Abstract
We hypothesize that early lymphoid commitment from primitive hematopoietic marrow progenitors is governed by signals from the marrow microenvironment leading to sequential induction of lineage-specific genes. Using expression of lymphoid genes as markers of differentiation, we characterize a highly purified population (>99.8% by double sorting) of primary human CD34+Lin−DR− progenitors. This population was then used to evaluate the effects of supplemental cytokines (interleukin-2 [IL-2], IL-3, IL-7, c-kit ligand), FLT-3 ligand (FL), and stroma-derived factors on lymphoid differentiation in vitro. CD3, RAG-1, Ikaros, CD10, and TdT transcripts were detected in the starting CD34+Lin−DR− population. By contrast, CD3γ, CD3δ, CD3ζ, and RAG-2 transcripts were not present in any samples tested. The presence of supplemental cytokines alone at culture initiation permitted stimulation of the expression of CD3ζ, but not of CD3γ or CD3δ. However, when FL and stroma-derived factors were added to cytokines, CD3 gene expression was induced in all samples. The predominant CD3 transcripts induced by optimal culture conditions were alternatively spliced isoforms lacking transmembrane sequences (CD3δ and CD3γ) and portions of the intracellular and extracellular domains (CD3γ). The combination of cytokines, FL, and stromal factors also provided a potent stimulus for RAG-2 gene expression. These findings show that FL in combination with stroma-derived factors provide important signals to promote early events required for lymphoid differentiation.
NORMAL LYMPHOID development occurs through an orderly progression of events from the pluripotent hematopoietic stem cell to mature lymphocytes. For natural killer (NK)1 and B cells, the bone marrow microenvironment alone provides the necessary signals for full maturation, while T cells require further signals from the thymus. Surface phenotyping and molecular analysis of thymocytes at various stages of development have provided significant insights into events important in T-cell development. However, comparatively little is known about the effects of the bone marrow microenvironment on prethymic T-cell precursors.
Lymphoid-specific genes, such as CD3γ, CD3δ, CD3ζ, CD3ε, RAG-1, RAG-2, and Ikaros, have proved important in the differentiation of normal T cells. After interaction with the thymic microenvironment, T cells begin to express the T-cell receptor (TCR)/CD3 complex on their surface. This complex consists of two antigen-dependent α/β or γ/δ chains in association with the invariant CD3γ, CD3δ, CD3ζ, and CD3ε subunits. Expression of CD3 subunits is necessary for expression of the antigen-dependent TCR/CD3 complex on the cell surface.2 Synthesis of a functional TCR cannot occur without the recombinase activating genes, RAG-1 and RAG-2, which mediate rearrangement of the antigen-dependent TCR genes.3,4 Transient increases in the expression of these genes occurs simultaneously in two waves, corresponding to rearrangement of the TCRβ, γ, or δ chains, followed by the TCRα chain.5 Ikaros, another recently characterized gene, has been shown to be critical for lymphoid development.6 Ikaros gene products encode a family of zinc finger transcription factors that have putative binding sites in the 5′ regulatory regions of several lymphoid-specific genes (CD3δ, TdT, IL-2R, RAG-1).7-9Knockout mice that fail to express Ikaros gene products fail to develop T, B, or NK cells.6
The human hematopoietic stem cell is contained in a population of cells expressing surface CD34 with low or absent HLA-DR expression (DR−).10,11 Lymphoid progenitor subpopulations that coexpress CD34 and the lymphoid surface antigens CD7, CD2, and CD10 can be found in human adult bone marrow.12-14 We previously showed that coexpression of these lymphoid surface antigens on CD34+ cells correlates with differential cytoplasmic expression of CD3γ, CD3δ, and CD3ζ subunits, suggesting that the marrow microenvironment may have an important role in initiating lymphoid differentiation.15 In an effort to gain a better understanding of the role of the marrow microenvironment in lymphoid development, we studied the expression of specific genes (CD3γ, CD3δ, CD3ζ, CD3ε, RAG-1, RAG-2, Ikaros) that are important in lymphoid differentiation. The expression of these transcripts in fresh, highly purified primary human primitive cells is assessed. This population is then used to evaluate stroma-derived factors and cytokines important in inducing lymphoid gene transcription as requisite events in lymphoid differentiation.
MATERIALS AND METHODS
Study population.
Bone marrow was obtained from the posterior iliac crest of 23 normal healthy adult volunteers after informed consent, using guidelines approved by the Committee on the Use of Human Subjects in Research at the University of Minnesota. Bone marrow mononuclear cells (BMMNC) were isolated using Ficoll-Hypaque (specific gravity 1.077) (Sigma Diagnostics, St Louis, MO) density gradient centrifugation.
Purification of CD34+Lin−DR−progenitors.
BMMNC cells were enriched for CD34+ cells using a biotin-avidin column following the manufacturer's specifications (Cellpro, Bothel, WA). Resultant cells were stained with CD34 biotin (Cellpro) and streptavidin SA670 (GIBCO-BRL, Grand Island, NY) for multicolor sorting as previously described.12 Fluorescein isothiocyante (FITC) conjugated lymphoid antibodies (Becton Dickinson [BD], Mountain View, CA) to CD2, CD3, CD4, CD5, CD7, CD8, CD10, and CD19 were used for the lineage (Lin) cocktail. Phycoerythrin (PE)-conjugated anti-HLA-DR (BD) was used as the third fluorescent color. Cells were sorted on a fluorescence-activated cell sorter (FACS) Star-Plus flow cytometer (BD) equipped with a Consort 32 computer (Hewlett Packard) into a CD34+Lin−DR− population. The FACS machine was modified to increase purity by increasing the droplet rate to 65,000 droplets per second and sorting each droplet individually. Five double-sort experiments were performed by pooling CD34+ cells from 2 to 4 donors each to obtain adequate numbers of double sorted cells. Three-color analysis of FLT-3R (CD135) was performed using CD135 (a gift from Immunex Corp, Seattle, WA) coupled to goat anti-mouse PE (Biosource International, Camarillo, CA), CD34 biotin-streptavidin SA670, and HLA-DR FITC. Phenotype analysis of the progeny of cultured CD34+Lin−DR− cells was performed using the lymphoid cocktail antibodies listed above and CD1a (Coulter Immunology, Hialeah, FL).
