A major obstacle in purifying either autologous or allogeneic hematopoietic stem cells from granulocyte colony-stimulating factor (G-CSF) mobilized circulating progenitor cells (CPC) is represented by the huge cellularity present in each apheretic product. To obtain a significant debulking of unwanted cells from the leukapheresis, we developed a modified protocol of immune rosetting whereby human ABO-Rh– compatible red blood cells (RBCs) are treated with chromium chloride and then coated with murine monoclonal antibodies (MoAbs) against leukocyte antigens. When experiments were performed with leukaphereses obtained from normal donors or from T-cell acute lymphoblastic leukemia (T-ALL) patients, RBCs were coated with murine MoAbs against human mature myeloid cells (CD11b) and T cells (CD6); whereas, in the case of patients with B-precursor ALL, B-cell non-Hodgkin's lymphoma (B-NHL), or multiple myeloma (MM), RBCs were coated with anti-CD11b only. After incubation with CPC, rosetting cells (myeloid precursor cells, granulocytes, monocytes, and T cells) were removed by Ficoll-Hypaque density gradient centrifugation with a blood cell processor apparatus, COBE (Lakewood, CO) 2991. After this step, a significant reduction of the initial cellularity was consistently obtained (range, 72% to 97%), whereas the median absolute recovery of the CD34+ cells was above 85% (range, 64 to 100), with a 10-fold relative enrichment ranging from 3% to 41%. In a second step, CPC can be further purged of contaminating T or B cells by incubation with lymphoid-specific magnetic microbeads (anti-CD2 and -CD7 to remove T cells; anti-CD19 to remove B cells) and elution through a type-D depletion column (composed of ferromagnetic fiber) inserted within a SuperMACS separator device (Miltenyi Biotech, Bergisch-Gladbach, Germany). By this approach, a highly effective (three to four logs) T-cell depletion was achieved in all experiments performed with normal donors or T-ALL patients (median loss of CD3+cells: 99.8% [range 99.2 to 100]) and an equally efficient B-cell depletion was obtained from B-precursor ALL, B-NHL, or MM patients. At the end of the procedure the T- or B-cell depleted fraction retained a high proportion of the initial hematopoietic CD34+ stem cells, with a median recovery above 70% (range 48% to 100%) and an unmodified clonogenic potential. In five patients (two follicular NHL and three ALL) the purified fraction of stem cells was found disease free at the molecular level as assessed by polymerase chain reaction (PCR) analysis of the t(14;18) chromosome translocation or clono-specific DNA sequences of IgH or T-cell receptor γ and δ chain genes. Purified autologous and allogeneic CPCs were transplanted in three and six patients, respectively, who showed a prompt and sustained hematologic engraftment. In conclusion, this method represents a simple and reproducible two-step procedure to obtain a highly efficient purging of T or B cells from G-CSF expanded and mobilized CPCs. This approach might lead to the eradication of the neoplastic clone in the autologous stem cell inoculum as well as for T-cell depletion during allogeneic transplantation.

IN THE NORMAL bone marrow the CD34+ cell fraction contains virtually all the hematopoietic progenitor cells (HPCs).1 After priming with hematopoietic growth factors (G-CSF or GM-CSF), either alone or in combination with high-dose chemotherapy, mobilized circulating progenitor cells (CPCs) expressing the CD34 antigen on the cell surface can be easily collected from peripheral blood in quantities approximately 10-fold higher than previously obtained from bone marrow.2 The purification of human stem cells has clinical relevance for autologous3 and allogeneic transplantation4 and for the usage of the stem cells as vehicles for gene transfer.5,6 High-dose chemotherapy and autologous transplantation are increasingly being used to treat patients with hematologic malignancies and solid tumors even though the neoplastic contamination of CPCs7-9 may contribute to subsequent relapses.10 Because many tumor cell types including multiple myeloma (MM), lymphomas, breast and ovarian cancer, and neuroblastoma do not usually express the CD34 antigen, CD34+ positive selection may be effective for the purging of the autologous grafts. Different commercial devices are now available for laboratory and clinical scale enrichment of these cells by immunoaffinity columns or immonomagnetic beads, and preliminary clinical results have already been obtained by using purified CD34+ cells for autologous transplantation.8,9,11-15 More recently, some investigators started to analyze the feasibility of using purified CD34+cells for allogeneic transplantation.4,16,17 In fact, allogeneic CPC preparations may provide the possibility to obtain T-cell depleted fractions of stem cells while preventing an unacceptable loss of hematopoietic progenitors. Therefore, CD34+ cell selection can be used as an efficient method for preventing graft versus host disease (GVHD) without an increased risk of graft failure or rejection.18 Unfortunately, at least two major concerns are opposing a wide clinical use of purified CD34+ cells. The immune reconstitution can be severely compromised if inadequate numbers of T and B cells are present in the graft, a problem that deserves particular attention, especially in the case of patients with nonhematologic malignancies. Moreover, most acute leukemia cell types express the CD34 antigen, thus preventing the use of this method of purification in the autologous setting.

The aim of this study was to develop an efficient, reproducible, and relatively inexpensive method for clinical scale preparation of CPC for transplantation procedures. Furthermore, the selective- and lineage-specific elimination of the neoplastic fraction from the autologous graft as well as the normal T cells from the allogeneic graft was the aim of the same procedure. This novel methodology consists of two distinct steps: in the first step, 85% of the initial cellularity (granulocytes, monocytes, and eventually T cells) is allowed to form rosettes with chromium chloride-treated human ABO-Rh–compatible red blood cells (RBCs) coated with murine monoclonal antibodies (MoAbs) antihuman CD11b (and CD6 when T-cell depletion is needed) and then removed by gradient sedimentation, without a significant loss of the CD34+ cells present in the input. Subsequently, in step two, this debulked apheresis is very efficiently purged of unwanted B or T cells by the use of lineage-specific monoclonal microbeads.

Mobilization and harvesting of autologous or allogeneic CPCs.

Autologous CPCs were collected in patients with non-Hodgkin's lymphoma (NHL), acute lymphoblastic leukemia (ALL), and MM, after different consolidation protocols of high-dose chemotherapy followed by rhG-CSF (Filgrastim; Roche, Milan, Italy) administration (5 μcg/kg/day), as previously described.19 Leukapheresis was performed as soon as white blood cells (WBCs) were at least 3.0 × 109/L and peripheral blood CD34+ cells were ≥ 0.5%. Ten liters of blood were processed daily through an indwelling central venous catheter (Groshong CV Catheter; Band Inc, Salt Lake City, UT) by using a cell separator COBE spectra (COBE, Lakewood, CO). Allogeneic CPCs were collected from HLA-identical, MLC-negative normal siblings upon treatment with 2 × 5 μg/kg/day of rhG-CSF administered subcutaneously every 12 hours for 5 or 6 consecutive days. The procedure of leukapheresis was started on day 5 (after the ninth dose of G-CSF) by using a COBE spectra cell separator. Ten liters of blood were processed daily by using the cubital vein in all donors, as previously described.20 The absolute number of CD34+ cells, lymphoid cells (T, B, and NK cells), and mature myeloid cells (granulocytes and monocytes) were evaluated daily in the peripheral blood by flow cytometry with fluorescein isothiocyanate conjugated (FITC) murine MoAbs against human CD34, CD3, CD19, CD56, CD11b, CD14, CD16, or negative control and a FACScan analyzer (Becton Dickinson, Mountain View, CA). In vitro colony assay for evaluation of erythroid and myeloid colony forming units was performed as previously described.19 20 Informed consent was obtained from the patients and the donors by using forms approved by the Institutional Review Board. A fully detailed explanation of the potential risks and benefits concerning the collection of G-CSF mobilized CPCs for autologous and allogeneic transplantation was given to normal donors and the patients. Normal donors and patients were more than 18 years of age. The experimental use of apheresis products for immune rosetting and immunomagnetic depletion of T or B cells was begun when unmodified preparations of CPC (containing ≥ 6 × 106 CD34+ cells/kg of recipient body weight) were already harvested and cryopreserved.

