Key Points
C/EBPα directly represses the leukemia maintenance program; however, the pattern of repressed genes is specific for each type of AML.
Overexpression of C/EBPα does not globally displace these proteins from their binding sites, but overrides their repressive activity.
Abstract
Acute myeloid leukemia (AML) is a heterogeneous disease caused by recurrent mutations in the transcription regulatory machinery, resulting in abnormal growth and a block in differentiation. One type of recurrent mutations affects RUNX1, which is subject to mutations and translocations, the latter giving rise to fusion proteins with aberrant transcriptional activities. We recently compared the mechanism by which the products of the t(8;21) and the t(3;21) translocation RUNX1-ETO and RUNX1-EVI1 reprogram the epigenome. We demonstrated that a main component of the block in differentiation in both types of AML is direct repression of the gene encoding the myeloid regulator C/EBPα by both fusion proteins. Here, we examined at the global level whether C/EBPα is able to reverse aberrant chromatin programming in t(8;21) and t(3;21) AML. C/EBPα overexpression does not change oncoprotein expression or globally displace these proteins from their binding sites. Instead, it upregulates a core set of common target genes important for myeloid differentiation and represses genes regulating leukemia maintenance. This study, therefore, identifies common CEBPA-regulated pathways as targets for therapeutic intervention.
Introduction
The RUNX1 transcription factor is frequently mutated in acute myeloid leukemia (AML).1 Translocations of its gene result in the production of core-binding factor (CBF) fusion proteins. One fusion partner is RUNX1T1 (ETO), which is generated by the t(8;21) translocation2 and is found in ∼12% of younger patients with AML.3 Another fusion partner is MECOM (EVI1) in cells with the t(3;21) translocation.4,5 The fusion partner in each translocation has different roles in leukemogenesis. Evi1 is an essential regulator of self-renewal in hematopoietic stem cells.6 Its overexpression is a common finding in AML patients and is an independent poor prognostic factor on multivariate analysis.7 In contrast, knockout of Mtg8 (ETO) in mice does not result in hematopoietic defects.8
We recently demonstrated that despite carrying the same DNA-binding domain (Figure 1), the expression of each fusion protein drives the formation of a unique gene regulatory network,9 with both oncoproteins binding to different genomic sites. RUNX1-EVI1 drives a more stem cell–like transcriptional network than RUNX1-ETO, explaining the difference in prognoses of patients with each form of AML.3,10 Both forms of AML are dependent on the continued presence of their fusion proteins because their depletion by small interfering RNA (siRNA) results in the initiation of a myeloid differentiation process that is dependent on transcription factor C/EBPα.9,11-14 Blocking C/EBPα activity abrogates the differentiation response triggered after depletion of either fusion protein.9,15 After knockdown of either RUNX1 fusion protein, C/EBPα binds to thousands of new genomic sites, increasing chromatin accessibility and recruiting other transcription factor partners, such as RUNX1.9,15 This requirement for C/EBPα to activate a myeloid differentiation response reflects the results of previous knockout models showing that this transcription factor is required for hematopoietic cells to transit to granulocyte-monocyte precursors (GMPs)16 and that in its absence, neutrophil development fails.17
Response to knockdown of RUNX1-EVI-1 and RUNX1-ETO converges on a C/EBPα-driven differentiation program. (A) Structure of RUNX1-EVI1 and RUNX1-ETO. NHR, nervy homology region; RD, proline-rich repressive domain; RHD, Runt homology domain; SET, Su(var)3-9 and enhancer of zeste and trithorax; ZF, zinc finger domain. (B) Hierarchical clustering of GO terms for upregulated or downregulated genes (1.5-fold difference) after either RUNX1-EVI1 or RUNX1-ETO knockdown compared with control siRNA. Expression after treatment was measured after 10 days in SKH-1 cells or 4 days in Kasumi-1 cells. The blue box identifies GO terms commonly upregulated after knockdown of both RUNX1-ETO and RUNX1-EVI1. (C) Selected examples of upregulated or downregulated genes.
Response to knockdown of RUNX1-EVI-1 and RUNX1-ETO converges on a C/EBPα-driven differentiation program. (A) Structure of RUNX1-EVI1 and RUNX1-ETO. NHR, nervy homology region; RD, proline-rich repressive domain; RHD, Runt homology domain; SET, Su(var)3-9 and enhancer of zeste and trithorax; ZF, zinc finger domain. (B) Hierarchical clustering of GO terms for upregulated or downregulated genes (1.5-fold difference) after either RUNX1-EVI1 or RUNX1-ETO knockdown compared with control siRNA. Expression after treatment was measured after 10 days in SKH-1 cells or 4 days in Kasumi-1 cells. The blue box identifies GO terms commonly upregulated after knockdown of both RUNX1-ETO and RUNX1-EVI1. (C) Selected examples of upregulated or downregulated genes.
