Abstract
Although much is known about αIIbβ3 structure and function, relatively little is understood about its biogenesis. Thus, we studied the kinetics of pro-αIIb production and degradation, focusing on whether proteasomal degradation or the calnexin cycle participates in these processes. In pulse-chase analyses, the time to half-disappearance of pro-αIIb (t1/2) was the same in (1) HEK293 cells transfected with (a) αIIb plus β3, (b) αIIb alone, (c) mutant V298FαIIb plus β3, or (d) I374TαIIb plus β3; and (2) murine wild-type and β3-null megakaryocytes. Inhibition of the proteasome prolonged the t1/2 values in both HEK293 cells and murine megakaryocytes. Calnexin coprecipitated with αIIb from HEK293 cells transfected with αIIb alone, αIIb plus β3, and V298FαIIb plus β3. For proteins in the calnexin cycle, removal of the terminal mannose residue of the middle branch of the core N-linked glycan results in degradation. Inhibition of the enzyme that removes this mannose residue prevented pro-αIIb degradation in β3-null murine megakaryocytes. αIIb contains a conserved glycosylation consensus sequence at N15, and an N15Q mutation prevented pro-αIIb maturation, complex formation, and degradation. Our findings suggest that pro-αIIb engages the calnexin cycle via the N15 glycan and that failure of pro-αIIb to complex normally with β3 results in proteasomal degradation.
Introduction
The platelet αIIbβ3 complex is a member of the integrin family of receptors, each of which is composed of an α and a β subunit derived from separate genes. αIIbβ3 is important in platelet function, and both qualitative and quantitative disorders of αIIbβ3 result in the bleeding disorder Glanzmann thrombasthenia.1,2 The biogenesis of αIIbβ3 in megakaryocytes is complex. Studies of human erythroleukemia (HEL) cells, megakaryocyte-lineage cells derived from peripheral blood progenitor cells of patients with chronic myelogenous leukemia (CML), and CHO and HEK293 cell lines transfected with αIIb and β3 cDNAs have provided the following model. In the endoplasmic reticulum (ER), asparagine-linked (N-linked) glycans are attached to both the pro-αIIb and β3 subunits, the glycans undergo carbohydrate modifications, and the subunits complex with one another, although the precise sequence of these events is not established; the complexes are then transported to the Golgi for further carbohydrate modification and cleavage of the pro-αIIb (relative molecular mass [Mr] 140 000) into its mature 2-chain form (Mr 120 000 + 20 000); the mature receptor is then transported to α-granule membranes and the plasma membrane of developing platelets.3-7 A large number of naturally occurring and site-directed missense mutations in αIIb or β3 result in markedly decreased αIIbβ3 surface expression, attesting to the presence of stringent quality control systems.8,9
The ER-resident chaperone calnexin has recently been demonstrated to play an important role in the folding of a number of glycoproteins, controlling their partitioning to either the Golgi or to a degradation pathway via a series of carbohydrate modifications referred to as the calnexin cycle.10 In addition, proteasomal degradation of newly synthesized proteins after retrotranslocation from ER to cytoplasm has been demonstrated to limit the length of time proteins remain in the ER.11,12
To assess whether the calnexin cycle or proteasomal degradation contributes to αIIbβ3 biogenesis, we have performed pulse-chase and steady-state analyses in cells transfected with β3 in combination with normal αIIb or αIIb subunits containing mutations, some of which are associated with Glanzmann thrombasthenia. In addition, to overcome the limitations associated with studying recombinant or naturally expressed proteins in cell lines, we studied αIIbβ3 biogenesis in megakaryocytes derived from the bone marrow of wild-type (WT) and β3-null mice. We have focused our studies on the following questions: (1) Is pro-αIIb processing in the ER controlled by proteins of the calnexin cycle? (2) Does the proteasome participate in the degradation of pro-αIIb? (3) Is the amount of pro-αIIb a limiting factor in αIIbβ3 complex formation? (4) And, finally, are there differences in the kinetics of pro-αIIb production and degradation between normal and mutant αIIb subunits, or between HEK293 cells and murine megakaryocytes?
Materials and methods
Antibodies
The antibodies used in this study were monoclonal antibodies (mAbs) B1B513,14 (αIIb-specific; kindly provided by Dr Mortimer Poncz, University of Pennsylvania, Philadelphia, PA), M-148 and H-160 (αIIb-specific; both from Santa Cruz Biotechnology, Santa Cruz, CA), 10E515 (αIIbβ3-specific), PMI-116,17 (αIIβ3-specific; kindly provided by Dr Mark Ginsberg, Scripps Research Institute, La Jolla, CA), CD41 clone MWreg30 (anti–mouse αIIb-specific; PharMingen, San Diego, CA), AP318 (β3-specific; kindly provided by Dr Peter Newman, The Blood Center of Southeastern Wisconsin, Milwaukee, WI), 1B519 (anti–mouse αIIbβ3-specific), AF820 (murine anticalnexin; kindly provided by Dr Michael Brenner, Harvard Medical School, Boston, MA), SPA-865 (rabbit anticalnexin; Stressgen, Victoria, BC, Canada), FITC-labeled goat anti–mouse immunoglobulin (IgG) F(ab′)2 (Jackson Research Labs, Bar Harbor, ME), TRITC-labeled goat anti–rabbit IgG (Sigma-Aldrich, St Louis, MO), and horseradish peroxidase (HRP)–labeled goat anti–mouse κ light chain and HRP-labeled goat anti–rabbit IgG (both from Southern Biotechnology Associates, Birmingham, AL).
