Abstract
Low-grade follicle center lymphoma (LGFCL) is characterized genetically by the t(14;18) translocation and an indolent clinical course. Histologic progression from LGFCL to an aggressive diffuse large B-cell lymphoma (DLCL) occurs in 60% to 80% of cases, and this transformation is associated with the accumulation of secondary genetic alterations. Using 10 polymorphic microsatellite markers spanning the chromosome 9p21 region harboring the p15 (p15INK4B/MTS-2/CDKN2B) and p16 (p16INK4A/MTS-1/CDKN2) tumor-suppressor gene loci, we analyzed 11 matched pairs of LGFCL and their corresponding progressed DLCL biopsies for loss of heterozygosity and homozygous deletions at 9p21. A comparative multiplex polymerase chain reaction assay was also used for the detection of homozygous deletions. Deletions were identified in 8 of the 11 cases studied (73%): 6 homozygous (54%) and 2 hemizygous (18%). The deletions were identified exclusively in the progressed DLCL biopsies. Immunohistochemical studies showed an excellent correlation with the results from the genetic analyses. Of the 9 matched pairs of LGFCL and progressed DLCL with interpretable immunohistochemical staining, 9 of 9 (100%) of the LGFCL showed diffuse reactivity for p16. Four of the 9 (44%) immunohistochemically evaluable cases of progressed DLCL showed loss of or, in 1 case, markedly diminished p16 expression. All 4 of these cases correspondingly showed homozygous deletions at 9p21. Five of the 9 progressed DLCL cases showed p16 expression and demonstrated retention of one or both 9p21 alleles by genetic analysis. This is the first longitudinal series examining sequential biopsy specimens of low-grade and progressed FCL for genetic loss at 9p21 encompassing the p16 and p15 loci. The high frequency and exclusive occurrence of deletions involving p16 in the progressed DLCLs suggests that genetic loss at 9p21 targeting p16 and/or p15 is an important secondary genetic event in the histologic progression of FCL.
FOLLICLE CENTER lymphoma (FCL) accounts for approximately 40% of adult non-Hodgkin's lymphomas in the United States.1 Although most patients present with advanced stage disease at diagnosis, the clinical course is generally indolent. Histologic progression from a low-grade to a diffuse aggressive lymphoma occurs in approximately 60% to 80% of cases.2,3This transformation is usually associated with a rapidly progressive clinical course and a short survival.4-6
The t(14;18)(q32;q21) chromosomal translocation that juxtaposes the bcl-2 protooncogene (band 18q21) to the Ig heavy chain joining region (band 14q32)7,8 is detectable in up to 90% of cases of FCL.9 This molecular event results in the deregulation of bcl-2 gene expression, and elevated levels of bcl-2 mRNA and protein.10,11 Overexpression of bcl-2 protein is thought to inhibit apoptosis and results in the accumulation of follicle center cells with increased survival.10,11 The accumulation of additional secondary genetic alterations in centrocytes bearing the t(14;18) translocation,12 such as p5313 and myc mutations,14 is associated with the evolution and progression of FCL.
The genes for the cyclin-dependent kinase (CDK) inhibitors, p15 (p15INK4B/MTS-2/CDKN2B) and p16 (p16INK4A/MTS-1/CDKN2), have recently been mapped to chromosome 9p21.15 These genes encode small nuclear proteins that have been shown to block cell cycle progression at the G1/S transition by their ability to interfere with the catalytic activity of cyclin D/CDK4 complexes.16 Active cyclin D/CDK4 complexes are necessary for phosphorylation of the Rb protein and for the subsequent release of critical transcription factors, such as E2F, that are required for progression into S phase. p16 is therefore an attractive candidate for a tumor-suppressor gene, because loss of its function could potentially lead to uncontrolled cell growth.15 16 The p15 gene, located approximately 25 kb centromeric to p16, exhibits structural homology to p16 and also demonstrates cyclin D/CDK 4 kinase inhibitor activity. The structural and functional similarities of p15 to p16 suggest that p15 is also a candidate tumor-suppressor gene.
That p16 and potentially p15 are in fact tumor-suppressor genes is supported by numerous studies in which one or both of these two genes have been found to be homozygously deleted in tumor cell lines and primary tumors.15 Among the hematologic malignancies, p15 and p16 deletions have frequently been associated with T-acute lymphoblastic leukemia (T-ALL)17,18 and diffuse large B-cell lymphomas.18,19 p16 deletion has also been reported in a cell line derived from a diffuse large B-cell lymphoma.19 However, its potential role in lymphoma progression is unknown.
