The hemoglobin scavenger receptor (HbSR/CD163) is an interleukin-6– and glucocorticoid-regulated macrophage/monocyte receptor for uptake of haptoglobin-hemoglobin complexes. Moreover, there are strong indications that HbSR serves an anti-inflammatory function. Immunoprecipitation and immunoblotting enabled identification of a soluble plasma form of HbSR (sHbSR) having an electrophoretic mobility equal to that of recombinant HbSR consisting of the extracellular domain (scavenger receptor cysteine-rich 1-9). A sandwich enzyme-linked immunosorbent assay was established and used to measure the sHbSR level in 130 healthy subjects (median, 1.87 mg/L; range, 0.73-4.69 mg/L). To evaluate the sHbSR levels in conditions with increased leukocyte stimulation and proliferation, 140 patients admitted to a hematological department were screened. Several patients, with a broad spectrum of diagnoses, had a level of sHbSR above the range of healthy persons. Patients with myelomonocytic leukemias and pneumonia/sepsis exhibited the highest levels (up to 67.3 mg/L). In conclusion, sHbSR is an abundant plasma protein potentially valuable in monitoring patients with infections and myelomonocytic leukemia.
Introduction
The hemoglobin scavenger receptor (HbSR), also known as CD163 and M130, is the recently identified receptor scavenging haptoglobin-hemoglobin complexes.1 HbSR is a member of the scavenger receptor cysteine-rich (SRCR) family2 and consists of 9 extracellular group B SRCR domains, a transmembrane segment, and a short cytoplasmic tail3 with several potential phosphorylation sites. HbSR is expressed exclusively in cells of the monocytic lineage, and high expression is seen in phagocytic tissue macrophages.4 There are strong indications that HbSR and its ligand may play a direct active role in the inflammatory response, and HbSR is tightly regulated by proinflammatory and anti-inflammatory mediators. Glucocorticoids, interleukin (IL)-6 and IL-10 (but not IL-4 or IL-13) induce increased expression of both messenger RNA and surface receptor protein.5-7Furthermore, antibody-mediated HbSR cross-linkage induces intracellular signaling and secretion of IL-6 and granulocyte-macrophage colony-stimulating factor.8 9 Probably, the antibody mimics a ligand-induced signaling.
Shedding of a soluble form of HbSR from in vitro cultured cells10 and detection of CD163 immunoreactivity in plasma suggest the existence of a natural soluble form of HbSR.11We identified this soluble receptor (sHbSR) in plasma and established a sensitive assay showing high concentrations in healthy individuals. We then explored whether the concentration of sHbSR varied in a panel of patients with various hematological diseases. These data indicate that the level of sHbSR is dependent on leukocyte stimulation and proliferation.
Study design
Purification of HbSR and production of recombinant sHbSR
The membrane form of human HbSR was purified as recently described.1 The exact concentration of HbSR was determined by amino acid analysis of hydrolyzed protein.12 A recombinant sHbSR derivative consisting of the extracellular domain (SRCR 1-9) without transmembrane segment and cytoplasmic tail was expressed in Chinese hamster ovary (CHO) cells stably transfected with an HbSR complementary DNA (cDNA) fragment encoding amino acids 1 through 1045 of human HbSR. The cDNA plasmid was generated by the following procedure: A cDNA fragment corresponding to the bases 3045 to 3135 with the addition of a stop codon and a Not Isite was created by polymerase chain reaction (PCR). The PCR-generated DNA fragment was ligated into the internal Pst I site (position 3056-3061) and the Not cloning site of the previously described full-length HbSR pcDNA+plasmid.1 This procedure substituted bases 3136 to 3351, encoding the transmembrane region and the cytoplasmatic tail of HbSR, with a stop codon. The expression product from the transfected CHO cells was secreted into the medium as a soluble protein. The recombinant protein representing the extracellular domain of HbSR was purified from the medium by haptoglobin-hemoglobin affinity chromatography.1
Patient samples
Serum was obtained from 130 blood donors at least 3 months after the last donation (65 men and 65 women), and surplus plasma and/or serum was obtained from blood samples from 140 patients taken for routine analysis at the Department of Hematology, Aarhus University Hospital (Denmark). Clinical data were obtained from the medical files of 131 of the patients.
