Visual Abstract
TO THE EDITOR:
Renal dysfunction is a prevalent complication of sickle cell disease (SCD) that is strongly associated with decreased life expectancy.1 The high osmolarity, low oxygen tensions, and acidic pH conditions in the renal medulla significantly facilitate sickle cell hemoglobin polymerization, thereby subjecting the kidney to recurrent ischemia/reperfusion events caused by irreversible red blood cell sickling and vaso-occlusion.2,3 In addition, hemolysis is associated with an increased prevalence of acute kidney injury in patients with SCD, which contributes to the development of chronic kidney disease.4-7 Mechanistically, hemin and hemoglobin derived from intravascular hemolysis promote complement and platelet activation, scavenge nitric oxide, injure the renal endothelium, and preferentially cause oxidative stress in the renal tubular epithelium.8-11
Bioactive lipids, such as prostaglandin I2 and E2, as well as leukotrienes, hydroxyeicosatetraenoic acids and epoxyeicosatrienoic acids, have well-established roles in renal physiology and pathology.12,13 In this regard, nitrated fatty acids are endogenous bioactive molecules derived from the diet and generated acutely at sites of inflammation following the reaction between nitrogen dioxide and conjugated polyunsaturated fatty acids.14,15 Nitrated fatty acids are strongly protective in various acute and chronic renal injury models and correlate positively with survival and improved neurologic function in out-of-hospital cardiac arrest patients, suggesting a protective role in the setting of ischemia/reperfusion injury.16,17 Consequently, we hypothesized that endogenous nitrated fatty acids could have an important role in determining kidney injury during hemolytic crises in SCD, which prompted us to assess whether systemic nitrated fatty acid levels were altered in this population.
Nitro-conjugated linoleic acid (NO2-CLA) is the main nitrated fatty acid in humans and can be found in the circulation either esterified into complex lipids or as a free fatty acid primarily bound to albumin.18-20 Nitrated fatty acids are metabolized by beta-oxidation, enzymatic reduction, or conjugation to glutathione (GSH) in the first step of the mercapturic acid pathway.21,22 GSH conjugates are exported to the extracellular compartment through multidrug resistance proteins, processed by peptidases to cysteine conjugates, filtered by the kidneys, and finally excreted in the urine.14,21 Consequently, the measurement of urinary NO2-CLA and its beta-oxidation metabolites is an accurate reflection of the levels of bioactive nitrated fatty acids present in tissues.
The liquid chromatography-tandem mass spectrometry (LC-MS/MS)–based quantification of nitrated fatty acids in plasma demonstrated that the total levels of NO2-CLA (esterified plus free) are decreased in patients with SCD when compared with age- and sex-matched healthy controls (Figure 1A). Furthermore, the levels of the main NO2-CLA metabolite in the circulation, the reduced derivative dihydro-NO2-CLA (DH-NO2-CLA), were also significantly lower in patients with SCD (Figure 1B). Consistent with previous reports, the individual positional isomers 9-NO2-CLA and 12-NO2-CLA were identified and quantified collectively in plasma, and the urine fraction also revealed the presence of the 7-NO2-CLA isomer (Figure 1C).18 Importantly, a comprehensive nitrolipidome evaluation of excreted nitrated fatty acids in urine confirmed the systemic deficiency of NO2-CLA and its beta-oxidation metabolites in SCD (Figure 1D-F) with strong linear correlations between species that demonstrate a shared metabolic origin (supplemental Figure 1).
Systemic levels of NO2-CLA metabolites are lower in SCD patients. (A-B) Total NO2-CLA and DH-NO2-CLA levels (esterified plus free acid fraction) in healthy (n = 12) and SCD (n = 9) plasma extracts. (C) Representative urine LC-MS/MS chromatograms showing total (top) and isomer-specific NO2-CLA peaks (middle, bottom). (D) Representative traces for the urine NO2-CLA beta-oxidation metabolites NO2-16:2, NO2-14:2 and NO2-12:2. (E-F) Quantification of the total NO2-CLA and its beta-oxidation metabolites in healthy (n = 7) and SCD (n = 6) urine samples. ∗P < .05 by t test (A,B,E) and 2-way analysis of variance (ANOVA) (F) following logarithmic transformation. No statistically significant differences were found between individual urinary NO2-CLA metabolites in the posttest analysis, but 2-way ANOVA identified SCD as a significant contributor to the total data variance in panel F. DH-NO2-CLA, dihydro-NO2-CLA.