Immune rosettes.

The method is based on a previously published procedure based on the ability to couple murine MoAbs to RBCs by chromium chloride.21 The following mouse hybridoma cell lines were obtained from American Type Culture Collection (ATCC, Rockville, MD): OKM1 (IgG2b, ATCC CRL 8026) reactive with human granulocytes, monocytes, NK cells and committed myeloid precursor cells (CD11b antigen); and T12 (IgM, clone 3Pt12B8; ATCC HB8136) reacting with human T cells and some B cells (CD6 antigen). Partially purified preparations of these MoAbs were obtained by ammonium sulphate precipitation of spent culture supernatants of each hybridoma. ABO-Rh–compatible, irradiated (25 Gy), and filtered human red blood cells (HRBCs) were obtained from the Blood Bank. For coating with MoAbs, 150 mL of packed HRBCs were washed three times in normal saline (centrifugation at 3000 RPM for 5 minutes at room temperature) with a COBE 2991 apparatus and a blood cell processor set. After the third wash, 30 mL (3 mg/mL) of partially purified MoAbs (CD11b and eventually CD6 in the case of normal donors and T-ALL patients) were added at the same blood processor set. Thereafter, and under continuous agitation, 250 mL of a 0.1% solution of chromium chloride (CrCl3.6H2O; Sigma, St.Louis, MO; prepared in normal saline from a 1% [W/V] stock solution with the pH adjusted to 5.0 with 10 N NaOH) were added dropwise over a 15-minute time period. After incubation for 5 additional minutes at room temperature the reaction was stopped by the addition of 300 mL of phosphate-buffered saline (PBS) supplemented with 2.5% Human Serum Albumin (PBS-HSA). Apparently, the isotype of the antibodies (IgM or IgG) does not affect the coupling process to RBCs. MoAb-coated HRBCs were washed twice, resuspended in 100 mL of PBS 2.5% HSA, and mixed with 11 to 58 × 109 white blood cells (200 mL final volume, hematocrit less than 5%) obtained from leukaphereses of G-CSF–treated individuals. Rosette formation was performed within the same blood cell processor set by two centrifugation steps at 3000 RPM for 30 minutes. At the end cells were resuspended in 400 mL of PBS 2.5% HSA, transferred, and layered onto the top of 200 mL Ficoll Hypaque (by using a second blood cell processor set), and centrifuged for 45 minutes at 3000 rpm. Nonrosetting cells were harvested at the Ficoll interface and washed twice with PBS-HSA. After 5 minutes of incubation with hypotonic NH4 Cl buffer (NH4 Cl 8.99 gr/L, KHCO3 1gr/L, Na4 EDTA 0.037 gr/L, pH 7.3) to lyse residual erythrocytes, cells were washed with PBS-HSA, resuspended in RPMI 1640 10% FCS, counted, and stained with MoAbs for FACS analysis. The described procedure required approximately 3 hours of work performed by one operator and the estimated cost (including production and purification of antibodies, chemical reagents, tissue culture media, two blood cell separation sets, and 1 U of filtered, irradiated, RBCs) was 400 US dollars.

Immunomagnetic purging of T or B cells.

To obtain a high degree of T- or B-cell depletion, partially purified hematopoietic progenitors (0.5 to 13 × 109 cells) obtained by immune rosetting were labelled with primary unconjugated MoAbs reacting against T cells (anti-CD2 antigen, clone 35.1; IgG2a, ATCC HB222; and anti-CD7, clone WT1, IgG1) or with a panB MoAb (clone HD37, anti CD19, IgG1; kindly provided by Dr. Moldenhauer, Heidelberg, Germany). In MM patients (two cases), cells were incubated with anti-CD19 and anti-CD5622 (clone N901, IgG1; kindly provided by Dr JD Griffin, Boston, MA). Thereafter, an indirect labelling was performed with goat antimouse magnetic microbeads, according to the manufacturer instructions (Miltenyi Biotec, Germany). After labelling, cells were washed as above, resuspended in PBS-HSA (30 mL final volume), and layered, by the use of a peristaltic pump, onto the top of a type-D depletion column (composed of ferromagnetic fibers) inserted within a SuperMACS apparatus (Miltenyi Biotec). Unstained cells were eluted with PBS-HSA from the column kept within the magnetic field of the cell separator. The T- or B-cell depleted fraction of HPCs was finally resuspended in autologous plasma, counted, phenotypically analyzed, and cryopreserved. The time required to complete this negative depletion was 3 hours and the estimated cost of two vials of goat antimouse magnetic microbeads and one type-D depletion column, necessary for each procedure, was 1,500 US dollars.

Molecular evaluation of minimal residual disease (MRD).

In patients with ALL, MRD was evaluated by molecular analysis of junctional regions of rearranged T-cell receptor (TCR) γ or δ genes. Specific patterns of recombination of TCR γ or δ genes were identified at diagnosis by Southern blot analysis, according to standard techniques.23 The TCR δ and γ gene rearrangements were subsequently amplified by polymerase chain reaction (PCR) with V δ or V γ family primers and J δ or J γ general primers, respectively. The PCR products were cloned in pMos vector (Amersham, Buckinghamshire, UK) sequenced to define the precise nucleotide sequence of the junctional regions. Based on these sequence data, leukemia-patient–specific oligonucleotide probes were synthesized to analyze subsequent marrow or leukapheretic peripheral blood samples. Reaction products were identified by hybridization studies with DNA oligonucleotide probes labeled with [γ -32 P] ATP. In one case of B-precursor ALL, MRD monitoring was performed by amplification of the CDRIII IgH with VH and JH consensus primers, as described.24 Two follicular lymphoma patients bearing the t(14;18) chromosome abnormality were evaluated by PCR analysis of BCL2-IgH rearrangement, according to published methods.25 

Effect of immune rosetting on overall recovery and composition of G-CSF mobilized CPC.

In normal donors receiving G-CSF (10 μg/kg/d) for 5 to 6 days, the procedure of CPC mobilization and collection was safe and always well tolerated. The apheretic products were debulked of committed myeloid cells and T lymphocytes by immune rosetting with anti-CD11b and -CD6 antibodies. The experimental procedure of immune rosetting was always carried out on the second or third harvest after a sufficient amount of unmodified CPCs were used or stored in liquid nitrogen. As shown in Table 1, 18 experiments were performed with a median starting cellularity of 41.3 × 109 (range, 29.7 to 58.2) nucleated cells. After immune rosetting, the median reduction of the initial cellularity was 91% (range, 72 to 97) and the cell loss was mainly due to a marked (more than 85%) depletion of myeloid cells and T lymphocytes. A parallel enrichment of CD34+ cells was obtained (more than 10-fold) with a median recovery of HPCs of 92% (range, 67 to 100). Similar results were obtained by using autologous CPCs collected in T-ALL patients after high-dose chemotherapy and G-CSF administration. Due to the effect of high-dose chemotherapy, the starting cellularity, as well as the absolute number of CD3+ cells, was lower than that observed in the apheresis obtained from normal allogeneic donors, whereas the amount of CD34+ cells was significantly higher (Table 1). Nonetheless, the debulking effect of the procedure (88% overall cell loss, with more than 84% of mean CD3+cell loss), as well as the absolute recovery and the enrichment fold of CD34+ cells, was remarkably similar. In patients with B precursor ALL and B-NHL the apheretic products were debulked by immune rosetting with RBCs coated with CD11b only. Also, in this case, the initial cellularity and the absolute number of T and B lymphocytes were less abundant as compared to normal donors. As expected, the loss of CD3+ cells was lower, even though the overall reduction obtained by immune rosettes was similar.