Precipitation and identification of sHbSR in plasma
Plasma samples (100 μL) from blood donors and patients were dialyzed overnight against 10 mM Hepes (Sigma, St Louis, MO), 140 mM NaCl, 2 mM CaCl2, and 1 mM MgCl2, and incubated 2 hours at room temperature with 30 μg polyclonal rabbit anti-HbSR immunoglobulin (IgG)1 coupled to cyanogen bromide–activated sepharose (Pharmacia). The beads were washed 6 times in phosphate-buffered saline (PBS), and bound protein was released by incubation in a sodium dodecyl sulfate (SDS)–Tris sample buffer for 4% to 16% SDS–polyacrylamide gel electrophoris. HbSR protein was then detected by nonreducing immunoblotting with the use of monoclonal anti-CD163 antibody (GHI/61) (PharMingen, Franklin Lakes, NJ) as primary antibody (2 μg/mL). Deglycosylation of purified HbSR, recombinant sHbSR, and plasma sHbSR was carried out with the use of PNGase F (Boehringer, Mannheim, Germany).
Determination of the concentration of sHbSR in plasma
Polyclonal rabbit anti-HbSR IgG (0.004 g/L [4 mg/L]) was coated in microtiter wells. After being washed, 100 μL sample (diluted 1:50 in PBS with albumin, pH 7.2) was added and incubated for 1 hour. The wells were washed, and 100 μL monoclonal anti-CD163 antibody (GHI/61, 2 μg/mL) was added and incubated for 1 hour. After being washed, 100 μL peroxidase-labeled antibody (goat antimouse immunoglobulins, DAKO P447 [Carpinteria, CA], diluted 1:4000) was added and incubated for 1 hour. The wells were washed, and 100 μL orthophenyldiamine/H2O2 substrate solution was added. After 15 minutes, 50 μL of 1 M H2SO4was added, and the plates were read at 492/620 nm. Control samples and standards of purified HbSR were coanalyzed in each run.
Determination of haptoglobin phenotypes
The haptoglobin phenotypes (1-1, 2-1, or 2-2) were determined by nonreducing immunoblotting of 12.5 nL serum or plasma with the use of a polyclonal rabbit antihaptoglobin antibody (DAKO) as primary antibody.
Results and discussion
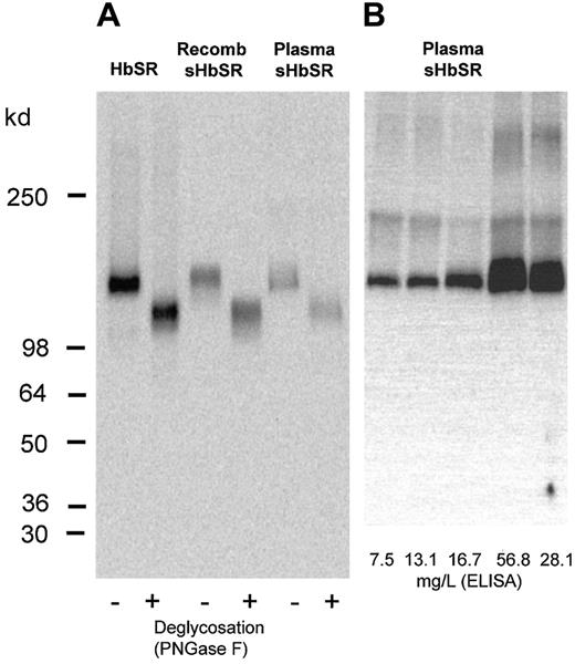
Figure 1 shows the identification of a soluble form of HbSR by immunoprecipitation of plasma with polyclonal anti-HbSR-IgG-sepharose and subsequent detection by immunoblotting. A single band with an apparent molecular weight close to that of the full-length membrane form of HbSR was detected. No soluble forms of HbSR with lower molecular weights were detected. The solubility and the size of the protein suggest that this protein constitutes the extracellular HbSR domain consisting of 9 SRCR protein modules. Accordingly, the soluble deglycosylated HbSR protein displays electrophoretic mobility similar to that of deglycosylated recombinant soluble HbSR consisting of SRCR modules 1 through 9.
Identification of sHbSR in plasma.
