To the Editor:
Although the spectrum of acquired immunodeficiency syndrome (AIDS)- related non-Hodgkin's lymphomas (AIDS-NHLs) traditionally included systemic NHLs and primary central nervous system lymphomas (PCNSLs), novel AIDS-NHL entities are being continuously identified. Recently, the spectrum of systemic NHLs has been expanded to include an atypical variant mainly made up of blastic cells exhibiting features “intermediate” between small noncleaved cell lymphoma (SNCCL-Burkitt's lymphoma) with plasmablastic differentiation and diffuse large cell lymphoma (DLCL) of the immunoblastic (IBL)-plasmacytoid subtype.1,2 A novel type of AIDS-NHL, termed HHV-8+ body cavity-based lymphoma (BCBL), has also been described in North America and Europe during the last 2 years.3,4 Very recently, a new lymphoma entity associated with the human immunodeficiency virus (HIV) infection has been identified among DLCLs of the oral cavity.5 These lymphomas have been designated as “plasmablastic lymphomas” (PBL) in accordance with their plasmablastic morphology and immunohistologic features.5
The fact that plasma cell differentiation is a common feature shared by BCBL, PBL, and “intermediate” lymphomas2,5 6 prompts the question of whether these AIDS-NHLs are mutually related. In a clinical perspective, although BCBL and PBL associate with distinctive clinical features that greatly contribute to their diagnosis, ie, origin in the body cavities or the oral cavities, respectively, a biologic/immunophenotypic differentiation between these two AIDS-NHLs and versus “intermediate” lymphomas may be helpful in refining the classification of these novel lymphoma entities. To address these issues, we analyzed 16 samples from 5 PBLs of the oral cavity, 6 “intermediate” lymphomas, and 5 HHV-8+ BCBLs. They represent 2.6%, 3.1%, and 2.6%, respectively of a total of 191 AIDS-NHLs consecutively seen at the same institution between 1984 and 1997.
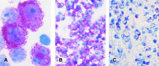
As shown in Table 1, all the reported lymphomas were extranodal. A variable proportion of large neoplastic cells having a centrally or eccentrically placed nucleus with a single prominent nucleolus or several nucleoli was observed in all instances. Single-cell necroses were numerous. The immunophenotype of the BCBL cases was CD20−, CD45+, epithelial membrane antigen (EMA)+, VS38c−, CD138/B-B4+ (Fig 1A), whereas PBLs were CD20−, CD45−/+, EMA+, VS38c+, CD138/B-B4+ (Fig 1B). The “intermediate” lymphomas displayed a weak cytoplasmic positivity for CD20 and CD45 in a variable proportion of the tumor cells. The VS38c, CD138/B-B4, and EMA staining was also seen in the “intermediate” lymphoma cases, but it was usually confined to a minority of cells. Only in one case was the proportion of the VS38c+ and CD138/B-B4+ cells higher than 20% (Fig 1C). The staining with the CD79a monoclonal antibody (MoAb) was restricted to a fraction of “intermediate” lymphomas and PBLs, whereas CD43 (leukosialin) positivity was virtually restricted to the “intermediate” lymphomas and BCBLs. The majority of the reported lymphomas were Epstein-Barr virus (EBV)-positive, irrespective of the tumor types, whereas HHV-8 positivity, as assessed by polymerase chain reaction (PCR) and in situ hybridization (ISH), was selectively detected in BCBL, as expected.3 4
Immunophenotypic and Virologic Characteristics of 16 AIDS-Related Extranodal Lymphomas With Plasma Cell Differentiation
| Case* . | Age . | Sex . | Site . | Diagnosis . | Phenotype . | CD45 . | CD20 . | CD79a . | B-B4 . | VS38c . | EMA . | CD43 . | EBV . | LMP-1 . | HHV-8 . |
|---|---|---|---|---|---|---|---|---|---|---|---|---|---|---|---|
| 1) | 34 | M | Oral cavity | PBL | nonB nonT | +C, S 20% | − | 10% | 90% | 40% | 20% | − | + | − | − |
| 2) | 34 | M | Oral cavity | PBL | nonB nonT | +C, S < 1% | <1% | <1% | 70% | 30% | 5% | − | + | − | − |
| 3) | 32 | F | Oral cavity | PBL | nonB nonT | − | − | − | 80% | 30% | 50% | − | + | − | − |
| 4) | 29 | M | Oral cavity | PBL | nonB nonT | − | − | − | 100% | 100% | 50% | − | + | − | − |
| 5) | 25 | M | Oral cavity | PBL | nonB nonT | +C, S 60% | − | − | 90% | 80% | 60% | NE | − | − | − |
| 6) | 51 | M | Retroperitoneum | “INT” | B | 100% | 70% | 30% | 50% | − | − | 80% | − | − | − |
| 7) | 54 | M | Neck soft tissues | “INT” | B | 100% | 100% | 30% | − | − | − | 100% | − | − | − |
| 8) | 29 | M | Perineum soft tissues | “INT” | B | 100% | 10% | − | 10% | 15% | 70% | 90% | + | + | − |
| 9) | 38 | M | Oral cavity | “INT” | B | 90% | <1% | − | 5% | <1% | <1% | − | + | − | − |