Others have previously shown that C/EBPα overexpression is sufficient to trans-differentiate lymphocytes into myeloid cells18-20 and is able to initiate myeloid differentiation in RUNX1-ETO–expressing cells.21 Similarly, simultaneous expression of C/EBPα rescued the RUNX1-EVI1–mediated block of a differentiation response in a model cell line.22 Therefore, overexpression of C/EBPα could be a versatile treatment approach in the management of AML. However, the global mechanism by which C/EBPα drives this differentiation response is not known. It is unclear which genes are targeted by C/EBPα and how binding impacts on fusion protein binding. Most importantly, it is not known whether C/EBPα targets a similar set of genes driving myeloid differentiation in both types of AML. Understanding the mechanism by which C/EBPα acts is critical in determining which forms of AML may benefit from this treatment. In this study, we used t(3;21) and t(8;21) cell lines as a model to address these questions. We expressed an inducible version of C/EBPα20 and subsequently characterized how overexpression reprogrammed gene expression and transcription factor occupancy. We show that C/EBPα overexpression does not cause the removal of the fusion proteins from their binding sites, but activates a core of genes common to both types of AML and overrides the block in differentiation, highlighting similar targets for therapeutic intervention.
Materials and methods
Detailed methods can be found in supplemental Materials and methods.
Cell culture
Cells were maintained in a humidified incubator at 37°C with 5% CO2. t(3;21) SKH-1 cells were cultured in RPMI 1640 medium with 10% fetal calf serum (FCS). t(8;21) Kasumi-1 cells were cultured in RPMI 1640 with 15% FCS. HEK293T cells were cultured in Dulbecco’s modified Eagle medium (DMEM) with 10% FCS.
Western blotting, RNA extraction, complementary DNA synthesis, and reverse transcription polymerase chain reaction
RNA was isolated using Trizol (Life Technologies) and treated with Ambion Turbo DNaseI (Thermos Fisher Scientific). The RNA solution was then purified using a Nucleospin RNA Clean-up column (Macherey-Nagel). The quality of RNA was assessed using a Total RNA PICO Bioanalyzer chip (Agilent). Western blotting, complementary DNA synthesis, and quantitative reverse transcription polymerase chain reaction (RT-qPCR) was performed as described previously.11 Antibodies and primers are listed in supplemental Materials.
RNA sequencing
RNA sequencing (RNA-seq) libraries were prepared with a Total RNA Ribo-zero library preparation kit (with ribosomal RNA depletion; Illumina) according to the manufacturer’s instructions with some modifications (supplemental Materials).
Flow cytometry and apoptosis assay
Flow cytometry and apoptosis assays were performed as previously described.9 The antibodies used for flow cytometry are listed in the supplemental Table 1.5.
Transfection of HEK293T cells for C/EBPα-ER virus production
C/EBPα-estrogen receptor (ER) plasmid was a gift of Thomas Graf (Barcelona, Spain). The following plasmids were mixed: backbone vector containing the transgene (36 μg), Tat (1.2 μg), Gag/Pol (30 μg), and Env (9 μg; gift from James Mulloy, Cincinnati, OH). For each 10-cm2 dish, 1.5 mL of OptiMEM serum-free media was mixed with 75 μL of TransIT-293 (Mirius) and incubated at room temperature for 15 minutes. The TransIT-293–DNA mixture was added dropwise to the HEK293T cell plate. Viral supernatant was collected after 48 hours and subsequently every 12 hours for 36 hours. Viral supernatant was concentrated using a Centricon Plus-70 100-kDa filter (Millipore) according to manufacturer’s instructions.
Retroviral transduction with RetroNectin
Non–tissue culture plates were incubated with 2 μg/mL RetroNectin (Takara) solution in phosphate-buffered saline. Concentrated virus was coated onto the wells by centrifugation before Kasumi-1 or SKH1 cells were added with polybrene at 8 μg/mL. The plate was left overnight at 37°C, 5% CO2 in a humidified incubator. Transduced SKH1 cells were isolated by fluorescence-activated cell sorting using GFP labeling.
Cross-linking, ChIP, and library preparation for high-throughput sequencing
Cross-linking, chromatin immunoprecipitation (ChIP), and library preparation for high-throughput sequencing was performed as previously described.9,15,23 Full details with primer and antibody details can be found in supplemental Materials.
Data analysis
The full details of the bioinformatics analysis can be found in the supplemental Materials and methods (section 1.3).
Results
Knockdown of RUNX1-ETO and RUNX1-EVI1 changes expression of a core set of genes, including CEBPA
The t(3;21) and t(8;21) translocations result in the retention of the RUNT homology DNA-binding domain of RUNX1 (Figure 1A), but both fusion proteins differentially reprogram the epigenetic landscape through different binding partners and genomic targets.9 Here, we sought to identify biological processes regulated by both proteins, because they may represent common therapeutic targets for different types of CBF AML. We therefore compared the gene expression changes on siRNA-mediated knockdown of either RUNX1-ETO11 or RUNX1-EVI19 by RNA-seq and performed a hierarchical clustering of the Gene Ontology (GO) terms to identify processes disrupted by both oncogenes (Figure 1B). In these experiments, we used the t(3;21) cell line SKH1 expressing RUNX1-EVI14 and the t(8;21) cell line Kasumi-1 expressing RUNX1-ETO.24 Reflective of the differing cellular origins of both cell types, few GO terms were commonly up- or downregulated in each type of AML. However, genes responding to fusion protein depletion highlighted commonly deregulated pathways in both AML types. Common downregulated genes encoded stem cell regulators, such as ERG and GATA2, whereas upregulated genes included CEBPA and the myeloid growth factor receptor genes CSF3R and CSF1R (Figure 1C; supplemental Table 2).