Generation of cDNA constructs
Human β3 and αIIb cDNAs were generously provided by Dr Peter Newman; these were expressed in either pcDNA3.0 or pcDNA3.1 (both from Invitrogen, Carlsbad, CA).An αIIb-N15Q construct was generated from pcDNA3.0/αIIb by using the splice by overlap extension polymerase chain reaction (PCR) method, as previously described.21 The generation of pcDNA3.0/αIIb-V298F and pcDNA3.0/αIIb-I374T was described previously.21
Murine megakaryocyte culture
Megakaryocytes were generated from the bone marrow of WT and β3-null mice. Bone marrow was flushed from femurs and tibiae with Iscove Dulbecco modified Eagle medium (DMEM) containing 2% fetal bovine serum (FBS), and mononuclear cells were separated on a Ficoll-Hypaque gradient by centrifugation at 450g for 30 minutes at room temperature (RT). The mononuclear cells were plated at 1 × 106 cells/mL in Iscove DMEM containing 30% serum-free medium (StemCell Technologies, Vancouver, BC, Canada), 1% bovine serum albumin, 10–4 M 2-mercaptoethanol, 10 ng/mL murine thrombopoietin (kindly provided by Kirin Brewery, Kirin, Japan), as well as 10 ng/mL IL-6 and 10 ng/mL IL-11 (both from R&D Systems, Minneapolis, MN). Cells were grown in 6-well plates and harvested for analysis on days 6 to 8.
Immunoprecipitation and immunoblot analyses
Samples were prepared as previously described.21 Briefly, at 48 hours after transfection, cells were lysed in 1% Triton X-100 buffer containing 20 mM N-methylmaleimide (NEM). Lysates were precleared with protein-G Sepharose (Amersham Pharmacia Biotech, Piscataway, NJ) and equivalent amounts of protein were incubated with the anti-αIIb mAbs B1B5 and M-148 overnight at 4°C. Protein-G Sepharose beads were added to the samples, incubated for 1 hour at 4°C, washed, and incubated with sodium dodecyl sulfate-polyacrylamide gel electrophoresis (SDS-PAGE) sample buffer at 100°C for 10 minutes. Samples were subjected to SDS-PAGE, transferred onto PVDF membranes, and immunoblotted with the indicated mAbs. Secondary labeling was performed with an appropriate HRP-conjugated secondary antibody, and membranes were developed using the enhanced chemiluminescence (ECL) method (Amersham Pharmacia Biotech), and exposed to film (Blue Sensitive, Denville Scientific, Metuchen, NJ). Loading controls were whole cell lysates directly subjected to SDS-PAGE and immunoblotted with the antibodies of interest. Nonspecific binding was controlled for by performing immunoprecipitation on whole cell lysates of nontransfected and mock transfected (empty vector only) HEK293 cells.
Biosynthetic labeling and immunoprecipitation
Samples were prepared as previously described.21 Briefly, cells were incubated for 30 minutes at 37°C in methionine/cysteine-free media, followed by incubation for 15 minutes at 37°C in medium containing 35S-methionine/cysteine (300 μCi[11.1 MBq]/10-cm plate). The pulse was terminated by incubation in media containing unlabeled methionine/cysteine (1 mg/mL each). Following cell lysis, supernatants were precleared with protein-G Sepharose beads, and samples containing equivalent amounts of trichloroacetic acid–precipitable radioactivity (∼ 5-6 × 106 counts/sample) were immunoprecipitated using one or more of the antibodies listed (4 μg/reaction; see “Antibodies”). Samples were incubated with protein-G Sepharose beads for 1 hour at 4°C, washed twice, and incubated with SDS sample buffer for 10 minutes at 100°C. Samples were then subjected to SDS-PAGE and the gels were dried and exposed to film. Loading was controlled for by either running a simultaneous immunoblot using equivalent amounts of protein from each sample, or by stripping the membrane and reprobing for αIIb to confirm that equivalent amounts of αIIb protein were immunoprecipitated and loaded on the gels.
Metabolic analysis of αIIbβ3 biosynthesis in the presence of chemical inhibitors
In some experiments, pulse-chase analyses were performed in the presence of the proteasome inhibitors MG132 or PSI (both 10 μM; both from Sigma-Aldrich), or the diluent used to dissolve the inhibitors (DMSO). In other experiments, pulse-chase analysis was performed in the presence of deoxynojirimycin (DNJ), which inhibits ER glucosidases I and II; 1, deoxy-mannojirimycin (DMJ), which inhibits ER mannosidases I and II; 1,4-dideoxy-1,4-imino-d-mannitol (DIM), which inhibits ER mannosidase II (all from Sigma-Aldrich); kifunensine (KIF; Biomol Research Laboratories, Plymouth Meeting, PA), which inhibits ER mannosidase I (all at 1 mM), or the vehicle control DMSO. Cells were preincubated at 37°C with the inhibitor for 30 to 60 minutes before the metabolic pulse, and the inhibitor was present in all subsequent media and washes.
Results
Normal and mutant pro-αIIb subunits exhibit similar dynamics of production and disappearance in transfected HEK293 cells
In HEK293 cells transfected with normal αIIb and β3, pro-αIIb was observed in immunoprecipitates obtained immediately after the pulse was initiated (0 hour; Figure 1A); peak pro-αIIb intensity was observed at 2 hours, and then the amount of pro-αIIb decreased with a half-life (t1/2) of 5 plus or minus 2 hours (mean ± SD; n = 5), consistent with previous reports in the literature.4-6,21 The band corresponding to mature αIIb heavy chain was first observed at 2 hours and it increased in intensity over 24 hours, concomitant with the loss of pro-αIIb. Trace amounts of β3 were immunoprecipitated by the antibodies to αIIb at 0 hour, suggesting the presence of a small amount of pro-αIIbβ3 complex; the intensity of the β3 band precipitated by antibodies to αIIb increased over time, indicating ongoing production of pro-αIIbβ3 or mature αIIbβ3 complexes. Similarly, immunoprecipitation studies using antibodies to β3 demonstrated coprecipitation of mature αIIb at 2 hours, consistent with the mature αIIb being complexed with β3 (data not shown). In the same assays, immunoprecipitation with the αIIbβ3 complex-specific mAb 10E5, other mAbs to αIIb or β3, or with an isotype control antibody revealed no nonspecific bands (data not shown).
