To the Editor:
Progressive aspergillosis in patients with hematological malignancy and chemotherapy-induced pancytopenia carries a high mortality and remains a contraindication to conventional allogeneic hematopoietic stem cell transplantation (HSCT) with myeloablative chemoradiotherapy.1-4 Recently, a novel nonmyeloablative transplant regimen was developed5 based on canine studies.6 It involved a low dose of 200 cGy total body irradiation (TBI) before and immunosuppression with mycophenolate mofetil (MMF) and cyclosporine (CSP) after transplant to control both graft-versus-host disease (GVHD) and host-versus-graft reactions. Here we report a successful nonmyeloablative allotransplant in a patient with prolonged marrow aplasia after induction chemotherapy for acute myeloid leukemia (AML) who had developed progressive pulmonary aspergillosis.
In July 1998, a 49-year-old man was diagnosed with AML, French-American-British (FAB) M1, with normal cytogenetics and negative for Bcr-Abl. His white blood cell (WBC) count was 190,000/μL with 70% blasts containing Auer rods. His absolute neutrophil count (ANC) was 1,500/μL, hematocrit 20%, and platelet count 23,000/μL. Induction chemotherapy included Ara-C at 200 mg/m2/d on days 1 to 7, and idarubicin at 12 mg/m2/d on days 1 to 3. Induction was repeated due to 30% residual marrow blasts on day 14. The CSF contained leukemic blasts, and the patient received intrathecal methotrexate, 12 mg × 6 doses. The day 28 marrow was aplastic without leukemia. The patient remained pancytopenic for 64 days despite granulocyte colony-stimulating factor (G-CSF). He was red blood cell (RBC)– and platelet transfusion–dependent and experienced 4 episodes of bacteremia/sepsis. On day 58 after induction, while on 0.5 mg/kg of amphotericin B (Ampho B), a nodular infiltrate of the left upper lung lobe was noted on chest x-ray (CXR). Bronchoalveolar lavage revealed septate hyphae consistent with clinical probable aspergillosis.3 4 The lesion progressed rapidly over 1 week despite 1 mg/kg of Ampho B. Ampho B was changed to amphotericin B liposomal complex (ABLC), 5 mg/kg, because of renal insufficiency (peak creatinine level, 3.2 mg/dL). The patient was malnourished with a serum albumin level of 1.9 mg/dL and required parenteral nutrition. Repeated marrow examination on day 60 showed marrow aplasia without evidence of leukemia.
His brother was found to be HLA-A, -B, -C, -DR, -DQ matched and ABO mismatched (donor “A,” recipient “O”), and treatment with HSCT was proposed. The patient was ineligible for a conventional HSCT because of progressive pulmonary aspergillosis, renal insufficiency, and poor performance status. Therefore, he was offered a nonmyeloablative HSCT.5 On September 30, 1998 (day 0 of transplant), the patient received 200 cGy TBI at 7 cGy/min followed by infusion of unmodified G-CSF–mobilized peripheral blood stem cells (10 × 106 CD34+ cells/kg) from the brother. Postgrafting immunosuppression consisted of MMF, 15 mg/kg twice a day orally days 0 to 27, and CSP, 1.5 mg/kg twice a day intravenous days −1 to 20, and 6 mg/kg twice a day orally days 21 to 100, followed by taper over 14 days. Engraftment was prompt with an ANC of >500/μL on day 8 and platelet transfusion independence on day 13 (Fig 1). Chimerism studies done on days 14, 28, 56, 120, and 182 posttransplant using polymorphic microsatellite region 33.6 markers7 showed 99% of marrow cells and granulocytes, and 70% of T cells to be of donor origin during the first 120 days (Fig 1). By day 182, both T cells and granulocytes were 100% of donor origin. The patient had a peak bilirubin level of 13 mg/dL (90% direct) and minimal elevations of transaminases on day 10 that were attributed to high CSP serum levels and concurrent Ampho B. These resolved with CSP dose reduction. The patient was discharged to outpatient care on day 21. Skin GVHD developed on day 120 shortly after CSP was discontinued, and it responded promptly to resumption of CSP and a 2-week course of prednisone at 1 mg/kg.
Peripheral blood counts before and after HSCT (top) and microsatellite marker (region 33.6) analyses (bottom) on DNA from recipient and donor cells before transplant (lanes 1 and 2) and recipient cells after transplant (lanes 3 through 11).
Peripheral blood counts before and after HSCT (top) and microsatellite marker (region 33.6) analyses (bottom) on DNA from recipient and donor cells before transplant (lanes 1 and 2) and recipient cells after transplant (lanes 3 through 11).
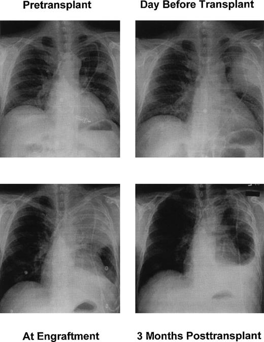
The pulmonary infiltrate on CXR progressed early after the transplant, and this was more likely caused by neutrophil infiltration after allogeneic engraftment. The infiltration then regressed over a 3-month period (Fig 2). The left pleural effusion persisted but was stable and sterile by culture. Specific therapy included 2.1 g of Ampho B (8/11/98 to 9/26/98), 7.8 g of ABCL (9/27/98 to 11/5/98), and 4.2 g of Voriconazole (266 mg intravenous twice a day from 11/6/98 to 1/6/99; 200 mg orally twice a day 1/7/99 to 1/30/99). Subsequently, the patient has been maintained to date on itraconazole, 300 mg twice a day orally. His renal insufficiency resolved after discontinuing Ampho B.
Chest x-rays. (Top left) Seven days before HSCT. (Top right) One day before HSCT. (Bottom left) Day 10 after HSCT. (Bottom right) Three months after HSCT.
Chest x-rays. (Top left) Seven days before HSCT. (Top right) One day before HSCT. (Bottom left) Day 10 after HSCT. (Bottom right) Three months after HSCT.
Now 350 days after transplant, the patient is in complete remission of leukemia with stable engraftment. His RBC group is of donor type A. He required RBC transfusion 1 to 2 times a month due to continued, though diminishing, production of anti-A antibody by host plasma cells during the first 9 months. His anti-A IgG titers gradually decreased from an initial 1:4,096 to 1:16 currently. The decline of his anti-A titers followed a straight line on a semi-logarithmic plot, and extrapolation of that line would predict complete disappearance of host titer within 3 months. Very similar data in patients with high pretransplant anti-donor isohemagglutinius have been reported for conventional transplants.8
In conclusion, the minimal toxicity associated with the current nonmyeloablative transplant regimen and the prompt engraftment permitted effective treatment of the progressive pulmonary aspergillosis in a clinical setting that has been invariably fatal in patients given conventional allografts with high-dose chemoradiation conditioning.
ADDENDUM
The microsatellite marker studies done on day 350 after transplant continued to show >95% donor cell engraftment among the peripheral blood granulocytes and lymphocytes, and marrow.


This feature is available to Subscribers Only
Sign In or Create an Account Close Modal