Table 1.

Effect of Immune Rosettes on Cellularity of Leukapheresis Obtained From Normal Donors, T- or B-Precursor Acute Lymphoblastic Leukemia (ALL), B-Non-Hodgkins' Lymphoma (B-NHL) and Multiple Myeloma (MM) Patients

Antibody Used Normal Donors (n = 18) T-ALL (n = 10) B-NHL, B-Precursor ALL and MM (n = 16)
Apheresis (—) Immune Rosettes (CD11b + CD6) Apheresis (—) Immune Rosettes (CD11b + CD6) Apheresis (—) Immune Rosettes (CD11b)
Total cells (×10941.3 (29.7-58.2)  3.9 (1-13.7)  28 (12.7-53.4) 3.4 (0.4-8)  20 (11.6-41.4)  2.3 (1.1-4.4)  
% overall cell loss   91 (72-97)   88 (77-97)  87 (75-97)  
CD34+ cells (×109)  0.2 (0.07-1)  0.2 (0.06-0.7) 0.3 (0.09-0.8)  0.2 (0.06-0.6)  0.3 (0.1-1.3) 0.3 (0.08-1)  
%CD34+ cells  0.6 (0.2-1.8) 7.5 (2.3-22.4)  1.2 (0.4-2.8)  10 (4-21) 1.9 (0.6-5.4)  14 (2-28)  
%CD34 recovery  92 (67-100)   89 (64-100)  87 (65-100)  
%CD34 enrichment fold  15 (3-41)   11 (4-21)  10 (3-35)  
CD11b+ cells (×109)  25.5 (15.4-36)  1.8 (0.01-10.8) 21 (7.9-50.6)  1.9 (0.1-6.3)  16.2 (5.5-39.6) 0.5 (0.01-1.2)  
%CD11b+ cells 63 (44-79)  31 (1-83)  70 (50-95) 49 (16-83)  77 (39-98)  20 (0.6-38) 
%CD11b+ cell loss   93 (67-99)  92 (73-98)   96 (83-99) 
CD3+ cells (×109)  12.7 (7-27) 0.9 (0.1-2.7)  5.9 (0.6-14.3)  0.8 (0.1-2.8) 2.7 (0.5-7.9)  1.3 (0.3-3)  
%CD3+ cells 30 (17-64)  28 (6-62)  29 (1-56) 27 (3-63)  17 (1.4-47)  53 (15-90) 
%CD3+ cell loss   91 (70-99)  84 (68-98)   48 (11-63) 
CD19+ cells (×109)  2.2 (1-5) 0.6 (0.08-1.2)  0.09 (0.03-0.2)  0.02 (0.002-0.07) 0.06 (0-0.2)  0.01 (0-0.05)  
%CD19+ cells 5 (2-12)  22 (3-50)  0.4 (0.1-1.4) 0.8 (0.1-3)  0.3 (0-1.2)  0.5 (0-1.8) 
%CD19+ cell loss   71 (38-96)  76 (38-98)   74 (2-97) 
Antibody Used Normal Donors (n = 18) T-ALL (n = 10) B-NHL, B-Precursor ALL and MM (n = 16)
Apheresis (—) Immune Rosettes (CD11b + CD6) Apheresis (—) Immune Rosettes (CD11b + CD6) Apheresis (—) Immune Rosettes (CD11b)
Total cells (×10941.3 (29.7-58.2)  3.9 (1-13.7)  28 (12.7-53.4) 3.4 (0.4-8)  20 (11.6-41.4)  2.3 (1.1-4.4)  
% overall cell loss   91 (72-97)   88 (77-97)  87 (75-97)  
CD34+ cells (×109)  0.2 (0.07-1)  0.2 (0.06-0.7) 0.3 (0.09-0.8)  0.2 (0.06-0.6)  0.3 (0.1-1.3) 0.3 (0.08-1)  
%CD34+ cells  0.6 (0.2-1.8) 7.5 (2.3-22.4)  1.2 (0.4-2.8)  10 (4-21) 1.9 (0.6-5.4)  14 (2-28)  
%CD34 recovery  92 (67-100)   89 (64-100)  87 (65-100)  
%CD34 enrichment fold  15 (3-41)   11 (4-21)  10 (3-35)  
CD11b+ cells (×109)  25.5 (15.4-36)  1.8 (0.01-10.8) 21 (7.9-50.6)  1.9 (0.1-6.3)  16.2 (5.5-39.6) 0.5 (0.01-1.2)  
%CD11b+ cells 63 (44-79)  31 (1-83)  70 (50-95) 49 (16-83)  77 (39-98)  20 (0.6-38) 
%CD11b+ cell loss   93 (67-99)  92 (73-98)   96 (83-99) 
CD3+ cells (×109)  12.7 (7-27) 0.9 (0.1-2.7)  5.9 (0.6-14.3)  0.8 (0.1-2.8) 2.7 (0.5-7.9)  1.3 (0.3-3)  
%CD3+ cells 30 (17-64)  28 (6-62)  29 (1-56) 27 (3-63)  17 (1.4-47)  53 (15-90) 
%CD3+ cell loss   91 (70-99)  84 (68-98)   48 (11-63) 
CD19+ cells (×109)  2.2 (1-5) 0.6 (0.08-1.2)  0.09 (0.03-0.2)  0.02 (0.002-0.07) 0.06 (0-0.2)  0.01 (0-0.05)  
%CD19+ cells 5 (2-12)  22 (3-50)  0.4 (0.1-1.4) 0.8 (0.1-3)  0.3 (0-1.2)  0.5 (0-1.8) 
%CD19+ cell loss   71 (38-96)  76 (38-98)   74 (2-97) 
Highly efficient depletion of T cells by anti-CD2-CD7 or B cells by anti-CD19 magnetic microbeads.

To purge the contaminating normal or neoplastic T lymphocytes still present in the apheretic products after the debulking procedure with immune rosettes, partially purified allogeneic (9 experiments from normal donors) or autologous (7 experiments from T-ALL patients) CPCs were incubated with a mixture of anti-CD2 and -CD7 MoAbs and indirectly stained with goat antimouse magnetic microbeads. After loading onto a D-type depletion column, normal or leukemic contaminating T cells were significantly removed as judged by staining with anti-CD3 MoAbs (Table 2) and other T-cell–specific antigens like CD5, CD4, and CD8 (data not shown). The overall T-cell depletion obtained by the two combined procedures allowed a final 3 to 4 logs reduction of the T-cell content. Despite such aggressive removal of T cells, the median overall recovery of CD34+ cells was above 70% in both autologous and allogeneic CPCs (Table 2). Similar experiments were performed to remove B cells in CPCs obtained from patients with B-precursor ALL, B-NHL, and MM. As shown in Table 3, the percent and the absolute number of CD19+ cells detectable after this purification approach were very limited. Again, the absolute recovery of CD34+ cells from the initial leukapheresis was excellent, with a mean value above 80%.

Table 2.