Culture of CD34+Lin−DR−cells.
Replicates of 10,000 cells were cultured in 1 mL (or in limiting dilutions in 0.2 mL where indicated) of long-term bone marrow culture (LTBMC) media or stroma-conditioned media (SCM) without hydrocortisone (Iscove's media with 12.5% horse serum, 12.5% fetal calf serum [FCS], and 0.1% l-glutamine) and supplemented with interleukin-3 (IL-3) (5 ng/mL; R&D Systems, Minneapolis, MN), IL-7 (10 ng/mL; R&D Systems), and c-kit ligand (KL) (20 ng/mL; a gift from Amgen, Thousand Oaks, CA), with or without FLT-3 Ligand (FL) (10 ng/mL; a gift from Immunex). LTBMC media was also supplemented with IL-2 (1,000 U/mL; a gift from Amgen) before use. SCM was prepared by incubating IL-2–supplemented LTBMC with irradiated (2,500 cGy) allogeneic human stromal monolayers for 2 to 4 days based on our previous work1,16 and on the observation that IL-2 may alter stromal factors important in this process.17 Other cytokines were added to SCM just before plating. Cultures were incubated in 5% CO2 at 37°C. At day 7, culture volumes were doubled to 2 mL with 2:1 (vol/vol) Dulbecco's modified Eagle's medium (DMEM)/Ham's F12-based medium supplemented with 10% heat-inactivated human AB serum as described,18 IL-2 (1,000 U/ml), and phytohemagglutinin (PHA) (2 μg/ml; Murex Biotech Ltd, Dartmouth, UK).
RNA extraction, PCR, and Southern blotting.
Fresh CD34+Lin−DR− cells or cells cultured for 7 or 14 days were harvested and total mRNA extracted using RNeasy spin columns according to the manufacturer's recommendations (Qiagen, Santa Clarita, CA). Genomic DNA was digested with 3 U DNase 1 (Ambion, Austin, TX) for 30 minutes at 37°C and mRNA repurified using RNeasy spin columns. Reverse transcription (RT) was performed by incubating 24 μL of DNase 1–treated mRNA with 36 μL of a master mix containing first-strand buffer (50 mmol/L Tris-HCl (pH = 8.3), 40 mmol/L KCl, 6 mmol/L MgCL2) (GIBCO-BRL), 1 mmol/L dithiothreiotol (DTT; GIBCO-BRL), 1.5 mmol/L each dATP, dCTP, dGTP, and dTTP (Amersham, Arlington Heights, IL), 30 U RNasin (Promega, Madison, WI), 1.5 μmol/L random hexamers (Perkin Elmer, Foster City, CA), and 400 U Moloney murine leukemia virus (M-MLV) RT (GIBCO-BRL) at 37°C for 60 minutes, followed by heat inactivation at 80°C for 10 minutes. For initial experiments, mRNA was extracted from 10,000 cells, and of the cDNA was used for each polymerase chain reaction (PCR) reaction. For extraction of mRNA using limiting dilutions of starting cells (10 to 1,000 cells), ¼ of the cDNA was used for each PCR reaction. For analysis of ≤1,000 cells, DNase treatment was performed only for RAG-1 and RAG-2. cDNA was added to a master mix containing PCR reaction buffer (50 mmol/L KCl, 10 mmol/L Tris-HCl (pH 9.0 at 25°C), 0.1% Triton X-100) (Promega), 1.5 mmol/L MgCl2 (Promega), 0.25 mmol/L each dATP, dCTP, dGTP, and dTTP, 10 pmol (CD3γ, CD3δ) or 20 pmol (CD3ζ, CD3ε, RAG-1, RAG-2, Ikaros, CD10, TdT) of 5′ and 3′ sequence-specific primers, and 2.5 U Taq DNA polymerase (Promega). Samples were subjected to 40 cycles of denaturation at 95°C for 15 seconds, annealing at 55°C (CD3ζ, CD3ε, RAG-2, Ikaros, CD10, TdT) or 58°C (CD3γ, CD3δ, RAG-1) for 20 seconds, and extension at 72°C for 1 minute in either a Perkin Elmer 480 thermal cycler or an MJ Research PTC-100 programmable thermal controller. Oligonucleotide primer sequences were as follows: CD3γ5′ primer: 5′-GGGCTGCTCCACGCTTTTGC-3′; CD3γ3′ primer: 5′-TTTTCCCCAATAGGTGGCGC-3′19; CD3δ 5′ primer: 5′-TTCCGGTACCTGTGAGTCAGC-3′; CD3δ 3′ primer: 5′-GGTACAGTTGGTAATGGCTGC-3′19; CD3ζ5′ primer: 5′-CTCTGCCTCCCAGCCTCTTT-3′; CD3ζ3′ primer: 5′-GCGTCGTAGGTGTCCTTGGT-3′; CD3ε 5′ primer: 5′-AGTTGGCGTTTGGGGGCAAGATGGTAATGAAGAAA-3′; CD3ε 3′ primer: 5′-CCCAGGAAACAGGGAGTCGCAGGGGGACTGGAGAG3′20; RAG-1 5′ primer: 5′-GCCATGAAGAGCAGTGAATTA-3′; RAG-1 3′ primer: 5′-AGGAATTAACTCACAAACTGC-3′21; RAG-2 5′ primer: 5′-TTGGCATATACCAGGAGACAAT-3′; RAG-2 3′ primer: 5′-ACTATTTGCTTCTGCACTGA-3′21; Ikaros 5′ primer: 5′-CCCCTGTAAGCGATACTCCAGATG-3′; Ikaros 3′ primer: 5′-GGCTTGGTCCATCACGTGGGA-3′9; CD10 5′ primer: 5′-CCTCTCGGTCCTTGTCT-3′; CD10 3′ primer: 5′-ATATCTTCAGTTTTGGGTTCTTG-3′; TdT 5′ primer: 5′-ACACGAATGCAGAAAGCAGGA-3′; TdT 3′ primer: 5′-AGGCAACCTGAGCTTTTCAAA-3′ (provided by Dr Tucker LeBien, University of Minnesota Cancer Center, Minneapolis); β-actin 5′ primer: 5′-TACCTCATGAAGATCCTCA-3′; β-actin 3′ primer: 5′-TTCGTGGATGCCACAGGAC-3′.15