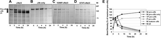
When αIIb was transfected alone, the pro-αIIb disappeared with a t1/2 of 6 plus or minus 1 hours (n = 3), and there was no detectable mature αIIb (Figure 1B). Pulse-chase analysis of cells transfected with β3 in combination with αIIb containing either of 2 mutations, V298F (VF) or I374T (IT), which cause Glanzmann thrombasthenia as a result of decreased αIIbβ3 surface expression,21 demonstrated that neither of the pro-αIIb subunits was processed to mature αIIb, and that the disappearance rates of both mutant pro-αIIb subunits from their times of maximum intensity were essentially the same as that of the pro-αIIb expressed in cells transfected with normal αIIb and β3, 6 plus or minus 3 hours and 7 plus or minus 1 hours, respectively (n = 3) (Figure 1C-D). The αIIb-specific immunoprecipitates of these cells contained trace amounts of β3, indicating that a small percentage of mutant pro-αIIb was in complex with β3. However, the intensity of the β3 bands did not increase over time.
Pro-αIIb containing either of 2 Glanzmann thrombasthenia mutations is degraded at the same rate as normal pro-αIIb. Cells were transiently transfected with cDNA constructs expressing both normal αIIb and β3 (Nl) (A), αIIb alone (B), or the αIIb mutants V298F (VF; C) or I374T (IT; D) in combination with β3. At 36 hours, cells were metabolically labeled with 35S-methionine/cysteine and then harvested at the indicated time points. Radiolabeled protein was immunoprecipitated using a combination of the αIIb-specific mAbs, B1B5 and M-148; the samples were then subjected to SDS-PAGE under reducing conditions, and dried gels were exposed to film. Arrowheads indicate bands representing pro-αIIb, mature αIIb, and β3; the migration of molecular weight standards is shown on the right. (E) Band intensities representing each subunit were measured by densitometry and plotted as a percentage of maximum band density of pro-αIIb (at 2 hours for Nl and at 0 hours for VF and IT). The times to half-maximum appearance of mature αIIb and β3 were both 2 plus or minus 1 hours (n = 5).
Pro-αIIb containing either of 2 Glanzmann thrombasthenia mutations is degraded at the same rate as normal pro-αIIb. Cells were transiently transfected with cDNA constructs expressing both normal αIIb and β3 (Nl) (A), αIIb alone (B), or the αIIb mutants V298F (VF; C) or I374T (IT; D) in combination with β3. At 36 hours, cells were metabolically labeled with 35S-methionine/cysteine and then harvested at the indicated time points. Radiolabeled protein was immunoprecipitated using a combination of the αIIb-specific mAbs, B1B5 and M-148; the samples were then subjected to SDS-PAGE under reducing conditions, and dried gels were exposed to film. Arrowheads indicate bands representing pro-αIIb, mature αIIb, and β3; the migration of molecular weight standards is shown on the right. (E) Band intensities representing each subunit were measured by densitometry and plotted as a percentage of maximum band density of pro-αIIb (at 2 hours for Nl and at 0 hours for VF and IT). The times to half-maximum appearance of mature αIIb and β3 were both 2 plus or minus 1 hours (n = 5).
Both normal and mutant pro-αIIb subunits are degraded by the proteasome
To assess whether pro-αIIb subunits are degraded by a proteasomal mechanism, we analyzed the effects of 2 proteasome inhibitors, MG132 and PSI, on αIIb disappearance in HEK293 cells transfected with αIIb alone, αIIb and β3, and VFαIIb and β3. In cells transfected with αIIb alone (Figure 2), the t1/2 of pro-αIIb in the presence of the vehicle (DMSO) was 5 ± 3 hours (n = 6), which is similar to the t1/2 observed in cells without DMSO (Figure 1). In sharp contrast, in the presence of either proteasome inhibitor, there was virtually no proteolysis of the pro-αIIb during the first 9 hours, and the calculated t1/2 values were markedly prolonged (MG132 median t1/2 85 hours, data not normally distributed, signed ranked test used [P = .03], PSI t1/2 14 ± 5 hours [P = .02]). In cells transfected with both αIIb and β3, the formation of mature αIIb and the αIIbβ3 complex proceeded normally in the presence of either DMSO or MG132, but the t1/2 of pro-αIIb was prolonged in the presence of the proteasome inhibitor, from 5 ± 2 hours to 11 ± 2 hours (n = 3; P = .03; Figure 3A-B). Despite the prolongation of the pro-αIIb t1/2 by MG132, there was no detectable increase in the formation of αIIbβ3 complexes. In cells expressing VFαIIb and β3, the t1/2 of pro-VFαIIb was also prolonged from 5 ± 3 hours to 14 ± 10 hours (n = 5; P = .05) by MG132 (Figure 3C). Despite the prolonged survival of the mutant pro-αIIb subunit, there was no detectable increase in either pro-VFαIIbβ3 formation or conversion of pro-VFαIIb into mature VFαIIb.