T-Cell Depletion by Immune Rosettes and T-cell–specific Magnetic Microbeads (CD2 + CD7) Obtained From Normal Donors and T-ALL Patients

Antibody Used Normal Donors (n = 9) T-ALL (n = 7)
Apheresis (−)Immune Rosettes (CD11b + CD6) D-column (CD2 + CD7)Apheresis (−) Immune Rosettes (CD11b + CD6)D-column (CD2 + CD7)
Total cells (×10943.7 (17.2-66)  5.7 (1-13.8)  3.5 (0.1-10.8) 33.9 (18.2-53.4)  4.4 (1.7-8)  2.5 (0.9-6)  
% overall cell loss   88 (76-96)  93 (83-99)  86 (77-96)  92 (83-97)  
CD34+cells (×109)  0.3 (0.07-1)  0.2 (0.08-0.7) 0.2 (0.06-0.5)  0.4 (0.2-0.8)  0.3 (0.2-0.6) 0.3 (0.1-0.6)  
%CD34+ cells  0.7 (0.2-1.8) 5.3 (2.7-7.9)  14 (3-37)  1.3 (0.4-2.8) 9 (4-21)  14 (4-25)  
%CD34 recovery  87 (59-100)  76 (53-100)  92 (69-100)  73 (57-100)  
%CD34 enrichment fold   12 (3-41)  28 (3-74)  9 (4-21)  14 (5-28)  
CD11b+cells (×109)  29.3 (11.4-50.2) 3 (0.1-11.6)  1.9 (0.02-10.2)  25.9 (9.1-50.6) 2.7 (6.3-9.7)  1.2 (0.02-3)  
%CD11b+ cells 67 (54-79)  38 (7-84)  38 (2-95)  71 (50-95) 59 (18-83)  39 (0.2-78)  
%CD11b+cell loss   91 (72-99)  95 (80-100)  89 (73-96)  94 (87-100)  
CD3+cells (×109)  11.6 (3.8-20.9)  1.4 (0.3-4.1) 0.02 (0.0002-0.1)  6 (0.6-14.3)  1 (0.1-2.8) 0.008 (0.0007-0.03)  
%CD3+ cells 26 (9-49)  36 (6-81)  0.3 (0.1-1) 23 (1-49)  23 (3-63)  0.2 (0.1-0.5) 
%CD3+ cell loss   84 (57-98) 99.7 (99.4-100)   82 (68-96)  99.9 (99.2-100) 
CD19+ cells (×109)  1.8 (0.6-2.8) 0.6 (0.08-1)  0.3 (0.02-0.7)  0.1 (0.06-0.2) 0.03 (0.003-0.07)  0.01 (0.0006-0.05)  
%CD19+cells  4 (2-7)  16 (3-50)  29 (0.2-69) 0.4 (0.1-1.4)  0.5 (0.1-1.5)  0.3 (0.1-0.8) 
%CD19+ cell loss   71 (61-87) 82 (66-98)   74 (38-98)  84 (20-99) 
Antibody Used Normal Donors (n = 9) T-ALL (n = 7)
Apheresis (−)Immune Rosettes (CD11b + CD6) D-column (CD2 + CD7)Apheresis (−) Immune Rosettes (CD11b + CD6)D-column (CD2 + CD7)
Total cells (×10943.7 (17.2-66)  5.7 (1-13.8)  3.5 (0.1-10.8) 33.9 (18.2-53.4)  4.4 (1.7-8)  2.5 (0.9-6)  
% overall cell loss   88 (76-96)  93 (83-99)  86 (77-96)  92 (83-97)  
CD34+cells (×109)  0.3 (0.07-1)  0.2 (0.08-0.7) 0.2 (0.06-0.5)  0.4 (0.2-0.8)  0.3 (0.2-0.6) 0.3 (0.1-0.6)  
%CD34+ cells  0.7 (0.2-1.8) 5.3 (2.7-7.9)  14 (3-37)  1.3 (0.4-2.8) 9 (4-21)  14 (4-25)  
%CD34 recovery  87 (59-100)  76 (53-100)  92 (69-100)  73 (57-100)  
%CD34 enrichment fold   12 (3-41)  28 (3-74)  9 (4-21)  14 (5-28)  
CD11b+cells (×109)  29.3 (11.4-50.2) 3 (0.1-11.6)  1.9 (0.02-10.2)  25.9 (9.1-50.6) 2.7 (6.3-9.7)  1.2 (0.02-3)  
%CD11b+ cells 67 (54-79)  38 (7-84)  38 (2-95)  71 (50-95) 59 (18-83)  39 (0.2-78)  
%CD11b+cell loss   91 (72-99)  95 (80-100)  89 (73-96)  94 (87-100)  
CD3+cells (×109)  11.6 (3.8-20.9)  1.4 (0.3-4.1) 0.02 (0.0002-0.1)  6 (0.6-14.3)  1 (0.1-2.8) 0.008 (0.0007-0.03)  
%CD3+ cells 26 (9-49)  36 (6-81)  0.3 (0.1-1) 23 (1-49)  23 (3-63)  0.2 (0.1-0.5) 
%CD3+ cell loss   84 (57-98) 99.7 (99.4-100)   82 (68-96)  99.9 (99.2-100) 
CD19+ cells (×109)  1.8 (0.6-2.8) 0.6 (0.08-1)  0.3 (0.02-0.7)  0.1 (0.06-0.2) 0.03 (0.003-0.07)  0.01 (0.0006-0.05)  
%CD19+cells  4 (2-7)  16 (3-50)  29 (0.2-69) 0.4 (0.1-1.4)  0.5 (0.1-1.5)  0.3 (0.1-0.8) 
%CD19+ cell loss   71 (61-87) 82 (66-98)   74 (38-98)  84 (20-99) 
Table 3.

B-Cell Depletion by Immune Rosettes and B-Cell–Specific Magnetic Microbeads (CD19) of Leukaphereses Obtained From B-NHL, B-precursor ALL, or MM Patients

Antibody Used B-NHL, B-precursor ALL and MM (n = 17)
Apheresis (—) Immune Rosettes (CD11b) D-column (CD19*)
Total cell (×109)  19.4 (8.6-41.4)  2.4 (1.1-4.4) 2 (0.9-3.6)  
% overall cell loss  85 (52-97)  87 (59-98)  
CD34+cells (×109)  0.3 (0.07-1.3)  0.3 (0.06-1) 0.2 (0.05-1)  
%CD34+ cells  1.8 (0.6-5.4) 12 (1.5-28)  14 (1.5-37)  
%CD34 recovery  85 (53-100)  80 (48-100) 
%CD34  enrichment  fold   9 (2-35) 10 (2-42)  
CD11b+cells  (×109)  15 (3.1-39.6) 0.4 (0.01-1.2)  0.2 (0.005-0.9)  
%CD11b+ cells 72 (37-98)  19 (0.6-38)  11 (0.4-28) 
%CD11b+ cell loss   96 (83-100) 97 (87-100)  
CD3+ cells (×109)  3.3 (0.5-8.4)  1.4 (0.4-3) 1.3 (0.4-2.6)  
%CD3+ cells  22 (1.4-55) 58 (34-90)  62 (42-92)  
%CD3+ cell loss  48 (11-78)  52 (16-79)  
CD19+cells (×109)  0.06 (0-0.2)  0.02 (0-0.09) 0.0004 (0-0.004)  
%CD19+ cells  0.4 (0-2) 0.6 (0-2.3)  0.02 (0-0.1)  
%CD19+ cell loss  72 (2.2-97)  99 (94-100) 
Antibody Used B-NHL, B-precursor ALL and MM (n = 17)
Apheresis (—) Immune Rosettes (CD11b) D-column (CD19*)
Total cell (×109)  19.4 (8.6-41.4)  2.4 (1.1-4.4) 2 (0.9-3.6)  
% overall cell loss  85 (52-97)  87 (59-98)  
CD34+cells (×109)  0.3 (0.07-1.3)  0.3 (0.06-1) 0.2 (0.05-1)  
%CD34+ cells  1.8 (0.6-5.4) 12 (1.5-28)  14 (1.5-37)  
%CD34 recovery  85 (53-100)  80 (48-100) 
%CD34  enrichment  fold   9 (2-35) 10 (2-42)  
CD11b+cells  (×109)  15 (3.1-39.6) 0.4 (0.01-1.2)  0.2 (0.005-0.9)  
%CD11b+ cells 72 (37-98)  19 (0.6-38)  11 (0.4-28) 
%CD11b+ cell loss   96 (83-100) 97 (87-100)  
CD3+ cells (×109)  3.3 (0.5-8.4)  1.4 (0.4-3) 1.3 (0.4-2.6)  
%CD3+ cells  22 (1.4-55) 58 (34-90)  62 (42-92)  
%CD3+ cell loss  48 (11-78)  52 (16-79)  
CD19+cells (×109)  0.06 (0-0.2)  0.02 (0-0.09) 0.0004 (0-0.004)  
%CD19+ cells  0.4 (0-2) 0.6 (0-2.3)  0.02 (0-0.1)  
%CD19+ cell loss  72 (2.2-97)  99 (94-100) 

*In two MM patients purging experiments were performed by using anti-CD19 and anti-CD56 magnetic microbeads.