Immunoblotting with the monoclonal GHI/61 antibody of purified membrane-bound HbSR, recombinant sHbSR (extracellular domain expressed in CHO cells), and sHbSR immunoprecipitated (with polyclonal anti-HbSR IgG) from plasma. Because of hyperglycosylation of the sHbSR expressed in CHO cells, the electrophoretic mobility was also compared after deglycosation with PNGase F. (B) Immunoblotting with the monoclonal GHI/61 antibody of sHbSR immunoprecipitated from different plasma samples with different levels of sHbSR as measured by the sandwich enzyme-linked immunosorbent assay (ELISA). Enhanced chemiluminescence was used as the detection system.
Identification of sHbSR in plasma.
Immunoblotting with the monoclonal GHI/61 antibody of purified membrane-bound HbSR, recombinant sHbSR (extracellular domain expressed in CHO cells), and sHbSR immunoprecipitated (with polyclonal anti-HbSR IgG) from plasma. Because of hyperglycosylation of the sHbSR expressed in CHO cells, the electrophoretic mobility was also compared after deglycosation with PNGase F. (B) Immunoblotting with the monoclonal GHI/61 antibody of sHbSR immunoprecipitated from different plasma samples with different levels of sHbSR as measured by the sandwich enzyme-linked immunosorbent assay (ELISA). Enhanced chemiluminescence was used as the detection system.
The anti-HbSR polyclonal antibody used for immunoprecitation and the monoclonal antibody used for immunodetection were then applied for antigen-immobilization and detection in a sandwich ELISA for measuring sHbSR (with purified HbSR used as a standard) in plasma. The specificity of the assay measuring increased levels of sHbSR was validated by immunoprecipitation/immunoblotting of plasma from hematological patients (see below) with various levels of HbSR (Figure1B). The median concentration of sHbSR in 130 blood donors was measured to 1.87 mg/L (range, 0.73-4.69 mg/L), yielding a reference interval of 0.89 to 3.95 mg/L (Figure 2A). This high level is comparable to that of soluble transferrin receptor13 and is several fold higher than that of soluble CD5, which is another member of the SRCR subfamily reported to be present in plasma.14 The concentration of sHbSR was not related to the haptoglobin phenotype: the median level was 1.8 mg/L in persons with the 1-1 phenotype (n = 9) and 1.9 mg/L in persons with the multimeric 2-1 (n = 27) and 2-2 phenotype (n = 16).
Determination of sHbSR in plasma of hematological patients.
(A) Determination of sHbSR in plasma of hematological patients by sandwich ELISA with polyclonal anti-HbSR used as capture-antibody and with monoclonal anti-CD163 antibody (GHI/61) used as detector antibody. Concentration of sHbSR in controls (CTRL) (n = 130) and hematological patients (n = 140) with various diagnoses. LYM indicates lymphoma; MM, myeloma; LL, lymphatic leukemia; ML, myelomonocytic leukemia; AN, anemia from various causes (hemolytic anemia, aplastic anemia, iron-deficiency anemia, vitamin B12–deficiency anemia, sickle cell anemia, and thalassemia); MISC, miscellaneous hematological diagnosis (malignant histiocytosis, myelodysplasia, lymphocytosis, essential thrombocytosis, polycytemia, amyloidosis). The right column (INF) shows the sHbSR values in the hematological patients with infections (pneumonia/sepsis). Solid lines indicate 2.5 and 97.5 percentiles of the log-Gauss–transformed distribution of the sHbSR values in blood donors. (B) Patient with newly diagnosed AML type M4 and in chemotherapy. The patient developed an infection on day 14. Solid line indicates 97.5 percentile of blood donors.
Determination of sHbSR in plasma of hematological patients.
(A) Determination of sHbSR in plasma of hematological patients by sandwich ELISA with polyclonal anti-HbSR used as capture-antibody and with monoclonal anti-CD163 antibody (GHI/61) used as detector antibody. Concentration of sHbSR in controls (CTRL) (n = 130) and hematological patients (n = 140) with various diagnoses. LYM indicates lymphoma; MM, myeloma; LL, lymphatic leukemia; ML, myelomonocytic leukemia; AN, anemia from various causes (hemolytic anemia, aplastic anemia, iron-deficiency anemia, vitamin B12–deficiency anemia, sickle cell anemia, and thalassemia); MISC, miscellaneous hematological diagnosis (malignant histiocytosis, myelodysplasia, lymphocytosis, essential thrombocytosis, polycytemia, amyloidosis). The right column (INF) shows the sHbSR values in the hematological patients with infections (pneumonia/sepsis). Solid lines indicate 2.5 and 97.5 percentiles of the log-Gauss–transformed distribution of the sHbSR values in blood donors. (B) Patient with newly diagnosed AML type M4 and in chemotherapy. The patient developed an infection on day 14. Solid line indicates 97.5 percentile of blood donors.
