The incidence of follicular lymphoma differs significantly between white and Japanese individuals. Translocation between theBCL-2 and immunoglobulin heavy chain genes is detected in 85% to 90% of all follicular lymphomas in whites. Recently,BCL-2/JH translocation was detected in peripheral blood lymphocytes from more than 50% of healthy white individuals. To clarify the reason for the difference in incidence of follicular lymphoma between whites and Japanese, the frequency ofBCL-2/JH translocation in peripheral blood lymphocytes of healthy Japanese individuals was compared with that of German individuals. The prevalence of BCL-2/JHtranslocation in Japanese adults appeared to be significantly lower than that in German adults. The present data suggest that the low frequency of BCL-2/JH translocation in the Japanese general population may be one of the major reasons for the difference in incidence of follicular lymphoma between whites and Japanese.
Introduction
The incidence of follicular lymphoma differs between white and Japanese individuals, accounting for about 40% of all non-Hodgkin lymphomas in whites, compared with less than 10% in Japanese.1-5 The age-adjusted incidence of follicular lymphoma (per 100 000) is reported to be 3.8 in the United States and 0.5 in Japan.2 The reason for this difference between the 2 populations is unknown.
The translocation t(14;18)(q32;q21) between the BCL-2proto-oncogene and the JH immunoglobulin gene region is detected in 85% to 90% and approximately 50% of all follicular lymphomas in whites and Japanese, respectively.5-10 This leads to overexpression of BCL-2, conferring a growth advantage on the neoplastic cells.11Recently, it has been reported that BCL-2/JHtranslocation is frequently detected in peripheral blood lymphocytes of healthy white individuals.12-17 In the multihit theory of tumorigenesis, translocation of the BCL-2 gene is considered to be the first somatic mutation, and additional mutations are needed for development of follicular lymphoma. From this viewpoint, the low incidence of follicular lymphoma in Japanese individuals may be due to the low frequency of BCL-2/JH translocation in the general population or other factors affecting lymphomagenesis. Accordingly, we compared the frequency ofBCL-2/JH translocation in peripheral blood lymphocytes of Japanese individuals with that of German individuals. The results showed that the incidence ofBCL-2/JH translocation in healthy Japanese individuals is significantly lower than that in German individuals.
Study design
Peripheral blood mononuclear cells were obtained with informed consent from Japanese and German (white) individuals who had no serious diseases, and the DNA was extracted using standard procedures. The DNA samples from German individuals were sent to Japan and used for experiments. The presence of theBCL-2/JH translocation in the major breakpoint region (MBR) of the BCL-2 gene was examined using a nested polymerase chain reaction (PCR), as described previously in a study of white individuals.12 14 Briefly, 10 μg DNA corresponding to approximately 1 to 2 × 106 cells in 100 μL PCR mixture was used for each PCR analysis. The first round of amplification was performed for 30 cycles using the outer primers 5′-ACCTGAGGAGACGGTGACCAGGGT-3′ for the JH region and 5′-CAGCCTTGAAACATTGATGG-3′ for BCL-2 (MBR). The second round was performed for 30 cycles using the inner primers 5′-CAGGGTCCCTTGGCCCCAG-3′ for the JH region and 5′-TATGGTGGTTTGACCTTTAG-3′ for BCL-2. Positive and negative controls were included in all experiments. The PCR products were loaded on 2% agarose electrophoresis gel containing ethidium bromide and visualized under UV light. Southern blot analysis was also performed using an internal oligonucleotide (5′-CACAGACCCACCCAGAGCCCTCCTG-3′) as a probe. The PCR analysis of DNAs from both Japanese and German individuals was performed by a single investigator. To confirm the specificity of the PCR products and to determine the breakpoints, the nucleotide sequences of the DNA fragments amplified from the samples were analyzed by direct sequencing of the PCR products using an ABI PRISM 310 Genetics Analyzer (PerkinElmer, Norwalk, CT).