Amplified products were size separated on 1.5% agarose gels and transferred to Hybond N+ nucleic acid transfer membranes (Amersham). Probes were labeled with 32P-dATP, using a TdT 3′-end labeling kit (Boehringer Mannheim, Indianapolis, IN) for oligonucleotide probes (CD3ζ, CD3ε, RAG-1, RAG-2, Ikaros, CD10, TdT) or with 32P-dCTP incorporation using a random primed labeling kit (Boehringer Mannheim) for cDNA probes (CD3γ, CD3δ) as instructed by the manufacturer. Hybridization was performed by applying one-half volume of labeled probe to the membranes in Rapid-hyb buffer (Amersham) for 60 minutes at 42°C for oligonucleotide probes or 65°C for cDNA probes. Oligonucleotide probe sequences were as follows: CD3ζ 5′-ACTGTAGGCCTCCGCCA-3′15; CD3ε 5′-TTCTCACACACTCTTGCCCTCAGG-3′; RAG-1 5′-GAGACAGTCCCTTCCATAGAT-3′21; RAG-2 5′-GAGTCTTCAAAGGGAGTGGA-3′21; CD10 5′-TATGCTTGCGGAGGCTGGTTG-3′; TdT 5′-ACACGAATGCAGAAAGCAGGA-3′ (provided by Dr Tucker LeBien); β-actin 5′-CCATCTCTTGCTCGAAGTC-3′.15 cDNA probes for CD3γ and CD3δ were provided by Dr C. Terhorst (Harvard Medical School, Boston, MA).22 23 Membranes were washed successively with 6X SSC, 0.1% (SDS) for 15 minutes at 27°C; 1× sodium chloride/sodium citrate (SSC), 0.5% SDS for 15 minutes at 42°C; 0.1× SSC, 1% SDS for 15 minutes at 42°C, for oligonucleotide probes or 2× SSC, 0.1% SDS for 20 minutes at 27°C; 1× SSC, 0.1% SDS for 15 minutes at 65°C; and 0.1× SSC, 0.1% SDS for 15 minutes at 65°C for cDNA probes. Autoradiographs were obtained by exposing BioMax MS film (Eastman-Kodak, Rochester, NY) to the labeled membranes for 2 to 24 hours at −80°C.
Sequencing of CD3γ and CD3δ isoforms.
PCR amplification products corresponding to the 660-bp and 528-bp isoforms of CD3δ and the 818-bp and 417-bp isoforms of CD3γ were cloned into the pCR II vector, using a TA cloning kit per the manufacturer's recommendations (Invitrogen, San Diego, CA). The nucleotide sequences of each plasmid insert was determined by the dideoxy chain termination method using Sequenase (US Biochemical, Cleveland, OH), followed by autoradiography and electrophoresis on a 5% polyacrylamide gel.
RESULTS
Transcript expression of fresh progenitors.
Lymphoid gene expression was evaluated in CD34+Lin−DR− cells from six donors by RT-PCR. In agreement with previous experiments, CD3γ, CD3δ, and CD3ζ transcripts were negative in all samples tested.15 By contrast, expression of CD3ε, RAG-1, and Ikaros was consistently detected in these same samples (data not shown). To evaluate this population further and maximize the purity of the starting population, a double sorting strategy was used. CD34+ cells from 2 to 4 donors were pooled to obtain enough cells for study and sorted twice on a flow cytometer modified to increase purity. Reanalysis of all events following the second round of sorting showed that greater than 99.8% of cells were CD34+and lineage-negative for each experiment (Fig1). Using the double-sorted CD34+Lin−DR− cells, CD3ε (13 of 16 positive), RAG-1 (15 of 16 positive), and Ikaros (10 of 10 positive) transcripts were detected (Fig2). However, CD3γ, CD3δ, CD3ζ, and RAG-2, requisite molecules needed for TCR gene rearrangement and surface expression, were not detected in any samples (n = 16) (Fig2). Because recombinase activating gene expression can occur simultaneously during lymphoid development,3 5 the discordant expression may be attributable to differential sensitivities of the PCR assays. To test this possibility, RAG-1 and RAG-2 expressing Jurkat T cells were serially diluted. Both RAG-1 and RAG-2 assays were able to detect transcripts in two of three replicates of the same samples diluted to the single-cell level (Fig3). Furthermore, false-positive results caused by amplification of genomic recombinase activating gene sequences from CD34+Lin−DR−cells or Jurkat T-cell controls were not detected when mRNA was subjected to PCR without prior RT (Fig 3).
