TO THE EDITOR:
Hematopoietic cell transplantation (HCT) serves to repopulate the recipient’s hematopoietic and immune system with donor-derived cells. Donor-derived macrophages reside in various tissues, including the liver, skin, lung, and brain. The brain is considered a hard-to-reach space, although donor cells with microglia-like appearance and function do engraft.1-3 Loeb et al recently published on human donor myeloid engraftment in the central nervous system (CNS) using fluorescence in situ hybridization to detect male donor cells (along with immunofluorescent staining for Iba1+ myeloid cells) in the brains of female recipients after HCT.4 They reported that myeloablative total body irradiation–based conditioning led to superior donor CNS engraftment than nonmyeloablative conditioning. Furthermore, recipients requiring 2 transplantations had the highest levels of CNS engraftment.4
In this study, we established a model of CNS engraftment as a platform to test HCT-related parameters, which could affect CNS engraftment, including extent and location of engraftment, donor chimerism in the CNS, intensity of preconditioning, and cell dose.
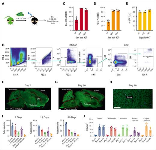
To understand the timing and location of early CNS engraftment, we used an adoptive transfer model with a ubiquitous green fluorescent protein (GFP)–expressing mouse serving as a donor of whole bone marrow, which was transplanted into lethally total body–irradiated recipients (Figure 1A), followed by analyses at various time points. As expected, repopulation of the peripheral blood and marrow was nearly complete by 4 weeks after transplantation (Figure 1B-E). Figure 1F-H shows a typical brain section and the brain regions that were quantified for donor-derived GFP+ cells. We found that most brain regions contained GFP+ cells, with the corpus callosum having the fewest cells early after HCT (Figure 1I). Because there are obvious size differences between brain regions, we normalized the data per unit area and found a very similar density of brain engrafted donor cells per unit area (Figure 1J). We also found that brain engraftment increased dramatically between 7 and 12 days after HCT, consistent with other published observations.5
Timing and location of donor cell engraftment in the brain. (A) Myeloablative transplantation schema. (B) Flow cytometry gating strategy for bone marrow cell populations. (C) Chimerism of GFP+ donor cells in recipient PBMC. (D-E) Chimerism of GFP+ donor cells in the recipient hematogenic cell populations. (F-H) Sagittal brain sections at 7 and 30 days after HCT. Red outlines define various brain regions. Engrafted GFP+ donor cells are demarcated by colored circles. Scale bars represent 500 μm in panels F and G, and 200 μm in panel H. (I) Enumeration of donor cells according to brain regions as the percentage of the total number for cells counted. (J) Enumeration of donor cells normalization to area of brain region counted. Shown are the mean ± standard deviation. BMMC, bone marrow mononuclear cells; CC, corpus collosum; FSC, forward scatter; LSK cells, Lin−SCA1+cKIT+ cells; PBMC, peripheral blood mononuclear cells; SSC, side scatter.
Timing and location of donor cell engraftment in the brain. (A) Myeloablative transplantation schema. (B) Flow cytometry gating strategy for bone marrow cell populations. (C) Chimerism of GFP+ donor cells in recipient PBMC. (D-E) Chimerism of GFP+ donor cells in the recipient hematogenic cell populations. (F-H) Sagittal brain sections at 7 and 30 days after HCT. Red outlines define various brain regions. Engrafted GFP+ donor cells are demarcated by colored circles. Scale bars represent 500 μm in panels F and G, and 200 μm in panel H. (I) Enumeration of donor cells according to brain regions as the percentage of the total number for cells counted. (J) Enumeration of donor cells normalization to area of brain region counted. Shown are the mean ± standard deviation. BMMC, bone marrow mononuclear cells; CC, corpus collosum; FSC, forward scatter; LSK cells, Lin−SCA1+cKIT+ cells; PBMC, peripheral blood mononuclear cells; SSC, side scatter.
We developed a method to enrich brain-derived myeloid cells from the brain and used the cell surface marker CX3CR1 to specifically evaluate myeloid brain engraftment and chimerism (Figure 2A). CX3CR1 is the receptor for fractalkine, a neurochemokine.6 Its expression in the brain is restricted to the microglial population. CNS-engrafted GFP+CX3CR1+ cells were negative for Ly6G, B220, and CD3 (data not shown), indicating that CX3CR1+ would be a good single marker to observe brain donor-derived myeloid cells. Assessment of animals that underwent transplantation at similar time points as prior found that CX3CR1+ cells engrafted steadily over 30 days to a mean of 2.6% (range, 2.15%-3.5%) after transplantation, and subsequently to 4.7% (range, 2.2%-8.0%) by 90 days after HCT (Figure 2B).
