Point mutations of the transcription factor c-Myb in Mpl-/- mice are associated with excessive and disordered megakaryocytopoiesis, whereas megakaryocyte survival is impaired and necrosis-like programmed cell death can be observed in thrombocytopenic patients with a myelodysplastic syndrome.
Anemia may be the most common presenting sign in myelofibrosis with myeloid metaplasia (MMM) and the myelodysplastic syndromes (MDS) but megakaryocytic defects are central to the pathobiology of the fibrosis characteristic of MMM, and thrombocytopenia commonly complicates both human ailments. Understanding how the platelet–megakaryocyte–progenitor–stem cell axis becomes disordered in MMM or MDS could be an essential stepping stone toward defining new potential molecular targets for ameliorating these diseases.
In this issue of Blood, 2 papers address the megakaryocyte abnormalities in chronic myeloid disorders from a mechanistic standpoint. The first article, by Metcalf and colleagues, provides potentially important insights into the anomalous megakaryocytopoiesis that these investigators have recently described in mice bearing c-Myb gene mutations.1 c-Myb, the normal cellular homolog of the avian myeloblastosis virus and E26 retrovirus that were originally isolated from chickens and quails with leukemia, is a nuclear transcription factor with a complex role in mammalian hematopoiesis.2 Knockout of the murine c-Myb gene is lethal in embryonic life due to lack of definitive hematopoiesis (megakaryocytes are surprisingly spared), and the gene is primarily expressed in immature hematopoietic cells, implying an important role in differentiation and development.2
Metcalf et al analyzed murine lines that were originally identified as part of a large screen of the offspring of Mpl-/- male mice treated with the potent germ line mitogen N-ethylnitrosourea (ENU).1 The goal in generating these mice was to see if any of them had mutations that corrected their father's Mpl-/--associated thrombocytopenia. Two such lines were identified and both had c-Myb point mutations in differing domains of the protein. This represented the first time such a genetic modifying program had been used in mice; the technique appears to be as powerful a tool in these creatures as it has proven to be in “lower” animals.
The striking finding in the Myb-mutant mice was that their thrombocytosis arises on both a Mpl-/- and Mpl+/+ background, even though thrombopoietin (TPO)/Mpl signaling is thought to be the critical factor for megakaryocyte development. Therefore, these mice would seem to be a potential model for the cellular phase of human MMM, as TPO/Mpl signaling is also abnormal in MMM (Mpl is usually underexpressed), yet patients' megakaryocytes proliferate wildly. These c-Myb mutant mice are barely out of the wee pup stage, and continued observation of them as they age to see whether they get marrow fibrosis or leukemia will be of great interest. And of course, a note of caution is appropriate: other putative MMM-modeling mice that either underexpress GATA1 (eg, GATA1low) or are forced to overexpress TPO have illuminated scattered rare congenital human syndromes but they have yet to yield robust3 insights into the more common acquired myeloid diseases.
Adding credence to the observation by Metcalf et al is the fact that a second group of investigators has almost simultaneously and independently generated a similar mouse model.4 By ENU mutagenesis and phenotype screening of wild-type mice, the c-MybM303V/M303V line bearing a point mutation in the c-Myb transactivation domain was derived. These mice also have increased numbers of megakaryocytes and hematopoietic stem cells with anemia and lymphopenia, and the specific mutation here disrupts binding of c-Myb to the transcriptional coactivator p300.4 Taken together with the devastating effects that p300 mutations have on hematopoiesis5 (effects that include, again, disordered megakaryopoiesis and thrombocytosis), these mouse models provide a compelling indication for studying this pathway in human MMM.
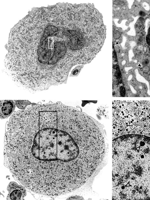
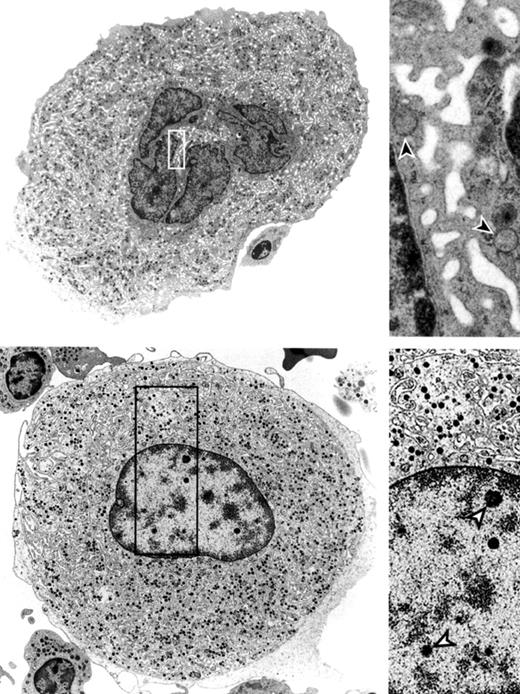
In the second Blood article of interest to those partial to platelets, Houwerzijl and colleagues report detailed ultrastructural studies of megakaryocytes in thrombocytopenic MDS patients (see figure), as well as the results of a rarely performed but potentially powerful assay, the glycocalicin index, which is a measurement of the ratio of a fragment of glycoprotein Ib to the platelet count. The glycocalicin index has been described as a parameter of megakaryocyte and/or platelet destruction, and excess destruction was observed in this group of MDS patients. The megakaryocytes in a subset of patients had an electron micrographic appearance characteristic of necrosis-like programmed cell death, which, as the authors point out, is not necessarily synonymous with apoptosis. In fact, immunostains for activated effector caspase-3 and cathepsin D were negative, suggesting caspase-independent cell death. The results are important not only because of the rarity of careful ultrastructural analyses of megakaryocytes in MDS and other myeloid disorders but also because they provide another data point in the confusing and sometimes contradictory sphere of apoptosis analyses in MDS. ▪
Ultrastructure of megakaryocytes from a healthy bone marrow donor and an MDS patient. See the complete figure in the article beginning on page 3472.
Ultrastructure of megakaryocytes from a healthy bone marrow donor and an MDS patient. See the complete figure in the article beginning on page 3472.