The half-life of pro-αIIb is prolonged in the presence of proteasome inhibitors. (A-C) Pulse-chase analyses were performed as described in Figure 1 on HEK293 cells stably expressing αIIb alone in the presence of DMSO (vehicle control; A) or either of the proteasome inhibitors MG132 (B), or PSI (C). (D) The densities of the pro-αIIb bands from a representative experiment are plotted as a percentage of the density at 3 hours after the chase.
The half-life of pro-αIIb is prolonged in the presence of proteasome inhibitors. (A-C) Pulse-chase analyses were performed as described in Figure 1 on HEK293 cells stably expressing αIIb alone in the presence of DMSO (vehicle control; A) or either of the proteasome inhibitors MG132 (B), or PSI (C). (D) The densities of the pro-αIIb bands from a representative experiment are plotted as a percentage of the density at 3 hours after the chase.
Pro-αIIb is degraded by the proteasome in WT and β3-null murine bone marrow megakaryocytes
Because αIIb is normally made in megakaryocytes, we assessed the degradation of αIIb in megakaryocytes derived from the bone marrow of normal mice and mice we previously characterized with a targeted deletion of β3 (β3-null).22 Since in the latter cells' murine αIIb has no β3 partner, they recapitulate the effect of transfecting αIIb alone into HEK293 cells, but have the advantage of being the native cell of αIIbβ3 biogenesis. In the WT murine megakaryocytes, pro-αIIb was observed at maximal intensity in immunoprecipitates obtained 3 hours after the chase, and then the intensity decreased with a t1/2 of 4 ± 2 hours (n = 3) (Figure 4A). β3 was also immunoprecipitated at the 3-hour time point, when there was little mature αIIb, indicating the presence of pro-αIIbβ3 complexes. Subsequently, both the β3 band and the mature αIIb band increased in intensity, with both reaching maximum density by 7 hours. Incubation with MG132 did not affect either the appearance rate or the total amount of mature αIIbβ3 receptor complex, but the t1/2 of pro-αIIb was increased to 9 ± 5 hours (n = 3; P = .2). The αIIb from the β3-null megakaryocytes was not processed to mature αIIb, and exhibited a t1/2 of 3 ± 2 hours (n = 6), comparable to that in the WT megakaryocytes (Figure 4A,C). In the presence of the proteasome inhibitor, the t1/2 was prolonged to 7 ± 2 hours (n = 6; P = .01). Thus, normal pro-αIIb is degraded in a proteasome-dependent manner in megakaryocytes from both WT and β3-null animals.
The t1/2 values of normal pro-αIIb and VFαIIb subunits expressed with β3 are prolonged in the presence of a proteasome inhibitor. Pulse-chase analyses were performed as described in Figure 1 on HEK293 cells transiently transfected with β3 and either normal αIIb or mutant VFαIIb in the presence of either DMSO (A,C), or MG132 (B,D). (E) The density of the pro-αIIb bands of one representative experiment are plotted as a percentage of their 3-hour postchase density. The normal pro-αIIb and pro-VFαIIb subunits disappeared from the cells cultured in DMSO with t1/2 values of 5 ± 2 (n = 3) and 5 ± 3 (n = 5) hours, respectively. Disappearance of both the normal and mutant pro-αIIb subunits was delayed in the presence of MG132 to 11 plus or minus 2 hours (n = 3, P = .03), and 14 plus or minus 10 hours (n = 5, P = .05), respectively.
The t1/2 values of normal pro-αIIb and VFαIIb subunits expressed with β3 are prolonged in the presence of a proteasome inhibitor. Pulse-chase analyses were performed as described in Figure 1 on HEK293 cells transiently transfected with β3 and either normal αIIb or mutant VFαIIb in the presence of either DMSO (A,C), or MG132 (B,D). (E) The density of the pro-αIIb bands of one representative experiment are plotted as a percentage of their 3-hour postchase density. The normal pro-αIIb and pro-VFαIIb subunits disappeared from the cells cultured in DMSO with t1/2 values of 5 ± 2 (n = 3) and 5 ± 3 (n = 5) hours, respectively. Disappearance of both the normal and mutant pro-αIIb subunits was delayed in the presence of MG132 to 11 plus or minus 2 hours (n = 3, P = .03), and 14 plus or minus 10 hours (n = 5, P = .05), respectively.
The half-lives of murine pro-αIIb are prolonged in the presence of a proteasome inhibitor in both wild-type and β3-null murine megakaryocytes. Megakaryocytes generated from the bone marrow of WT (A-B) and β3-null mice (C-D) were cultured in the presence of DMSO or MG132, and the cells were lysed at the times indicated. Samples were analyzed as described in Figure 1. (E) The densities of the pro-αIIb bands from a representative experiment are plotted as a percentage of the density at 0 hours. The disappearance of pro-αIIb subunits was delayed in WT megakaryocytes and significantly delayed in β3-null megakaryocytes in the presence of MG132 4 plus or minus 2 hours versus 9 plus or minus 5 hours (n = 3), and 3 plus or minus 2 hours versus 7 plus or minus 2 hours (n = 6; P = .01), respectively. This indicates that pro-αIIb is degraded by a proteasomal mechanism in WT and β3-null murine megakaryocytes.
The half-lives of murine pro-αIIb are prolonged in the presence of a proteasome inhibitor in both wild-type and β3-null murine megakaryocytes. Megakaryocytes generated from the bone marrow of WT (A-B) and β3-null mice (C-D) were cultured in the presence of DMSO or MG132, and the cells were lysed at the times indicated. Samples were analyzed as described in Figure 1. (E) The densities of the pro-αIIb bands from a representative experiment are plotted as a percentage of the density at 0 hours. The disappearance of pro-αIIb subunits was delayed in WT megakaryocytes and significantly delayed in β3-null megakaryocytes in the presence of MG132 4 plus or minus 2 hours versus 9 plus or minus 5 hours (n = 3), and 3 plus or minus 2 hours versus 7 plus or minus 2 hours (n = 6; P = .01), respectively. This indicates that pro-αIIb is degraded by a proteasomal mechanism in WT and β3-null murine megakaryocytes.