Evaluation of MRD.

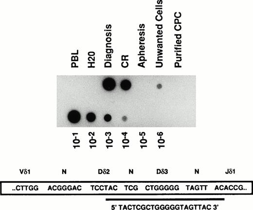
A PCR-based quantitation of MRD was performed on CPC samples obtained from five patients before and after depletion of contaminating tumor B or T lymphocytes by purging with lineage-specific immunobeads. Molecular analysis was performed by demonstration of chimeric genomic products generated by the t(14;18) chromosomal translocation or by analysis of leukemia-specific DNA sequence, amplified from the rearranged TCR γ, δ, or IgH chain genes. As shown in Table 4, after the purification procedure, CD19-purged HPCs obtained from two follicular NHLs and two B-precursor ALLs were judged as PCR negative within the sensitivity limits of our assays (between 10-4 to 10-5). Similarly, after purging with T-cell–specific microbeads the PCR evaluation of DNA samples from a T-ALL patient showed the absence of the leukemic-specific clone (Table 4 and Fig1). Interestingly, in this case the amount of MRD was very limited and not detectable if searched within the whole unmodified apheretic product (Fig 1). However, the leukemic contamination was clearly shown in the unwanted, wasted, T-cell fraction retained within the magnetic column. Similar results were obtained in all the analyzed cases in which the neoplastic B-lymphoid cells were similarly trapped within the depletion column (Table 4).

Table 4.

Molecular Evaluation of Minimal Residual Disease After Lineage-Specific Purging

Patients Disease ApheresisWasted Cells*Purified Stem Cells Sensitivity3-151
NHL  t(14;18) BCL2/IgH  +  +  −  105 
2  NHL t(14;18) BCL2/IgH  +  +  − 105 
3  preB-ALL TcRγ (Vγ4-Jγ1.3)  +  −  104 
4  T-ALL  TcRδ (Vδ1-Jδ1)  −  +  −  104 
preB-ALL IgH  +  +  −  104 
Patients Disease ApheresisWasted Cells*Purified Stem Cells Sensitivity3-151
NHL  t(14;18) BCL2/IgH  +  +  −  105 
2  NHL t(14;18) BCL2/IgH  +  +  − 105 
3  preB-ALL TcRγ (Vγ4-Jγ1.3)  +  −  104 
4  T-ALL  TcRδ (Vδ1-Jδ1)  −  +  −  104 
preB-ALL IgH  +  +  −  104 

*Wasted cells were eluted after removal of the D column from the magnetic field of the SuperMACS apparatus.

F3-151

The sensitivity of the PCR reaction was determined by log dilution of the patient's DNA obtained at diagnosis with DNA from a normal donor.

Fig. 1.

Detection of MRD by PCR analysis of V δ 1-J δ 1 junction of the TCR δ gene in a T-ALL patient. DNA samples were extracted from bone marrow aspirates performed at the onset of the disease (Diagnosis), at the end of induction chemotherapy when it was considered in complete hematologic remission (CR), from unmanipulated G-CSF mobilized CPC obtained after a consolidation course with high dose chemotherapy (Apheresis), from cells coated by anti-CD2 and -CD7 magnetic microbeads and retained within the depletion column (Unwanted cells), from the purified T-cell depleted fraction of circulating progenitor cells (Purified CPC), and from the peripheral blood lymphocytes of a normal donor (PBL). The sensitivity of the PCR reaction was checked by serial log dilution of the patient's DNA obtained at diagnosis with DNA from a normal donor (lower lane of the figure). PCR products were blotted onto nylon membranes and hybridized with the indicated clonospecific probe labeled with (γ -32 P) ATP.

Fig. 1.

Detection of MRD by PCR analysis of V δ 1-J δ 1 junction of the TCR δ gene in a T-ALL patient. DNA samples were extracted from bone marrow aspirates performed at the onset of the disease (Diagnosis), at the end of induction chemotherapy when it was considered in complete hematologic remission (CR), from unmanipulated G-CSF mobilized CPC obtained after a consolidation course with high dose chemotherapy (Apheresis), from cells coated by anti-CD2 and -CD7 magnetic microbeads and retained within the depletion column (Unwanted cells), from the purified T-cell depleted fraction of circulating progenitor cells (Purified CPC), and from the peripheral blood lymphocytes of a normal donor (PBL). The sensitivity of the PCR reaction was checked by serial log dilution of the patient's DNA obtained at diagnosis with DNA from a normal donor (lower lane of the figure). PCR products were blotted onto nylon membranes and hybridized with the indicated clonospecific probe labeled with (γ -32 P) ATP.

Close modal
Transplantation of T- or B-cell purged autologous and allogeneic CPC.

We performed autologous transplantation in three patients by using CPCs highly purified by immune rosetting and immunomagnetic purging. In the case of the T-ALL patient presented in Fig 1, after a myeloablative therapy with high-dose Ara-C (2 g/m2 × 2/d for 6 days) and fractionated total body irradiation (TBI, 12cGy), the purified, leukemia-free fraction of HPCs obtained at the end of the purification procedure (6.8 × 106 /kg CD34+ cells) was autografted. The neutrophil engraftment (more than 1.5 × 109/L) was observed after 12 days and more than 20 and 100 × 109 /L platelets were counted at days +15 and + 30, respectively. Interestingly, the molecular evaluation of the bone marrow 100 days after transplantation did not show persistence of leukemic cells within the patient (data not shown). Similar results were obtained in two MM patients resistant to conventional chemotherapy and who underwent transplantation after a high-dose Melphalan (200 mg/m2) conditioning regimen, with CD19 and CD56 purged stem cells.26 27 The numbers of infused CD34+ cells were 8.3 and 10 × 106 /kg CD34+ cells, respectively. A rapid hematologic engraftment was observed in both patients, because more than 1.5 × 109/L neutrophils were counted at days +10 and +11 and more than 20 × 109/L platelets were counted at day +14 (Table 5).

Table 5.

Hematologic Reconstitution After Autologous Transplantation On Lineage-Specific Purging With Magnetic Microbeads

Patients Disease AgeConditioning Regimen Composition of CPCsDays From BMT Graft Infusion Until:
TNC ×106/kgCD34+ ×106/kg CD3+ ×106/kg CD19+ ×106/kgANC > 500/mcl ANC > 1500/mcl Plt > 20000/mcl Plt > 50000/mcl
1  T-ALL  47 Ara-C/TBI  74  6.8  0.1  0.1  9  11  14  16 
2  MM  61  Melphalan  18  8.3  2.3  0.01 10  11  14  15  
3  MM  59  Melphalan  29 10  13  0.09  10  11  10  12 
Patients Disease AgeConditioning Regimen Composition of CPCsDays From BMT Graft Infusion Until:
TNC ×106/kgCD34+ ×106/kg CD3+ ×106/kg CD19+ ×106/kgANC > 500/mcl ANC > 1500/mcl Plt > 20000/mcl Plt > 50000/mcl
1  T-ALL  47 Ara-C/TBI  74  6.8  0.1  0.1  9  11  14  16 
2  MM  61  Melphalan  18  8.3  2.3  0.01 10  11  14  15  
3  MM  59  Melphalan  29 10  13  0.09  10  11  10  12 

Abbreviations: ANC, absolute neutrophil count; Plt, platelets; TNC, total nucleated cells.

