA were used for expression analysis (Fig 1A, middle panel). The gel represented in Fig 1A (upper) was blotted to a nylon filter and hybridized to a Ptpγ cDNA fragment spanning the juxtatransmembrane region to visualize levels of Ptpγ RT-PCR product in ES cells and EBs (Fig 1A, bottom). At zero time (lane 4) and at days 1 through 10 of differentiation, low levels of the two transcripts were observed (Fig 1A, bottom); at day 14 (lane 11), we observed a dramatic increase in Ptpγ transcripts, which by day 21 (lane 12) was no longer detected. Induction of Ptpγ expression at around day 14 was reconfirmed in four experiments; a second experiment is shown in Fig 1B, where expression of Ptpγ was induced by day 16 (bottom two panels), compared with the constant expression of receptor phosphatase Lrp (Fig 1B, top) and the lack of expression of receptor phosphatase Lar (Fig 1B, middle panel) during ES-D3 cell differentiation.
Effect of Ptpγ overexpression on hematopoietic differentiation of ES cells.ES-D3 cells were transfected with pXT1-Ptpγ full-length cDNA in the sense orientation and G418-resistant clones expressing exogenous Ptpγ mRNA were isolated. Two clones, ES-D3 S5 and S9, were used in further experiments. To confirm that Ptpγ transcription was accompanied by protein expression, the clones were cytofluorimetrically analyzed using a polyclonal antibody raised against a Ptpγ extracellular domain peptide. This antibody detects exogenous overexpressed Ptpγ, but we do not have an antibody capable of detecting endogenous Ptpγ.21 The results of this analysis (Fig 2A) showed a dramatic increase in the specific reactivity of the expressor clones compared with the empty vector transfectants. To characterize biochemical features of the overexpressed Ptpγ, [32P]-labeled protein from the ES-D3 S9 Ptpγ expressing clone was immunoprecipitated for phosphoaminoacid analysis. A protein of approximately 230 kD was specifically immunoprecipitated by the anti-Ptpγ antibody, together with an approximately 160-kD putative degradation product (data not shown). Similar results were obtained by immunoblot analysis of the lysate and by biotinylation of surface proteins, followed by immunoprecipitation, Western blotting, and avidin-HRP detection. In this last case only the higher MW band was detected, indicating that the smaller product is not expressed at the cell surface (not shown). These results confirmed that the Ptpγ gene product was expressed in the stably transfected S5 and S9 clones and Ptpγ protein was on the cell surface, as expected for a receptor protein-tyrosine phosphatase.
Cytofluorometric analysis of ES-D3 clones. (A) Untransfected ES-D3 cells or ES-D3 cells transfected with pXT1-Ptpγ full-length cDNA in the sense orientation (clones S5 and S9) were analyzed: black, S9 without primary antibody (result was the same for parental and S5); red, S9 with irrelevant rabbit IgG (result was the same for parental and S5 cell lines); blue, parental cells reacted with anti–Ptpγ P4 antibody; green and purple, the individual S5 and S9 clones expressing Ptpγ RNA, reacted with anti–Ptpγ P4 antibody. The signal for the empty vector transfected clones was the same as for the parental ones and has been omitted in the figure. (B) S5 and S9 PTPγ overexpressing clones were supertransfected with either antisense construct B (ASpXT1S5 and AS6pXT1S9 clones) or sense construct B ( S4pXT1S5 and S8pXT1S9 clones) and the resultant stable clones tested for expression of the exogenous Ptpγ as in (A): black, S9 without primary antibody; red, antisense B supertransfectant clone AS6pXT1S5 reacted with anti–Ptpγ P4 antibody; blue, antisense B supertransfectant, AS6pXT1S9, reacted with anti–Ptpγ P4 antibody; green and purple, two sense B supertransfectants reacted with anti–Ptpγ P4 antibody. The B antisense construct supertransfectants have down-modulated surface expression of the exogenous Ptpγ in the S5 and S9 clones. Both panels represent one of two independent experiments that gave the same results.