In the present study, we wished to determine whether loss of the CDK inhibitor p16 could also be implicated in follicular lymphoma progression. For our analysis, we used polymerase chain reaction (PCR)-based microsatellite analysis combined with tissue microdissection for investigation of the deletional status of the 9p21 locus and immunohistochemistry to study the expression of the p16 protein.
PCR-based microsatellite analysis combined with tissue microdissection has recently emerged as a powerful tool in performing loss of heterozygosity (LOH) and gene deletion studies20 and offered several advantages to us. The critical microdissection step allows one to enrich for tumor cells and, thereby, more accurately analyze tumors that have a high percentage of normal cells interspersed among the tumor cells. This is the case with many malignant lymphomas, and it is a problem that has previously prevented the accurate assessment of gene deletion in these tumors.17 Another important advantage of PCR-based microsatellite analysis and microdissection is that it can be applied to paraffin-embedded fixed tissue samples, which are often the only form of archival biopsy material available for genetic analysis. This is particularly true in the case of progressed lymphomas, because the interval between the occurrence of the low- and high-grade neoplasms is frequently many years, and banked frozen tissue specimens from the paired biopsies are not frequently available.
In performing PCR-based microsatellite LOH studies on primary tumors, homozygous deletions are interpreted by the apparent retention of heterozygosity in one or more closely spaced microsatellite markers, which must be flanked on both sides by other microsatellite markers showing LOH.21,22 This apparent retention of heterozygosity is a result of the amplification of allele sequences contributed by small numbers of contaminating normal cells inadvertently microdissected along with neoplastic cells. This interpretation has previously been validated by the demonstration of homozygous deletion using Southern blot hybridization analysis and fluorescence in situ hybridization (FISH).21 Reed et al22 have also confirmed this interpretation by the demonstration of lack of immunohistochemical reactivity for p16 in head and neck cancers with homozygous deletions detected by microsatellite analysis.
To determine whether LOH or homozygous deletions at 9p21 involving p15 and p16 might be involved in the histologic progression of FCL to DLCL, we studied 11 matched pairs of low-grade FCL (LGFCL) and their progressed counterparts (DLCL), using microdissection and 10 microsatellite markers closely flanking these tumor-suppressor genes. A comparative multiplex PCR assay was also used in the assessment of homozygous deletions in this region, as previously described.23 In addition, immunohistochemical analysis for p16 expression was performed and compared with the results of the genetic analyses.
MATERIALS AND METHODS
Tumor Samples
Matched cases of LGFCL and their corresponding progressed DLCL counterparts were obtained from the files of the Hematopathology Section of the National Cancer Institute (NCI) and the British Columbia Cancer Agency. A total of 22 tumor samples from 11 patients were selected for this study based on the availability of either unstained glass slide sections or formalin-fixed paraffin-embedded tissue blocks of both LGFCL and the progressed DLCL counterpart from the same patient. Histopathologic evaluation was performed independently by three pathologists (K.S.J.E-J., R.D.G., and E.S.J.). In addition, 11 cases of de novo diffuse large B-cell lymphoma were randomly selected from the files of Hematopathology Section of the NCI, examined for p16 expression, and compared with the progressed DLCLs.
Immunohistochemistry
Immunohistochemical staining for p16 was performed manually on freshly cut formalin-fixed paraffin-embedded tissue sections mounted on Superfrost/Plus (Columbia Diagnostics, Inc, Springfield, VA) glass slides. The sections were melted, dewaxed, and incubated in 10 mmol/L sodium citrate buffer (pH 6.0) and microwaved for 15 minutes. The slides were allowed to cool at room temperature for 30 minutes. A primary mouse monoclonal antibody against p16 (clone F-12; Santa Cruz Biotechnology, Inc, Santa Cruz, CA) was used at a dilution of 1:200 for 1 hour and detected using the streptavidin horseradish immunoperoxidase technique using 3′3′ diaminobenzidine tetrahydrochloride as chromogen.
Formalin-fixed paraffin-embedded sections of cell blocks prepared from MOLT 4 and K562 cell lines, which have previously been determined by Southern blot hybridization to harbor homozygous deletions of the p16 gene,16 were used as negative controls. Reactive tonsillar tissue was used as the positive control and was applied on every slide evaluated to ensure adequate p16 staining. Only predominantly nuclear reactivity was considered as a positive signal for p16. In the tonsil, positive nuclear signals were present in the majority of squamous epithelial cells and in the lymphocytes. Non-neoplastic cells (eg, endothelial/epithelial cells) served as adequate internal control for p16 expression in neoplastic tissues showing lack of p16 expression (examples shown in Fig 5B and F). Cases showing lack of staining in the endothelial cell nuclei were considered inadequate for interpretation.