Purity of the CD34+Lin−DR− population by double sorting. Shown are the representative data from one double-sorting experiment. (Left) Initial sort of the CD34-enriched population for CD34-SA670 and the FITC lymphoid cocktail (HLA-DR for the initial sort not shown). Cells were double sorted positive for surface CD34, lymphoid lineage negative, and HLA-DR negative/low. Reanalysis of all events (no exclusion by gating) after the second round of sorting is shown for CD34 and the lymphoid cocktail (middle) and for CD34 and HLA-DR (right). In each experiment, greater than 99.8% of events were within the CD34+Lin−(based on isotype controls) and CD34+DR−sort windows as shown. The 0.2% double-negative events were back gated and likely represent debris based on forward and side scatter analysis showing a majority of events (10 of 15 events for the example shown) were to the left of the lymphoid window (data not shown).
Purity of the CD34+Lin−DR− population by double sorting. Shown are the representative data from one double-sorting experiment. (Left) Initial sort of the CD34-enriched population for CD34-SA670 and the FITC lymphoid cocktail (HLA-DR for the initial sort not shown). Cells were double sorted positive for surface CD34, lymphoid lineage negative, and HLA-DR negative/low. Reanalysis of all events (no exclusion by gating) after the second round of sorting is shown for CD34 and the lymphoid cocktail (middle) and for CD34 and HLA-DR (right). In each experiment, greater than 99.8% of events were within the CD34+Lin−(based on isotype controls) and CD34+DR−sort windows as shown. The 0.2% double-negative events were back gated and likely represent debris based on forward and side scatter analysis showing a majority of events (10 of 15 events for the example shown) were to the left of the lymphoid window (data not shown).
Lymphoid gene expression in fresh, double-sorted CD34+Lin−DR− cells from human bone marrow. Total mRNA was extracted and subjected to PCR using sequence-specific primers for CD3γ, CD3δ, CD3ζ, CD3, RAG-1, RAG-2, Ikaros, CD10, and TdT. Shown are composite autoradiograph data after hybridization with sequence-specific probes. Sixteen separate replicate reactions were performed for each primer except Ikaros, where 10 replicates were performed. No amplified transcripts were present for CD3γ, CD3δ, CD3ζ, or RAG-2 (n = 16), whereas bands of the expected size were detected for CD3ε, RAG-1, Ikaros, CD10, and TdT. Mature T-cell–containing peripheral blood mononuclear cells or the Jurkat cell line was used as positive controls (+C) to confirm successful PCR reactions. For each primer set, a simultaneously run template-free PCR reaction was used to confirm the absence of carryover amplicons (not shown). Amplification of β-actin confirmed the presence of mRNA in all lanes.
Lymphoid gene expression in fresh, double-sorted CD34+Lin−DR− cells from human bone marrow. Total mRNA was extracted and subjected to PCR using sequence-specific primers for CD3γ, CD3δ, CD3ζ, CD3, RAG-1, RAG-2, Ikaros, CD10, and TdT. Shown are composite autoradiograph data after hybridization with sequence-specific probes. Sixteen separate replicate reactions were performed for each primer except Ikaros, where 10 replicates were performed. No amplified transcripts were present for CD3γ, CD3δ, CD3ζ, or RAG-2 (n = 16), whereas bands of the expected size were detected for CD3ε, RAG-1, Ikaros, CD10, and TdT. Mature T-cell–containing peripheral blood mononuclear cells or the Jurkat cell line was used as positive controls (+C) to confirm successful PCR reactions. For each primer set, a simultaneously run template-free PCR reaction was used to confirm the absence of carryover amplicons (not shown). Amplification of β-actin confirmed the presence of mRNA in all lanes.
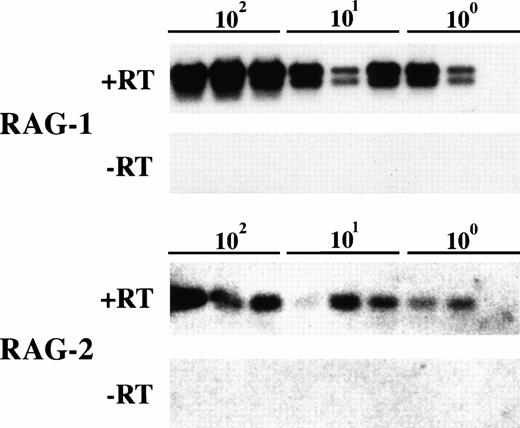
Sensitivity of RAG-1 and RAG-2 PCR assays. RAG-1 and RAG-2 expressing Jurkat cells were serially diluted with phosphate-buffered saline. mRNA was extracted and PCR performed as described in Materials and Methods. The data shown is an autoradiograph after hybridization with RAG-1 and RAG-2 sequence specific probes. Transcripts for both recombinase activating genes (+RT) were detected in two of three replicates from the same sample at the single cell level. The absence of genomic recombinase activating gene sequences was confirmed by amplification of mRNA without prior reverse transcription for the 100-, 10-, and 1-cell dilutions (−RT).
Sensitivity of RAG-1 and RAG-2 PCR assays. RAG-1 and RAG-2 expressing Jurkat cells were serially diluted with phosphate-buffered saline. mRNA was extracted and PCR performed as described in Materials and Methods. The data shown is an autoradiograph after hybridization with RAG-1 and RAG-2 sequence specific probes. Transcripts for both recombinase activating genes (+RT) were detected in two of three replicates from the same sample at the single cell level. The absence of genomic recombinase activating gene sequences was confirmed by amplification of mRNA without prior reverse transcription for the 100-, 10-, and 1-cell dilutions (−RT).