Because the use of unmodified allogeneic CPC has been possibly associated with increased chronic GVHD28 in six acute leukemia patients undergoing transplantation from HLA-identical siblings, allogeneic CPCs were extensively T-cell depleted by immune rosetting and immunomagnetic purging. However, to prevent an increased rate of graft failure and leukemia relapse,29 escalating moderate30 amounts of donor T lymphocytes (from a minimum of 2.5 to a maximum of 50 × 106 /kg) were rescued from the rosetted cells (by hypotonic lysis with NH4 Cl buffer, as described in Materials and Methods), enumerated by immunophenotyping with anti-CD3 antibody, and added back to the stem cell fraction just before cryopreservation. Only two apheretic procedures were necessary to infuse more than 5 × 106/kg CD34+ cells and despite the in vitro manipulation, a prompt hematologic reconstitution was observed in each patient (Table6). According to previously published experience,16,17 a conventional GVHD prophylaxis with a combination of Methotrexate and Cyclosporine A was performed20 31 and neither acute (more than grade I) or chronic GVHD was observed in these patients.

Table 6.

Effect of T-Cell Dose on the Quality and Timing of Short-Term Hematological Engraftment after CPC Allogeneic Transplantation

Patients Disease AgeConditioning Regimen CompositionDays from BMT Graft Infusion Until:
TNC ×106/kg CD34+ ×106/kgCD3+ ×106/kg ANC > 500/mclANC > 1500/mcl Plt > 20000/mcl Plt > 50000/mcl
1  T-ALL  24  TBI/Melphalan  120  7.5 2  12  13  14  50  
2  AML  59 TBI/Melphalan  90  9  10  10  11  12  14  
B-precursor ALL  43  TBI/Melphalan  120  10.5  15 20  21  26  40  
4  B-precursor/ALL  18 TBI/Melphalan  290  19.5  15  9  11  10  16 
5  B-precursor ALL  45  TBI/Melphalan  80  5.2 40  11  12  11  14  
6  T-ALL  31 TBI/Melphalan  470  11.4  50  14  15  14  16 
Media   36.7 (18 to 59)  195 (80 to 470)  10.5 (5.2 to 19.5) 22 (2 to 50)  12.6 (9 to 20)  13.8 (11 to 21) 14.5 (10 to 26)  25 (14 to 50) 
Patients Disease AgeConditioning Regimen CompositionDays from BMT Graft Infusion Until:
TNC ×106/kg CD34+ ×106/kgCD3+ ×106/kg ANC > 500/mclANC > 1500/mcl Plt > 20000/mcl Plt > 50000/mcl
1  T-ALL  24  TBI/Melphalan  120  7.5 2  12  13  14  50  
2  AML  59 TBI/Melphalan  90  9  10  10  11  12  14  
B-precursor ALL  43  TBI/Melphalan  120  10.5  15 20  21  26  40  
4  B-precursor/ALL  18 TBI/Melphalan  290  19.5  15  9  11  10  16 
5  B-precursor ALL  45  TBI/Melphalan  80  5.2 40  11  12  11  14  
6  T-ALL  31 TBI/Melphalan  470  11.4  50  14  15  14  16 
Media   36.7 (18 to 59)  195 (80 to 470)  10.5 (5.2 to 19.5) 22 (2 to 50)  12.6 (9 to 20)  13.8 (11 to 21) 14.5 (10 to 26)  25 (14 to 50) 

The manipulation of specific cell subpopulations of marrow or peripheral blood origin has become an interesting way to increase the applicability and reduce the toxicity of hematopoietic transplantation. However, the manipulation of CPCs obtained from G-CSF treated normal donors or patients is hampered by the huge cellularity present in the apheretic products, which often exceeds the absolute number of 50 × 109 cells, and by the fact that under the stimulatory effect of G-CSF, mature myeloid cells (mostly granulocytes) acquire different characteristics of cell density preventing their sedimentation on normal Ficoll gradients. Therefore, two main approaches to the CD34+ purification have been taken either by positive or by negative selection. Indeed, in the perspective of genetic manipulation, positive selection of CD34+ cells is likely to be the ideal option to ensure that the selected gene is transduced only in the small target population of pluripotent progenitor cells.32 Although transplantation of positively selected CD34+ cells purified by immunoaffinity columns or immunomagnetic bead adsorption has been shown as a feasible procedure,4,9,11-15 the specific depletion of unwanted cells seems preferable for several reasons including the preservation of the manipulation of CD34+ cells from binding with murine MoAbs and the need of their subsequent detachment by using chemical or physical methods. Moreover, most acute leukemias of both myeloid and lymphoid origin are positive for CD34 antigen expression thus reducing in this setting the clinical applicability of methods that rely only on the positive selection of the stem cell fraction. On the contrary, the selective elimination of residual neoplastic cells detectable in the stem cell fraction obtained from some patients with MM,33follicular lymphoma,34 and breast cancer35could be achieved by the use of MoAbs either in association with complement,36 conjugated to toxic compounds,37or by the use of magnetic microbeads proven to eradicate the neoplastic clone at the molecular level.25,38 However, it has to be mentioned that positive selection of CD34+ cells, combined with negative depletion steps, could also achieve high levels of purity,39 even though purging strategies based only on depletion techniques could avoid an extensive removal of T cells from the autograft of patients with B-lymphoproliferative disorders and solid tumors, thus reducing the risk of long-lasting immunodeficiency.

In this manuscript, we described a simple and reproducible method based on a two-step negative selection of cytokine mobilized circulating progenitor cells. With the first step of immune rosetting and subsequent Ficoll gradients we were able to obtain a drastic reduction of the massive starting cellularity of the leukapheretic products. The use of human RBCs suitable for transfusion and the fact that the whole procedure was performed by using clinical grade devices without the use of tubes or pipettes reduces the risk of microbiological contaminations and represents a crucial advantage of this approach. Most importantly, the consistent reduction of the mature myeloid cells without a significant loss of CD34+ cells allows a subsequent further effective purification of the human hematopoietic stem cells either by positive selection of the CD34+ cells or by further purging of the contaminating T- or B-cell fraction depending on the specific medical need. The results we obtained showed that we can specifically and reproducibly remove from the graft several logs of normal T cells as well as of contaminating tumor cells as assessed by PCR analysis.

The infusion of sibling-matched allogeneic hematopoietic stem cells purified according to this method, along with the add back of escalating amounts of T cells, was followed by a rapid hematologic engraftment, thus confirming the lack of any toxicity associated with the purification procedure.

In the setting of autologous transplantation, our data showed that an efficient purification of neoplastic B- or T-lymphoid cells could be reached and in the five cases analyzed at the molecular level, a disappearance of the neoplastic clone could be shown. Several obvious advantages are potentially associated with the use of purified stem cells for autologous hematopoietic transplantation in acute leukemia40 and lymphoma.41 We know that many patients can eventually relapse and die from their disease because of the infusion of tumor cells along with the autologous graft.42,43 Indeed, MRD persistence after autologous transplantation in NHL patients is associated with poor outcome, thus suggesting that neoplastic contamination of the graft should be eradicated for cure.41 The possibility of eradicating the residual leukemic cells in the apheretic product represents an important result because very little data about effective immunologic purging of ALL are available so far. Obviously, whereas these data represent a clear demonstration of the technical feasibility of a rapid and reproducible two-step purging procedure of cytokine-mobilized HPCs, the clinical outcome of autologous and allogeneic transplants in the diverse proposed clinical settings waits for future validation.