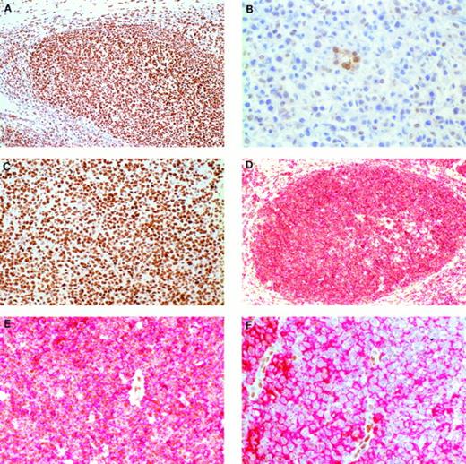
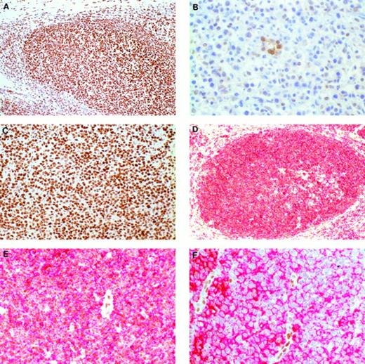
p16 immunohistochemistry in LGFCL, progressed DLCL, and de novo DLCL. (A) LGFCL (case no. 7) showing strong nuclear reactivity (brown nuclear staining) in the majority of the neoplastic follicular center cells (original magnification × 100). (B) Progressed DLCL showing lack of p16 expression in the neoplastic cells (case no. 7). Note the positive (brown) staining in the (internal control) renal tubular epithelial cells (original magnification × 400). (C) De novo DLCL showing diffuse positive staining for p16 in majority of the tumor cells (original magnification × 200). Double immunostaining for p16 and CD20. (D) LGFCL (case no. 5) showing dual reactivity for p16 (brown nuclear stain) as well as strong membrane reactivity for CD20 (red) (original magnification × 100). (E) Higher magnification of (D) (original magnification × 200). (F) Progressed DLCL (case no. 5) showing the absence of p16 expression in the nuclei of the neoplastic CD20+ cells. Note the strong p16 expression in the (internal control) endothelial cells (original magnification × 400).
p16 immunohistochemistry in LGFCL, progressed DLCL, and de novo DLCL. (A) LGFCL (case no. 7) showing strong nuclear reactivity (brown nuclear staining) in the majority of the neoplastic follicular center cells (original magnification × 100). (B) Progressed DLCL showing lack of p16 expression in the neoplastic cells (case no. 7). Note the positive (brown) staining in the (internal control) renal tubular epithelial cells (original magnification × 400). (C) De novo DLCL showing diffuse positive staining for p16 in majority of the tumor cells (original magnification × 200). Double immunostaining for p16 and CD20. (D) LGFCL (case no. 5) showing dual reactivity for p16 (brown nuclear stain) as well as strong membrane reactivity for CD20 (red) (original magnification × 100). (E) Higher magnification of (D) (original magnification × 200). (F) Progressed DLCL (case no. 5) showing the absence of p16 expression in the nuclei of the neoplastic CD20+ cells. Note the strong p16 expression in the (internal control) endothelial cells (original magnification × 400).
Immunohistochemical staining for CD20 for double p16/CD20 staining was performed on an automated immunostainer (Ventana 320; Ventana Medical Systems, Tucson, AZ). CD20 (clone L26; DAKO, Carpinteria, CA) was applied to tissue sections at a 1:100 dilution for 30 minutes at room temperature. Detection of CD20 was achieved using an alkaline phosphatase kit (DAKO) with the chromogen fast red. The slides were counterstained with Delafield's hematoxylin and scored (Table 1).