A total of 136 genes were differentially expressed in t(3;21) SKH-1 and t(8;21) Kasumi-1 cells after knockdown of their respective CBF fusion protein (supplemental Table 2). We next identified whether overexpression of such upregulated genes could reproduce the system-wide effects of fusion protein depletion. Here, we concentrated on CEBPA, because previous work showed that this gene was directly repressed by each fusion protein in both types of AML, and the initiation of differentiation after their depletion was dependent on C/EBPα, which occupied a large number of novel binding sites after knockdown.9,15 Reanalysis of data from DNAse-sequencing experiments, after knockdown of either fusion protein identifying the changes in chromatin accessibility,9,11,15 in both cell types showed that CEBP motifs were uniquely found in newly formed DNaseI hypersensitive sites (supplemental Figure 1A-B). Fusion protein genes and CEBPA act in the same pathway, as shown by the reanalysis of publicly available data from cohorts of independently treated patients with AML showing that: (1) CEBPA is commonly downregulated in CBF AML as compared with AML with normal karyotype (supplemental Figure 1C); and (2) mutations in CEBPA and CBF translocations in AML were mutually exclusive (supplemental Figure 1D).
Overexpression of C/EBPα leads to dramatic changes in gene expression and initiation of differentiation
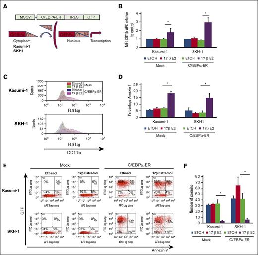
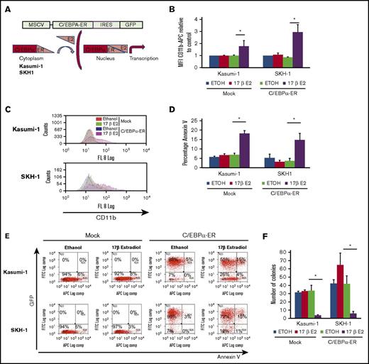
We next used an inducible version of CEBPA (C/EBPα-ER) to examine whether its upregulation was sufficient to replicate the dramatic changes in gene expression patterns and binding profiles observed after knockdown of RUNX1-EVI1 or RUNX1-ETO. The C/EBPα-ER retrovirus encodes a C/EBPα protein fused to an ER ligand-binding domain (Figure 2A), which translocates into the nucleus on binding to 17β-estradiol (E2).25 We stably expressed this construct in both the SKH1 and Kasumi-1 cell lines (supplemental Figure 2A) and treated the cells either with vehicle (ethanol [EtOH]) or E2. Activation of C/EBPα-ER upregulated cell surface expression of the myeloid marker CD11b in both Kasumi-1 and SKH1 cells (Figure 2B). We and others previously have shown that knockdown of RUNX1-ETO14 and RUNX1-EVI19 downregulates the stem and progenitor cell marker CD34. Induction of C/EBPα-ER activity led to significant decreases in CD34 in SKH1 cells (supplemental Figure 2B-C). In Kasumi-1, the messenger RNA expression of CD34 decreased (supplemental Table 3), at this time point the protein was still seen on the surface. However, CD117 surface expression characterizing primitive hematopoietic cells capable of self-renewal26 was downregulated (supplemental Figure 2E). We and others have previously shown that after knockdown of RUNX1-ETO or RUNX1-EVI1, cells enter apoptosis.9,14 The same was seen after C/EBPα-ER induction in these cell lines, which inhibited growth as well (Figure 2D-E; supplemental Figure 2F). Finally, colony-forming ability was reduced after C/EBPα-ER induction in terms of both total numbers (Figure 2F) and size (supplemental Figure 2G).
C/EBPα overexpression drives cells into differentiation and apoptosis. (A) C/EBPα-ER fusion translocates to the nucleus when bound to 17β-estradiol (E2). (B-C) Flow cytometry of mock or C/EBPα-ER–transduced Kasumi-1 or SKH-1 cells treated with either ethanol (ETOH) or 10 nM-1μM E2 for 2-4 days. (B) Mean fluorescence intensity (MFI) (median) of CD11b and annexin V conjugated to allophycocyanin (APC) staining relative to ethanol treated, mock transduced Kasumi-1 or SKH-1. The graph shows the mean of 3 independent experiments with standard error of the mean (SEM). *P < .05, paired Student t test. (C) Representative overlay of flow cytometry histograms of cells stained with CD11b-APC. (D-E) Annexin-V APC in mock-treated or C/EBPα-ER–transduced Kasumi-1 or SKH-1 cells treated with either vehicle (ethanol) or 10 nM E2 followed by flow cytometry (2 days in SKH-1, 4 days in Kasumi-1). (D) Percentage of Annexin-V–positive cells. Mean and SEM of 3 independent experiments. *P < .05 by paired Student t test. (E) Representative plots are shown. C/EBPα-ER–transduced cells express GFP. (F) Kasumi-1 or SKH-1 cells were either mock treated or transduced with C/EBPα-ER virus. Induced and uninduced transduced cells were treated (2 days in SKH-1, 4 days in Kasumi-1) before plating on methylcellulose culture. Colonies of >20 cells were counted between 7 and 11 days after plating. The graph shows the mean of at least 4 experiments, with error bars representing SEM. *P < .05 by paired Student t test.