Supported in part by grants from the Associazione Italiana per la ricerca contro il cancro (AIRC); the Consiglio Nazionale per le Ricerche (CNR) Target Project on Biotechnology; the Associazione Paolo Belli, Lotta alla Leucemia; and Fondazione Tettamanti.

Address correspondence to Alessandro Rambaldi, MD, Division of Hematology, Ospedali Riuniti di Bergamo, Largo Barozzi, 1, 24100 Bergamo, Italy.

The publication costs of this article were defrayed in part by page charge payment. This article must therefore be hereby marked “advertisement” in accordance with 18 U.S.C. section 1734 solely to indicate this fact.

1
Krause
DS
Fackler
MJ
Civin
CI
May
S
CD34: Structure, biology, and clinical utility.
Blood
87
1996
1
2
To
LB
Haylock
DN
Simmons
PJ
Juttner
CA
The biology and clinical use of blood stem cells.
Blood
89
1997
2233
3
Lowemberg
B
Voogt
P
Autologous stem cell transplantation and purging.
J Clin Oncol
14
1996
2194
4
Link
H
Arseniev
L
Bahre
O
Kadar
JG
Diedrich
H
Poliwoda
H
Transplantation of allogeneic CD34+ blood cells.
Blood
87
1996
4903
5
Dilloo
D
Rill
D
Entwistle
C
Boursnell
M
Zhong
W
Holden
W
Hommaday
M
Inglis
S
Brenner
M
A novel Herpes vector for the high-efficiency transduction of normal and malignant human hematopoietic cells.
Blood
89
1997
119
6
Ward
M
Richardson
C
Pioli
P
Smith
L
Podda
S
Goff
S
Hesdorffer
C
Bank
A
Transfer and expression of human multiple drug resistance gene in human CD34+ cells.
Blood
84
1994
1408
7
Shpall
EJ
Jones
RB
Release of tumors cells from bone marrow.
Blood
83
1994
623
8
Brugger
W
Bross
KJ
Glatt
M
Weber
F
Mertelsmann
R
Kanz
L
Mobilization of tumors cells and hematopoietic progenitor cells into peripheral blood of patients with solid tumors.
Blood
83
1994
636
9
Lemoli
RM
Fortuna
A
Motta
MR
Rizzi
S
Giudice
V
Nannetti
A
Martinelli
G
Cavo
M
Amabile
M
Mangianti
S
Fogli
M
Conte
R
Tura
S
Concomitant mobilization of plasma cells and hematopoietic progenitors into peripheral blood of multiple myeloma patients: Positive selection and transplantation of enriched CD34+ cells to remove circulating tumors cells.
Blood
87
1996
1625
10
Rill
DR
Santana
VM
Roberts
WM
Nilson
T
Bowman
LC
Krance
RA
Heslop
HE
Moen
RC
Ihle
JN
Brenner
MK
Direct demonstration that autologous bone marrow transplantation for solid tumors can return a multiplicity of tumorigenic cells.
Blood
84
1994
380
11
Gorin
NC
Lopez
M
Laporte
JP
Quittet
P
Lesage
S
Lemoine
F
Berenson
RJ
Isnard
F
Grande
M
Stachowiak
J
Labopin
M
Fouillard
L
Morel
P
Jouet
JP
Noel-Walter
MP
Detourmignies
L
Aoudjhane
M
Bauters
F
Najman
A
Douay
L
Preparation and successful engraftment of purified CD34+ bone marrow progenitor cells in patients with non-Hodgkin's lymphoma.
Blood
85
1995
1647
12
Shpall
EJ
Janes
RB
Bearman
SJ
Franklin
WA
Archer
PG
Curiel
T
Bitter
M
Claman
HN
Stemmer
SM
Purdy
M
Myers
SE
Hami
L
Taffs
S
Heimfeld
S
Hallagan
J
Berenson
RJ
Transplantation of enriched CD34-positive autologous marrow into breast cancer patients following high-dose chemotherapy: Influence of CD34-positive pheripheral-blood progenitores and growth factors on engraftment.
J Clin Oncol
12
1994
28
13
Berenson
RJ
Besinger
WI
Hill
RS
Andrews
RG
Garcia-Lopez
J
Kalamasz
DF
Still
BJ
Spitzer
G
Buckner
CD
Bernstein
ID
Thomas
ED
Engraftment after infusion of CD34+ cells in patients with breast cancer or neuroblastoma.
Blood
84
1994
1241
14
Berger
KM
Rapatel
C
de Lumley
L
Lutz
P
Plantaz
D
Vannier
JP
Bergeron
C
Mechinaud
F
Favrot
M
Bonhomme
J
Travade
P
Demeoco
F
CD34+ cell immunoselection from G-CSF-alone-primed peripheral blood in children with low body mass.
Br J Haematol
91
1995
431
15
Alcorn
MJ
Holyoake
TL
Richmond
L
Pearson
C
Farrel
E
Kyle
B
Dunlop
DJ
Fitzsimons
E
Steward
WP
Pragnell
IB
Franklin
IM
CD34-positive cells isolated from cryopreserved pheripheral-blood progenitor cells can be expanded ex vivo and used for transplantation with little or no toxicity.
J Clin Oncol
14
1996
1839
16
Bensinger
WI
Buckner
CD
Shanon-Dorcy
K
Rowley
S
Appelbaum
FR
Benyunes
M
Clift
R
Martin
P
Derimer
T
Storb
R
Lee
M
Schiller
G
Transplantation of allogeneic CD34+ pheripheral blood stem cells in patients with advanced hematologic malignancy.
Blood
88
1996
4132
17
Urbano-Ispizua
A
Rozman
C
Martinez
C
Marin
P
Briones
J
Rovira
M
Feliz
P
Viguria
MC
Merino
A
Sierra
J
Mazzara
R
Carrerar
E
Montserrat
E
Rapid engraftment without significant graft-versus-host disease after allogeneic transplantation of CD34+ selected cells from peripheral blood.
Blood
89
1997
3967
18
Delain
M
Cahn
JY
Racadot
E
Flesch
M
Plouvier
E
Mercier
M
Tiberghien
P
Pavy
JJ
Deschaseaux
M
Deconinck
E
Couteret
Y
Brion
A
Herve
P
Graft failure after T cell depleted HLA identical allogeneic bone marrow transplantation: Risk factors in leukemic patients.
Leuk Lymphoma
11
1993
359
19
Cortelazzo
S
Viero
P
Bellavita
P
Rossi
A
Buelli
M
Borleri
GM
Marchioli
S
Bassan
R
Comotti
B
Rambaldi
A
Barbui
T
Granulocyte colony stimulating factor following pheripheral blood progenitor cells transplant in non-Hodgkin's lymphoma.
J Clin Oncol
13
1995
935
20
Rambaldi
A
Viero
P
Bassan
R
Buelli
M
Rossi
A
Bellavita
P
Spinelli
O
Amaru
R
Micheletti
M
Borleri
G
Cortelazzo
S
Comotti
B
Barbui
T
G-CSF-mobilized pheripheral blood progenitor cells for allogeneic transplantation of resistant or relapsing acute leukemias.
Leukemia
10
1995
860
21
Anderson
KC
Griffin
JD
Bates
MP
Slaughenhoupt
BL
Schlossman
SF
Nadler
LM
Isolation and characterization of human B lymphocyte enriched population. I. Purification of B cells by immune rosette depletion.
J Immunol Methods
61
1983
283
22
Van Camp
B
Durie
BGM
Spier
C
De Waele
M
Van Riet
I
Vela
E
Fruttiger
Y
Richter
L
Grogan
TM