Summary of 9p21 LOH and Immunohistochemical Analyses of p16 and p53 in Progressed FCL
| . | Case No. . | |||||||||||||||||||||
|---|---|---|---|---|---|---|---|---|---|---|---|---|---|---|---|---|---|---|---|---|---|---|
| 1 . | 2 . | 3 . | 4 . | 5 . | 6 . | 7 . | 8 . | 9 . | 10 . | 11 . | ||||||||||||
| Histology | LG | HG | LG | HG | LG | HG | LG | HG | LG | HG | LG | HG | LG | HG | LG | HG | LG | HG | LG | HG | LG | HG |
| p16 PCR | +/+ | −/− | +/+ | +/− | +/+ | −/− | +/+ | +/− | +/+ | −/− | +/+ | +/+ | +/+ | −/− | +/+ | +/+ | +/+ | −/− | +/+ | +/+ | +/+ | −/− |
| p16 IHC | 3+ | − | 3+ | 3+ | TI | TI | 3+ | 3+ | 3+ | − | 3+ | 3+ | 3+ | − | 3+ | 3+ | 3+ | −/+ | 3+ | 3+ | TI | TI |
| p53 IHC | + | + | − | − | − | − | 2+ | 3+ | − | + | + | − | − | + | − | + | − | + | − | − | − | 2+ |
| . | Case No. . | |||||||||||||||||||||
|---|---|---|---|---|---|---|---|---|---|---|---|---|---|---|---|---|---|---|---|---|---|---|
| 1 . | 2 . | 3 . | 4 . | 5 . | 6 . | 7 . | 8 . | 9 . | 10 . | 11 . | ||||||||||||
| Histology | LG | HG | LG | HG | LG | HG | LG | HG | LG | HG | LG | HG | LG | HG | LG | HG | LG | HG | LG | HG | LG | HG |
| p16 PCR | +/+ | −/− | +/+ | +/− | +/+ | −/− | +/+ | +/− | +/+ | −/− | +/+ | +/+ | +/+ | −/− | +/+ | +/+ | +/+ | −/− | +/+ | +/+ | +/+ | −/− |
| p16 IHC | 3+ | − | 3+ | 3+ | TI | TI | 3+ | 3+ | 3+ | − | 3+ | 3+ | 3+ | − | 3+ | 3+ | 3+ | −/+ | 3+ | 3+ | TI | TI |
| p53 IHC | + | + | − | − | − | − | 2+ | 3+ | − | + | + | − | − | + | − | + | − | + | − | − | − | 2+ |
Abbreviations: LOH, loss of heterozygosity; LG, low-grade follicle center lymphoma; HG, high-grade follicle center lymphoma; PCR, polymerase chain reaction, (+/+) retention of both alleles, (+/−) hemizygous deletion, (−/−) homozygous deletion; IHC, immunohistochemistry, (−) <10%, (−/+) 10% to 25%, (+) 26% to 50%, (2+) 51% to 75%, (3+) >75% showed nuclear reactivity with the antibody; TI, technically inadequate.
In the tumor samples, the percentage of tumor cells showing positive reactivity for p16 was scored as follows: less than 10% was scored as (−), 10% to 25% as (−/+), 26% to 50% as (+), 51% to 75% as (2+), and greater than 75% as (3+) (Table 1).
p53 expression was immunohistochemically assessed using the monoclonal antibody DO7, as previously described,13 and scored using the above-listed criteria.
Immunohistochemical (IHC) staining for CD3 (DAKO) was performed on formalin-fixed paraffin-embedded sections on the Ventana automated immunostainer, using the manufacturer's protocol.
Microdissection Technique
CD3 immunostaining was performed on 5-μm sections obtained from all 22 biopsies to aid in the identification and avoidance of contaminating reactive T cells, thus facilitating the isolation of pure tumor populations for genetic analysis. Microdissection of selected areas was performed under direct light microscopic visualization as previously described.20 For each case, interfollicular T cells were microdissected to represent normal lymphoid cells, neoplastic follicles were dissected to represent the LGFCL, and cell clusters composed of CD3− neoplastic large cells were dissected from the DLCL biopsies (Fig 1).
Representative photomicrographs of a microdissected low-grade and progressed FCL. (A) LGFCL (hematoxylin and eosin). (B) LGFCL before microdissection (CD3 immunostain ). (C) LGFCL after microdissection (CD3 immunostain). (D) Diffuse large-cell lymphoma (hematoxylin and eosin). (E) Diffuse large-cell lymphoma before microdissection (CD3 immunostain). (F) Diffuse large-cell lymphoma after microdissection (CD3 immunostain). Arrows indicate CD3 positive cells in E and F.