Systemic levels of NO2-CLA metabolites are lower in SCD patients. (A-B) Total NO2-CLA and DH-NO2-CLA levels (esterified plus free acid fraction) in healthy (n = 12) and SCD (n = 9) plasma extracts. (C) Representative urine LC-MS/MS chromatograms showing total (top) and isomer-specific NO2-CLA peaks (middle, bottom). (D) Representative traces for the urine NO2-CLA beta-oxidation metabolites NO2-16:2, NO2-14:2 and NO2-12:2. (E-F) Quantification of the total NO2-CLA and its beta-oxidation metabolites in healthy (n = 7) and SCD (n = 6) urine samples. ∗P < .05 by t test (A,B,E) and 2-way analysis of variance (ANOVA) (F) following logarithmic transformation. No statistically significant differences were found between individual urinary NO2-CLA metabolites in the posttest analysis, but 2-way ANOVA identified SCD as a significant contributor to the total data variance in panel F. DH-NO2-CLA, dihydro-NO2-CLA.
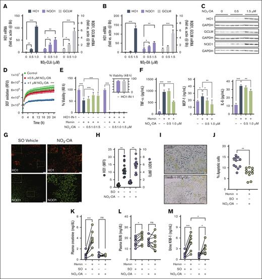
The presence of a nitroalkene moiety renders nitrated fatty acids capable of reacting with protein cysteine residues and modulating cellular responses. Nitrated fatty acids promote antioxidant Nrf2-dependent gene expression and inhibit TLR4/NF-κB-dependent signaling, thus leading to cytoprotective and anti-inflammatory effects.23 Incubation of the human proximal tubule cell line HK2 with the pharmacologic analog nitro-oleic acid (NO2-OA) demonstrated dose-dependent upregulation of Nrf2-regulated genes at the transcript and protein levels, and comparable responses were obtained with NO2-CLA (Figure 2A-C). NO2-OA significantly induced the expression of heme oxygenase-1 (HO1) and that of NAD(P)H:quinone dehydrogenase-1 (NQO1) and the regulatory subunit of glutamate-cysteine ligase (GCLM), the rate-limiting enzyme in GSH synthesis. Consistent with increased protection against oxidative injury, NO2-OA–treated HK2 cells had 25% higher levels of GSH than untreated controls (supplemental Figure 2). As expected, challenge with hemin (ferric heme, the hemolytic byproduct) caused a significant increase in oxidative stress in HK2 cells as measured by 2,7-dichlorodihydrofluorescein diacetate (DCF) probe oxidation, followed by >50% loss of viability at 48 hours (Figure 2D-E). Notably, pretreatment with NO2-OA at concentrations associated with HO1 upregulation led to decreased hemin-induced oxidative stress and preserved cellular viability. Furthermore, this effect was completely abrogated by co-treatment with the HO1 inhibitor HO-1-IN-1, consistent with the well-established protective effects of HO1 in SCD and non-SCD models of renal injury.24 NO2-OA did not alter the expression of GSH peroxidases 1 and 4, nor the oxidation status of peroxiredoxins 1, 2, and 3 (supplemental Figure 2), indicating no further effects on cellular antioxidant defenses. Finally, in addition to causing toxicity to HK2 cells, hemin-activated macrophages exhibited increased production of chemotactic and proinflammatory cytokines, a response that was significantly inhibited by NO2-OA (Figure 2F).
NO2-OA protects against hemin-induced renal injury in SCD. (A-B) Nrf2-dependent gene expression in HK2 cells treated with NO2-CLA and NO2-OA (n = 3). ∗P < .05, ∗∗P < .001, ∗∗∗P < .0001 by 1-way ANOVA and Dunnett posttest. (C) Protein expression 16 hours after NO2-OA in HK2 cells. (D) DCF oxidation by hemin (8 μM) with or without NO2-OA pretreatment (16 hours). ∗∗∗P < .0001 by 2-way ANOVA. (E) HK2 cell viability 48 hours after 40 μM hemin challenge with or without NO2-OA pretreatment (16 hours) and 10 μM HO-1-IN-1 (n = 7). ∗∗∗P < .0001 by 2-way ANOVA and Dunnett posttest. (E, inset) No effect of HO1-IN-1 on HK2 cell viability. (F) Cytokine production by J774a1 macrophages after 40 μM hemin in the presence or absence of NO2-OA (n = 4-6). ∗P < .05, ∗∗P < .001, ∗∗∗P < .0001 by 1-way ANOVA and Tukey posttest. (G-H) Representative micrographs and quantification of NQO1 and HO1 expression in the kidney of Townes’ SCD mice that received 2.5 mg/kg per day NO2-OA or SO for 3 weeks by oral gavage. Each point is a single field of view from 3 mice per group. The bar represents 100 μm. ∗∗P < .001 by unpaired t test. (I-J) Representative micrographs and apoptotic cell quantification by TUNEL assay in SCD mouse kidney 48 hours after hemin challenge (20 μM/kg IV) in the presence or absence NO2-OA treatment as before. The bar represents 20 μm. ∗∗P < .001 by t test. (K-M) Plasma creatinine, BUN, and urinary KIM-1 levels before and 48 hours after hemin challenge in SCD mice that received vehicle or NO2-OA pretreatment (n = 7-8 per group). ∗P < .05, ∗∗∗P < .0001 by 2-way repeated measures ANOVA and Fisher posttest. BUN, blood urea nitrogen; DCF, 2,7-dichlorodihydrofluorescein diacetate; GCLM, regulatory subunit of glutamate-cysteine ligase; HO1-IN-1, heme oxygenase-1-IN-1; h, hour; KIM-1, kidney injury molecule-1; MCP-1, monocyte chemoattractant protein-1; MFI, mean fluorescence intensity; mRNA, messenger RNA; NQO1, NAD(P)H:quinone dehydrogenase-1; SO, sesame oil vehicle; TNF-α, tumor necrosis factor-α.