Preconditioning intensity dictates CNS myeloid engraftment. (A) Schema and gating for enriching brain-derived myeloid cells. (B) GFP donor chimerism of CX3CR1+ brain cells at various time points after 9-Gy radiation and HCT. (C) Hematopoietic chimerism after 4.5-Gy nonmyeloablative preconditioning. (D) GFP donor chimerism of CX3CR1+ brain cells at various time points after 4.5-Gy radiation and HCT. (E) Busulfan preconditioning transplantation schema. (F) Hematopoietic chimerism after busulfan preconditioning. (G) GFP donor chimerism of CX3CR1+ brain cells at various time points after busulfan preconditioning and HCT. (H) Transplantation schema to test cell dose. (I) Hematopoietic chimerism after HCT testing cell dose. (J) GFP donor chimerism of brain CX3CR1+ cells after HCT with low and high cell doses. (K) Schema for double transplantation (DT) protocol. (L) Hematopoietic chimerism after DT. (M) CD45.1 donor chimerism of CX3CR1+ brain cells after DT. Shown are the mean ± standard deviation. P values derived from a Student t test. FSC, forward scatter; SSC, side scatter.
Preconditioning intensity dictates CNS myeloid engraftment. (A) Schema and gating for enriching brain-derived myeloid cells. (B) GFP donor chimerism of CX3CR1+ brain cells at various time points after 9-Gy radiation and HCT. (C) Hematopoietic chimerism after 4.5-Gy nonmyeloablative preconditioning. (D) GFP donor chimerism of CX3CR1+ brain cells at various time points after 4.5-Gy radiation and HCT. (E) Busulfan preconditioning transplantation schema. (F) Hematopoietic chimerism after busulfan preconditioning. (G) GFP donor chimerism of CX3CR1+ brain cells at various time points after busulfan preconditioning and HCT. (H) Transplantation schema to test cell dose. (I) Hematopoietic chimerism after HCT testing cell dose. (J) GFP donor chimerism of brain CX3CR1+ cells after HCT with low and high cell doses. (K) Schema for double transplantation (DT) protocol. (L) Hematopoietic chimerism after DT. (M) CD45.1 donor chimerism of CX3CR1+ brain cells after DT. Shown are the mean ± standard deviation. P values derived from a Student t test. FSC, forward scatter; SSC, side scatter.
To understand the effect of a reduction in conditioning intensity, we performed HCT in recipient mice conditioned with nonmyeloablative radiation (4.5 Gy). We were able to establish peripheral blood/marrow chimerism of between 50% and 75% in recipients as expected with this conditioning. Brain GFP+CX3CR1+ donor chimerism decreased 5.9-fold (mean, 0.80%; range, 0.36%-1.89%; P = .008) in comparison with animals that received myeloablative conditioning, when assessed 90 days after HCT (Figure 2D). These data suggest that despite 50% peripheral blood and marrow chimerism, brain engraftment decreases substantially in the absence of myeloablation.
The literature reports mixed results on the use of busulfan and the extent of brain engraftment that occurs.7,8 We pretreated animals with 100 mg/kg or 50 mg/kg of busulfan before HCT and assessed blood, marrow, and brain chimerism at 90 days after HCT. Peripheral blood and marrow mononuclear engraftment range from 75% to 100% (Figure 2E-F). We found superior brain CX3CR1+ donor-derived chimerism (mean, 14.0%) using the 100 mg/kg busulfan regimen compared with the prior radiation conditioning. Interestingly, when the dose of busulfan was decreased to 50 mg/kg, brain engraftment dropped 6.7-fold to 2.1% (P = .0015; Figure 2G). These results suggest that a systemic alkylating agent that can penetrate the blood-brain barrier allows for improved short-term CNS CX3CR1+ donor chimerism when compared with radiation, and there seems to be a dose-dependent “conditioning effect” on the brain. As expected, engrafted brain cells were often localized to perivascular regions, consistent with other reports of round, elongated, or stellate morphology, as previously reported (supplemental Figure 1).9
Next, we tested the effect of cell dose on brain engraftment. Recipients received either a low cell dose (0.5 million cells) or a 20-fold higher cell dose (10 million cells) after myeloablative irradiation. Nearly all animals achieved between 90% and 100% chimerism in the blood and marrow (Figure 2H-I) at 90 days after HCT. Median donor brain GFP+CX3CR1+ chimerism at the lower dose was 4.7% (range, 2.2%-8.0%) and 5.5% (range, 3.2%-7.2%) for the higher dose, which were not statistically different (P = .5663), suggesting that cell dose was not a strong mediator of CNS engraftment in this model and that potential available brain niches were filled even with the low doses of adoptively transferred cells. This is likely because of CNS engraftment following marrow and peripheral blood engraftment, perhaps at a fixed rate. Finally, Loeb et al showed that CNS engraftment was 16.3% in patients who received 2 HCTs. Based on this finding, we evaluated the results of sequential transplantations in mice using our model. Remarkably, the mean donor brain CX3CR1 engraftment was 72% (Figure 2K-M), suggesting that mice are more sensitive than humans to a tandem HCT process although there was only a 30-day window between HCTs.