| 10) | 33 | M | Skin | “INT” | B | 100% | 100% | 100% | 10% | 10% | − | 90% | − | − | − |
| 11) | 35 | M | Nasopharynx | “INT” | B | 50% | 50% | 40% | 60% | 20% | 90% | NE | + | − | − |
| 12) | 49 | M | Pleural effusion | BCBL | nonB nonT | 100% | − | − | 80% | − | 30% | − | + | + | + |
| 13) | 34 | M | Pleural effusion | BCBL | nonB nonT | 100% | − | − | 90% | − | 90% | 30% | + | + | + |
| 14) | 36 | M | Pleural effusion | BCBL | nonB nonT | 100% | − | − | 90% | − | 90% | − | + | + | + |
| 15) | 44 | M | Pleural effusion | BCBL | nonB nonT | 100% | − | NE | 80% | − | − | − | − | − | + |
| 16) | 42 | M | Pleural effusion | BCBL | nonB nonT | 100% | − | − | 80% | <1% | 100% | 90% | − | − | + |
| Case* . | Age . | Sex . | Site . | Diagnosis . | Phenotype . | CD45 . | CD20 . | CD79a . | B-B4 . | VS38c . | EMA . | CD43 . | EBV . | LMP-1 . | HHV-8 . |
|---|---|---|---|---|---|---|---|---|---|---|---|---|---|---|---|
| 1) | 34 | M | Oral cavity | PBL | nonB nonT | +C, S 20% | − | 10% | 90% | 40% | 20% | − | + | − | − |
| 2) | 34 | M | Oral cavity | PBL | nonB nonT | +C, S < 1% | <1% | <1% | 70% | 30% | 5% | − | + | − | − |
| 3) | 32 | F | Oral cavity | PBL | nonB nonT | − | − | − | 80% | 30% | 50% | − | + | − | − |
| 4) | 29 | M | Oral cavity | PBL | nonB nonT | − | − | − | 100% | 100% | 50% | − | + | − | − |
| 5) | 25 | M | Oral cavity | PBL | nonB nonT | +C, S 60% | − | − | 90% | 80% | 60% | NE | − | − | − |
| 6) | 51 | M | Retroperitoneum | “INT” | B | 100% | 70% | 30% | 50% | − | − | 80% | − | − | − |
| 7) | 54 | M | Neck soft tissues | “INT” | B | 100% | 100% | 30% | − | − | − | 100% | − | − | − |
| 8) | 29 | M | Perineum soft tissues | “INT” | B | 100% | 10% | − | 10% | 15% | 70% | 90% | + | + | − |
| 9) | 38 | M | Oral cavity | “INT” | B | 90% | <1% | − | 5% | <1% | <1% | − | + | − | − |
| 10) | 33 | M | Skin | “INT” | B | 100% | 100% | 100% | 10% | 10% | − | 90% | − | − | − |
| 11) | 35 | M | Nasopharynx | “INT” | B | 50% | 50% | 40% | 60% | 20% | 90% | NE | + | − | − |
| 12) | 49 | M | Pleural effusion | BCBL | nonB nonT | 100% | − | − | 80% | − | 30% | − | + | + | + |
| 13) | 34 | M | Pleural effusion | BCBL | nonB nonT | 100% | − | − | 90% | − | 90% | 30% | + | + | + |
| 14) | 36 | M | Pleural effusion | BCBL | nonB nonT | 100% | − | − | 90% | − | 90% | − | + | + | + |
| 15) | 44 | M | Pleural effusion | BCBL | nonB nonT | 100% | − | NE | 80% | − | − | − | − | − | + |
| 16) | 42 | M | Pleural effusion | BCBL | nonB nonT | 100% | − | − | 80% | <1% | 100% | 90% | − | − | + |
Abbreviations: EMA, epithelial membrane antigen; BCBL; body cavity-based lymphoma; “INT”, intermediate lymphoma; PBL, plasmablastic lymphoma; C, cytoplasmic staining; S, surface membrane staining; −, negative; +, positive; NE, not evaluable.
CD138/B-B4 expression in AIDS-related extranodal NHLs with plasma cell differentiation. (A) HHV-8+ body cavity–based lymphoma. (B) Plasmablastic lymphoma. (C) “Intermediate” lymphoma. (A) cytospin preparation; APAAP (alkaline phosphatase anti-alkaline phosphatase) technique. Original magnification × 800. (B), (C) paraffin section; APAAP technique. Original magnification × 400.
CD138/B-B4 expression in AIDS-related extranodal NHLs with plasma cell differentiation. (A) HHV-8+ body cavity–based lymphoma. (B) Plasmablastic lymphoma. (C) “Intermediate” lymphoma. (A) cytospin preparation; APAAP (alkaline phosphatase anti-alkaline phosphatase) technique. Original magnification × 800. (B), (C) paraffin section; APAAP technique. Original magnification × 400.
Although not yet formally recognized as individual entities by classifications of NHL of the immunocompetent hosts, “intermediate” lymphomas and HHV8+ BCBLs have been officially included in the recent classification of AIDS-related lymphoproliferative disorders adopted by the IARC/WHO Working Group on AIDS and Tumours.7 The present study corroborates previously reported evidence5 indicating that PBL should be singled out as an individual pathologic entity. Among extranodal AIDS-NHLs with plasma cell differentiation, AIDS-PBLs share several features with AIDS-related “intermediate” lymphomas and BCBLs; however, PBL may be differentiated based on an infrequent and weak expression of CD45 (positive in “intermediate” lymphoma and BCBL), lack of HHV-8 infection (positive in BCBL), and constant reaction with the new plasma cell reacting antibodies VS38c and CD138/B-B4.

This feature is available to Subscribers Only
Sign In or Create an Account Close Modal