Several possibilities may account for the pattern of lymphoid gene expression observed in the double sorted CD34+Lin−DR− cells. CD3ε, RAG-1, and Ikaros may have an undefined role in stem cell populations. Alternatively, lymphoid progenitors that do not express mature lymphoid antigens on their surface, but that are transcript positive, may persist in the CD34+Lin−DR−population, even after double sorting. This possibility was further studied using RT-PCR, to look for the presence of other transcripts from lymphoid genes. CD10, included in the lineage cocktail for sorting, as well as TdT, known for its expression early in B-lymphoid development, were studied. In the samples tested, the presence of CD10 (15 of 16 positive) and TdT (16 of 16 positive) transcripts was detected from double sorted CD34+Lin−DR− cells (Fig 2).
To further interpret the transcript expression of double sorted CD34+Lin−DR− cells (CD3ε+, RAG-1+, Ikaros+, CD10+, TdT+), mRNA was extracted using limiting dilutions of 10 to 1,000 cells (3 to 6 replicates of each dilution). Transcripts were found in as few as 10 to 100 starting cells for Ikaros, TdT, CD3ε, and CD10 with an input frequency of 7.0%, 1.4%, 0.3%, and 0.25% of starting cells, respectively. With less than 0.2% of double sorted cells falling outside the CD34+Lin−DR− reanalysis gate, and only one fourth of the RT product used for each PCR reaction, transcript detection is higher than that caused by impurities from flow cytometry alone, strengthening the conclusion that these transcripts are expressed in at least some cells with the CD34+Lin−DR− phenotype. However, RAG-1 transcript detection required higher numbers of starting cells. Although they were routinely detected in samples using of the cDNA product from 10,000 cells, RAG-1 was detected in only 3 of 7 samples starting with 1,000 cells and in 1 of 6 samples starting with 100 cells, corresponding to an input frequency of less than 0.2%.
Induction of CD3γ, CD3δ, CD3ζ.
Characterization of the CD34+Lin−DR− population already shows expression of some lymphoid genes at the mRNA level. However, the absence of CD3γ, CD3δ, CD3ζ, and RAG-2 transcript detection in the starting population could be informative to follow lymphoid differentiation in culture. Experiments were designed to investigate the effects of soluble factors present in SCM and the importance of cytokines in stimulating lymphoid development. Double sorted CD34+Lin−DR− cells were plated in the presence of IL-2, IL-3, IL-7, and c-kit ligand (KL), with or without SCM and FLT-3 ligand (FL). The primitive-acting cytokines chosen have been shown by ourselves and others to be important in early hematopoietic development.10,16,24-28The importance of FL added to cultures is supported by FLT-3R (CD135) expression selectively found on human CD34+cells.29 Using three-color analysis, approximately 5% of CD34+/DR− cells are CD135+(n = 3), a finding consistent with that of McKenna et al30 who report a small fluorescence shift on the CD34+ population indicating low receptor density.
Table 1 summarizes the data on CD3 gene expression. Medium containing IL-2/PHA alone, known to be a potent T-cell stimulus, failed to induce the expression of CD3γ, CD3δ, or CD3ζ and failed to support CD3ε gene expression, suggesting that mature T cells were not present in the starting population. Media with cytokines (IL-2, IL-3, IL-7, KL) alone (not shown) or in the presence of SCM for 7 days poorly induced CD3 gene expression from that of the fresh, double sorted CD34+Lin−DR− starting cells. At day 14, cytokines alone were able to induce the expression of CD3ζ, but not of CD3γ or CD3δ. By contrast, supplemental cytokines (IL-2, IL-3, IL-7, KL) in the presence of SCM induced the expression of CD3γ, CD3δ, and CD3ζ in more than one-half of samples. Optimal conditions were identified when FL was added to the above conditions, where CD3γ, CD3δ, and CD3ζ were induced in all samples tested. Ikaros transcripts remained detectable under all culture conditions (data not shown). In addition to the baseline expression, RAG-1 transcripts were induced in culture by cytokines, SCM, and FL, as transcripts were detected in all samples initiated with limiting cells numbers (down to 150 cells), a frequency higher than that observed in the fresh starting population.
Supplemental Cytokines in the Presence SCM and FL Stimulates the Expression of CD3γ, CD3δ, CD3ζ, and CD3 mRNA in Purified Human CD34+Lin−DR− Cells
| Conditions-151 . | Day . | mRNA Positive/Total Samples Tested-150 . | ||||
|---|---|---|---|---|---|---|
| CD3γ . | CD3δ . | CD3ζ . | CD3ε . | β-actin . | ||
| CD34+Lin−DR−(fresh) | 0 | 0/16 | 0/16 | 0/16 | 14/16 | 16/16 |
| IL-2/PHA | 14 | 0/4 | 0/4 | 0/4 | 1/4 | 4/4 |
| Cytokines + SCM | 7 | 1/20 | 4/20 | 0/20 | 20/20 | 20/20 |
| Cytokines | 14 | 0/20 | 3/20 | 17/20 | 20/20 | 20/20 |
| Cytokines + SCM | 14 | 11/20 | 11/20 | 16/20 | 20/20 | 20/20 |
| Cytokines + SCM + FL | 14 | 5/5 | 5/5 | 5/5 | 5/5 | 5/5 |
| Conditions-151 . | Day . | mRNA Positive/Total Samples Tested-150 . | ||||
|---|---|---|---|---|---|---|
| CD3γ . | CD3δ . | CD3ζ . | CD3ε . | β-actin . | ||
| CD34+Lin−DR−(fresh) | 0 | 0/16 | 0/16 | 0/16 | 14/16 | 16/16 |
| IL-2/PHA | 14 | 0/4 | 0/4 | 0/4 | 1/4 | 4/4 |
| Cytokines + SCM | 7 | 1/20 | 4/20 | 0/20 | 20/20 | 20/20 |
| Cytokines | 14 | 0/20 | 3/20 | 17/20 | 20/20 | 20/20 |
| Cytokines + SCM | 14 | 11/20 | 11/20 | 16/20 | 20/20 | 20/20 |
| Cytokines + SCM + FL | 14 | 5/5 | 5/5 | 5/5 | 5/5 | 5/5 |
Abbreviations: SCM, stroma-conditioned media; FL, FLT-3 ligand.