C/EBPα overexpression drives cells into differentiation and apoptosis. (A) C/EBPα-ER fusion translocates to the nucleus when bound to 17β-estradiol (E2). (B-C) Flow cytometry of mock or C/EBPα-ER–transduced Kasumi-1 or SKH-1 cells treated with either ethanol (ETOH) or 10 nM-1μM E2 for 2-4 days. (B) Mean fluorescence intensity (MFI) (median) of CD11b and annexin V conjugated to allophycocyanin (APC) staining relative to ethanol treated, mock transduced Kasumi-1 or SKH-1. The graph shows the mean of 3 independent experiments with standard error of the mean (SEM). *P < .05, paired Student t test. (C) Representative overlay of flow cytometry histograms of cells stained with CD11b-APC. (D-E) Annexin-V APC in mock-treated or C/EBPα-ER–transduced Kasumi-1 or SKH-1 cells treated with either vehicle (ethanol) or 10 nM E2 followed by flow cytometry (2 days in SKH-1, 4 days in Kasumi-1). (D) Percentage of Annexin-V–positive cells. Mean and SEM of 3 independent experiments. *P < .05 by paired Student t test. (E) Representative plots are shown. C/EBPα-ER–transduced cells express GFP. (F) Kasumi-1 or SKH-1 cells were either mock treated or transduced with C/EBPα-ER virus. Induced and uninduced transduced cells were treated (2 days in SKH-1, 4 days in Kasumi-1) before plating on methylcellulose culture. Colonies of >20 cells were counted between 7 and 11 days after plating. The graph shows the mean of at least 4 experiments, with error bars representing SEM. *P < .05 by paired Student t test.
Given the similarities in cellular response between the fusion protein knockdown and the induction of C/EBPα-ER activity in both cell lines, we examined the genomic response to C/EBPα-ER overexpression at the global level by performing RNA-seq in either mock-treated Kasumi-1/SKH1 cells or C/EBPα-ER–transduced Kasumi-1/SKH1 cells after vehicle (EtOH) or E2 induction in all cell types (Figure 3A; supplemental Figure 3A). These experiments showed that all control cells displayed a similar gene expression pattern which changed dramatically after C/EBPα-ER induction (Figure 3A). We compared this data with changes in gene expression patterns after RUNX1-ETO and RUNX1-EVI1 depletion9,15 using gene set enrichment analysis (GSEA). Figure 3B shows that the pattern of up- and downregulated genes after C/EBPα-ER induction and fusion protein depletion were highly similar. In addition, we found a distinct overlap between genes changing expression after C/EBPα-ER induction and fusion protein knockdown in both cell types (Figure 3C; supplemental Table 3). The overlap in Kyoto Encyclopedia of Genes and Genomes (KEGG) and GO terms was small and was mostly restricted to upregulated genes (supplemental Figure 3B-E).
C/EBPα induction and CBF fusion protein knockdown induce similar changes in the transcriptional program. (A) Hierarchical clustering of RNA-seq data by log2 fold FPKM (fragments per kilobase of transcripts per million mapped reads) values of genes differentially expressed (twofold change) after C/EBPα induction by E2 or vehicle as indicated (4 days for Kasumi-1 and 2 days for SKH-1). (B) Comparison of up- and downregulated genes after C/EBPα-ER induction in Kasumi-1 and SKH1 cells with genes changing expression after RUNX1-ETO and RUNX1-EVI1 knockdown (KD) or control siRNA treatment (MM). (C) Number of genes changing expression at least 1.5-fold after C/EBPα induction in Kasumi-1 and SKH1 cells as compared with RUNX-EVI1 or RUNX1-ETO knockdown. The P values in panel C were calculated with Fisher’s exact test using the total set of genes expressed in each condition as the background.
C/EBPα induction and CBF fusion protein knockdown induce similar changes in the transcriptional program. (A) Hierarchical clustering of RNA-seq data by log2 fold FPKM (fragments per kilobase of transcripts per million mapped reads) values of genes differentially expressed (twofold change) after C/EBPα induction by E2 or vehicle as indicated (4 days for Kasumi-1 and 2 days for SKH-1). (B) Comparison of up- and downregulated genes after C/EBPα-ER induction in Kasumi-1 and SKH1 cells with genes changing expression after RUNX1-ETO and RUNX1-EVI1 knockdown (KD) or control siRNA treatment (MM). (C) Number of genes changing expression at least 1.5-fold after C/EBPα induction in Kasumi-1 and SKH1 cells as compared with RUNX-EVI1 or RUNX1-ETO knockdown. The P values in panel C were calculated with Fisher’s exact test using the total set of genes expressed in each condition as the background.