Cytofluorometric analysis of ES-D3 clones. (A) Untransfected ES-D3 cells or ES-D3 cells transfected with pXT1-Ptpγ full-length cDNA in the sense orientation (clones S5 and S9) were analyzed: black, S9 without primary antibody (result was the same for parental and S5); red, S9 with irrelevant rabbit IgG (result was the same for parental and S5 cell lines); blue, parental cells reacted with anti–Ptpγ P4 antibody; green and purple, the individual S5 and S9 clones expressing Ptpγ RNA, reacted with anti–Ptpγ P4 antibody. The signal for the empty vector transfected clones was the same as for the parental ones and has been omitted in the figure. (B) S5 and S9 PTPγ overexpressing clones were supertransfected with either antisense construct B (ASpXT1S5 and AS6pXT1S9 clones) or sense construct B ( S4pXT1S5 and S8pXT1S9 clones) and the resultant stable clones tested for expression of the exogenous Ptpγ as in (A): black, S9 without primary antibody; red, antisense B supertransfectant clone AS6pXT1S5 reacted with anti–Ptpγ P4 antibody; blue, antisense B supertransfectant, AS6pXT1S9, reacted with anti–Ptpγ P4 antibody; green and purple, two sense B supertransfectants reacted with anti–Ptpγ P4 antibody. The B antisense construct supertransfectants have down-modulated surface expression of the exogenous Ptpγ in the S5 and S9 clones. Both panels represent one of two independent experiments that gave the same results.
ES-D3 S5 and S9 clones constitutively expressing Ptpγ developed EBs similar to those derived from parental or vector transfected ES cells; the ES-D3 S5- and S9-derived EBs were analyzed for capacity to form hematopoietic colonies. The phenotype of the hematopoietic colonies was then determined. Cells from disaggregated EBs formed by cultivation in the absence of LIF for 0, 3, 7, and 14 days were plated at 104 cells per dish in semisolid methylcellulose medium (Fig 3). Colonies derived from 7- and 14-day EBs were then isolated individually for RNA extraction or pooled for cytofluorimetric analysis. The RNA extracted from 20 individual colonies for each condition were reverse transcribed with random hexamers, and reverse transcripts amplified by PCR using primers specific for the following markers: myeloperoxidase (Mpo), c-fms, βH1-globin, c-kit, CD34, Rag-1, and Ikaros. After electrophoretic fractionation, the amplified DNA fragments were transferred onto nylon filters and hybridized with gene-specific γ-[32P]-dATP end-labeled oligonucleotide probes. The results of these experiments are summarized in Fig 4 and were similar for colonies derived from 7- and 14-day EBs. The ES-D3 S5 and S9 Ptpγ overexpressing clones showed a marked increase of CD34- and c-kit–positive colonies (45% and 38% respectively), compared with lack of expression of these genes in the control ES-D3 EB-derived clones; there was a parallel decrease of βH1-globin expressing colonies, from 55% in ES-D3 EB-derived colonies to 10% in the ES-D3 S5 and S9 EB-derived colonies. All c-kit–positive colonies also expressed the CD34 marker. The Ikaros and Rag-1 markers were coexpressed, whereas βH1-globin, c-fms, and Mpo markers were never coexpressed with any of the other markers studied. The presence of specific protein products derived from representative mRNAs was verified on pooled colonies by cytofluorimetric analysis of differentiation markers, GR-1, c-kit and TER-119, markers for myeloid committed, early precursors, and erythroid committed clones, respectively. Forty percent (MFI 10.6 ± 0.5) of cells from the pooled hematopoietic colonies derived from the S5 and S9 Ptpγ overexpressor EBs expressed c-kit, confirming the results obtained from analysis of mRNA from individual colonies. Colonies from ES-D3 and empty vector-transfected ES-D3–derived EBs did not express c-kit. Seven and a half percent (MFI 3.6 ± 0.7) of the cells from the Ptpγ overexpressor colonies expressed GR1 and none expressed TER119, compared with 33% (MFI 9.6 ± 0.4) and 38% (MFI 8.9 ± 0.6) of cells derived from the control colonies (Fig 5).
Hematopoietic colonies from Ptpγ overexpressing ES clones. Number of colonies derived from the plating of 104 isolated ES-D3 cells tranfected with empty vector (pXT1) or full-length Ptpγ in the sense orientation (pXT1 S5 and S9). Cells from EBs differentiated for 0, 3, 7, 10, and 14 days were plated in semisolid methylcellulose, and the developed colonies were scored 2 weeks later. The results represent the average ±SD of two independent experiments. X-axis indicates days of differentiation before plating ES cells in methylcellulose medium.