Normal and mutant αIIb subunits associate with calnexin. (A) Whole-cell lysates of cells either transiently or stably expressing normal αIIbβ3, VFαIIb plus β3, or αIIb alone were immunoprecipitated with antibodies against αIIb, subjected to SDS-PAGE, and then immunoblotted with mAbs against αIIb (PMI-1, top left panel, or H-160, top right panel) or calnexin (AF8, bottom left panel, or SPA-865, bottom right panel). Calnexin was coprecipitated from cells expressing normal αIIbβ3, either transiently or stably, VFαIIb plus β3, and cells expressing αIIb alone, but not from mock (vector-only)–transfected cells. As a loading control, equivalent amounts of whole-cell lysate from each cell type were subjected to SDS-PAGE and immunoblotted with anticalnexin, revealing that equal amounts of total calnexin had been loaded (data not shown). (B,C) Pulse-chase analysis demonstrated a markedly prolonged t1/2 for pro-N15QαIIb (17 ± 2 hours) as compared with normal pro-αIIb (5 ± 2 hours, n = 3, P < .001), and failure of pro-N15QαIIb to undergo normal processing to mature N15QαIIb or to form the N15QαIIb-β3 complex normally. (D) The top panel shows the sequence alignment of the first 60 amino acids of human αIIb with αIIb from mouse, rat, pig, horse, rabbit, and dog. The bottom panel shows the sequence alignment of the corresponding residues of human αV, α8, α5, α3, α7, and α4. N-linked glycosylation consensus sequences at position 15 are highlighted in yellow, and those at other positions are in cyan. Residues comprising β strands are indicated in magenta. (E) Location of N15 in the αIIbβ propeller, and the relative location of N45 in αV. Propeller blades are numbered 1 through 7 and the Cap domain is indicated. In the crystal structures of both subunits, residues at position 15 are located at the top outer corner of the first propeller blade, whereas residues at approximately position 45 lie at the apex of the next upward-facing loop of the same blade, thus occupying a position adjacent to residue 15 on the propeller's surface.23,24
Normal and mutant αIIb subunits associate with calnexin. (A) Whole-cell lysates of cells either transiently or stably expressing normal αIIbβ3, VFαIIb plus β3, or αIIb alone were immunoprecipitated with antibodies against αIIb, subjected to SDS-PAGE, and then immunoblotted with mAbs against αIIb (PMI-1, top left panel, or H-160, top right panel) or calnexin (AF8, bottom left panel, or SPA-865, bottom right panel). Calnexin was coprecipitated from cells expressing normal αIIbβ3, either transiently or stably, VFαIIb plus β3, and cells expressing αIIb alone, but not from mock (vector-only)–transfected cells. As a loading control, equivalent amounts of whole-cell lysate from each cell type were subjected to SDS-PAGE and immunoblotted with anticalnexin, revealing that equal amounts of total calnexin had been loaded (data not shown). (B,C) Pulse-chase analysis demonstrated a markedly prolonged t1/2 for pro-N15QαIIb (17 ± 2 hours) as compared with normal pro-αIIb (5 ± 2 hours, n = 3, P < .001), and failure of pro-N15QαIIb to undergo normal processing to mature N15QαIIb or to form the N15QαIIb-β3 complex normally. (D) The top panel shows the sequence alignment of the first 60 amino acids of human αIIb with αIIb from mouse, rat, pig, horse, rabbit, and dog. The bottom panel shows the sequence alignment of the corresponding residues of human αV, α8, α5, α3, α7, and α4. N-linked glycosylation consensus sequences at position 15 are highlighted in yellow, and those at other positions are in cyan. Residues comprising β strands are indicated in magenta. (E) Location of N15 in the αIIbβ propeller, and the relative location of N45 in αV. Propeller blades are numbered 1 through 7 and the Cap domain is indicated. In the crystal structures of both subunits, residues at position 15 are located at the top outer corner of the first propeller blade, whereas residues at approximately position 45 lie at the apex of the next upward-facing loop of the same blade, thus occupying a position adjacent to residue 15 on the propeller's surface.23,24
Calnexin associates with αIIb expressed with and without β3, and with VFαIIb expressed with β3
Association between calnexin and αIIb was assessed by coimmunoprecipitation analysis on whole cell lysates of HEK293 cells following transient or stable transfection with pro-αIIb alone, or β3 in conjunction with normal αIIb or mutant VFαIIb (Figure 5). In cells transiently transfected with normal αIIb plus β3 or VFαIIb plus β3, immunoprecipitation with an antibody to αIIb also coprecipitated calnexin, which was detected by the anticalnexin antibodies AF8 and SPA-865. In contrast, calnexin was not detectable or only minimally detectable when mock (vector only) transfected HEK293 cell lysates were immunoprecipitated with an antibody to αIIb. In general, the amount of calnexin precipitated was in proportion to the amount of pro-αIIb expressed. Similarly, calnexin also coprecipitated with αIIb from cells stably transfected with normal αIIb plus β3, or normal αIIb alone, but not mock-transfected cells.