Data represent the number of transcript-positive samples detected by Southern blotting over total number of replicate reactions.
Cytokines: IL-2, IL-3, IL-7, and SCF.
Alternative splicing of CD3γ and CD3δ.
In cultured cell lines, CD3δ31,32 and CD3γ22 have been shown to exist as isoforms of different molecular size with the relative distribution of the different isoforms correlating to the stage of maturation.33 To investigate whether the same pattern may be true for primary cells, we compared the size of CD3δ and CD3γ transcripts from mature T cells, fresh CD34+Lin+ cells, and CD34+Lin−DR− cells after 14 days of culture under optimal conditions. The expression of the amplified products appeared as either a 528-bp or 660-bp band for CD3δ or as a 417-bp or 818-bp band for CD3γ (Fig4A). For the positive Jurkat T-cell control, the higher-molecular-weight band comprised most of the PCR product for CD3δ and CD3γ by densitometric analysis of the autoradiograph (Fig 4B). For a mixed population of lymphoid committed CD34+ progenitors that expressed at least one surface lymphoid marker, 65% and 68% of the PCR product for CD3δ (for the 2 lanes shown) was the larger 660-bp isoform, whereas the remaining comprised the low-molecular-weight isoform. By contrast, 100% of the CD3γ isoform remained as the higher-molecular-weight transcript in the CD34+Lin+ population.
CD3δ and CD3γ expression in lymphoid populations at different levels of maturation. mRNA from Jurkat T cells, fresh CD34+Lin+ cells expressing at least one lineage cocktail marker, and CD34+Lin−DR− cells after 14 days of culture under optimal conditions (IL-2, IL-3, IL-7, KL, SCM, FL) was subjected to PCR analysis for CD3δ and CD3γ expression (A). A low-molecular-weight isoform was detected for each transcript in the cultured CD34+Lin−DR− cells. Densitometric analysis of the various isoforms was then performed from the autoradiograph (B). The low-molecular-weight isoforms were more predominant in the immature cultured CD34+Lin−DR− cells and nearly absent in the mature T-cell controls.
CD3δ and CD3γ expression in lymphoid populations at different levels of maturation. mRNA from Jurkat T cells, fresh CD34+Lin+ cells expressing at least one lineage cocktail marker, and CD34+Lin−DR− cells after 14 days of culture under optimal conditions (IL-2, IL-3, IL-7, KL, SCM, FL) was subjected to PCR analysis for CD3δ and CD3γ expression (A). A low-molecular-weight isoform was detected for each transcript in the cultured CD34+Lin−DR− cells. Densitometric analysis of the various isoforms was then performed from the autoradiograph (B). The low-molecular-weight isoforms were more predominant in the immature cultured CD34+Lin−DR− cells and nearly absent in the mature T-cell controls.
When CD3δ and CD3γ transcript-negative CD34+Lin−DR− starting cells were cultured with cytokines (IL-2, IL-3, IL-7, KL), SCM, and FL, the low-molecular-weight product was dominant (91% and 88%) for CD3δ, whereas nearly equal amounts of both isoforms were present for CD3γ (Fig 4B). Sequencing of the low-molecular-weight isoform of CD3δ and CD3γ showed alternatively spliced molecules lacking exon 3 for CD3δ and exons 3 through 5 for CD3γ, which encode for the membrane-spanning region (CD3δ and CD3γ) and portions of the extracellular and cytoplasmic domains (CD3γ) (Fig5). These data suggest that appropriate splicing of CD3δ and CD3γ does not occur under these conditions and that other factors not present in our in vitro culture system are necessary for directing the synthesis of the full-length CD3δ and CD3γ transcripts.
Sequencing of full-length and low-molecular-weight isoforms of CD3δ and CD3γ shows alternative exon splicing. Amplified transcripts were sequenced by dideoxy chain termination and separated on a 5% polyacrylamide gel. Sequences corresponding to the full-length CD3δ and CD3γ transcripts (A and C) were compared with the sequences from the low-molecular-weight isoforms (B and D). Arrows point to the splice junctions for each sequence. The sequences show alternatively spliced isoforms that lack exon 3 from the CD3δ molecule and exons 3 through 5 from the CD3γ molecule.
Sequencing of full-length and low-molecular-weight isoforms of CD3δ and CD3γ shows alternative exon splicing. Amplified transcripts were sequenced by dideoxy chain termination and separated on a 5% polyacrylamide gel. Sequences corresponding to the full-length CD3δ and CD3γ transcripts (A and C) were compared with the sequences from the low-molecular-weight isoforms (B and D). Arrows point to the splice junctions for each sequence. The sequences show alternatively spliced isoforms that lack exon 3 from the CD3δ molecule and exons 3 through 5 from the CD3γ molecule.