NO2-OA protects against hemin-induced renal injury in SCD. (A-B) Nrf2-dependent gene expression in HK2 cells treated with NO2-CLA and NO2-OA (n = 3). ∗P < .05, ∗∗P < .001, ∗∗∗P < .0001 by 1-way ANOVA and Dunnett posttest. (C) Protein expression 16 hours after NO2-OA in HK2 cells. (D) DCF oxidation by hemin (8 μM) with or without NO2-OA pretreatment (16 hours). ∗∗∗P < .0001 by 2-way ANOVA. (E) HK2 cell viability 48 hours after 40 μM hemin challenge with or without NO2-OA pretreatment (16 hours) and 10 μM HO-1-IN-1 (n = 7). ∗∗∗P < .0001 by 2-way ANOVA and Dunnett posttest. (E, inset) No effect of HO1-IN-1 on HK2 cell viability. (F) Cytokine production by J774a1 macrophages after 40 μM hemin in the presence or absence of NO2-OA (n = 4-6). ∗P < .05, ∗∗P < .001, ∗∗∗P < .0001 by 1-way ANOVA and Tukey posttest. (G-H) Representative micrographs and quantification of NQO1 and HO1 expression in the kidney of Townes’ SCD mice that received 2.5 mg/kg per day NO2-OA or SO for 3 weeks by oral gavage. Each point is a single field of view from 3 mice per group. The bar represents 100 μm. ∗∗P < .001 by unpaired t test. (I-J) Representative micrographs and apoptotic cell quantification by TUNEL assay in SCD mouse kidney 48 hours after hemin challenge (20 μM/kg IV) in the presence or absence NO2-OA treatment as before. The bar represents 20 μm. ∗∗P < .001 by t test. (K-M) Plasma creatinine, BUN, and urinary KIM-1 levels before and 48 hours after hemin challenge in SCD mice that received vehicle or NO2-OA pretreatment (n = 7-8 per group). ∗P < .05, ∗∗∗P < .0001 by 2-way repeated measures ANOVA and Fisher posttest. BUN, blood urea nitrogen; DCF, 2,7-dichlorodihydrofluorescein diacetate; GCLM, regulatory subunit of glutamate-cysteine ligase; HO1-IN-1, heme oxygenase-1-IN-1; h, hour; KIM-1, kidney injury molecule-1; MCP-1, monocyte chemoattractant protein-1; MFI, mean fluorescence intensity; mRNA, messenger RNA; NQO1, NAD(P)H:quinone dehydrogenase-1; SO, sesame oil vehicle; TNF-α, tumor necrosis factor-α.