Disruption of the αIIb N15 glycosylation consensus sequence prevents normal αIIbβ3 biogenesis
N-glycosylation within the first 50 amino acids of a nascent protein has been proposed to result in preferential interaction with calnexin and calreticulin over other chaperones.5,26 Cross-species sequence alignment of 7 αIIb chains identified a highly conserved N-linked glycosylation sequence at N15 in all of the αIIb sequences, but there were no comparable sites at this location in 6 other human α chain sequences analyzed (Figure 5D). The N15 glycosylation consensus sequence was disrupted by an N→Q mutation (N15QαIIb). In cells transfected with N15QαIIb and normal β3, there was no maturation of pro-αIIb to mature αIIb (Figure 5) and no formation of the αIIbβ3 complex. Pulse-chase analysis of cells transfected with N15QαIIb and β3 revealed that the t1/2 of the pro-N15QαIIb was prolonged compared with normal pro-αIIb (17 ± 2 hours versus 5 ± 2 hours; n = 3; P < .001; Figures 5C and 1E).
Carbohydrate modification targets αIIb for degradation
The effects of inhibitors of the glycan modification enzymes of the calnexin cycle on αIIb biogenesis and degradation were studied in β3-null megakaryocytes by pulse-chase analysis (Figure 6). Both DMJ, which inhibits ER-mannosidases I and II, and KIF, which inhibits ER-mannosidase I,27 decreased the rate of pro-αIIb degradation from 3 plus or minus 2 hours to 25 hours (median of t1/2 values, data not normally distributed, signed ranked test; n = 3; P = .02) and 27 hours (n = 3; P = .05), respectively, suggesting a role for the terminal mannose of the middle branch of the core N-linked glycan in pro-αIIb degradation. Similar data were obtained when DMJ and KIF were used in HEK293 cells transfected with normal αIIb and β3 (data not shown). In contrast, inhibition of the glucosidases I and II with DNJ,28 had no discernible effect on the rate of pro-αIIb degradation in β3-null megakaryocytes (Figure 6).
Inhibition of N-linked core oligosaccharide processing impairs degradation of normal pro-αIIb in murine megakaryocytes. (A) The N-linked core oligosaccharide that is added to nascent polypeptide chains in the ER contains 14 saccharide units in a branched configuration. Enzymes that are involved in the modification of this glycan are shown, along with inhibitors of these enzymes.
represents the mannose that is removed by ER mannosidase I. The checkered diamond represents the single glucose in the oligosaccharide structure that is recognized by calnexin. (B) Pulse-chase analyses were performed as described in Figure 1 on bone marrow megakaryocytes from β3-null mice in the presence or absence of the inhibitors 1, deoxy-mannojirimycin (DMJ), deoxynojirimycin (DNJ), or kifunensine (KIF). Whole cell lysates were immunoprecipitated with a combination of mAbs to αIIb (B1B5 and M-148). ER Man I indicates ER mannosidase I; ER Man II, ER mannosidase II; UGGT, UDP-glucose:glycoprotein glucosyltransferase.
Inhibition of N-linked core oligosaccharide processing impairs degradation of normal pro-αIIb in murine megakaryocytes. (A) The N-linked core oligosaccharide that is added to nascent polypeptide chains in the ER contains 14 saccharide units in a branched configuration. Enzymes that are involved in the modification of this glycan are shown, along with inhibitors of these enzymes.
represents the mannose that is removed by ER mannosidase I. The checkered diamond represents the single glucose in the oligosaccharide structure that is recognized by calnexin. (B) Pulse-chase analyses were performed as described in Figure 1 on bone marrow megakaryocytes from β3-null mice in the presence or absence of the inhibitors 1, deoxy-mannojirimycin (DMJ), deoxynojirimycin (DNJ), or kifunensine (KIF). Whole cell lysates were immunoprecipitated with a combination of mAbs to αIIb (B1B5 and M-148). ER Man I indicates ER mannosidase I; ER Man II, ER mannosidase II; UGGT, UDP-glucose:glycoprotein glucosyltransferase.
Discussion
Much is known about the structure and function of αIIbβ3, whereas relatively little is understood about its biogenesis. Jennings and Phillips first reported that GPIIb and GPIIIa (αIIb and β3) were present as a calcium-dependent complex on the platelet surface, and they hypothesized that assembly of the complex was a prerequisite for surface expression.29 Bray et al3 studied RNA derived from the megakaryocyte-like HEL cell line in a cell-free system and determined that αIIb and β3 were translated from separate mRNAs, and that the heavy and light chains of αIIb were derived from a single pro-αIIb precursor chain. Duperray et al4 performed pulse-chase metabolic analysis of αIIbβ3 biogenesis in megakaryocytes cultured from cryopreserved progenitor cell concentrates of patients with CML. Their findings established that N-linked glycosylation was associated with conversion of pro-αIIb to mature αIIb. Using the carbohydrate-processing enzyme endo-H, which trims the unprocessed high-mannose carbohydrate moieties found in the ER, but not the fully processed carbohydrates found in the Golgi, they found that virtually all detectable pro-αIIb was sensitive to endo-H cleavage, whereas virtually none of the mature αIIb was sensitive to endo-H. The β3 subunit, in contrast, was found to have unprocessed N-linked carbohydrates even when complexed with mature αIIb on the cell surface. They also reported that 60% of the β3 was in a free pool, whereas the detectable αIIb was present in complex with β3, indicating an excess of β3 subunits. Rosa and McEver also analyzed αIIbβ3 biogenesis in the HEL cell line and reported that degradation contributed significantly to pro-αIIb disappearance.5 Contrary to Duperray's findings, however, they reported a 5-fold excess of pro-αIIb over β3 in HEL cells, the majority of which was degraded without further processing. O'Toole et al, using cDNA transfection into COS cells, demonstrated that both the αIIb and the β3 subunits were required for pro-αIIb processing into mature αIIb and for surface expression of αIIbβ3.6 A model of strict compartmental sorting emerged from these studies, in which pro-αIIb is confined to the ER and mature αIIb is confined to the Golgi and post-Golgi compartments. This model is supported by (1) observations that all detectable pro-αIIb is endo-H sensitive, whereas all detectable mature αIIb is endo-H resistant,4 (2) observations that even though the entire pool of mature αIIbβ3 appears to pass through the pro-αIIbβ3 intermediate during biogenesis, only small amounts of pro-αIIbβ3 are detectable at any time, and (3) the absence of any pool of free mature αIIb.