C/EBPα overexpression and fusion protein depletion reshape the C/EBPα-binding landscape in both types of AML
To identify the shared targets of C/EBPα in both cell types, we determined its binding sites using ChIP assays before and after E2 induction using an antibody recognizing both the endogenous and induced version of C/EBPα. In both cell lines, induction resulted in C/EBPα losing as well as gaining new binding sites, indicating that the cells entered an altered differentiation state (Figure 4A-D). C/EBPα bound predominantly to sites distal to the promoter, and this general pattern was not affected by induction of C/EBPα-ER (supplemental Figure 4A).
Comparison of C/EBPα binding after induction and after RUNX1-ETO or RUNX1-EVI1 knockdown. (A,C) ChIP-seq of C/EBPα after E2 induction in (A) C/EBPα-ER Kasumi-1 or (C) C/EBPα-ER SKH1 cells. Peaks are ranked in order of decreasing relative DNA sequence tag count for peaks in control cells. Aligned to these coordinates are the indicated motifs, ChIP-seq sequences for either RUNX1-ETO (in Kasumi-1) or RUNX1-EVI1 (in SKH1), and C/EBPα ChIP-seq after either control siRNA or CBF fusion knockdown in the respective cell lines. Overlap of C/EBPα ChIP-seq peaks in (B) C/EBPα-ER Kasumi-1 or (D) C/EBPα-ER SKH1 cells after E2 and ethanol treatment.
Comparison of C/EBPα binding after induction and after RUNX1-ETO or RUNX1-EVI1 knockdown. (A,C) ChIP-seq of C/EBPα after E2 induction in (A) C/EBPα-ER Kasumi-1 or (C) C/EBPα-ER SKH1 cells. Peaks are ranked in order of decreasing relative DNA sequence tag count for peaks in control cells. Aligned to these coordinates are the indicated motifs, ChIP-seq sequences for either RUNX1-ETO (in Kasumi-1) or RUNX1-EVI1 (in SKH1), and C/EBPα ChIP-seq after either control siRNA or CBF fusion knockdown in the respective cell lines. Overlap of C/EBPα ChIP-seq peaks in (B) C/EBPα-ER Kasumi-1 or (D) C/EBPα-ER SKH1 cells after E2 and ethanol treatment.
For both cell types, we aligned the ChIP sequences with C/EBP-, ETS-, AP-1–, GATA-, and RUNX-binding motifs, because the motifs bound by these factor families determine the transcriptional networks regulating t(8;21) and t(3;21) cells9 (Figure 4A,C, middle). In both cell types, C/EBP motifs were evenly distributed in all C/EBPα-binding sites regardless of cell type or experimental condition. However, we also identified cell line–specific motif patterns in C/EBPα-binding sites: a predominance of RUNX and ETS motifs in Kasumi-1, and in SKH1, novel C/EBPα-binding was characterized by an absence of underlying GATA motifs. This is in keeping with our previous finding of the importance of GATA2 in maintaining t(3;21) but the t(8;21) leukemia.9 The comparison of total C/EBPα-binding sites after induction in t(8;21) and t(3;21) cells identified a considerable overlap but also multiple specific sites, indicating that the 2 cell types entered a common differentiation program but were not identical (supplemental Figure 4B-C).
We also examined the relationship between induced C/EBPα binding and C/EBPα binding after fusion protein knockdown. As shown in Figure 4A,C, novel C/EBPα-bound sites after knockdown of RUNX1-ETO or RUNX1-EVI1 and induced C/EBPα-bound sites overlap considerably. An example (CXCR4) is shown in supplemental Figure 4D. We defined C/EBPα target genes as those harboring a C/EBPα ChIP sequencing (ChIP-seq) peak within 100 kb of their promoter. C/EBPα induction primarily upregulated its target genes in both Kasumi-1 and SKH1 cells (Figure 5A-B), which is in keeping with previously conducted reporter gene assays.27,28 In contrast, C/EBPα induction of RUNX1-ETO– or RUNX1-EVI1–only targets led to both up- and downregulation of gene expression. However, genes bound by both C/EBPα and the CBF fusion protein were primarily upregulated, suggesting that C/EBPα-driven gene activation dominated the interaction between the transcription factors. This pattern of gene regulation was retained when we analyzed the genes that were differentially expressed after both C/EBPα overexpression and CBF fusion protein knockdown (supplemental Figure 5A-B; supplemental Table 4). The genes targeted by both C/EBPα and CBF fusion proteins represent a number of important pathways required for the function of terminally differentiated myeloid cells (Figures 5C-D and 6E; supplemental Table 5). Together with the similarity in phenotypic changes seen after both C/EBPα overexpression and CBF fusion protein knockdown, these results suggest that common target genes of fusion proteins and C/EBPα in both models are the primary driver of these changes.
C/EBPα induction drives similar pathways in both cell lines. (A-B) C/EBPα induction predominantly upregulates target genes in both Kasumi-1 and SKH1 cells. Table showing numbers of either (A) upregulated or (B) downregulated genes, which are bound by either RUNX1-ETO or RUNX1-EVI1, with and without C/EBPα. Bar graph showing this data as a percentage of differentially expressed genes. (C-D) Enriched KEGG pathways identified from genes differentially expressed after C/EBPα induction and bound by either C/EBPα, RUNX1-ETO, or RUNX1-EVI1. KEGG pathway from (C) upregulated genes and (D) downregulated genes.