Hematopoietic colonies from Ptpγ overexpressing ES clones. Number of colonies derived from the plating of 104 isolated ES-D3 cells tranfected with empty vector (pXT1) or full-length Ptpγ in the sense orientation (pXT1 S5 and S9). Cells from EBs differentiated for 0, 3, 7, 10, and 14 days were plated in semisolid methylcellulose, and the developed colonies were scored 2 weeks later. The results represent the average ±SD of two independent experiments. X-axis indicates days of differentiation before plating ES cells in methylcellulose medium.
Expression of lineage-specific genes in Ptpγ transfected ES-D3 derived hematopoietic colonies. RNA was isolated from 20 individual colonies 14 days after plating 7-day EB cells in methylcellulose medium; for each condition gene expression was evaluated by RT-PCR and the percentage of colonies that express the indicated marker are shown. Open bar, pXT1/S, represents either ES-D3 S5 or S9 Ptpγ expressors; striped bar, pXT1, represents ES-D3 transfected with empty vector. The results are the average ±SD of two independent experiments.
Expression of lineage-specific genes in Ptpγ transfected ES-D3 derived hematopoietic colonies. RNA was isolated from 20 individual colonies 14 days after plating 7-day EB cells in methylcellulose medium; for each condition gene expression was evaluated by RT-PCR and the percentage of colonies that express the indicated marker are shown. Open bar, pXT1/S, represents either ES-D3 S5 or S9 Ptpγ expressors; striped bar, pXT1, represents ES-D3 transfected with empty vector. The results are the average ±SD of two independent experiments.
Cytofluorimetric analysis of surface expression of hematopoietic differentiation markers. GR-1, c-kit, and TER119 antigens expressed by a pool of colonies 14 days after plating 7-day EB cells in methylcellulose medium. The ordinate indicates the percentage of positive cells and represents the average ±SD to two independent experiments.
Cytofluorimetric analysis of surface expression of hematopoietic differentiation markers. GR-1, c-kit, and TER119 antigens expressed by a pool of colonies 14 days after plating 7-day EB cells in methylcellulose medium. The ordinate indicates the percentage of positive cells and represents the average ±SD to two independent experiments.
Effect of lack of expression of Ptpγ on hematopoietic differentiation of ES cells.Previous observations of the appearance of endogenous Ptpγ transcripts at a discreet time point of EB development, followed by down-regulation, suggested tight regulation of Ptpγ expression during ES differentiation. Thus, the effect of inhibition of Ptpγ expression during ES cell differentiation was also studied. We first isolated ES-D3 cells transfected with full-length Ptpγ cDNA in an antisense orientation. These clones developed EBs similar to those formed during differentiation of parental ES cells, but were completely incapable of forming hematopoietic colonies. This effect was not caused by a toxic effect because the proliferation rate was essentially identical to that of the appropriate controls. To confirm that this striking effect was a consequence of specific Ptpγ down-modulation, we isolated ES-D3 transfectants carrying different Ptpγ cDNA regions in antisense orientation to determine if different Ptpγ antisense constructs could inhibit hematopoietic colony formation. Five different Ptpγ antisense constructs of variable length (described in Fig 6), together with the respective sense constructs, were cloned and transfected into ES-D3 cells. Between 40% and 70% of the G418-resistant clones isolated expressed AS constructs, as determined by RT-PCR amplification using primers specific for each construct. Only clones expressing the predicted size fragments, several for each different antisense and sense construct, as shown by numbers in parentheses in Fig 6 (right columns), were selected for differentiation analysis. These antisense clones and the sense expressing counterparts were each allowed to form EBs, which were then assessed for ability to form hematopoietic colonies. The clones expressing Ptpγ antisense fragments (total of 22 analyzed, see columns to right in Fig 6) all showed complete inhibition of hematopoietic colony formation, with the respective sense clones (13 analyzed; Fig 6, right columns) behaving as empty vector-transfected clones, as summarized in the columns to the right in Fig 6. To confirm that the antisense constructs were able to inhibit Ptpγ expression in this system, we showed lack of expression of endogenous Ptpγ mRNA in a clone expressing a representative AS construct (Fig 7). Additionally, overexpressing S5 and S9 stem cell clones were supertransfected with a representative antisense construct, the B construct shown in Fig 6, in a vector with a selectable puromycin resistance gene. Figure 2B shows results of assay for surface Ptpγ expression for two representative double transfectants of five selected for G418 and puromycin resistance; three of the five showed complete downmodulation of the exogenous Ptpγ surface protein, indicating that the antisense construct efficiently inhibited even the overexpressed Ptpγ protein. All five clones supertransfected with the B-sense construct maintained Ptpγ surface expression, as shown for two clones, S4pXT1S5 and S8pXT1S9 (Fig 2B).