Our studies were designed to extend these observations by using transfected HEK293 cells, 2 αIIb mutants that cause Glanzmann thrombasthenia as a result of decreased αIIbβ3 surface expression,21 and murine megakaryocytes from WT and β3-null animals. Our major new findings are that uncomplexed αIIb, but not β3, is degraded by a proteasomal mechanism, and that both αIIb maturation and degradation are controlled by the calnexin cycle, with the glycan at αIIbN15Q a key moiety in these processes.
We found that pro-αIIb is degraded in a proteasome-dependent manner in both transfected HEK293 mammalian cells and in murine megakaryocytes. Moreover, because disappearance of pro-αIIb reflects both degradation of uncomplexed pro-αIIb and conversion of pro-αIIb to mature αIIb, the profound effect of proteasome inhibition suggests that the majority of pro-αIIb undergoes degradation rather than maturation. Data on the relative effects of proteasome inhibition on the t1/2 values of pro-αIIb in cells expressing αIIb alone (where no maturation occurs), αIIb plus β3 (where maximum maturation occurs), and V298FαIIb plus β3 (where intermediate amounts of maturation occur) are consistent with this interpretation.
The rate of pro-αIIb degradation is not dependent on the presence or absence of β3, which implies that both the degradation and maturation pathways follow first-order kinetics. Similarly, αIIb containing either of 2 Glanzmann thrombasthenia mutations, V298FαIIb and I374TαIIb, that prevent normal αIIbβ3 maturation but do not prevent pro-αIIbβ3 complex formation, do not significantly alter the rate of pro-αIIb degradation by the proteasome. Thus, even though dissociation of the αIIbβ3 complex in vitro enhances its susceptibility to proteolytic degradation,29 it does not appear that failure of pro-αIIb to complex with β3 results in more rapid proteolytic degradation, and mutations of αIIb that prevent αIIbβ3 maturation do not necessarily result in more rapid turnover of the mutant subunits.
In the ER, N-linked glycans function as sorting signals within the calnexin cycle, a protein folding and quality control system.10 The core N-linked glycan, Glc3Man9GlcNac2 (Figures 6A and 7) is added to nascent glycoproteins at N-linked glycosylation consensus sequences, N-X-S/T, as they pass through the translocon complex into the ER during biosynthesis. The presence of an N-linked glycan within the first 50 amino acids of a protein is a signal for entry into the calnexin cycle.25,26 Immediately after the core glycan is transferred to the protein, it is trimmed by glucosidases I and II to the monoglucosylated form, Glc1Man9GlcNac2, which binds to calnexin. When the final glucose is trimmed off, leaving Man9GlcNac2, the protein can no longer bind to calnexin, but the glycan is now a potential substrate for UDP-glucose: glycoprotein glucosyltransferase (UGGT). This enzyme binds to partially folded glycoproteins and adds back a single glucose to the core glycan, reverting the glycan to its calnexin-binding state, and thus preventing protein egress from the ER (Figure 7C-D).30,31 Once the glycoprotein has attained its native folding state, however, UGGT cannot bind to it, even if it has the UGGT-recognized glycan structure, and the folded protein exits the calnexin cycle (Figure 7E). The terminal middle-branch mannose residue of the core glycan is necessary for high-affinity binding to both calnexin and UGGT (Figures 6-7).32 Removal of this mannose residue by ER mannosidase I decreases protein binding to calnexin and eliminates protein binding to UGGT. Therefore, glycoproteins in the calnexin cycle that have not successfully folded by the time this mannose residue is removed from the core N-linked glycan also exit the calnexin cycle (Figure 7F). These misfolded proteins, however, bind to the mannosidase-like protein, ER degradation enhancer, mannosidase α-like (EDEM), which facilitates retrotranslocation of glycoproteins, leading to degradation by the proteasome.11,12
Model of pro-αIIb interactions with the calnexin cycle. (A) The core N-linked glycan, Glc3Man9GlcNAc2, is attached to the Asn at position 15 (N15) of pro-αIIb during translocation into the ER.(B) The glucosidases I and II (Gluc I + II) cleave off the glucose moieties, forming Glc1Man9GlcNAc2, which is the glycan form recognized by calnexin (CNX). (C) Pro-αIIb remains bound to calnexin until the third glucose moiety is cleaved off by glucosidase II. (D) The glycan formed by removal of the third glucose, Man9GlcNAc2, is a substrate for UDP-glucose:glycoprotein glucosyltransferase (UGGT), which then reattaches a glucose moiety, recreating the Glc1Man9GlcNAc2. Because incompletely folded glycoproteins (shown as squiggle) are substrates for UGGT, partially folded pro-αIIb subunits cycle between calnexin and UGGT, which provides additional time to achieve its native fold. There are 2 exits from the cycle: (E) Pro-αIIb may achieve its native fold (shown as spiral), at which point it is no longer a substrate for UGGT, and thus continues on the biogenesis pathway to complex formation with β3, or (F) the slowly active mannosidase I (Man I) may cleave the terminal mannose from the middle branch of the glycan, creating the structural signal that targets pro-αIIb to the proteasome for degradation via binding to the mannosidase-like protein EDEM and retrotranslocation out of the ER (not shown). Of note is the finding that proteasomal degradation of pro-αIIb continues at the normal rate in the presence of glucosidase inhibitors; thus pro-αIIb may proceed directly from step A to step F, without interaction with calnexin.
