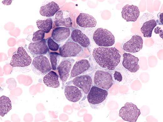
Extrinsic cells involving the bone marrow cluster together forming syncytia or “clumps” of cells. This pattern helps to differentiate them from hematopoietic cells. Although the tumor cells in this case represent metastatic retinoblastoma, there are no morphologic features present on the aspirate which enable one to distinguish these particular cells from other “small round cell” tumors of childhood.
The above image was first published in the ASH IMAGE BANK, a reference and teaching tool that is continually updated with new atlas images and images of case studies. For more information or to contribute to the Image Bank, visit www.ashimagebank.org.
© 2008 by The American Society of Hematology
2008
        