Ptpγ antisense constructs. Diagrams of the Ptpγ antisense constructs used for transfection in the colony assay experiment and in the columns to the right a summary of results of the colony-formation assay; numbers in parentheses indicate the number of independent transfectant clones analyzed for each condition. Plus and minus signs mean that, in the methylcellulose colony assay for hematopoietic colonies, the appropriate antisense or sense construct transfected clones either did not (−) or did (+) give hematopoietic colonies. The full-length Ptpγ cDNA is shown at the top of the figure. The different boxes represent the sequences encoding known functional domains. CA-like, carbonic anhydrase domain; FNIII, fibronectin type III repeat; TM, transmembrane domain; D1 and D2, phosphatase domains.
Ptpγ antisense constructs. Diagrams of the Ptpγ antisense constructs used for transfection in the colony assay experiment and in the columns to the right a summary of results of the colony-formation assay; numbers in parentheses indicate the number of independent transfectant clones analyzed for each condition. Plus and minus signs mean that, in the methylcellulose colony assay for hematopoietic colonies, the appropriate antisense or sense construct transfected clones either did not (−) or did (+) give hematopoietic colonies. The full-length Ptpγ cDNA is shown at the top of the figure. The different boxes represent the sequences encoding known functional domains. CA-like, carbonic anhydrase domain; FNIII, fibronectin type III repeat; TM, transmembrane domain; D1 and D2, phosphatase domains.
Effect of antisense construct on endogenous Ptpγ expression. RT-PCR products from untransfected cells (lane 1), cells transfected with the antisense construct B (lane 2), and transfected with empty vector (lane 3); plasmid indicates the murine Ptpγ cDNA cloned in the Bluescript SK-vector and used as a control for the size of the expected PCR product and the success of the reaction. Actin indicates the amplification of the 209-bp product derived from murine actin mRNA. 3404F/3856R and 2993F/2075R indicate the sequence numbers of the first nucleotide amplified by the specific 5′ primer (F ) and the sequence number of the last 3′ nucleotide (R). Next to the open arrow is the size of the amplified product. The PCR reaction was performed for a longer number of cycles (35) then the samples in Fig 1, to detect minute amounts of transcripts.
Effect of antisense construct on endogenous Ptpγ expression. RT-PCR products from untransfected cells (lane 1), cells transfected with the antisense construct B (lane 2), and transfected with empty vector (lane 3); plasmid indicates the murine Ptpγ cDNA cloned in the Bluescript SK-vector and used as a control for the size of the expected PCR product and the success of the reaction. Actin indicates the amplification of the 209-bp product derived from murine actin mRNA. 3404F/3856R and 2993F/2075R indicate the sequence numbers of the first nucleotide amplified by the specific 5′ primer (F ) and the sequence number of the last 3′ nucleotide (R). Next to the open arrow is the size of the amplified product. The PCR reaction was performed for a longer number of cycles (35) then the samples in Fig 1, to detect minute amounts of transcripts.
DISCUSSION
This study provides evidence that Ptpγ plays an essential role in regulating hematopoietic differentiation of ES cells. This conclusion was suggested by our previous observation of high Ptpγ expression in the spleen, and in immortalized chicken hematopoietic precursor cells, relative to Ptpγ absence in the respective mature T lymphocytes and macrophages. We had also observed that ES cells allowed to spontaneously differentiate into EBs in vitro, in the absence of LIF, showed a very narrow window of Ptpγ RNA expression, with a reproducibly detected peak of expression between 14 to 16 days of differentiation. Other receptor protein-tyrosine phosphatases, under the same experimental conditions, were uniformly expressed or undetectable. The pattern of Ptpγ expression in differentiating EBs raises several intriguing questions. What, for example, is the signal that induces such tightly regulated expression? Examination of the promoter of the gene may suggest candidate transcription activators. Are the consequences of Ptpγ downmodulation a direct or indirect effect? In other words, does Ptpγ affect the expression of key molecules involved in hematopoietic differentiation or does Ptpγ itself directly affect, through its enzymatic activity, some effector molecules already present in an active or inactive state? Studies on the signal transduction pathway in these clones, together with studies aimed toward isolation of genes differentially expressed in the overexpressing clones, could begin to answer these questions.