Plasma cells in multiple myeloma express a natural killer cell-associated antigen: CD56 (NKH-1; Leu-19).
Blood
76
1990
377
23
Biondi
A
Rambaldi
A
Polymerase chain reaction (PCR) approach for the evaluation of minimal residual disease in acute leukemia.
Stem Cells
12
1994
394
24
Steward
CG
Potter
MN
Oakhill
A
Third complementary determining region (CDRIII) sequence analysis in childhood B-lineage acute lymphoblastic leukemia: Implication for the design of oligonucleotide probes for use in monitoring minimal residual disease.
Leukemia
6
1992
1213
25
Gribben
JG
Saporito
L
Barber
M
Blake
KW
Edwards
RM
Griffin
JD
Freedman
AS
Nadler
LM
Bone marrow of non-Hodgkin's lymphoma patients with a bcl-2 translocation can be purged of ploymerase chain reaction-detecable lymphoma cells using monoclonal antibodies and immunomagnetic beads depletion.
Blood
80
1992
1083
26
Bergsagel
PL
Smith
AM
Szczepeck
A
Mant
MJ
Belch
AR
Pilarski
LM
In multiple myeloma, clonotypic B lymphocytes are detectable among CD19+ peripheral blood cells expressing CD38, CD56 and monotypic Ig light chain.
Blood
85
1995
436
27
Szczepek
AJ
Bergsagel
PL
Axelsson
L
Brown
CB
Belch
AR
Pilarski
LM
CD34+ cells in the blood of patients with multiple myeloma express CD19 and IgH mRNA and have patients-specific IgH VDJ gene rearrangements.
Blood
89
1997
1824
28
Majolino
I
Saglio
G
Scimé
R
Serra
A
Cavallaro
AM
Fiandaca
T
Vasta
S
Pampinella
M
Catania
P
Indovina
A
Marcenò
R
Santoro
A
High incidence of chronic GVHD after primary allogeneic peripheral blood stem cells transplantation in patients with hematologic malignancies.
Bone Marrow Transplant
17
1996
555
29
Marmont
A
Horowitz
MM
Gale
RP
Sobocinski
K
Ash
RC
Bekkum
DW
Champlin
RE
Dicke
KA
Goldman
RA
Herzing
RH
Hong
R
Masaoka
T
Rimm
AA
Ringden
O
Speck
B
Weiner
RS
Bortin
MM
T-cell depletion of HLA identical transplant in leukemia.
Blood
78
1991
2120
30
Verdonck
LF
Dekker
AW
de Gast
GC
van Kempen
ML
Lokhorst
HM
Nieuwenhuis
HK
Allogeneic bone marrow transplantation with a fixed low number of T cells in the marrow graft.
Blood
83
1994
3090
31
Storb
R
Deeg
HJ
Whithead
J
Appelbaum
F
Beatty
P
Bensinger
WI
Buckner
CD
Clift
R
Doney
K
Farewell
V
Hansen
J
Hill
R
Lum
R
Martin
P
McGuffin
R
Sanders
J
Stewart
P
Sullivan
K
Witherspoon
R
Yee
J
Thomas
ED
Methotrexate and cyclosporine compared with cyclosporine alone for prophylaxis of acute-graft-versus-host disease after marrow transplantation for leukemia.
N Engl J Med
314
1986
729
32
Dunbar
CE
Cottler-Fox
M
O'Shaunessy
JA
Doren
S
Carter
C
Berenson
R
Brown
S
Moen
RC
Greenblatt
J
Stewart
FM
Leitman
SF
Wilson
VH
Cowan
K
Young
NS
Nienhuis
AW
Retrovirally marked CD34-enriched peripheral blood and marrow cells contribute to long-term engraftment after autologous transplantation.
Blood
85
1995
3048
33
Willems
P
Croockewit
R
Raymarkers
R
Holdrinet
G
van der Bosh
G
Huys
E
Mesink
E
CD34+ selection from myeloma peripheral blood cell autografts contain residual tumor cells due to impurity, not to CD34+ myeloma cells.
Br J Haematol
93
1996
613
34
Macintyre
EA
Belanger
C
Debert
C
Canioni
D
Turhan
AG
Azagury
M
Hermine
O
Varet
B
Flandrin
G
Schmitt
C
Detection of clonal CD34+19+ progenitors in bone marrow of BCL2-IgH-positive follicular lymphoma patients.
Blood
86
1995
4691
35
Mapara
MY
Korner
IJ
Hildebranndt
M
Bargou
R
Krahl
D
Reichardt
P
Dorken
B
Monitoring of tumor cell purging after highly efficient immunomagnetic selection of CD34 cell from leukapheresis products in breast cancer patients: Comparison of immunocytochemical tumor cell staining and reverse transcriptase-polimerace chain reaction.
Blood
89
1997
337
36
Anderson
KC
Ritz
J
Takvorian
T
Coral
F
Daley
H
Gorgone
BC
Freedman
AS
Canellos
GP
Schlossman
SF
Nadler
LM
Hematologic engraftment and immune reconstitution posttransplantation with anti-B1 purged autologous bone marrow.
Blood
69
1987
597
37
Uckun
FM
Reaman
GH
Immunotoxins for treatment of leukemia and lymphoma.
Leuk Lymphoma
18
1995
195
38
Di Nicola
M
Siena
S
Corradini
P
Bregni
M
Milanesi
M
Magni
M
Ruffini
PA
Ravagnani
F
Tarella
C
Gianni
AM
Elimination of bcl-2-positive follicular lymphoma cells from blood transplants with high recovery of haematopoietic progenitors by the Miltenyi CD34+ cell sorting system.
Bone Marrow Transplant
18
1996
1117
39
Bertolini
F
Thomas
T
Battaglia
M
Gibelli
N
Pedrazzoli
P
Robustelli della Cuna
G
A new two-step procedure for 4.5 log depletion of T and B cells in allogeneic transplantation and of neoplastic cells in autologous transplantation.
Bone Marrow Transplant
19
1997
615
40
Soiffer
RJ
Roy
DC
Gonin
R
Murray
C
Anderson
KC
Freedman
AS
Babinowe
SAN
Roberts
MJ
Spector
N
Pesek
K
Mauch
P
Nadler
LM
Ritz
J
Monoclonal antibody-purged autologous bone marrow transplatation in adults with acute lymphoblastic leukemia at high risk of relapse.
Bone Marrow Transplant
12
1993
243
41
Gribben
JG
Freedman
AS
Neuberg
D
Roy
DC
Blake
KW
Woo
SD
Grossbard
ML
Rabinowe
SN
Coral
F
Freeman
GJ
Ritz
J
Nadler
LM
Immunologic purging of marrow assessed by PCR before autologous bone marrow transplantation for B-cell lymphoma.
N Engl J Med
325
1991
1525
42
Brenner
MK
Rill
DR
Moen
RC
Krance
RA
Mirro
J
Anderson
WF
Ihle
JN
Gene-marking to trace origin of relapse after autologous bone-marrow transplantation.
Lancet
341
1993
85
43
Deiseroth
AB
ZU
Z
Claxton
D
Hanania
EG
Fu
S
Ellerson
D
Goldberg
L
Thomas
M
Janicek
K
Anderson
WF
Hostor
J
Korbling
M
Durett
A
Monn
R
Berenson
R
Hoinfeld
S
Hamer
J
Calvert
L
Tibbits
P
Talpaz
M
Kantarjian
H
Champlin
R
Reading
C
Genetic marking shows that Ph+cells present in autologous transplants of chronic myelogenous leukemias (CML) contribute to relapse after autologous bone marrow in CML.
Blood
83
1994
3068
Sign in via your Institution