Representative photomicrographs of a microdissected low-grade and progressed FCL. (A) LGFCL (hematoxylin and eosin). (B) LGFCL before microdissection (CD3 immunostain ). (C) LGFCL after microdissection (CD3 immunostain). (D) Diffuse large-cell lymphoma (hematoxylin and eosin). (E) Diffuse large-cell lymphoma before microdissection (CD3 immunostain). (F) Diffuse large-cell lymphoma after microdissection (CD3 immunostain). Arrows indicate CD3 positive cells in E and F.
DNA Extraction
For each biopsy specimen, approximately 500 nuclei were procured by microdissection and immediately transferred into a 20-μL solution containing 0.05 mol/L Tris-HCl, 0.001 mol/L EDTA, 1% Tween 20, and 0.1 mg/mL proteinase K (pH 8.0) and incubated overnight at 37°C. The mixture was heated to 95°C for 10 minutes to inactivate proteinase K, and 1.0 μL of this solution was used as a template for PCR.
LOH Assays
DNA from normal, LGFCL, and DLCL biopsies from each case were analyzed for LOH by PCR amplification of dinucleotide repeat-containing sequences. The 10 microsatellite markers used in this study are indicated in Fig 2. The oligonucleotide primer pairs and sequences were obtained from Research Genetics (Huntsville, AL). A hot start method (initial denaturation at 94°C for 3 minutes) was used for all PCRs. PCR amplifications were performed in 10 μL reaction volumes, with 0.2 μmol/L concentrations of each unlabeled primer, 1.5 mmol/L deoxynucleotide triphosphate, 1 μCi of [α-32P]dCTP (specific activity, 6,000 Ci/mmol), 10 mmol/L Tris-HCl (pH 8.3), 1.5 mmol/L MgCl2, 50 mmol/L KCl, 0.01% gelatin, and 0.25 U of AmpliTaq DNA polymerase (Perkin Elmer Cetus, Norwalk, CT). The annealing temperatures used in the various PCR reactions are as follows: IFNA and D9S171: 55°C; D9S1747, D9S1748, D9S1749, and D9S1752: 58°C; D9S1751: 54°C; and D9S144, D9S157, and D9S161: 56°C. PCR reactions were performed over 30 to 35 cycles. An aliquot of each reaction mixture was diluted with an equal volume of formamide loading dye (95% formamide, 20 mmol/L EDTA, 0.05% bromophenol blue, and 0.05% xylene cyanol). Radiolabeled products were analyzed on a 6% sequencing gel, which was then dried and autoradiographed. In pilot studies, we determined using sensitivity assays that LOH could be easily scored when DNA extracts were derived from microdissected samples with approximately 80% neoplastic cells or greater (data not shown). In informative cases, allelic loss was scored if the signal intensity from one allele was significantly reduced in the tumor DNA when compared with the normal DNA signal by direct visualization (Fig 3). Homozygous deletions were scored as described by Reed et al.22 This scoring method is based on the presence of retention of heterozygosity in one or more microsatellite markers within an area flanked by markers showing clear evidence of LOH.22 23 In all cases, the results of the microsatellite analysis were confirmed by performing the reactions in duplicate; the same result was consistently obtained in the duplicate reactions.
Deletion map of chromosome 9p21. Cases no. 1, 3, 5, 7, and 11 demonstrate homozygous deletion of the region containing the p16 and p15 genes in the progressed DLCL, but not in the corresponding prior LGFCL or normal patient tissue (see text for complete explanation), whereas cases no. 2, 4, and 9 show hemizygous deletion involving these regions. Cases no. 6, 8, and 10 show no evidence of LOH.
Deletion map of chromosome 9p21. Cases no. 1, 3, 5, 7, and 11 demonstrate homozygous deletion of the region containing the p16 and p15 genes in the progressed DLCL, but not in the corresponding prior LGFCL or normal patient tissue (see text for complete explanation), whereas cases no. 2, 4, and 9 show hemizygous deletion involving these regions. Cases no. 6, 8, and 10 show no evidence of LOH.
