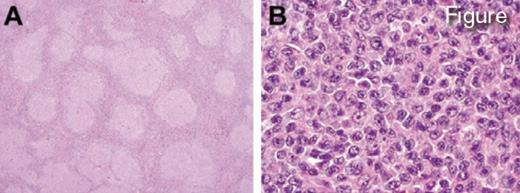
Pediatric-type nodal follicular lymphoma (PTNFL) is a rare subtype of follicular lymphoma (FL) affecting adolescents and young adults, though cases in older individuals have been described. The disease typically presents in localized lymph nodes, and involvement of the neck is common. From a histologic perspective, PTNFL has a high-grade appearance with medium sized blastoid cells in a follicular architecture and is characteristically classified as grade 3 with ki-67 fractions of more than 30 percent. In terms of the immunophenotype, the neoplastic cells express CD20, CD10, and BCL6; lack BCL-2 and MUM1/IRF4; and do not harbor rearrangements of BCL2 and BCL6. Despite the aggressive pathologic appearance of the disease, outcomes are excellent with local therapy including surgical excision alone. Two recent articles published in Blood elucidate the genetic landscape of this disease.
Morphologic Features of PTNFL at Low (40x) and High Power (400x) View. Reprinted with permission from Louissaint A Jr et al. Blood. 2012;120:2395-2404.
Morphologic Features of PTNFL at Low (40x) and High Power (400x) View. Reprinted with permission from Louissaint A Jr et al. Blood. 2012;120:2395-2404.
In the first article, Dr. Abner Louissaint and colleagues characterized 26 cases of limited-stage PTNFL by whole-exome sequencing (WES) and copy number analysis. The group included 16 pediatric cases and 10 adult cases (median age, 30 years; age range, 20-60 years). The overwhelming majority of patients were male (92%) with disease localized to the head and neck (92%). Nearly 90 percent of the patients who were 18 years or younger were treated with surgical excision only. Of the 24 patients with available follow-up data, all patients remain in remission. Twenty-one cases were analyzed using WES. Interestingly, the overall number of alterations was low, and only two genes, MAP2K1 and TNFRSF14, were mutated in four or more samples. MAP2K1, which encodes the MEK1 protein, was a commonly mutated gene in 43 percent of cases. All of the mutations were activating mutations. Additionally, 10 percent of cases were found to have activating mutations in MAPK1, which encodes ERK2 and is downstream of MEK1, and one case had an RRAS mutation. The three identified mutations (MAP2K1, MAPK1, and RRAS) were mutually exclusive, and 57 percent of cases harbored MAP kinase pathway gene mutations. Alterations in TNFRSF14 were found in 33 percent of cases. Interestingly, the pattern of mutations did not differ between the pediatric and adult cases. Additionally, no BCL2 mutations characteristic of typical FL were identified and alterations in the epigenetic modifier genes commonly found in FL, including EP300, CREBBP, and EZH2, were rare, as they were found in only three cases.
In the second publication, Dr. Janine Schmidt and colleagues evaluated the genetics of 42 cases of PTNFL. Forty of the 42 cases were in males and the majority had stage 1 disease involving the head and neck. Of the 23 patients with clinical follow-up, 12 underwent resection only and all patients remain disease free. Overall, PTNFL was associated with very low genomic complexity, which the authors hypothesized was reflected in the indolent clinical behavior of the disease. Copy number analysis revealed copy number neutral loss of heterozygosity at 1p36 in 40 percent of cases, and alterations in 1p36 were the only genetic abnormality seen in 24 percent of patients. Next generation sequencing, performed on 12 genes known to be frequently mutated in FL, identified alterations in TNFRSF14 in 54 percent of cases, KMT2D in 16 percent, and GNA13 in 11 percent. Of the cases harboring mutations in TNFRSF14, 15 had coexisting abnormalities in 1p36. By comparison, 11 control cases of t(14;18) FL had significantly higher levels of genetic complexity with frequent mutations in CREBPP and EZH2 and had only a 9 percent incidence of 1p36 alterations.
In Brief
PTNFL is a rare disease with an unusually favorable prognosis. Unlike typical FL, the disease is characterized by a relatively limited number of genetic alterations. Both groups of investigators found frequent mutations in TNFRSF1. Importantly, by using whole exome sequencing, Dr. Louissaint and colleagues further elucidated the biology of the disease by identifying mutations in components of the MAP kinase pathway in nearly 60 percent of cases. Given the unusually favorable prognosis of PTNFL, it is critical that the diagnosis be recognized by pathologists and clinicians to prevent overtreatment. For the rare patient who develops recurrent or refractory disease, targeted approaches including MEK inhibitors may be effective. Additionally, understanding the pathogenesis of this disease may have implications for studying other lymphoma subtypes.
Competing Interests
Dr. LaCasce indicated no relevant conflicts of interest.