To evaluate whether the concentration of sHbSR might be affected in conditions with increased leukocyte stimulation and proliferation, we screened 140 patients admitted to a hematological department. Several of the patients in this group had sHbSR levels strikingly above the range measured in healthy blood donors (Figure 2A). Highest levels of sHbSR were detected in patients with myelomonocytic leukemia (mean, 9.8 mg/L) (Figure 2A), especially among those with newly diagnosed nontreated disease or infection. One patient with newly diagnosed acute monocytic leukemia (French-American-British M5b, expressing CD13, CD14, CD33, CD38, and HLADR) had an sHbSR concentration of 67.3 mg/L. A prospective analysis of the sHbSR level in 2 newly diagnosed AML M4 and M5 patients starting chemotherapy showed a parallel decrease in the high leukocyte count and sHbSR concentration (Figure 2B shows the course of the M4 patient). Interestingly, the sHbSR level increased again shortly after an infection was diagnosed. Overall, there was a positive correlation between total leukocyte counts and sHbSR (r2 = 0.12; P < .0001; n = 129), and between monocyte counts and sHbSR (r2 = 0.10;P = .0003; n = 122).
Some of the patients with lymphoma, lymphatic leukemia, and myelomatosis also had increased concentration of sHbSR. One patient with lymphoma and a high sHbSR level (23.2 mg/L) had a fatal sepsis. Two patients with myelomatosis and a high sHbSR concentration (8.5 and 6.4 mg/L) also had an infection. As seen in the right column of Figure2A, the majority of hematological patients with infections had elevated levels of sHbSR. This may suggest that the high sHbSR level in some hematological patients is due to the infection rather than the primary disease. A significant correlation with plasma-C-reactive protein (P-CRP) was not observed (r2 = 0.03;P = .11; n = 88), but it seemed that patients with increased levels of sHbSR represented a fraction of the patients with increased levels of P-CRP (not shown). Most patients with anemia and other nonmalignant diseases had sHbSR levels within the reference range (Figure 2A). Although one patient with intravascular hemolysis (due to artificial heart valves) had a high level of sHbSR (11.3 mg/L), no correlation between sHbSR and biochemical parameters of hemolysis (plasma-haptoglobin, blood reticulocyte counts, or Coombs test) was registered.
In conclusion, sHbSR represents a novel, abundant natural protein in human plasma in accordance with a physiological shedding of HbSR. Highly increased levels of sHbSR are seen in patients with myelomonocytic leukemias and infections. This suggests that the plasma level of sHbSR reflects the total pool of membrane-bound HbSR, which may be increased in case of proliferation of cells of myelomonocytic origin or in case of upregulation of HbSR expression by acute phase mediators. Prospective studies of various patient groups have now been initiated to further evaluate sHbSR as a diagnostic parameter in hematological and inflammatory diseases.
Our thanks to Kirsten Hald and Kirsten Lassen for excellent technical assistance.
Supported by Aarhus University Research Foundation, The Novo Nordisk Foundation, and the Danish Medical Research Council.
S.K.M. and J.H.G. have declared a financial interest in ProteoPharmaAps, whose product was studied in the present work.
The publication costs of this article were defrayed in part by page charge payment. Therefore, and solely to indicate this fact, this article is hereby marked “advertisement” in accordance with 18 U.S.C. section 1734.
References
Author notes
Holger J. Møller, Department of Clinical Biochemistry, Aarhus University Hospital (Amtssygehuset), Tage Hansens Gade 2, DK-8000, Århus C, Denmark; e-mail: holger@aas.auh.dk; or Søren K. Moestrup, Department of Medical Biochemistry, University of Aarhus, 8000 Aarhus C, Denmark; e-mail: skm@biobase.dk.


This feature is available to Subscribers Only
Sign In or Create an Account Close Modal