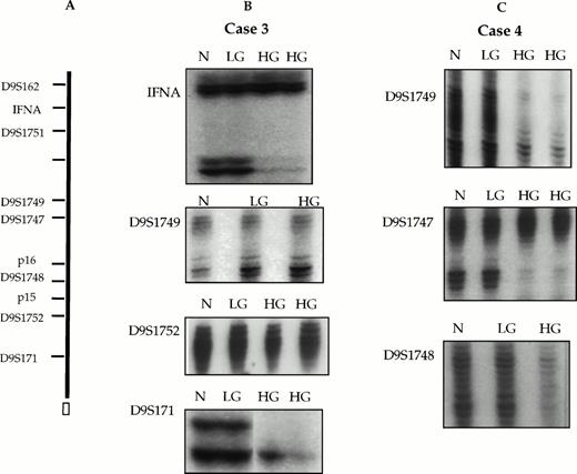
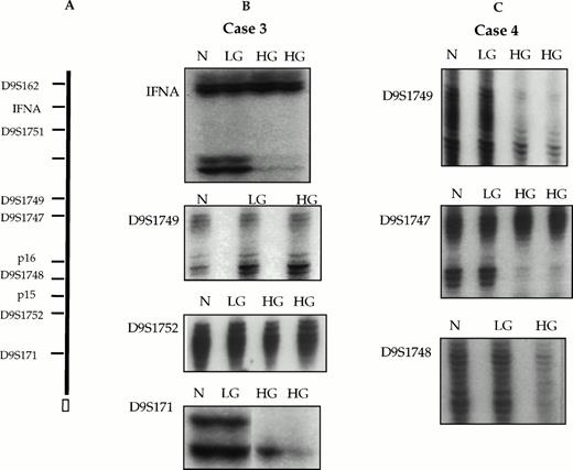
LOH analysis of normal (N), low-grade (LG), and progressed DLCL (HG) samples microdissected from 2 selected cases (cases no. 3 and 4). (A) Map location of polymorphic markers on chromosome 9p21. (B) Case no. 3 showing apparent retention of heterozygosity in the progressed DLCL samples (HG), indicating homozygous deletions at D9S1749 and D9S1752 flanked by LOH, indicated by loss of the lower allele at IFNA, and the upper allele at D9S171. (C) Case no. 4 showing LOH in the DLCL samples (HG), encompassing 3 markers, indicated by loss of the upper allele at D9S1749 and loss of the lower alleles at D9S1747 and D9S1748.
LOH analysis of normal (N), low-grade (LG), and progressed DLCL (HG) samples microdissected from 2 selected cases (cases no. 3 and 4). (A) Map location of polymorphic markers on chromosome 9p21. (B) Case no. 3 showing apparent retention of heterozygosity in the progressed DLCL samples (HG), indicating homozygous deletions at D9S1749 and D9S1752 flanked by LOH, indicated by loss of the lower allele at IFNA, and the upper allele at D9S171. (C) Case no. 4 showing LOH in the DLCL samples (HG), encompassing 3 markers, indicated by loss of the upper allele at D9S1749 and loss of the lower alleles at D9S1747 and D9S1748.
Comparative Multiplex PCR
The presence of homozygous deletions was also assessed in all cases by a comparative multiplex PCR assay using a primer set from a locus (D9S200) outside the area of suspected homozygous deletion (chromosome 9p13) and a test primer set (IFNA) for the locus of suspected homozygous deletion (chromosome 9p21), as previously described.20 The concentrations of the template DNAs were adjusted to obtain comparable band intensities between the control products visualized in the lanes containing tumor DNA and in the lanes containing normal DNA. Homozygous deletion was scored when the IFNA signal was significantly less than that from the D9S200 (control) allele(s) (Fig 4).
LOH analysis and comparative multiplex PCR of normal (N), low-grade (LG), and progressed DLCL (HG) components of a selected case (case no. 9). (A) Case no. 9 showing loss of upper alleles at D9S171 and D9S1752 in the DLCL (HG) lanes. (B) Comparative multiplex PCR showing marked diminution in the intensity of the IFNA alleles in the DLCL lanes (HG) in comparison to the normal (N) and the LGFCL (LG) lanes. In addition, the signal intensity of the IFNA alleles is lower in both (HG) lanes in comparison to the D9S200 alleles.
LOH analysis and comparative multiplex PCR of normal (N), low-grade (LG), and progressed DLCL (HG) components of a selected case (case no. 9). (A) Case no. 9 showing loss of upper alleles at D9S171 and D9S1752 in the DLCL (HG) lanes. (B) Comparative multiplex PCR showing marked diminution in the intensity of the IFNA alleles in the DLCL lanes (HG) in comparison to the normal (N) and the LGFCL (LG) lanes. In addition, the signal intensity of the IFNA alleles is lower in both (HG) lanes in comparison to the D9S200 alleles.