Model of pro-αIIb interactions with the calnexin cycle. (A) The core N-linked glycan, Glc3Man9GlcNAc2, is attached to the Asn at position 15 (N15) of pro-αIIb during translocation into the ER.(B) The glucosidases I and II (Gluc I + II) cleave off the glucose moieties, forming Glc1Man9GlcNAc2, which is the glycan form recognized by calnexin (CNX). (C) Pro-αIIb remains bound to calnexin until the third glucose moiety is cleaved off by glucosidase II. (D) The glycan formed by removal of the third glucose, Man9GlcNAc2, is a substrate for UDP-glucose:glycoprotein glucosyltransferase (UGGT), which then reattaches a glucose moiety, recreating the Glc1Man9GlcNAc2. Because incompletely folded glycoproteins (shown as squiggle) are substrates for UGGT, partially folded pro-αIIb subunits cycle between calnexin and UGGT, which provides additional time to achieve its native fold. There are 2 exits from the cycle: (E) Pro-αIIb may achieve its native fold (shown as spiral), at which point it is no longer a substrate for UGGT, and thus continues on the biogenesis pathway to complex formation with β3, or (F) the slowly active mannosidase I (Man I) may cleave the terminal mannose from the middle branch of the glycan, creating the structural signal that targets pro-αIIb to the proteasome for degradation via binding to the mannosidase-like protein EDEM and retrotranslocation out of the ER (not shown). Of note is the finding that proteasomal degradation of pro-αIIb continues at the normal rate in the presence of glucosidase inhibitors; thus pro-αIIb may proceed directly from step A to step F, without interaction with calnexin.
The αIIb N15 glycosylation consensus sequence is the most proximal of 5 such sequences in pro-αIIb, and the only one within the first 50 amino acids. Because disrupting the N15 glycosylation consensus sequence by the N15Q substitution not only resulted in profound inhibition of αIIbβ3 complex formation, but also led to a marked decrease in the rate of pro-αIIb degradation, we conclude that the N15 glycan is important for pro-αIIb entering the calnexin cycle, and that the calnexin cycle is important in pro-αIIb folding, pro-αIIbβ3 complex formation, and degradation of misfolded pro-αIIb via the proteasome. In the crystal structure of αIIb,24 N15 lies at the upper, outside corner of blade 1 of the β-propeller, exposed to solvent (yellow sphere in Figure 5E). Of note, the glycosylation consensus sequence at N15 is conserved in αIIb across species (Figure 5D), whereas some other human α subunits (eg, αV, α3, α4, α5, α7, α8) have their first N-linked glycosylation sequence at approximately amino acid 45, which lies at the apex of the next upward facing loop of blade 1 and occupies a position adjacent to residue N15 on the propeller's surface (blue sphere in Figure 5E). Further support for the importance of the pro-αIIb N15 glycan comes from the finding that the elimination of 2 of the other 4 N-glycosylation consensus sequences in αIIb by the mutations N249W (W.B.M., J.L., D.L.F.; unpublished data, December 2001) and N931Q33 have no effect on biogenesis.
Additional support for the importance of the calnexin cycle in controlling pro-αIIb degradation comes from our finding that inhibition of ER-mannosidase I dramatically reduced the rate of degradation of normal pro-αIIb. Thus, removal of the terminal mannose from the middle branch of the core glycan appears to target pro-αIIb for degradation. In the same cells, inhibition of mannosidase I had no apparent effect on the rate of disappearance of the β3 subunit (data not shown), which is also glycosylated, thus demonstrating that the effect on pro-αIIb was not a nonspecific effect of disrupting glycoprotein processing in the ER, or more global cellular damage. These findings indicate that normal pro-αIIb degradation is dependent, in part, on the calnexin cycle. In contrast to the data with inhibitors of mannosidase I, however, inhibition of glucosidases I and II did not affect the rate of degradation of pro-αIIb. Although these enzymes are important for processing proteins so that they can enter the calnexin cycle (Figure 7A,B), they are not required for mannosidases to trim mannose residues from the core N-linked glycan.34,35 Hence, even in the absence of glucose trimming, removal of the middle branch terminal mannose residue by mannosidase can still occur, targeting the glycoprotein to proteasomal degradation.36-39
Finally, of particular interest is our finding that prolonging the time that pro-αIIb remains in the ER (by decreasing its rate of proteasomal clearance, and thus perhaps increasing its concentration), does not appear to affect either the rate of production or the final amount of mature αIIbβ3 formed. Thus, the limiting factor in αIIbβ3 production appears to be the mechanism controlling the formation of pro-αIIbβ3 complexes suitable for transport to the Golgi for further processing. We suspect that one or more additional chaperones participate in this process.
Prepublished online as Blood First Edition Paper, November 22, 2005; DOI 10.1182/blood-2005-07-2990.
Supported by grants HL68622 and HL19278 from the National Heart, Lung and Blood Institute; grants from the American Heart Association Heritage Affiliate; the Ilma F. Kern Foundation in honor of John Halperin, MD; the Charles Slaughter Foundation; and funds from Stony Brook University.
The publication costs of this article were defrayed in part by page charge payment. Therefore, and solely to indicate this fact, this article is hereby marked “advertisement” in accordance with 18 U.S.C. section 1734.
We gratefully acknowledge Rona Weinberg for culturing the murine megakaryocytes.