C/EBPα induction drives similar pathways in both cell lines. (A-B) C/EBPα induction predominantly upregulates target genes in both Kasumi-1 and SKH1 cells. Table showing numbers of either (A) upregulated or (B) downregulated genes, which are bound by either RUNX1-ETO or RUNX1-EVI1, with and without C/EBPα. Bar graph showing this data as a percentage of differentially expressed genes. (C-D) Enriched KEGG pathways identified from genes differentially expressed after C/EBPα induction and bound by either C/EBPα, RUNX1-ETO, or RUNX1-EVI1. KEGG pathway from (C) upregulated genes and (D) downregulated genes.
C/EBPα overrides rather than displaces RUNX1-ETO or RUNX1-EVI1. (A-D) De novo RUNX1-ETO or RUNX1-EVI1 bound sites after E2 treatment are also bound by C/EBPα. Overlap of sites bound by either RUNX1-ETO (A) or RUNX1-EVI1 (C) after either ethanol or E2 treatment of cells. (B,D) ChIP-seq profiles of either RUNX1-ETO (B) or RUNX1-EVI1 (D) ranked from top to bottom in order of decreasing relative DNA sequence tag count for peaks identified after E2 and vehicle treatment. Aligned to the same coordinates are C/EBPα ChiP-seq tag counts in cells treated with either ethanol or E2. (E-F) GSEA of genes close to sites with altered RUNX1-ETO and RUNX1-EVI1 binding after C/EBPα induction in Kasumi1 and SKH1 cells. Comparison of gene expression profiles of these genes to HSC and monocyte expression patterns. (E) Increased binding of RUNX1-ETO and RUNX1-EVI1 after C/EBPα upregulation occurs at monocyte-associated genes and is associated with increased expression. (F) Decreased binding of RUNX1-ETO and RUNX1-EVI1 after C/EBPα upregulation occurs at HSC-associated genes, which are downregulated.
C/EBPα overrides rather than displaces RUNX1-ETO or RUNX1-EVI1. (A-D) De novo RUNX1-ETO or RUNX1-EVI1 bound sites after E2 treatment are also bound by C/EBPα. Overlap of sites bound by either RUNX1-ETO (A) or RUNX1-EVI1 (C) after either ethanol or E2 treatment of cells. (B,D) ChIP-seq profiles of either RUNX1-ETO (B) or RUNX1-EVI1 (D) ranked from top to bottom in order of decreasing relative DNA sequence tag count for peaks identified after E2 and vehicle treatment. Aligned to the same coordinates are C/EBPα ChiP-seq tag counts in cells treated with either ethanol or E2. (E-F) GSEA of genes close to sites with altered RUNX1-ETO and RUNX1-EVI1 binding after C/EBPα induction in Kasumi1 and SKH1 cells. Comparison of gene expression profiles of these genes to HSC and monocyte expression patterns. (E) Increased binding of RUNX1-ETO and RUNX1-EVI1 after C/EBPα upregulation occurs at monocyte-associated genes and is associated with increased expression. (F) Decreased binding of RUNX1-ETO and RUNX1-EVI1 after C/EBPα upregulation occurs at HSC-associated genes, which are downregulated.
Many of the pathways upregulated after the induction of C/EBPα were common to both cell lines and after both C/EBPα overexpression and CBF fusion protein knockdown (Figure 5C-D). The overlap between the 2 cell lines in terms of key downregulated pathways was smaller, suggesting that each type of AML uses different means to maintain its leukemic state. For example, MEIS1 was downregulated in SKH1 after either RUNX1-EVI1 knockdown or C/EBPα overexpression but not in Kasumi-1. An exception to this is the gene encoding the transcription factor MEF2C (supplemental Figure 5C). An example of a commonly upregulated gene is CSF3R, which was bound by both transcription factors in both cell lines (supplemental Figure 5D).
C/EBPα does not globally displace fusion proteins
The expression of both oncogenes was unaffected by the increase in C/EBPα activity (supplemental Figure 6A). Given the large overlap between C/EBPα and fusion protein binding, C/EBPα could drive cells into differentiation by either displacing fusion proteins from their binding site or by overriding their repressive action. To this end, we analyzed fusion protein binding in induced and uninduced C/EBPα-ER–transduced cells. In spite of the overlap between binding sites, the binding sequences of either RUNX1-ETO or RUNX1-EVI1 closely correlated irrespective of the presence of C/EBPα, whereas C/EBPα-bound sequences clustered differently in Kasumi-1 cells and to a lesser extent in SKH1 cells (supplemental Figure 6B). Under all 4 experimental conditions, both CBF fusion proteins mainly bound distal to the promoters (supplemental Figure 6C). C/EBPα induction did not lead to fusion protein displacement (Figure 6A-D). The reduction of RUNX1-EVI1 and RUNX1-ETO at specific sites did not show increased C/EBPα binding (Figure 6B). Instead, RUNX1-ETO and RUNX1-EVI1 moved to novel binding sites (Figure 6B,D; supplemental Figure 6D-E). We hypothesized that this shift was caused by the onset of myeloid differentiation and the activation of monocyte-specific cis-regulatory elements. To test this hypothesis, we compared the expression of these genes associated with such new sites with publicly available monocyte and hematopoietic stem cell (HSC) gene expression data using GSEA.29 Our data indeed show that increased RUNX1-ETO and RUNX1-EVI1 binding occurs close to monocyte-specific genes, which become upregulated. Conversely, after C/EBPα induction, RUNX1-ETO and RUNX1-EVI1 binding decreases at genes expressed in self-renewing HSCs, which become downregulated (Figure 6E-F).