RESULTS
Genetic Analyses
The results of the microsatellite analyses are summarized in Table 1and Fig 2. None of the 11 LGFCL showed LOH for any of the microsatellite markers. On the contrary, deletions (hemizygous or homozygous) were detected in 8 of the 11 progressed DLCL (73%) biopsy specimens. Homozygous deletions involving the p16 locus were found in a total of 6 of 11 (54.5%) cases. In 5 of the 6 cases (cases no. 1, 3, 5, 7, and 11), homozygous deletion was identified by the presence of apparent retention of heterozygosity of one or more of the markers close to p16 and flanked by more distant markers showing clear LOH21,22 (Fig 2). The apparent retention of heterozygosity is attributed to the amplification of a small number of contaminating normal cells in the microdissected progressed DLCL component, because the homozygously deleted region in the DLCL cells does not provide a template for PCR amplification.21 Using a comparative multiplex PCR assay,23 we detected a homozygous deletion in an additional case (case no. 9). This assay showed that when the D9S200 alleles in the normal, LGFCL, and progressed DLCL were of equal intensity, the signal for IFNA in the LCL lane was markedly diminished (Fig 4). The IFNA locus in case no. 9 is therefore homozygously deleted, rather than retained, as the results of the LOH assay using IFNA as a single marker would otherwise have suggested (Fig 2).
Hemizygous deletions were detected in 2 cases (cases no. 2 and 4). In case no. 2, LOH was detected at a single locus D9S1748 that is located approximately 15 kb centromeric from p16.21 In case no. 4, LOH was found at 3 loci (D9S1749, D9S1747, and D9S1748) spanning an area of approximately 300 kb encompassing the p16 locus.
Immunohistochemical Analyses
p16.
All of the 9 evaluable LGFCLs showed (3+) reactivity (>75% of the neoplastic cells) for p16 (Fig 5A). By contrast, 3 of the 9 evaluable progressed DLCLs showed lack of p16 expression (−) (<10% of the neoplastic cells). A fourth immunohistochemically evaluable progressed DLCL also showed a much lower percentage of p16-positive cells (−/+) (ie, <10% to 25% of cells) than its corresponding low-grade counterpart (3+) (>75% of cells). The results in this case (case no. 9) indicate that p16 loss occurred in a substantial proportion of the progressed DLCL cells. Eleven cases of de novo DLCL showed (3+) reactivity (>75% of the cells) for p16 (see Table 1 and Fig 5C).
Correlation between genetic and immunohistochemical analyses.
All 9 LGFCLs showed retention of both (+/+) copies of chromosome 9p21 segments by microsatellite PCR analysis and were positive (3+) for p16 protein expression. All of the 5 progressed DLCLs with retention of one or both copies of 9p21 segments showed (3+) reactivity for p16. Three of the 4 progressed DLCLs with homozygous deletions of 9p21 that were evaluable by immunohistochemistry showed complete lack of p16 protein expression (−) (<10% of the tumor cells). In the fourth case, although most of the tumor cells were negative for p16 protein expression, a small percentage of cells (10% to 25%) did express the protein. This data suggests that, in this case (case no. 9), a small percentage of cells still retain the p16 locus.
p53.
p53 protein expression was detected in 3 of 11 (27%) LGFCLs and in 7 of 11 (64%) progressed DLCLs. Five of the 11 (45%) cases of progressed DLCL showed both homozygous 9p21 deletions and p53 overexpression. Four of the 9 progressed DLCL cases (44%) with lack of p16 protein expression showed p53 overexpression. Three of 9 (33%) LGFCL with (3+) p16 staining showed p53 overexpression, whereas 6 of 9 (67%) of the p16 protein positive LGFCL were negative for p53 protein.