Progeny of CD34+Lin−DR− cells cultured with cytokines, SCM, and FL were phenotyped at different time points to identify well-characterized surface antigens in lymphoid development.25 Day 7-cultured progeny failed to express any of the lymphoid antigens tested. After 14 days of culture, corresponding to the transcript readouts, no CD3+, CD10+, or CD19+ cells were detected. By contrast, a small but distinct population of 0.8 ± 0.16% CD56+ and 0.4 ± 0.1% CD2+ cells were present in progeny of CD34+Lin−DR−cells. No CD5+ or CD7+ cells were identified; 8.1% ± 1.6% CD4+/CD8− cells also expressed CD1a, consistent with the phenotype of dendritic cells. Cultures maintained for an additional 2 weeks resulted in continued and increased presence of CD56+ and CD2+ cells, with emergence of a small population of CD7+ cells. No mature surface CD3+ T cells are produced in these cultures, consistent with the truncated CD3γ and CD3δ transcript isoforms induced under these conditions.
Induction of RAG-2.
RT-PCR was next used to assess the effect of marrow-derived soluble factors and supplemental cytokines on the expression of RAG-2. In the absence of FLT-3 ligand, RAG-2 gene expression can be detected after 7 days in the presence of either cytokines alone or SCM and cytokines (Fig 6). However, after 14 days in culture, a significant increase in the RAG-2 amplification product is seen only in the presence of SCM and cytokines. The addition of FL markedly influenced detection of the RAG-2 product. The combination of supplemental cytokines, FL, and SCM greatly enhanced RAG-2 transcript identification even after 7 days in culture, and this effect was sustained through 14 days in culture. Maximal RAG-2 transcript detection was dependent on the presence of both SCM and FL in combination, because supplemental cytokines and FL in the absence of SCM consistently induced less of a RAG-2 hybridized band. This combination was tested further by culture of cells in limiting dilutions, supporting the finding that RAG-2 is being induced in double sorted cells with the CD34+Lin−DR− phenotype. After culture with cytokines, SCM, and FL, RAG-2 could be detected in wells initiated with as few as 150 cells, nearly 2 logs less cells than the 10,000 cells used in the above experiments (data not shown). Taken together, these data suggest a synergistic role for FL and factors present in SCM in stimulating RAG-2 gene expression in primitive CD34+Lin−DR−cells.
Detection of RAG-2 after culture with FL, supplemental cytokines, and SCM. CD34+Lin−DR− cells were cultured in the presence of supplemental cytokines (IL-2, IL-3, IL-7, and KL) with or without SCM and FL. After 7 or 14 days, cells were harvested and mRNA amplified using RAG-2 primers. Five replicate samples for each culture condition are shown. Jurkat T-cell mRNA was used as a positive control (+C), and a template-free PCR reaction served as a negative control (−C). Shown is an autoradiograph after hybridization with a RAG-2 sequence-specific probe. The absence of genomic RAG-2 sequences was confirmed by amplification of mRNA without prior reverse transcription. Transcripts for β-actin were simultaneously amplified to confirm the presence of intact mRNA.
Detection of RAG-2 after culture with FL, supplemental cytokines, and SCM. CD34+Lin−DR− cells were cultured in the presence of supplemental cytokines (IL-2, IL-3, IL-7, and KL) with or without SCM and FL. After 7 or 14 days, cells were harvested and mRNA amplified using RAG-2 primers. Five replicate samples for each culture condition are shown. Jurkat T-cell mRNA was used as a positive control (+C), and a template-free PCR reaction served as a negative control (−C). Shown is an autoradiograph after hybridization with a RAG-2 sequence-specific probe. The absence of genomic RAG-2 sequences was confirmed by amplification of mRNA without prior reverse transcription. Transcripts for β-actin were simultaneously amplified to confirm the presence of intact mRNA.
DISCUSSION
In this study, we use the expression of lymphoid specific genes to evaluate the effect of human bone marrow stroma-derived factors and supplemental cytokines on lymphoid differentiation of highly purified CD34+Lin−DR− cells. Critical to the interpretation of these studies is the characterization of lymphoid gene expression in our starting population. We used a double-sorting strategy to produce maximally purified CD34+Lin−DR− cells and to show that progenitors expressing cytoplasmic CD3ε, RAG-1, Ikaros, CD10, and TdT are present in this population. Using limiting dilutions of double sorted cells, we were able to detect transcripts when mRNA was extracted with low starting cell numbers for CD3ε, Ikaros, CD10, and TdT. The inability to detect RAG-1 transcripts at low-input cell numbers may be the result of low transcript copy number, the presence of transcripts in a very small number of starting cells, or technical issues related to loss of mRNA during the extraction, which for RAG-1 requires DNAse treatment. We also cannot exclude the possibility that contaminating cells that were not CD34+Lin−DR− accounted for the RAG-1 transcript detection.
Our data show that despite double sorting with a broad spectrum of antibodies to lymphoid surface markers, transcripts believed to be lymphoid lineage specific are constitutively expressed in the CD34+Lin−DR− population. One explanation is that lineage-specific transcripts may be expressed in multilineage, uncommitted progenitors. This possibility is supported by recent studies from Hu et al,34 who demonstrate using single cell RT-PCR that CD34+Lin− cells from mice coexpress multilineage genes (β-globin, myeloperoxidase) before exclusive unilineage commitment. However, the data presented in this report cannot address this possibility without single-cell PCR. Except for Ikaros, which was found in low numbers of starting cells, a more likely conclusion is that a continuum of lymphoid-committed progenitors remains in the population selected by the CD34+Lin−DR− phenotype. The heterogeneity of the CD34+Lin−DR− population is supported by limiting dilution analysis and phenotype studies presented in this report and by previous studies showing a low cloning frequency of this progenitor population to give rise to myeloid or lymphoid progeny.10 12 Although the committed nature of the transcript-positive cells detected in this study cannot be certain, studies in B-cell differentiation showing that CD34+IL7Rα-CD45RA−CD5−CD10−CD19− primary marrow progenitors express RAG-1+ and TdT+35 support a surface antigen negative but lymphoid-committed progenitor.