Finally, we asked whether the same genes and pathways regulated by CEBPA overexpression in our cell lines were similar to those differentially regulated in patients with t(8;21) AML. We show that the same genes and pathways upregulated by CEBPA overexpression in Kasumi1 cells are repressed in 2 independent cohorts of patients with t(8;21) AML as compared with normal karyotype AML (Figure 7; supplemental Table 6). However, the pathways repressed by C/EBPα induction were not correlated with those highly expressed in patient samples (supplemental Figure 7). The likely reason for the latter finding is that many of these genes are RUNX1-ETO targets, and RUNX1-ETO is still present in such cells as compared with karyotypically normal AML and drives the expression of a different set of genes.
C/EBPα overexpression in Kasumi-1 cells upregulates pathways repressed in primary t(8;21) samples. (A-B) GSEA based on RNA-seq of Kasumi1 after overexpression of C/EBPα. Enrichment of genes that are upregulated in this process in comparison with genes that are repressed in primary t(8;21) as compared with normal karyotype AML samples in both the (A) Verhaak et al cohort52 and (B) The Cancer Genome Atlas (TCGA) cohort53 of patients with AML. (C-D) Model of the C/EBPα-mediated override of t(8;21) and t(3;21) AML transcriptional networks. (C) t(3;21) and t(8;21) AML are epigenetically different AMLs, but (D) overexpression of C/EBPα results in upregulation (blue lines) of myeloid differentiation genes, which also become bound by the fusion proteins, and repression (red lines) of select genes required for stem cell function.
C/EBPα overexpression in Kasumi-1 cells upregulates pathways repressed in primary t(8;21) samples. (A-B) GSEA based on RNA-seq of Kasumi1 after overexpression of C/EBPα. Enrichment of genes that are upregulated in this process in comparison with genes that are repressed in primary t(8;21) as compared with normal karyotype AML samples in both the (A) Verhaak et al cohort52 and (B) The Cancer Genome Atlas (TCGA) cohort53 of patients with AML. (C-D) Model of the C/EBPα-mediated override of t(8;21) and t(3;21) AML transcriptional networks. (C) t(3;21) and t(8;21) AML are epigenetically different AMLs, but (D) overexpression of C/EBPα results in upregulation (blue lines) of myeloid differentiation genes, which also become bound by the fusion proteins, and repression (red lines) of select genes required for stem cell function.
In summary, we show that C/EBPα overexpression is sufficient to phenocopy to a large extent the global genomic response after knockdown of either CBF fusion protein. Although both types of AML maintain their leukemic phenotype by using different self-renewal pathways, C/EBPα is capable of downregulating both while simultaneously upregulating related pathways for differentiation and apoptosis. It performs these functions not by displacing or downregulating fusion protein expression, but by overriding their repressive activity (Figure 7).
Discussion
The genomic response to knockdown of CBF fusion proteins in t(3;21) and t(8;21) AML converges on a core transcriptional output governed by C/EBPα
Despite both t(8;21) and t(3;21) leukemia originating from translocations involving the RUNX1 gene, both types of AML have a different clinical outlook.3,10 This clinical heterogeneity is reflected in the unique gene regulatory network that drives each type of AML, resulting in differing transcription factor dependencies.9 Although t(8;21) but not t(3;21) AML survival is dependent on the expression of the unaffected RUNX1 allele,30 t(3;21) but not t(8;21) AML is dependent on the expression of GATA2.9 However, the survival and block in differentiation for both types of AML is dependent on the continuous presence of their respective fusion proteins. In both cases, CEBPA is a direct target of fusion protein repression and is required for the differentiation response after their depletion.9,15 Here, we show that C/EBPα overexpression is sufficient to reprogram the epigenetic landscape of both types of AML, despite the continued presence of either CBF fusion protein. The initiation of myeloid differentiation and enhanced apoptosis seen after C/EBPα induction mimicked the phenotype seen after knockdown of either RUNX1-ETO or RUNX1-EVI1 (Figure 2). Moreover, in both types of AML, for upregulated genes, there was a large overlap in the target gene response between C/EBPα induction and fusion protein knockdown. Commonly upregulated genes included other members of the CEBP transcription factor family, including CEBPD and CEBPE. CEBPE is required for the terminal differentiation of neutrophils,31 whereas CEBPD is required for the full function of macrophages.32 The importance of CEBPA repression in maintaining the leukemogenic phenotype of t(8;21) AML is validated by the finding that C/EBPα induction in our experimental models activated pathways that were repressed in primary t(8;21) AML samples (Figure 7; supplemental Figure 7).