DISCUSSION
About 90% of the deletions that involve p16 and p15 are homozygous (particularly in hematologic malignancies) and often extend over 500 kb.18 These deletions generally include the entire interferon (IFN) gene cluster, the p16 locus, and the p15 locus, which is located approximately 25 kb centromeric from the p16 locus. The methylthioadenosine phosphorylase (MTAP) gene, which is located approximately 100 kb telomeric to p16, is also frequently encompassed by these deletions.18,24 The large size of these deletions has suggested that a single deletional event may target multiple gene loci and potentially lead to inactivation of several tumor-suppressor genes. Indeed, the infrequent occurrence of p16 point mutations in hematologic malignancies17,25 and other primary tumors with hemizygous 9p deletions26,27 has led to suggestions that p16 may not be the critical or only target of 9p deletions.26 However, cytogenetic and molecular analyses have shown that, in primary hematolymphoid malignancies with cytogenetic aberrations of 9p, the p16 locus is more frequently deleted than the p15 locus.17,18,28 The smallest commonly deleted region defined in leukemia-derived cell lines and primary hematolymphoid tumors is an approximately 120-kb region bounded centromerically by p15 and telomerically by the 3′ end of MTAP and includes p16.18 The overall evidence thus suggests that p16 is targeted in most tumors with deletions at 9p21.18 21
Our current study is the first longitudinal study to demonstrate an association between genetic loss at chromosome 9p21 involving the p16 and p15 gene loci and histologic progression to DLCL using serial matched pairs of the low-grade and progressed FCL (DLCL). By comparing LGFCL and their transformed counterparts from the same patients, our study is particularly informative, because we clearly demonstrate the relationship between acquisition of deletions at 9p21 involving the p16 and p15 loci and histologic progression to DLCL. In addition, immunohistochemical studies in these cases showed an excellent correlation with the results of the genetic analyses; 4 of 9 (44%) of the progressed DLCLs showed loss of or marked reduction in the percentage of p16-expressing tumor cells when compared with the corresponding LGFCLs (Table 1). Other preliminary studies29and reports of single cases of progressed non-Hodgkin's lymphoma with deletions involving the p16 and p15 loci have not examined the preceding low-grade lymphoma in the same patient and, thus, do not exclude the prior existence of deletions in the preceding low-grade lesions.30
It is noteworthy that 11 of 11 (100%) of the de novo DLCL cases studied in our current series showed (3+) p16 expression by immunohistochemistry. This result suggests that, although p16 inactivation through genetic loss at 9p21 is an important event in the histologic progression of LGFCL, it is not a frequent event in de novo DLCL.
Immunohistochemistry can thus be used to assess the inactivation status of p16 and may serve as a practical substitute for extensive and more labor-intensive genetic analyses. p16 immunohistochemistry is also advantageous in that it may be used to assess gene inactivation arising from a variety of mechanisms, including homozygous deletions, methylation, and mutations.22
We have previously shown that mutations of the p53 tumor-suppressor gene are associated with histologic transformation to diffuse large-cell lymphoma in a subset of progressed FCL.13 In that study, we demonstrated a strong correlation between overexpression of the p53 protein and the presence of mutations of the p53 gene. In the current series,we found p53 overexpression in 7 of 11 (64%) progressed FCLs. Six of the 7 p53-positive high-grade biopsies were evaluable for p16 expression. Lack of p16 expression was scored in 4 of 6 (66.6%) of the p53-positive cases. These results indicate that both alterations of the p53 gene and deletions of p16 may occur concomitantly as secondary events in the histologic progression of FCLs. We were unable to examine our samples for other genetic derangements, such as rearrangements of the bcl-6 gene, because such studies would require fresh or frozen tissue material, which was unavailable in these cases.
In conclusion, we have demonstrated the frequent occurrence of deletions at band 9p21 in 8 of 11 cases (73%) of progressed FCL, comprising 6 homozygous deletions (54.5%) and 2 hemizygous deletions (18%). Loss of p16 expression was associated with homozygous deletions at chromosome 9p21. It is pertinent to note that all of the deletions were detected in the progressed DLCL components, with no deletions detected in the LGFCL biopsies. In all cases, the hemizygous or homozygous deletions extended to or beyond D9S1748 and thus include the p16 locus. In the 2 cases (cases no. 2 and 4) in which the deletions extended only up to D9S1748, we cannot exclude the possibility of involvement of the p15 locus. These results indicate that p16 is at least one of the targets in homozygous deletions at chromosome 9p21 in histologic progression of FCL.
Finally, chromosomal loss at 9p21 has been shown to occur early in the progression of epithelial cancers such as head and neck squamous cell cancer31 and esophageal cancer.32 Future studies analyzing individual neoplastic follicles may be useful to assess intratumoral heterogeneity and the occurrence of deletions in LGFCL before overt histologic transformation and may possibly serve as a predictor of progression to the clinically aggressive DLCL.
ACKNOWLEDGMENT
The authors thank Drs Michael Emmert-Buck and Zhengping Zhuang for their advice with regard to the microdissection technique.
Address reprint requests to Mark Raffeld, MD, Section of Hematopathology, Laboratory of Pathology, NCI, NIH, Bldg 10, 2N110, 10 Center Dr, MSC 1500, Bethesda, MD 20852-1500.
The publication costs of this article were defrayed in part by page charge payment. This article must therefore be hereby marked "advertisement" is accordance with 18 U.S.C. section 1734 solely to indicate this fact.





This feature is available to Subscribers Only
Sign In or Create an Account Close Modal