In summary, these experiments indicate that brain myeloid chimerism relies heavily on the preconditioning process and occurs after marrow/peripheral blood engraftment. In the nonmyeloablative setting, myeloid donor engraftment was markedly reduced despite suitable chimerism in the peripheral blood and marrow. This is in good agreement with the human studies described by Loeb et al who showed 8.1% CNS donor myeloid engraftment at a median of 159 days after myeloablative HCT, whereas there was a 1.3% donor engraftment observed in patients with nonmyeloablative conditioning. Surprisingly, our murine studies are not that dissimilar at 4.7% and 0.8% donor engraftment at 90 days after HCT in the myeloablative and nonmyeloablative settings, respectively. Loeb et al showed that CNS engraftment was 16.3% in patients who received 2 HCTs, similar to our own findings, although mice may prove more sensitive to the tandem HCT process, likely because of the brief 30-day window between HCTs. We recognize that this is a congenic short-term engraftment model, but the findings are consistent with the timing and observations by Loeb et al, and the migrated myeloid-derived population likely accumulates over time, as previously demonstrated in both congenic and major histocompatibility complex–mismatched paradigms.1,5,7,10,11
These observations have implications for future clinical trials because various strategies have been used to reduce toxicity while simultaneously hastening donor marrow engraftment.12,13 Busulfan and radiation have different mechanisms of action in achieving marrow engraftment but accomplish the same myeloablative goal in human studies. Busulfan may reduce the risk of some of long-term effects in comparison with total body irradiation, and risks with high-dose busulfan use (such as veno-occlusive disease) are being reduced to patient-specific pharmacotherapeutic levels through dose titration.14,15
Historically, a goal of HCT was to reestablish a functional immune system in patients with immune deficiencies or establish normal red blood cells. Later, it was demonstrated that neurologic benefits could be observed in patients with metabolic storage disease affecting the CNS.16-19 In the case of enzyme deficiencies, the credit for this observation was given to donor-derived CNS engraftment after HCT.20,21 In this latter scenario, much consideration needs to be given to conditioning. Our data suggest that reductions in conditioning intensity leads to substantial loss in donor CNS engraftment. Alternatively, there may be more targeted ways to improve brain engraftment. Although we do not know the level of brain engraftment required to stabilize any particular neurologic disease, our data, along with that of others, demonstrate that (1) myeloid chimerism in the brain is fairly limited, (2) the process is dependent on CNS-penetrating myeloablative conditioning, and (3) the process depends on initial peripheral blood/marrow engraftment. Cell dose seems to play a less important role. A better understanding of these phenomenon will be key, with HCT being considered for use in other, more widespread, neurologic conditions such as Parkinson disease and Alzheimer disease.22-27
Acknowledgments: This study was supported by X out ALD and Knockout ALD.
Contribution: E.E.N., M.L., L.A.T., C.J.K., K.B., and J.W.F. performed the key experiments; W.D. performed sectioning of brains; A.O.G. and P.J.O. interpreted the data and significantly edited the manuscript; and T.C.L. supervised the work and wrote the manuscript.
Conflict-of-interest disclosure: The authors declare no competing financial interests.
Correspondence: Troy C. Lund, University of Minnesota, Pediatric Blood and Marrow Transplant Program, MMC 366, 420 Delaware St SE, Minneapolis, MN 55455; e-mail: lundx072@umn.edu.
References
Author notes
∗E.E.N. and W.D. contributed equally to this study.
Data are available on request from the corresponding author, Troy C. Lund (lundx072@umn.edu).
The full-text version of this article contains a data supplement.