The sensitivity of this nested PCR method, determined using the t(14;18)-positive lymphoma cell lines TK,18 FL218, and FL318,19 appeared to be approximately 1/106cells, and was almost the same as that reported previously in studies of white individuals.12-17 Statistical analysis between the 2 groups was performed using the χ2 test.
Results and discussion
The frequencies of BCL-2/JH translocation examined using peripheral blood lymphocytes of 241 healthy Japanese and 75 healthy German individuals were 16.2% and 52.0%, respectively (Table 1). The frequency ofBCL-2/JH translocation in Japanese individuals aged 20 to 79 years appeared to be significantly lower than that in age-matched German individuals (P < .0001). In Japanese individuals, the frequency of BCL-2/JHtranslocation increased dramatically at around 20 years of age. In addition, in contrast to previous reports that the frequency ofBCL-2/JH translocation rises with age in white individuals,12,14 no significant difference was detected between young, middle-aged, and elderly Japanese adult groups. On the other hand, the frequency of BCL-2/JHtranslocation in German individuals examined in the present study was almost as high as that reported previously in studies of white individuals, including Germans.12-17
Frequency of BCL-2/JHtranslocation in peripheral blood lymphocytes of Japanese and German individuals
| Age (y) . | Japanese individuals . | German individuals . | ||||||||||
|---|---|---|---|---|---|---|---|---|---|---|---|---|
| 0-19 . | 20-39 . | 40-59 . | 60-79 . | > 80 . | Total . | 0-19 . | 20-39 . | 40-59 . | 60-79 . | > 80 . | Total . | |
| Positive number/total number examined* | 1/49 | 9/45 | 8/46 | 15/65 | 6/36 | 39/241 | NT | 11/22 | 23/43 | 5/10 | NT | 39/75† |
| Frequency of positive result (%) | 2.0 | 20.0 | 17.3 | 23.1 | 16.7 | 16.2 | — | 50.0 | 53.5 | 50.0 | — | 52.0 |
| Multiple translocation/positive number‡ | 0/1 | 1/9 | 2/8 | 2/15 | 1/6 | 6/39 (15.4%) | — | 4/11 | 11/23 | 2/5 | — | 17/391-153 (43.6%) |
| Age (y) . | Japanese individuals . | German individuals . | ||||||||||
|---|---|---|---|---|---|---|---|---|---|---|---|---|
| 0-19 . | 20-39 . | 40-59 . | 60-79 . | > 80 . | Total . | 0-19 . | 20-39 . | 40-59 . | 60-79 . | > 80 . | Total . | |
| Positive number/total number examined* | 1/49 | 9/45 | 8/46 | 15/65 | 6/36 | 39/241 | NT | 11/22 | 23/43 | 5/10 | NT | 39/75† |
| Frequency of positive result (%) | 2.0 | 20.0 | 17.3 | 23.1 | 16.7 | 16.2 | — | 50.0 | 53.5 | 50.0 | — | 52.0 |
| Multiple translocation/positive number‡ | 0/1 | 1/9 | 2/8 | 2/15 | 1/6 | 6/39 (15.4%) | — | 4/11 | 11/23 | 2/5 | — | 17/391-153 (43.6%) |
NT indicates not tested.
The values represent the number of samples showing positive results/the number of samples tested in each age group.
The value (39/75) in German individuals is significantly higher than that of Japanese samples obtained from individuals aged 20 to 79 years (32/156) (P < .0001).
The values represent the number of samples showing multiple break points/the number of positive samples in each age group.
The value (17/39) in German individuals is significantly higher than that in Japanese individuals (6/39) (P < .01).