The generation of T cells from CD34+ marrow or thymus progenitors using thymic feeders or fetal thymic organ culture has been described using different culture conditions and phenotypic starting populations.13,36-38 These culture observations, our previous data on CD34+ cells,15 and the data presented in this report for CD34+Lin−DR− cells suggest the uncertainty as to whether differentiation into T cells in vitro can occur from CD34+ cells already showing early signs of lymphoid commitment or from “true undifferentiated” hematopoietic stem cells. The stage of lymphoid maturation of cells within the CD34+Lin−DR−population (cytoplasmic RAG-1+, CD3ε+, CD3γ−, CD3δ−) is uncertain but may precede the CD34−CD3−CD4+peripheral blood progenitor (cytoplasmic RAG-1+, CD3ε+, CD3γ+, CD3δ+) population recently described.39
Using in vitro culture, we show differential regulation of lymphoid genes (negative in the starting population), using a combination of defined cytokines and marrow stroma-derived factors from primary human CD34+Lin−DR− cells. The expression of CD3ζ did not appear to be dependent on the presence of SCM, suggesting that the expression of this gene, present in both T cells and NK cells, may not be dependent on signals from the marrow microenvironment, as are the T-cell–restricted CD3γ and CD3δ genes. Furthermore, the observation that the predominant forms of CD3γ and CD3δ in cultured CD34+Lin−DR− cells are alternatively spliced molecules lacking putative membrane spanning sequences suggests that the combination of marrow-derived soluble factors, cytokines, and FL provides an inefficient stimulus for synthesis of a functional CD3 complex. CD3 genes may be regulated by the microenvironment through transcriptional regulation or other post-transcriptional modifications (eg, mRNA stability), and it may be at this level that further thymic signaling is required. The finding of requisite transcripts needed for T-cell maturation and the emergence of CD2+ and CD7+ cells under conditions tested suggest early lymphoid differentiation. However, the truncated CD3 isoforms and absence of mature CD3-positive T-cell progeny resulting from these cultures indicate that we cannot be certain that these events truly reflect T-cell differentiation.
Our data suggest that the presence of CD3ε mRNA, already expressed in at least some cells within the starting population, is under different regulatory control than CD3γ, CD3δ, and CD3ζ expression. This finding supports earlier work that showed the T-cell specificity of the CD3ε and CD3δ genes to be dependent on distinct enhancer sequences.40,41 Regulation of CD3ε gene expression, preceded by transcription factors TCF-1 and GATA-3,42 may be crucial in mediating events very early in the differentiation process. In addition to its structural role in the TCR complex, the importance of this gene in lymphoid development is highlighted by studies showing that overexpression of human CD3ε in transgenic mice resulted in a block in both T-cell and NK cell development.43
The factors that regulate tissue- and stage-specific expression of RAG-1 and RAG-2 may involve common regulatory mechanisms, given their close chromosomal proximity. In support of this possibility is the general observation that RAG-1 and RAG-2 are usually expressed in tandem, and both are required for development of mature T and B cells.44,45 Stage-specific expression of RAG-1 and RAG-2 is further supported by the observation that these genes, not usually expressed in mature T cells and B cells, can be induced in mature germinal center B cells on exposure to IL-4 and appropriate costimulatory signals.46 In addition, induction of RAG-1 and RAG-2 transcripts in a CD2+CD19+ lymphoid cell line from human fetal liver occurred when both cytokines (IL-3, IL-6, IL-7) and direct contact with a murine marrow stroma cell line was provided.47 Recombinase gene expression may be dependent on the cell cycle, where RAG-2 accumulates during the G1 phase and is undetectable during S and G2/M phase, whereas RAG-1 expression seems less variable.48 49 Our data support the notion of differential regulation of recombinase genes in primitive progenitors. RAG-1 transcripts are already transcribed in at least some cells within the CD34+Lin−DR− population, whereas RAG-2 gene expression was never found.
Several studies have demonstrated a role for FL in promoting the outgrowth of early B-lymphoid progenitors in vitro.50-52Our data are in agreement with the findings of Freedman et al,36 who demonstrate in vitro T-cell differentiation using FL, IL-12 and thymus feeders. The lymphoid differentiating potential of FL may be through its ability to induce RAG-2 gene expression in combination with thymus-derived factors, as shown by Freedman et al,36 or in combination with marrow-derived factors, as shown in this report. Our in vitro model should be useful for further studies identifying molecular events that underlie lymphoid development in primary human bone marrow progenitors.
ACKNOWLEDGMENT
The authors thank Brad Anderson for help with flow cytometry and Todd Lenvik for his help in cloning and sequencing the alternatively spliced forms of CD3γ and CD3δ. We also thank Dr Tucker LeBien for his thoughtful insights.
Supported in part by National Institutes of Health Grants No. R29-HL-55417 and PO1-CA-65493; and the Paul Christiansen Foundation, the University of Minnesota Bone Marrow Transplant Research Fund, and the Children's Cancer Research Fund.
Address reprint requests to Jeffrey S. Miller, MD, Division of Hematology, Box 806, University of Minnesota Cancer Center, Harvard St at E River Rd, Minneapolis, MN 55455.
The publication costs of this article were defrayed in part by page charge payment. This article must therefore be hereby marked “advertisement” in accordance with 18 U.S.C. section 1734 solely to indicate this fact.






This feature is available to Subscribers Only
Sign In or Create an Account Close Modal