C/EBPα induction downregulates the leukemia maintenance program
There was little or no overlap in the gene expression pattern for downregulated genes, confirming that both types of AML maintain the leukemic phenotype via different gene regulatory networks. However, a significant proportion of C/EBPα target genes were repressed by the binding of C/EBPα after induction (Figure 5). C/EBPα therefore plays a vital role in deactivating the leukemia maintenance program. This repressive capacity of C/EBPα is an important homeostatic mechanism by which HSCs maintain quiescence. CEBPA knockout activates Mycn in HSCs and increases their proliferation; C/EBPα directly represses mycn in murine HSC.33 In addition, C/EBPα is capable of controlling cell cycle progression through interaction with E2F1.34 In vitro, C/EBPα directly represses E2F complex transactivation of target constructs.35
One gene included in the small group of C/EBPα target genes that were downregulated in both cell lines after either C/EBPα induction or fusion protein knockdown is the gene encoding the transcription factor MEF2C (supplemental Figure 5C). Consistent with this notion, expression of MEF2C and CEPBA is negatively correlated in patients with CML.36 Overexpression of MEF2C is a poor prognostic factor in pediatric AML,37 and it is highly expressed in immature pediatric T-cell acute lymphoblastic leukemia.38 Overexpression of MEF2C in GMPs results in increased self-renewal, and MEF2C expression is required for MLL-AF9 AML transformation of committed GMPs.39
C/EBPα overrides the activity of CBF fusion proteins without their displacement
Our study demonstrates that in the majority of genes, induced C/EBPα binding to fusion protein targets increases their expression (Figure 5), and this is an important finding in the context of the ability of the CBF fusion proteins to recruit transcriptional repressors. A corepressor complex interacts with RUNX1-ETO through the NHR domains40,41 and the ability of RUNX1-ETO to repress transcription has been shown to be dependent on its ability to associate with N-CoR,42 which recruits histone deacetylases.43 RUNX1-EVI1 binds CtBP,22 which is also a transcriptional corepressor.44 Our data point to a model whereby the balance between C/EBPα and fusion protein activity directly regulates target gene expression, with low levels of transcriptionally active C/EBPα unable to counteract repressive fusion protein activity (Figure 7). It has previously been shown that the C/EBPα N-terminal transactivation domain is responsible for the transcriptional activation capacity of C/EBPα45 through its interaction with the basal transcriptional machinery, such as TBP and TFIIB.46 This ability to assemble the core transcriptional complex may be the basis by which C/EBPα dominates the transcriptional output of target genes, even when bound simultaneously by the CBF fusion proteins. In addition, C/EBPα may exist in a concentration-dependent dynamic equilibrium with fusion proteins.
Fusion protein binding after C/EBPα induction was not static (Figure 6), which is reminiscent of our previous data showing that after RUNX1-EVI1 depletion, C/EBPα initiates the formation of new DNaseI hypersensitive sites and is required to recruit normal RUNX1 to these sites,9 possibly via interaction with SWI/SNF nucleosome remodeling complexes.47 The ability to corecruit other transcription factors may be the mechanism behind the observation that C/EBPα is required for the development of Hoxa9/Meis1 and MLL fusion protein–dependent AML.48,49 In keeping with this proposed mechanism, established AML no longer requires the presence of C/EBPα,50 suggesting that this transcription factor is required to provide a permissive environment for the binding of other factors.
Stratified medicine strategies51 are challenged by the genetic and clinical heterogeneity in AML. This study has shown that in 2 types of AML with fundamentally different gene regulatory networks, C/EBPα can override the activities of the fusion proteins driving the leukemic phenotype and reprogram the leukemic epigenome. Identifying such critical nodes may provide a means by which the complex genetic heterogeneity underlying the poor and disparate outcomes of patients with AML can be tackled.
The full-text version of this article contains a data supplement.
Acknowledgments
The authors thank the University of Birmingham next-generation sequencing facility for expert services.
This work was supported by a Kay Kendall Leukemia Fund Clinical Training Fellowship (J.L. and C.B.), Bloodwise program grant 15001 (P.S.C., P.K., S.A.A., A. Ptasinska, M.R.I., C.B. and P.N.C.), and a Cancer Research UK studentship grant (A. Pickin).
Authorship
Contribution: J.L. performed the experiments, analyzed the data, and wrote the paper; P.S.C., A. Pickin, A. Ptasinska, and M.R.I. performed the experiments and analyzed the data; P.K. and S.A.A. analyzed the data; P.N.C. supervised the work; and C.B. designed the experiments, supervised the work, and wrote the paper.
Conflict-of-interest disclosure: The authors declare no competing financial interests.
Correspondence: Constanze Bonifer, Institute for Cancer and Genomic Sciences, College of Medical and Dental Sciences, University of Birmingham, Vincent Dr, Birmingham B15 2TT, United Kingdom; e-mail: c.bonifer@bham.ac.uk; and Justin Loke, Institute for Cancer and Genomic Sciences, College of Medical and Dental Sciences, University of Birmingham, Vincent Dr, Birmingham B15 2TT, United Kingdom; e-mail: j.loke@bham.ac.uk.
References
Author notes
J.L. and P.S.C. contributed equally to this study.