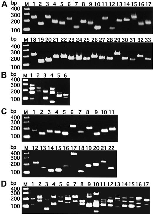
Another noteworthy finding in the present study was that more than one distinguishable BCL-2/JH amplified DNA fragment, indicating the presence of oligoclonal lymphocytes with t(14;18) in the samples, was detected in only 6 of 39 (15.4%) Japanese positive samples and 17 of 39 (43.6%) German positive samples (Table 1and Figure 1). Figure 1 gives data for ethidium bromide staining of the agarose electrophoresis gel of positive samples. Southern blot analysis and direct sequencing of the PCR products confirmed that the amplified DNA fragments were the fusion gene of BCL-2 and the immunoglobulinJH region, and that breakpoints in theBCL-2 MBR region tended to fall within 3 microclusters, as reported previously in whites (data not shown). The frequency of oligoclonal t(14;18)-positive lymphocytes in the Japanese samples was significantly lower than that in the German samples (P < .01). This finding also indicates that the frequency of BCL-2/JH translocation in peripheral blood lymphocytes of Japanese individuals is lower than that in German individuals.
Agarose gel electrophoresis of positive samples.
The nested PCR was performed as described in “Study design,” and the PCR products were loaded on a 2% agarose electrophoresis gel containing ethidium bromide and visualized under UV light. (A) Japanese samples showing a single band (lanes 1-33). (B) Japanese samples showing multiple bands (lanes 1-6). (C) German samples showing a single band (lanes 1-22). (D) German samples showing multiple bands (lanes 1-17). Lane M shows 100-bp ladder markers.
Agarose gel electrophoresis of positive samples.
The nested PCR was performed as described in “Study design,” and the PCR products were loaded on a 2% agarose electrophoresis gel containing ethidium bromide and visualized under UV light. (A) Japanese samples showing a single band (lanes 1-33). (B) Japanese samples showing multiple bands (lanes 1-6). (C) German samples showing a single band (lanes 1-22). (D) German samples showing multiple bands (lanes 1-17). Lane M shows 100-bp ladder markers.
To our knowledge, only one previous report has comparedBCL-2/JH translocation in white and Japanese individuals. That study showed no significant difference between the frequencies of BCL-2/JH translocation in hyperplastic lymphoid tissues obtained from 15 American and 10 Japanese patients.20 The discrepancy between that study and the present one may be due to the difference in the sources of materials and the numbers of samples examined.
In comparison with the frequency found in German samples and the previous reports indicating that BCL-2/JHtranslocation was detected in more than 50% of whites,12-17 the prevalence in Japanese individuals detected in the present study is significantly low. This low frequency of BCL-2/JH translocation in the Japanese general population may be one of the major reasons for the difference in incidence of follicular lymphoma between whites and Japanese. The present findings also suggest that the differences in instability of certain chromosome regions may account for the differences in incidence of various cancers between races. The reason for the different incidence of BCL-2/JH translocation between Japanese and white individuals is unknown. A recent study has shown that the incidence of t(14;18) in healthy individuals might be affected by smoking.21 These data suggest that the differing incidence of BCL-2/JH translocation between whites and Japanese may be due to environmental as well as genetic factors, as has been discussed in the case of inv(7), which is detected at a higher incidence in agriculture workers.22 An increased incidence of inv(7) or t(14;18) in a population or a subgroup may be a measure of not only genomic instability, but also the V(D)J recombinase activity possibly generating these chromosomal translocations.
We thank Drs K. Inokuchi (Nippon Medical School) and H. Ohno (Kyoto University) for providing t(14;18)-positive cell lines. We also thank Dr J. Torii (Ehime Medical College of Health Science) for statistical analyses.
Supported by grants from the Ministry of Education, Science, Sports, and Culture of Japan; the Sagawa Cancer Research Foundation; and the Daiwa-Shoken Health Foundation.
The publication costs of this article were defrayed in part by page charge payment. Therefore, and solely to indicate this fact, this article is hereby marked “advertisement” in accordance with 18 U.S.C. section 1734.
References
Author notes
Masaki Yasukawa, The First Department of Internal Medicine, Ehime University School of Medicine, Shigenobu, Ehime 791-0295, Japan; e-mail: yasukawa@m.ehime-u.ac.jp.

This feature is available to Subscribers Only
Sign In or Create an Account Close Modal