Our results suggested that nitrated fatty acids have the potential to protect the SCD kidney against oxidative and inflammatory insults associated with acute hemolytic crises; thus, we tested this hypothesis in SCD mice. Humanized Townes’ SCD mice were gavaged with sesame oil (SO) vehicle or NO2-OA (2.5 mg/kg per day) for 3 weeks with consequent increases in renal NO2-OA metabolites verified by LC-MS/MS analysis (supplemental Figure 3). As shown in Figure 2G-H, NO2-OA potently induced the expression of the Nrf2-dependent proteins HO1 and NQO1 in the kidneys. To test whether these effects were sufficient to confer protection against renal injury, SCD mice were challenged with intravenous hemin (20 μM/kg), and markers of renal injury and function were assessed 48 hours later. In line with previous results,9 hemin challenge led to tissue apoptosis and increased plasma creatinine and blood urea nitrogen (BUN) levels (Figure 2I-L). Furthermore, hemin treatment was associated with a significant increase in urinary kidney injury molecule-1 (KIM-1) excretion, consistent with proximal tubule damage and acute kidney injury (Figure 2M). From a hematologic perspective, hemin challenge increased the number of circulating leukocytes and decreased the erythrocyte numbers (supplemental Figure 4). Importantly, pretreatment with NO2-OA inhibited apoptosis, prevented the development of renal dysfunction, attenuated urinary kidney injury molecule-1 excretion, and maintained leukocyte and erythrocyte numbers. Analysis of renal tissue cytokines by enzyme-linked immunosorbent assay (interleukin-6 [IL-6], monocyte chemoattractant protein-1, IL-10) and reverse transcriptase–polymerase chain reaction assay (IL-6, monocyte chemoattractant protein-1, IL-10, tumor necrosis factor-α, IL-1β, ICAM-1, VCAM-1, inducible nitric oxide synthase) did not show additional differences between NO2-OA and vehicle-treated mice 48 hours after hemin challenge (data not shown). An assessment of renal endothelial activation demonstrated a decrease in basal VCAM-1 expression following NO2-OA treatment, but these differences did not reach statistical significance following hemin challenge (supplemental Figure 5). Finally, no changes were observed in podocyte density as assessed by Wilms' tumor suppressor protein 1 (WT1) staining (supplemental Figure 6).
Nitro-oleic acid has demonstrated safety in phase 1 clinical trials and progressed into phase 2 for the treatment of focal segmental glomerulosclerosis, although no results were published. Overall, our data indicate that nitrated fatty acids can have a potent protective role against hemolysis-induced acute kidney injury in SCD primarily via the induction of HO1 expression in renal tubular epithelial cells. Our study has some limitations. In particular, the small number of patients with SCD recruited for our study prevents us from assessing correlations between systemic NO2-CLA levels and indices of renal injury or SCD pathology. Food intake was not controlled in our patient population, and therefore the contribution of the diet to endogenous NO2-CLA levels could not be evaluated. Furthermore, SCD genotype, hemolysis severity, basal fetal hemoglobin expression, hydroxyurea use, and other treatment regimens could impact inflammatory NO2-CLA formation. Finally, NO2-CLA levels are likely to be affected by progressive changes in SCD renal function, because a significant fraction of these molecules is excreted in the urine.14,18 Taken together, these considerations highlight the need for larger clinical studies to define the impact of endogenous nitrated fatty acid levels and potential supplementation strategies on the development of renal injury in SCD.25
Acknowledgments: The authors wish to acknowledge Jude Jonassaint for his assistance with the management of the sickle cell disease clinical cohort. This study was supported, in part, by National Institute of Diabetes and Digestive and Kidney Diseases grants R01DK124426 and R01DK132145 (S.G.), National Heart, Lung, and Blood Institute grants K01HL133331 and R03HL157878 (D.A.V.), National Institute of Allergy and Infectious Diseases grants R56AI165479 and R01AI178864 (D.A.V.), and National Institute of General Medical Sciences grants R35GM152083 (D.A.V.) and R01GM125944 (F.J.S.).
Contributions: M.C., D.L., and M.F.P. performed the cell-based and in vivo experiments; R.P. and P.M. performed the immunofluorescence imaging analyses; E.M.N. supervised patient sample collection; S.R.S. and F.J.S. designed the liquid chromatography-tandem mass spectrometry assays; and S.G. and D.A.V. conceived and designed the study, analyzed and interpreted data, supervised the project, and wrote the manuscript in consultation and with contributions from all coauthors.
Conflict-of-interest disclosure: E.M.N. reports being an advisory board member/consultant for Novo Nordisk, Chiesi Pharmaceuticals, and Shield Therapeutics. F.J.S. reports having financial interest in Furanica Inc and Creegh Inc. S.G. reports receiving research funding (not relevant to the current study) from Pfizer Inc as a part of a sponsored research agreement. The remaining authors declare no competing financial interests.
Correspondence: Samit Ghosh, Department of Medicine, University of Pittsburgh, Biomedical Science Tower, Room E1255, 200 Lothrop St, Pittsburgh, PA 15261; email: sag130@pitt.edu; and Dario A. Vitturi, Department of Pathology, The University of Alabama at Birmingham, Pittman Biomedical Research Building, Room 434, 901 19th St S, Birmingham, AL 35233; email: dvitturi@uab.edu.
References
Author notes
S.G. and D.A.V. are joint senior authors.
Original data are available on request from the corresponding authors, Samit Ghosh (sag130@pitt.edu) and Dario A. Vitturi (dvitturi@uab.edu).
The full-text version of this article contains a data supplement.