Ptpγ protein is expressed at the cell surface as an approximately 230-kD protein. The full-length in vitro transcribed and translated product migrated at approximately 160 kD,21 indicating that in the ES cells extensive posttranslational processing occurred. The increase in the number of hematopoietic colonies that expressed, both at the RNA and protein level, early differentiation markers, such as CD34 and c-kit in the Ptpγ overexpressing colonies, indicates that these cells were blocked at the stage of early/intermediate precursors and were unable to complete the differentiation program. This, together with the complete absence of hematopoietic colonies in the clones expressing antisense Ptpγ RNA, clearly points to the importance of regulated expression of this gene for the proper completion of the hematopoietic differentiation program.
The effect of the sense and antisense constructs is consistent with the observation that Ptpγ expression is tightly regulated in ES-derived differentiating EBs, although we have no evidence that Ptpγ is turned on solely in hematopoietic precursors, which are roughly 1% of cells in an EB. Based on our results, we propose that Ptpγ expression is necessary for the initiation of the mouse hematopoietic differentiation program, at least for the erythromyeloid lineage, because our differentiation protocol is best suited for the study of these stages of differentiation, as indicated by the complete absence of colonies in all the Ptpγ antisense expressing clones. Once the hematopoietic differentiation program is initiated, Ptpγ expression must be down-regulated to avoid a block in the progression along the differentiation pathway, as suggested by the immature phenotype of the Ptpγ overexpressing clones. Ptpγ might be involved in several steps along the signal transduction pathway leading to the ES cell differentiation of hematopoietic lineages. Tyrosine phosphorylation of several targets is likely to be affected by altered Ptpγ expression. The activity of transcription factors (of the STAT family for example, involved in cytokine signal transduction) is modulated by changes in the level of tyrosine phosphorylation29-31; some of these or similarly behaving factors might be kept in an inactive state by Ptpγ, either directly or indirectly. Alteration of the pattern of cytokine production might also be responsible for the effects, although preliminary results indicate that exogenously added EPO and/or c-kit ligand is not able to restore colony formation in antisense expressing clones. EPO is also unable to restore erythroid differentiation in the colonies derived from Ptpγ overexpressing clones, suggesting that the defect might reside in the inability to respond to the factor(s) more than to a lack of the specific differentiation-promoting agent. Interplay between tyrosine phosphatases and kinases is critical to the regulation of protein-tyrosine phosphorylation. The signals regulating receptor-type PTP function are largely unknown. These ES transfected cell lines overexpressing Ptpγ or unable to turn on endogenous Ptpγ, which present specific phenotypes on differentiation, should prove valuable tools in investigation, not only of hematopoietic commitment and differentiation, but also in identifying proteins which act upstream and downstream of Ptpγ in signal transduction.
ACKNOWLEDGMENT
We are grateful to Zhuangwei Lou who first observed and cloned the alternatively spliced Ptpγ cDNA and to Teresa Druck and Ashwini Nayak who determined its level of expression in numerous tissues and tumors. We thank Almeta Mathis for preparation of the manuscript and Teresa Druck for preparation of figures.
Supported by USPHS Grants No. CA51083, CA39860, CA46782, and CA21124, a gift from R.R.M. Carpenter III and Mary K. Carpenter and by Associazione Italiana per La Ricerca Sul Cancro (A.I.R.C.) to C.S. and P.M.; NCI Cancer Center Grant No. CA56336 supported the Kimmel Cancer Center shared research facilities which expedited the study. D.D. was the recipient of a fellowship of the A.I.R.C.
The first two authors (C.S. and P.M.) contributed equally to this paper.
Address reprint requests to Claudio Sorio, MD, Istituto di Patologia Generale, Universita' di Verona, Strada le Grazie 37134, Verona, Italy.







This feature is available to Subscribers Only
Sign In or Create an Account Close Modal